What is periodontal health?
Patients with an intact periodontium or reduced periodontium (not caused by peridontitis)
What is characteristic of periodontal health?
<10% bleeding sites
Bone levels 1-3mm (no pockets >3mm)
What is plaque induced gingivitis?
Patients with
What is characteristic of plaque induced periodontitis?
No bone loss or interdental recession
Bleeding on probing
What can increase a patient’s susceptibility to plaque induced gingivitis?
Puberty- Plaque causes gingivitis but the hormones exagerate it.
Poor restorative margins- enabling greater plaque build up and inflammation.
Drug induced gingivial enlargemement.
What is shown here and what causes it?

Drug induced gingival enlargement.
Drugs such as:
Calcium channel blockers
Immunosuppresants.
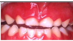
What has caused the red gingivae in this image?

Primary herpetic gingivostomatitis
(infection)
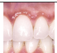
What has caused this gingival appearance?

A vitamin C deficiency has caused this skin discoloration.
What do you need to assess to diagnose periodontitis?
Stage-Bone loss
Grade-progression of bone loss (D for development)
Extent How much disease there is and where?
Some Giants Eat Sour Raspberries.
Compare grading and staging?
Staging is how much bone has been lost. (S for severe)
Stage 1/2/3/4
Grading is how quickly the bone loss has progressed is (D for Development)
Grade A/B/C
How do you stage bone loss?
Look at the maximum bone loss at the worst site and give it stage 1-4
What is stage 1 bone loss?
Early/mild with interproximal bone loss of 2mm at the worst site.
What is stage 2 bone loss?
Bone loss to the coronal third of the root.
What is stage 3 bone loss?
Interproximal bone loss to the mid third of the root.
What is stage 4 bone loss?
Interproximal bone loss to the apical third of the root.
Or if the patient has lost teeth due to periodontal disease.
How do you grade bone loss?
You find the worst site of bone loss and assign a percentage of bone that has been lost:
Grade= percentage bone loss/ age.
What is grade A bone loss?
When the percentage bone loss/age is <0.5.
The bone is being lost slowly.
What is grade B bone loss?
When the percentage bone loss/ age 0.5-1.
The bone loss is moderate.
What is grade C bone loss?
When percentage bone loss/age is >1.
The bone is being lost rapidly.
How do you describe the extent of periodontal disease?
Can be
What is characteristic of perio disease that is currently stable?
<10% teeth bleed on probing.
Periodontal pocket depth <=4mm
No BOP at 4mm sites.
What do we mean if the periodontal patient is in remission?
The patient had periodontitis and now has bleeding gums.
What is characteristic of a perio patient that is currently in remission?
Bleeding on Probing >=10%
Periodontal pocket depth <4mm
No BoP at 4mm sites
What is characteristic of a currently unstable periodontal patient?
Periodontal pocket depth >5mm
or
Periodontal pocket depth >4mm WITH bleeding on probing.