Fracturas Flashcards

(25 cards)

1
Q

Tipos de fx

A
  • abierta o expuesta
  • transversa
  • en tallo verde
  • conminuta o multifragmentaria
  • segmentaria
  • cerrada
  • espiral o helicoidea
  • lineal
  • impactada
  • por avulsión
  • cabalgada
  • con fragmento libre
  • en mariposa
  • con ext. articular
  • desplazada, no desplazada / reducida
How well did you know this?
1
Not at all
2
3
4
5
Perfectly
2
Q

RX

A

ESTUDIO INCIAL
- buscar corticales!
- evaluar ext. articular
- AP y lateral SIEMPRE
Oblicua en
- mano
- pie
- cadera
- hombro

How well did you know this?
1
Not at all
2
3
4
5
Perfectly
3
Q

TC

A

Lo mejor
3D

How well did you know this?
1
Not at all
2
3
4
5
Perfectly
4
Q

RM

A

en caso de duda
para evaluar lx a ligamentos lo tendones
para fx ocultas

How well did you know this?
1
Not at all
2
3
4
5
Perfectly
5
Q

fx clavicula QUE ES CLX

A

Por caída sobre hombro, mano extendida, golpe directo
CLX: dolor, deformidad palpable

How well did you know this?
1
Not at all
2
3
4
5
Perfectly
6
Q

RX fx clavicula

A
multifragmentaria cabalgada
How well did you know this?
1
Not at all
2
3
4
5
Perfectly
7
Q

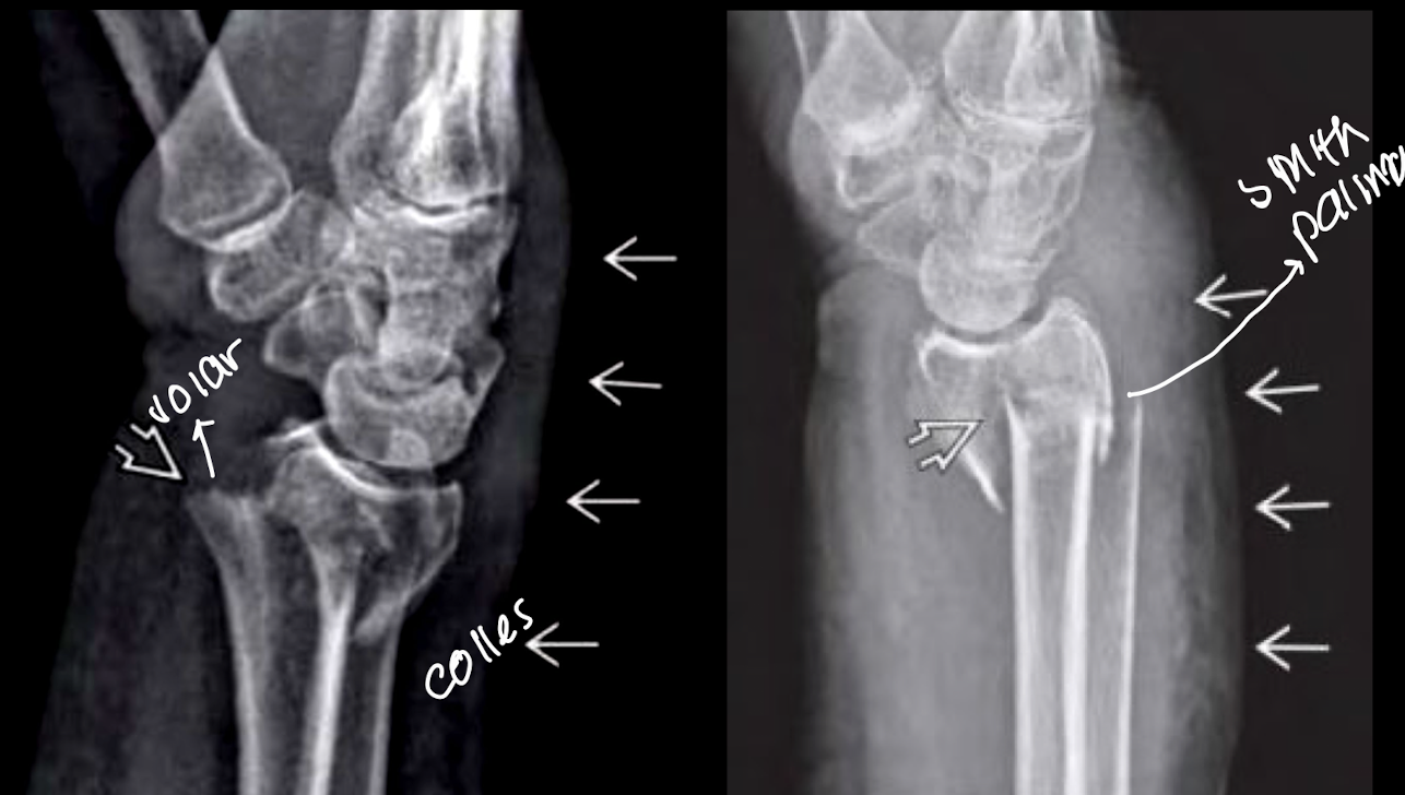
Fx de colles y smith

A

por caídas
deformidad
edema
dolor

How well did you know this?
1
Not at all
2
3
4
5
Perfectly
8
Q

Colles datos importantes

A
  • Caída con mano extendida
  • Más común
  • fx en extensión
  • desviación dorsal de la epifisis radial
  • caída con mano abierta
  • asx a osteoporosis
  • mujeres >40a
How well did you know this?
1
Not at all
2
3
4
5
Perfectly
9
Q

Datos smith

A

fx en flexión (caída sobre el dorso)
desviación volar de la epifisis radial
rara

How well did you know this?
1
Not at all
2
3
4
5
Perfectly
10
Q

Colles y smith RX

A
How well did you know this?
1
Not at all
2
3
4
5
Perfectly
11
Q

Fx de falanges

A

falanges AP Y LAT DE 1 DEDO
metacarpianos AP Y OBLICUA MAS DEDOS

How well did you know this?
1
Not at all
2
3
4
5
Perfectly
12
Q

Fx falanges RX

A
How well did you know this?
1
Not at all
2
3
4
5
Perfectly
13
Q

FX CADERA INTRO

A

Asociada a osteoporosis.
SE fx y luego se cae

How well did you know this?
1
Not at all
2
3
4
5
Perfectly
14
Q

CLX FX cadera

A

mujeres en edad avanzada
- dolor
- incapacidad para levantarse
- edema

How well did you know this?
1
Not at all
2
3
4
5
Perfectly
15
Q

FX CADERA IMAGEN

A

RX

How well did you know this?
1
Not at all
2
3
4
5
Perfectly
16
Q

FX TIBIA TIPOS

A
  • Fx de meseta tibial
  • Fx eje tibia peroné
  • fx de pilón tibial TOBILLO
17
Q

FX DE MESETA CLASIFICACIÓN

A

SCHATZKER I-VI

18
Q

FX EJE TIBIA PERONÉ

A

transversa, oblicua, espiral, mariposa
sx compartimental

19
Q

Fx tobillo tipos

A
  • maleolar
  • tibia distal (plafón)
  • peroné
  • astrágalo
  • asociadas a esguince y luxación
20
Q

WEBER A

A

fx de peronde por debajo del nivel del plafon tibial

21
Q

weber B

A

Fx del perone a nivel del plafón tibial

22
Q

Weber C

A

Fx de peroné por encima del nivel del plafón tibial

23
Q

FX JONES

A

base del 5 metararsiano
inversión

24
Q

Lisfranc

A

FX LUXACIÓN
LA MAS COMUN DEL PIE
ART. LISFRANC (tarso con metatarsianos)
RX TC LIG MRI

25
TIPOS LISFRNAC
homolaterales Divergente aislada