How do we see periodontal pockets on a radiograph?
We place a GP point in the pocket
Therefore, the GP will show the depth of the pocket on the radiograph.
Classify this caries

Decalcification.
It presents as white or brown spot lesions.
Classify this caries

Pit or fissure caries.
Classify this caries

Smooth surface caries.
This presents as caries on the buccal, lingual or cervical areas
Classify this caries

Interproximal caries.
Caries that develops where the teeth touch.
Classify this caries

Early childhood caries
It typically affects
Classify this caries

Secondary caries
Classify this caries

Arrested caries.
The caries is still present but it will not get worse.
It is black and hard rather than brown and sticky.
What is rampant caries?
When the patient has more than 10 new lesions a year.
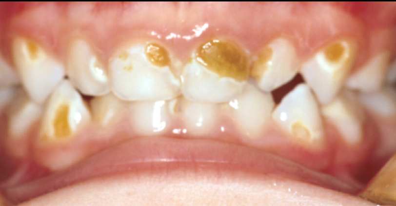
Caries in lower anteriors is a warning sign (Normally well protected)
Discuss the caries pattern in primary teeth
Discuss the caries pattern in mixed dentition.
Found in:
-Upper 6 palatal groove
What should you do in high risk patients with early permanent dentition.
Seal the second molars with fissure sealant when they erupt.
Why do we stabilise the teeth?
Why is the developmental stage of the teeth relevant to restoring?
There is no point restoring a primary tooth if it is close to exfoliation
Discuss the importance of space maintainers?
The earlier primary teeth are removed, the greater degree of space loss.
Discuss the balance and compensation of teeth after extraction.
We may need to extract the other tooth to prevent a central line shift or overuption
Canines- BALANCE (extract from same arch)
First primary molars- BALANCE if arch is crowded.
Lower first permanent molars- Compensate (Extract from same side)
What is the optimum age of extraction of maxillary First permanent molars?
Complete erruption of the 7s
What is the optimum age of extraction for the mandibular 1st permanent molars
Calcification of the bifurcation region of the lower 7s.
What happens when the maxillary first permanent molars are lost before optimum age
Rotation and mesial movement of the 7
Distal drift of the 5.
What happens when the mandibular first permanent molars are lost before optimum age
The 7s tilt
What happens when the mandibular first permanent molars are lost after optimum age
The 5 drifts distally and rotates.
Name and Describe this space maintainer

This is the band and loop space maintainer.
It is an orthodontic band for the 1st permanent molar with a wire that touches the distal surface of the 1st primary molar.
Name and describe this space maintainer.

This is a distal shoe.
It has a metal spike that slides down into bone.
This means that the unerrupted permanent molar will errupt into the right space.
List some dental symptoms of sepsis