What is the oral health related quality of life?
This is a construct that reflects:
What has been shown to positively impact a patient’s oral health quality of life?
The more teeth you have
Having anterior teeth
The more occluding pairs you have
The ability to chew.
What has been shown to negatively impact a patient’s oral health quality of life.
Pain and xerostomia
Poor denture function
Dentures causing ulcers and bad breath
What was the Francis report and what did we learn from it?
This report highlighted the appalling care of people in a carehome.
We learned :
Why are older people at risk of oral disease?
Discuss aspiration pneumonia?
Normally found in older patients that are dependent and tube fed.
The main source of infection is oral bacteria.
In unclean mouths there is a build up of plaque and calculus (often containing large amounts of staph aureus)
Aspirating this introduces the bacteria into the body, leading to a life threatening spread of infection.
What is dementia?
It is a syndrome causing a deterioration in cognitive function and intellectual abilities beyond what might be expected with normal aging.
Compare the different types of dementia?
Alzheimers- (genetic)- Reduced cortex size and plaques of beta-amyloid building up between nerve cells.
Vascular -Damage and death of brain cells due to reduced blood flow to the brain.
Dementia with lewy bodies -Build up of abnormal protein lewy in brain cells (commonly in areas of memory and muscle movement)
Frontotemporal-Build up of ubiquitin associated clumps of protein in the frontal lobe of the brain.
Compare early, middle and late stage dementia?
Early stage-
Short term memory loss, inability to manage everyday tasks, confusion.
Middle stage-
increasingly forgetful, may fail to recognise people. More support required (including reminders to eat/wash/dress)
Late stage- Inability to recognise familar objects/ surroundings/ people. Increased physical frailty. Difficulty eating or swallowing.
How do we cure dementia?
We don’t, we just try and slow the progression
e.g. vascular dementia (we reduce the cardiac risk factors)
We can use anticholinesterases to improve nerve cell communication (to assist in behavioural difficulties)
How do you treat dental patients with early stage dementia?
Try and retain as many key teeth (occluding pairs/anterior teeth)
High quality restoratino.
Consider longevity of treatment- will they be able to look after a complex treatment as the condition deteriorates.
Establish a preventative regime
How do you treat dental patients with middle stage dementia?
What is ART caries management?
This is when you excavate the caries out, but leave a layer of caffected dentine over the pulp. You seal this in with GIC to stabilise and make the tooth more cleansable.
ART can be done domiciliary.
How do you treat patients with late stage dementia?
This is about making them comfortable. (we want a moist, clean, healthy mouth that is free of pain and infection)
Deal with the pain and leaving any asymptomatic disease.
You do not want your patient to be in and out of the dentist at the end of their life.
Avoid sedation and GA due to the risks.
What is this?

Haemangioma.
This is a collection of tiny blood vessels that burst creating a venous lake.
It is commonly found on the inside of the lip/ edge of the tongue.
Trauma can cause it to bleed.
Discuss this clinical image

Fibroepithelial Polyp.
After trauma, there is a buildup of healing tissue. (it does not heal properly)
It can be cecile (Broad based) or on a stalk.
Discuss this clinical image?

Hairy tongue.
This is due to staining on the tongue, but it is part of the tongue so you can’t really get rid of it.
Cleaning of the tongue is vital.
Discuss this clinical image?

Geographical tounge,
We have areas of atrophy surrounded by white marks.
Discuss this clinical image?

Atrophic glossitis.
A really smooth tongue most commonly caused by low iron and b12.
If the tongue is not treated, it will begin to ulcerate.
Discuss this clinical image?

Frictional Keratosis ,
If there is trauma, then keratinisation will be produced around it. If you cannot prescribe what is causing the white patch (get a biopsy)
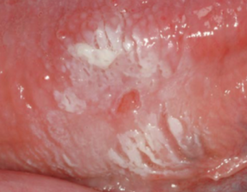
Discuss this clinical image?

Speckled leukoplakia.
Pre-malignant
Speckled mucosa found at the angle of the mouth.
More common in smokers.
Discuss this clinical image?

Sublingual keratosis,
A white patch that crosses the midline.
We refer this to the experts (could be pre-malignant)
Discuss this clinical image

This is herpes Zoster, when shingles reactivates.
Compare trigeminal neuralgia and Post Herpetic neuralgia?
Trigeminal neuralgia- Pain in the trigeminal region (treated by carbamazepine)
Post herpetic neuralgia- this is a constant burning sensation in the dermatomes. It is psychologically treated becasue it is so painful (e.g. antidepressants)