X-rays Flashcards

(6 cards)

1
Q
A

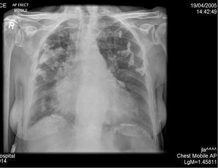
Left pleural effusion - meniscus seen

How well did you know this?
1
Not at all
2
3
4
5
Perfectly
2
Q

How many ribs need to be visible in ‘hyperexpanded’ chest?

A

> 7 anterior ribs OR
9 posterior ribs

How well did you know this?
1
Not at all
2
3
4
5
Perfectly
3
Q

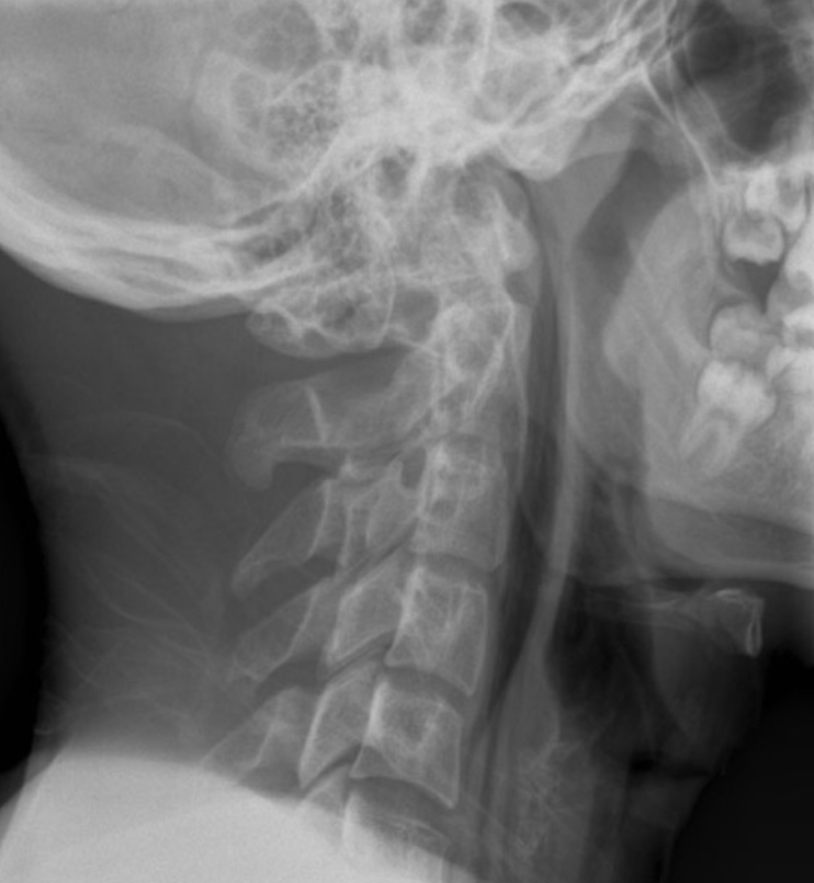
A young male comes to the ED with severe pain in his neck and upper chest. It came on suddenly after he had fish and chips earlier that evening. No significant previous history.

A

retropharyngeal air ( crescentic air anterior to the vertebral bodies)
surgical emphysema

How well did you know this?
1
Not at all
2
3
4
5
Perfectly
4
Q
A

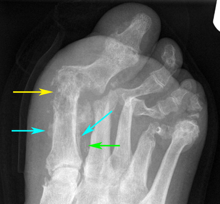
There is extensive bony destruction of the first metatarsal with overlying soft tissue swelling. This destruction is well shown on a magnified view (yellow arrow). Note also periosteal reaction (blue arrows) and vascular calcification (green arrow). = Charcot foot

How well did you know this?
1
Not at all
2
3
4
5
Perfectly
5
Q

What are the 5Ds of a Charcot joint?

A
  • Density change (areas of lucency and sclerosis)
  • Destruction
  • Debris (loose bodies and bone fragments)
  • Distension (joint effusion)
  • Dislocation (e.g. metacarpophalangeal joints).
How well did you know this?
1
Not at all
2
3
4
5
Perfectly
6
Q
A

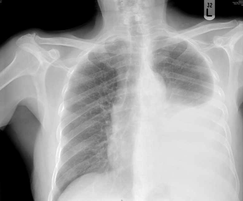
Pleural calcifications

How well did you know this?
1
Not at all
2
3
4
5
Perfectly