Define bronchiectasis.
Summarise the epidemiology of bronchiectasis.
What are the risk factors for bronchiectasis?
Anything that causes inflammatory damage to the airways. 40% have no clear initiating cause.
Briefly describe these syndromes:
Cystic fibrosis, Young’s syndrome, primary ciliary dyskinesia, Mounier-Kuhn syndrome, Williams-Campbell syndrome
CF - mutation of the CFTR gene leading to abnormalities in the Cl- channel causing viscous mucus and abnormal airway clearance. Also affects Gi tract, pancreas, liver and kidneys.
Young’s syndrome - similar features to CF (incl bronchiectasis, sinusitis, obstructive azoospermia) but without CFTR/Cl- mutations.
Primary ciliary dyskinesia - autosomal recessive disorder → defect in ciliary structure and/or function (Kartagener’s syndrome includes the triad of bronchiectasis, sinusitis, and situs inversus, and occurs in approximately 50% of patients with primary ciliary dyskinesia)
Mounier-Kuhn syndrome - tracheobronchomegaly
Williams-Campbell syndrome - bronchial cartilage deficiency
Which infections predispose to bronchiectasis?
Infections are associated with bronchial destruction–> bronchiectasis.
Explain the aetiology of bronchiectasis.
The aetiology falls into the following categories:
How is bronchiectasis classified?
Reid classification (morphological classification, not clinically useful)
What are the presenting symptoms of bronchiectasis?
How do you diagnose bronchiectasis? What do investigations show?
Other:
How do you interpret the results of a sweat chloride test?
Why are patients with HIV predisposed to bronchiectasis?
Patients with HIV infection are predisposed to developing recurrent sinopulmonary infections and bronchiectasis, which is probably due to abnormal B-lymphocyte function
What does the NNO test look for in suspected bronchiectasis?
NNO - nasal nitric oxide
Done when there is suspicion of primary ciliary dyskinesia (PCD)
A low NNO should be followed up with confirmatory testing (nasal or bronchial brush biopsy for ciliary examination) because other conditions such as cystic fibrosis may present with low NNO.
What does pulmonary function testing show in bronchiectasis?
FEV1/FVC <70%
Reduced FEV1
Elevated residual volume so RV/TLC >35% due to gas trapping
Generate a management plan for bronchiectasis.
What are the complications of bronchiectasis?
Massive haemoptysis (>250mL/day) - recline the patient on the side that bleeding is suspected on. Endotracheal intubation. Thought to originate from bronchial arteries or bronchial-pulmonary anastomoses. (Refer to thoracic surgeon and/or interventional radiologist for bronchoscopy-guided haemostatic tamponade, bronchial artery embolisation, or surgical resection of area)
Respiratory failure - prevent tissue hypoxia by airway protection, oxygen, mechanical ventilation and treatment of underlying cause.
Cor pulmonale - early treatment prevents this. Evidence of pulmonary hypertension –> pulmonologist. Heart/lung transplant may be necessary in severe cases.
What is the prognosis for patients with bronchiectasis?
Prognosis is affected by other respiratory disease that co-exists with bronchiectasis, making it hard to determine.
QOL most affected by dyspnoea, sputum production and reduced FEV1
Pseudomonas species → more severe impairment.
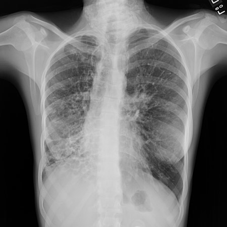
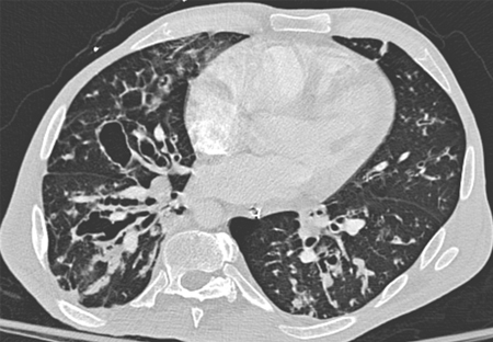
What would you see on a CXR/CT of bronchiectasis?
(CXR with lack of normal tapering producing a tram line below)

CXR - obscured hemidiaphragm, thin-walled ring shadows with or without fluid levels, tram lines (sign of thickened tapered walls of bronchiectasis), tubular or ovoid opacities
CT - thickened, dilated airways with or without air fluid levels; varicose constrictions along airways; cysts and/or tree-in-bud pattern

How do you treat an acute exacerbation of bronchiectasis?
Usually managed in primary care but some may need hospital admission
Previous microbiology guides antibiotic of choice
If no previous results: amoxicillin or clarithromycin first line