Esclerosis multiple Flashcards

(10 cards)

1
Q

QUE ES: epid, etio

A

Enfermedad desmielinizante degenerativa.
Enf discapacitante del SNC mas comun en adultos jovenes.
Etiología poco clrarA: viral o ai

How well did you know this?
1
Not at all
2
3
4
5
Perfectly
1
Q

CLX

A

Presentación: neuritis óptica aguda, debilidd, demencia, parestesias, entumecimiento, alt en la marcha
20.40 a (pico a los 30)
MAS EN MUJERES

How well did you know this?
1
Not at all
2
3
4
5
Perfectly
2
Q

Imagen

A

TC POCO UTIL
RM lo mejor

How well did you know this?
1
Not at all
2
3
4
5
Perfectly
3
Q

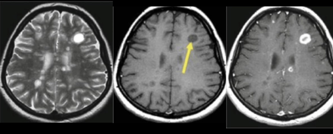
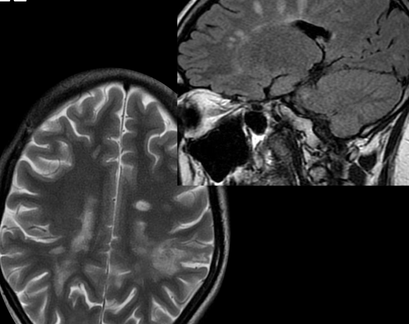
RM que vemos

A

Hiperintensidades calloseptales en T2 y flair
Pequeñas 5-10 mm, lineales y ovoides
Dedos de Dawson periventriculares

How well did you know this?
1
Not at all
2
3
4
5
Perfectly
4
Q
A
How well did you know this?
1
Not at all
2
3
4
5
Perfectly
5
Q

Como se ven las lesiones en T1

A

Hipointensas: black holes: crónicas

How well did you know this?
1
Not at all
2
3
4
5
Perfectly
6
Q

T1 + GD

A

Captación: agudas: activas

How well did you know this?
1
Not at all
2
3
4
5
Perfectly
7
Q

Variantes dx por RM

A

Devic, balo, marburg
Involucro a medula

How well did you know this?
1
Not at all
2
3
4
5
Perfectly
8
Q
A
How well did you know this?
1
Not at all
2
3
4
5
Perfectly
9
Q
A
How well did you know this?
1
Not at all
2
3
4
5
Perfectly