Muñeca Flashcards

(10 cards)

1
Q

Sx del tunel del carpo QUE ES

A

neuropatía por atrapamiento
Compresión del nervio mediano dentro del tunel carpiano

How well did you know this?
1
Not at all
2
3
4
5
Perfectly
2
Q

CLX SxTC

A

mas comun en mujeres y en mano dominante
dolor y sintomas sensoriales
Tst TINEL y PHALEN

How well did you know this?
1
Not at all
2
3
4
5
Perfectly
3
Q

Etiología SxTC

A

Secundario a sobreuso o lesiones ocupativas
Quistes, tumores, etc

How well did you know this?
1
Not at all
2
3
4
5
Perfectly
4
Q

USG SxTC

A

Excelente metodo
aplanamiento del nervio-hipoecoico
engrosamiento del retinaculo
detección de masas o quistes

How well did you know this?
1
Not at all
2
3
4
5
Perfectly
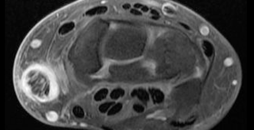
5
Q

RM SxTC

A

Nervio aplanado hiperintenso
captación de contraste
detección de masas

How well did you know this?
1
Not at all
2
3
4
5
Perfectly
6
Q

TENOSINOVITIS DE QUERVAIN

que es

A

Inflamación del primer compartimiento de tendones extensores de la muñeca
- tendones abd largo del pulgar y extensor corto

How well did you know this?
1
Not at all
2
3
4
5
Perfectly
7
Q

Etiología TSQRV

A

Por sobreuso o trauma
- Compresión de los tendones por el retináculo extensor

How well did you know this?
1
Not at all
2
3
4
5
Perfectly
8
Q

CLX

A

Dolor e inflamación en movimientos de pulgar o muñeca

How well did you know this?
1
Not at all
2
3
4
5
Perfectly
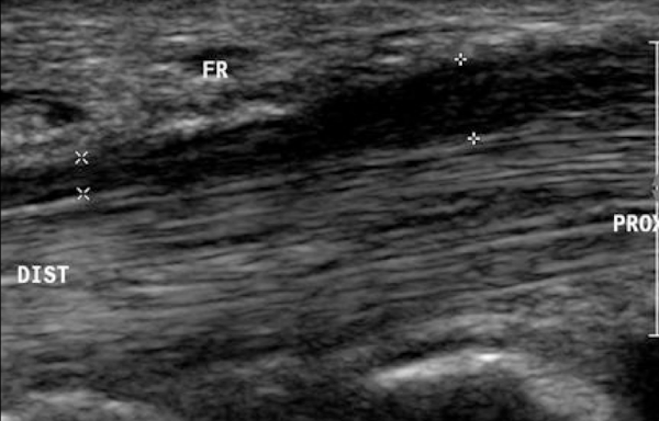
9
Q

US TSQV

A

Excelente
engrosamiento e inflamación de los tendones
liquido en su vaina
engrosamiento del retinaculo

How well did you know this?
1
Not at all
2
3
4
5
Perfectly
10
Q

RM

A

Excelente
Hiperseñal T2 del tendón
edema subcutáneo peritendinoso
captación del contraste

How well did you know this?
1
Not at all
2
3
4
5
Perfectly