Compare rotation and translation
Rotation- the codyle and disc do not leave the articular fossa, it just rotates around the terminal hinge axis.
Translation- the condyle and disc move downwards and out of the articular fossa (caused by lateral pterygoid contraction)
What is Posselts envelope?
The extremes of mandibular movements in the sagittal plane.

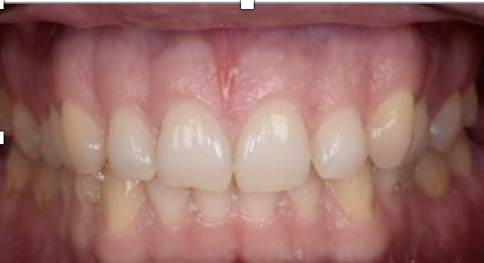
Name this tooth position ?

This is intercuspal position (ICP)
This is the maximum interdigitiation of the teeth- known as the comfy bite.
Name this tooth position

This is edge to edge-
The teeth slide forward from ICP. The icisal edges of the upper and lower insiors touch & the mandible is pushed forward.
Name this tooth position

Protrusion
The condyle moves forwards and downwards on the articular eminence. Only the incisors (and sometimes the canines touch). There are no posterior tooth contacts.
What is the maximum opening?
Mouth is wide open.
There are no tooth contacts.
There is full translation of the condyle over the articular eminence.
Compare the retruded axis position and the retruded contact position?
Retruded Axis position- the most superior position of the condylar head in the fossa (no tooth contacts).
Retruded contact position- the first tooth contact when the mandible is in the retruded axis position. This is the position of the jaw when the tongue is touching the top of the mouth.
What is the average difference between the RCP and the ICP.
The mandible normally slides forward about 1mm to achieve ICP
Describe the two parts of the Bennet movement.
Working side- the side that the mandible is moving to
Non working side- the side that the mandible is moving away from (this moves forwards and inwards)
What is the Bennet angle?
The path of the non-working condyle in the horizontal plane during lateral excursion.
What is a mutally protected occlusion and why do we want it ?
This relieves the posterior teeth. Only the anterior teeth are subjected to lateral forces. (this allows the muscles of mastication to rest)
When do you mark the tooth contacts and why?
Before preparing a tooth or removing a restoration (so you can replace the contatc points- preventing the new restoration from altering the occlusion)
AFTER
What are the ICP contacts?
Lower buccal cusp contacts with fossa of the upper molar.
Upper palatal cusp contacts with lower molar fossa.
UP IB

What does this articulation mark tell us?

There is canine guidance- the only contact is between the canines on the working side.
What does this articulation mark tell us?

There is group function - Multiple teeth are in contact on the working side.
What does this articulation mark tell us?

There is protrusion-
There are only incisor and canine contacts. The posterior teeth should not touch.
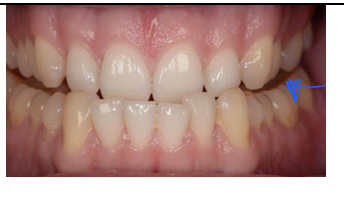
What does this articulating mark mean?

There is a thick line on the 7- this indicates that we have a posterior contact.
It is on the working side (so it the similar cusps must be contacting)
What does this articulating mark mean?

There is a line on the 6 which indicates a posterior contact.
Because the contact is on the non-workingside, it must be disimilar cusps that are contacting)
What does this articulating mark mean?

There is a posterior contact during protrusion of the tooth.
Why do we want to avoid posterior contacts?
Because posteiror teeth are not designed to absorb lateral forces (that are generated by occlusal interference)
They are designed to take the force down the long axis of the tooth.
What are the two types of bruxism?
Eccentric- a side to side grinding of the teeth (more of a habit)
Centric- a more static position associated with clenching (on purpose)
What are the clinical signs of bruxism?
How do we describe tooth wear?
Using the BEWE (Basic erosive wear Examination)
0-No erosive wear
1- Mild- inital loss of tooth surface
2- Moderate <50% tooth lost
3- Severe >50% of tooth surface loss
What is fremitus and how do we test it?
This is palpable or visible tooth movement when subjected to occlusal forces.
We test this by placing our index finger on the tooth and getting the patient to tap their teeth together.