HIDROCEFALIA Flashcards

(12 cards)

1
Q

Que es

A

Aumento del volumen del LCR

How well did you know this?
1
Not at all
2
3
4
5
Perfectly
2
Q

Causas

A

Por obstrucción: más común
Por sobre producción
Por falta de absorción

How well did you know this?
1
Not at all
2
3
4
5
Perfectly
3
Q

Patología

A

Obstrucción de LCR, exp de ventriculos, liquido intersticial periventricular aumenta
Sobreproducción LCR

How well did you know this?
1
Not at all
2
3
4
5
Perfectly
4
Q

TIPOS

A

NO COMUNICANTE: Algunos ventriculos INTRAVENTRICULAR
Comunicante: TODOS LOS VENTRICULOS: EXTRAVENTRICULAR

How well did you know this?
1
Not at all
2
3
4
5
Perfectly
5
Q

CLX hidrocefalia no comunicante o intraventricular

A

HTIC: Cefalea, nausea, vomito
Papiledema en niños y agrandamiento de la cabeza
Ojos en peusta de sol

How well did you know this?
1
Not at all
2
3
4
5
Perfectly
6
Q

Causa mas comun HCNC

A

Estenosis u obstrucción del acueducto de silvio

How well did you know this?
1
Not at all
2
3
4
5
Perfectly
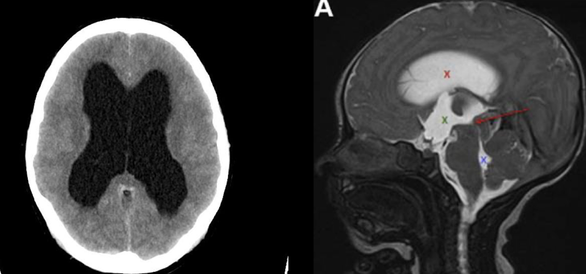
7
Q

HIV/NO COM IMAGEN

A

EM, TC O USG
IN UTERO US
Us transfontalenar
RM lo mejor para ver obstr del LCR: dilatación proximal a la obstrucción

How well did you know this?
1
Not at all
2
3
4
5
Perfectly
8
Q
A

HC INTRAVENTRICULAR

How well did you know this?
1
Not at all
2
3
4
5
Perfectly
9
Q

Hidrocefalia extraventricular que es

A

Obstr LCR a nivel de las cisternas basales o ESA

How well did you know this?
1
Not at all
2
3
4
5
Perfectly
10
Q

Causa mas comun HCEV/C

A

HSA

How well did you know this?
1
Not at all
2
3
4
5
Perfectly
11
Q

HEV PTX

A

Hemorragia–>fibrosis—> obstrucción del ESA

How well did you know this?
1
Not at all
2
3
4
5
Perfectly
12
Q
A

HCEV

How well did you know this?
1
Not at all
2
3
4
5
Perfectly