Cadera Flashcards

(12 cards)

1
Q

Pinzamiento femoroacetabular QUE ES

A

Recorrido anormal entre cabeza, acetabulo y cuello femoral

How well did you know this?
1
Not at all
2
3
4
5
Perfectly
2
Q

FR PFAC

A

Caídas
actividad alto impacto
sobreuso
traumatismo
artrosis

How well did you know this?
1
Not at all
2
3
4
5
Perfectly
3
Q

CLX PZFAC

A

Dolor en flexión rotación interna y add
dolor gluteo
limitación en movimiento
rigidéz

How well did you know this?
1
Not at all
2
3
4
5
Perfectly
4
Q

PZFAC TIPOS

A

CAM(leva): deformidad cuello femoral hombres
PINCER(pinza): sobrecobertura del acetábulo, mayor profundidad coxa profunda **mujeres
**
Mixto: CAM + PINCER

How well did you know this?
1
Not at all
2
3
4
5
Perfectly
5
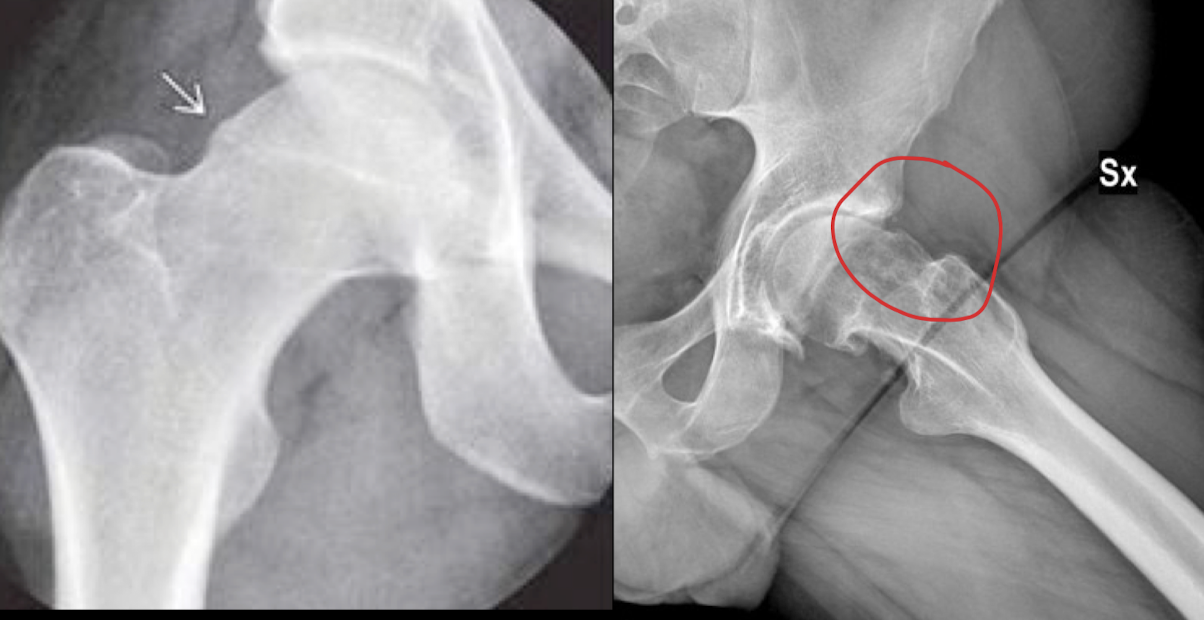
Q

RX PZFAC

A

Ap y oblicua
Axial (Dunn)

How well did you know this?
1
Not at all
2
3
4
5
Perfectly
6
Q

TC PZFAC

A

Permite mejor evalucación anatómica
Reconstrucción 3D

How well did you know this?
1
Not at all
2
3
4
5
Perfectly
7
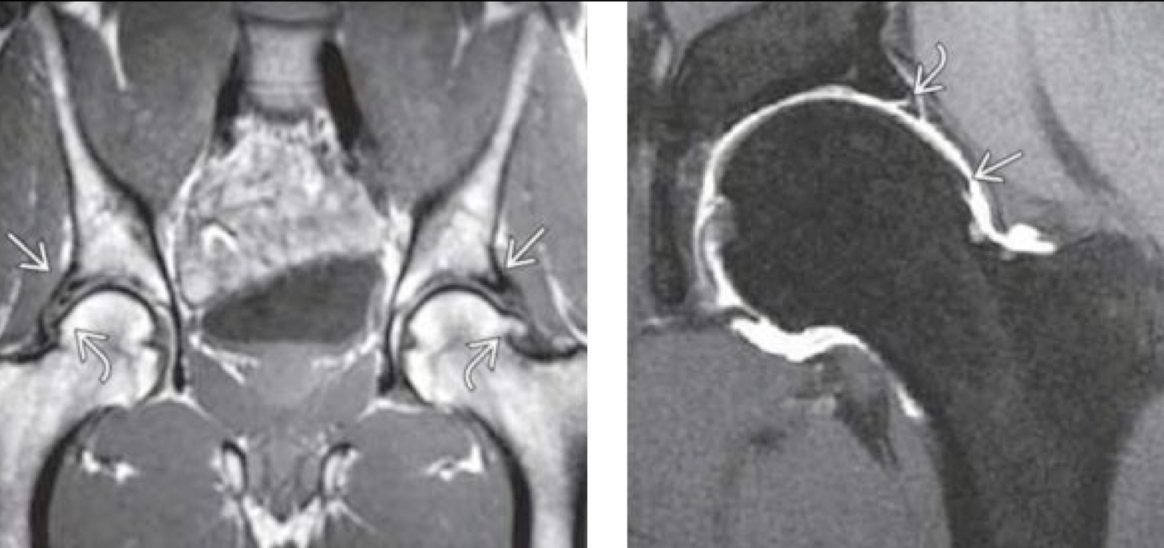
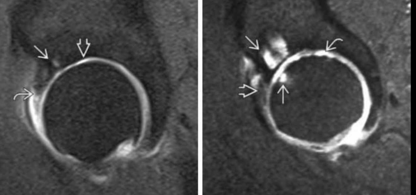
Q

RM PZFAC

A

LOMEJOR
Permite ver edema óseo
pinzamiento leve
quistes
lesión de labrum

How well did you know this?
1
Not at all
2
3
4
5
Perfectly
8
Q

COXARTROSIS QUE ES

A

Proceso degenerativo: artrosis

How well did you know this?
1
Not at all
2
3
4
5
Perfectly
9
Q

Etiologia coxart

A

sobrepeso
sobreuso
pinzamiento
trauma
etc
degeneración cartílago

How well did you know this?
1
Not at all
2
3
4
5
Perfectly
10
Q

RX COXA

A

Método mas accesible
- Osteofitos
- disminución del espacio articular
- esclerosis osea
- auistes subcondrales “geodas”
- deformación ósea

How well did you know this?
1
Not at all
2
3
4
5
Perfectly
11
Q

TC COXART

A

Mismos datos que RX
- osteofitos
- disminución espacio articular
- esclerosis
- quistes subcondrales “geodas”
- deformidad ósea

How well did you know this?
1
Not at all
2
3
4
5
Perfectly
12
Q

RM coxart

A

PERMITE EVALUAR CARTILAGO
daño temprano de este
mismos datos RX y TC + edema óseo

How well did you know this?
1
Not at all
2
3
4
5
Perfectly