tobillo Flashcards

(15 cards)

1
Q

ESGUINCE QUE ES

A

Lesión de ligamentos del tobillo

How well did you know this?
1
Not at all
2
3
4
5
Perfectly
2
Q

esguince mas frecuente

A

laterales, hasta 80%
ligamento talofibular anterior

How well did you know this?
1
Not at all
2
3
4
5
Perfectly
3
Q

TIPO DE LESIÓN Y FR esg

A

Lx por inversión: niños y adultos mas frec
FR: deportes, tacones, antecedente, obesidad

How well did you know this?
1
Not at all
2
3
4
5
Perfectly
4
Q

CLX esg

A

Edema
dolor
rigidez
equimosis
inestabilidad

How well did you know this?
1
Not at all
2
3
4
5
Perfectly
5
Q

GRADOS ESGUINCE

A
  1. esguince sin lesión macroscopica o inestabilidad
  2. Rotura parcial, edema, dolor moderado
  3. rotura completa, hematoma, edema, dolor e inestabilidad
How well did you know this?
1
Not at all
2
3
4
5
Perfectly
6
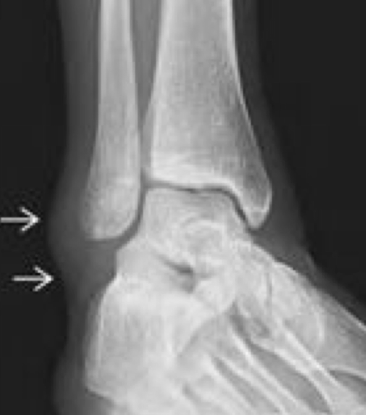
Q

RX ESG

A

NO ve el lig: SI datos secund
- Edema tx blandos
- aumento del espacio entre peroné y ástragalo
Rx con estrés “bostezo”
- Descartar fx

TC usualmente para buscar fracturas

How well did you know this?
1
Not at all
2
3
4
5
Perfectly
7
Q

RX estrés

A
How well did you know this?
1
Not at all
2
3
4
5
Perfectly
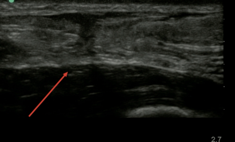
8
Q

USG esg

A

UTILIDAD LIMITADA
PERMITE EVALUAR ATFL

How well did you know this?
1
Not at all
2
3
4
5
Perfectly
9
Q

RM ESG

A

LO MEJOR
Clasifica la lx
busqueda lx asociadas

How well did you know this?
1
Not at all
2
3
4
5
Perfectly
10
Q

ROTURA T DE AQUILES

A

Tendón con lesión más frecuente del tobillo: parcial o completa

How well did you know this?
1
Not at all
2
3
4
5
Perfectly
11
Q

epidemio RTAQ

A
  • Deportistas
  • DM2
  • Inyección esteroides
  • artritis LES
  • microtrauma
  • Gota
  • hiperparatiroidismo
How well did you know this?
1
Not at all
2
3
4
5
Perfectly
12
Q

CLX RTAQ

A

Dolor en región del tendón
chasquido audible
limitación a la flexión
equimosis
depresion sitio de rtx
prueba de thompson

How well did you know this?
1
Not at all
2
3
4
5
Perfectly
13
Q

RX Y TC RTAQ

A

Edema de tx blando
borramiento triangulo graso de kager
descartar avulsión calcánea
calcificación: crónico

How well did you know this?
1
Not at all
2
3
4
5
Perfectly
14
Q

US RTAQ

A

Excelente metodo
tendon engrosado e hipoecoico: tendinopatía
distinguir entre desgarro total y parcial

How well did you know this?
1
Not at all
2
3
4
5
Perfectly
15
Q

RM RTAQ

A

lo mejor
busq lx asociadas

How well did you know this?
1
Not at all
2
3
4
5
Perfectly