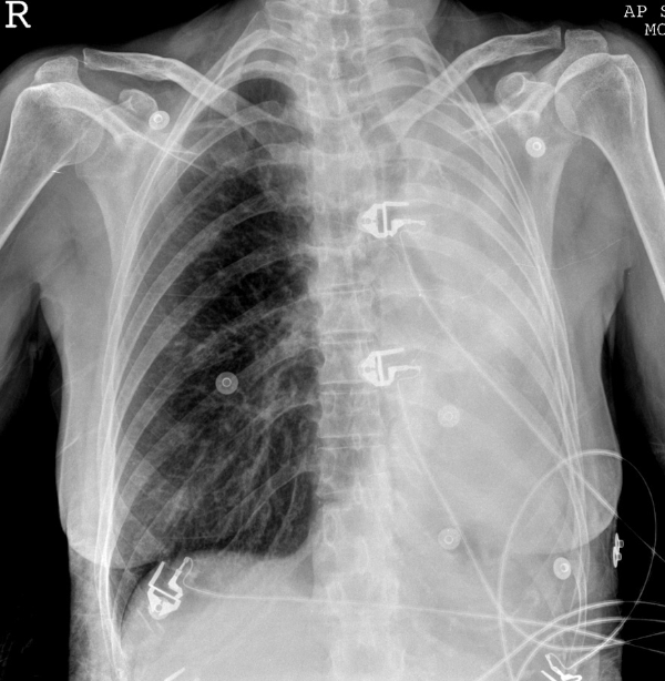
What is shown? Name 2 possible causes.

Left lung collapse/consolidation - considerable mediastinal shift to the left so there must be a considerable loss of lung volume. There is an air bronchogram of at least one of the larger bronchi indicating consolidation.
Pneumonia and obstruction of the left bronchus
What is shown on this bronchoscopy?

Fungating mass invading the bronchial lumen = malignant bronchial tumour
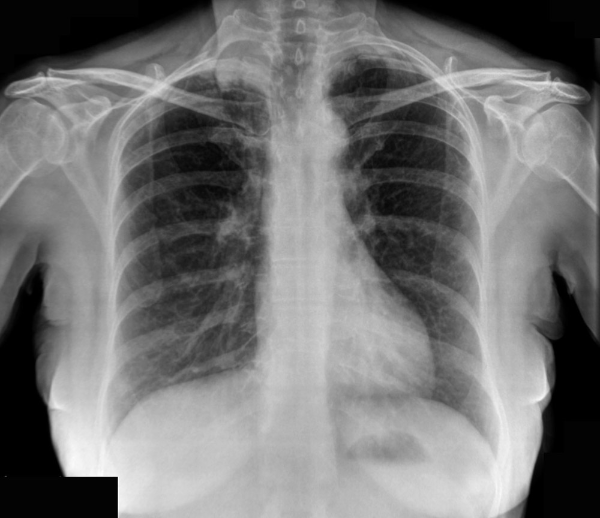
What is shown? What is the likely diagnosis? What are the main RFs?

pleural tumour encasing the lung - mesothelioma
RFs- asbestos, occupation: boilermakers, plumbers, heating engineers, electrical engineers, building work.
Where do mesotheliomas spread? (3)
Other pleural cavity
Lung
Hilar lymph nodes
Which of these is true about mesotheliomas?
2 and 3
There are no effective treatments though instillation of sclerosants into the pleural space can prevent or reduce re-accumulation of pleural effusions and accompanying breathlessness.
What is shown?
What is the most likely cause?

Miliary nodular lung densities - multiple nodules (1-2mm in size) throughout both lungs with patchy consolidation in left lower zone. TB is the most lilkey cause of this.
What conditions can cause miliary pattern in lung?
What are the features of Horner’s vs 3rd nerve palsy?
Horner’s - proptosis, miosis, enophthalmos and anhydrosis
3rd nerve palsy - (superior oblique muscle) causes pupillary dilatation and a Holmes-Adie pupil (benign condition) is moderately dilated and poorly reactive to light
Horner’s syndrome with right shoulder pain which radiates to the arm is suggestive of which diagnosis?
Superior sulcus lung carcinoma/apical lung carcinoma (Pancoast tumour)
What is shown here? What is the diagnosis?

Pancoast tumour - can cause rib destruction.

Name 5 features of Pancoast syndrome.
Pancoast tumour invading surrounding structures –> symptoms called Pancoast syndrome
Invasion starts w/ brachial plexus –> shoulder and arm pain. There may be compression of the spinal cord which occurs in 10-25% of people with Pancoast.
Which of these are associated with Horner’s?
All except COPD
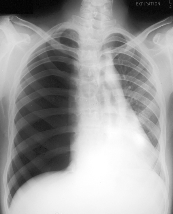
Which 4 features are shown?

2, 4, 5, 8
Note collapse of left lower lobe also, probably due to mediastinal shift – this appears as a triangular area of increased density behind the hear
What can be done in large pneumothorax before insertion of chest drain? Where is it inserted?
Therapeutic aspiration of air should be undertaken (needle or venflon) to relieve tension and improve patient condition. For a pneumothorax of this size needle aspiration alone is unlikely to be sufficient and a chest-drain will be needed. This can be prepared while you aspirate air from the chest.
Sites for aspiration/drain:-
What is the cause of pneumothorax in COPD? Should it be drained?
Rupture of a bulla is a cause of pneumothorax especially in patients with COPD.
Yes but a large bulla can mimic a pneumothorax and should not be drained! If unsure check radiograph findings with a senior colleague.
What are the most common causes of CAP? (leading to hospital admission %)
Other bacteria sometimes isolated are Legionella, S. aureus, Moraxella catarrhalis, C. psittici.
What are the most common types of lung cancer?
What is shown here and what are 3 causes?

This patient has prominent, bulby and symetrically enlarged hila consistent with bilateral lymphodenopathy.
Sarcoidosis/TB/lymphoma
What is shown here? Name 3 causes.

Erythema nodosum (EN).
There are rounded, erythematous and raised lesions present on the anterior shins.
EN can be associated with streptococcal infection, TB, sarcoidosis, drugs, inflammatory bowel disease and histoplasmosis.
What type of granulomatous disease is sarcoid?
Non-caseating granulomatous disease
T lymphocytes and macroophages form these granulomas. Usually causes adenopathy and parenchymal lung disease. Sometimes affects skin, eyes (uveitis and papilloedema), CNS (facial nerve palsy), heart (arrhythmias, HF, conduction).
ACE is a product of macrophages and therefore an indicator of granuloma burden in the tissues - they are correlated with disease activity.
Hypercalcaemia is present in 10% of patients and is due to increased production of 1,25-dihydroxyvitamin D by macrophages.
Which of these can cause erythema nodosum?
1, 3, 6