
Squamos Papilloma
Benign proliferation of STRATIFIED SQUAMOUS epithelium
Caused by: HPV 6 & 11 (DNA virus)
Low virulence and infectivity rate
MOST COMMON - intraoral
Sites of predilection of Squamous Papilloma
Tongue
Lips
Soft Palate
What are the clinical manifestations of Squamous Papilloma?
Pedunculated
Painless
White, red, or mucosal colored
5mm
Squmous Papilloma Differentials
Verruca Vulgaris
Condyloma acuminatum
Verruciform xanthoma

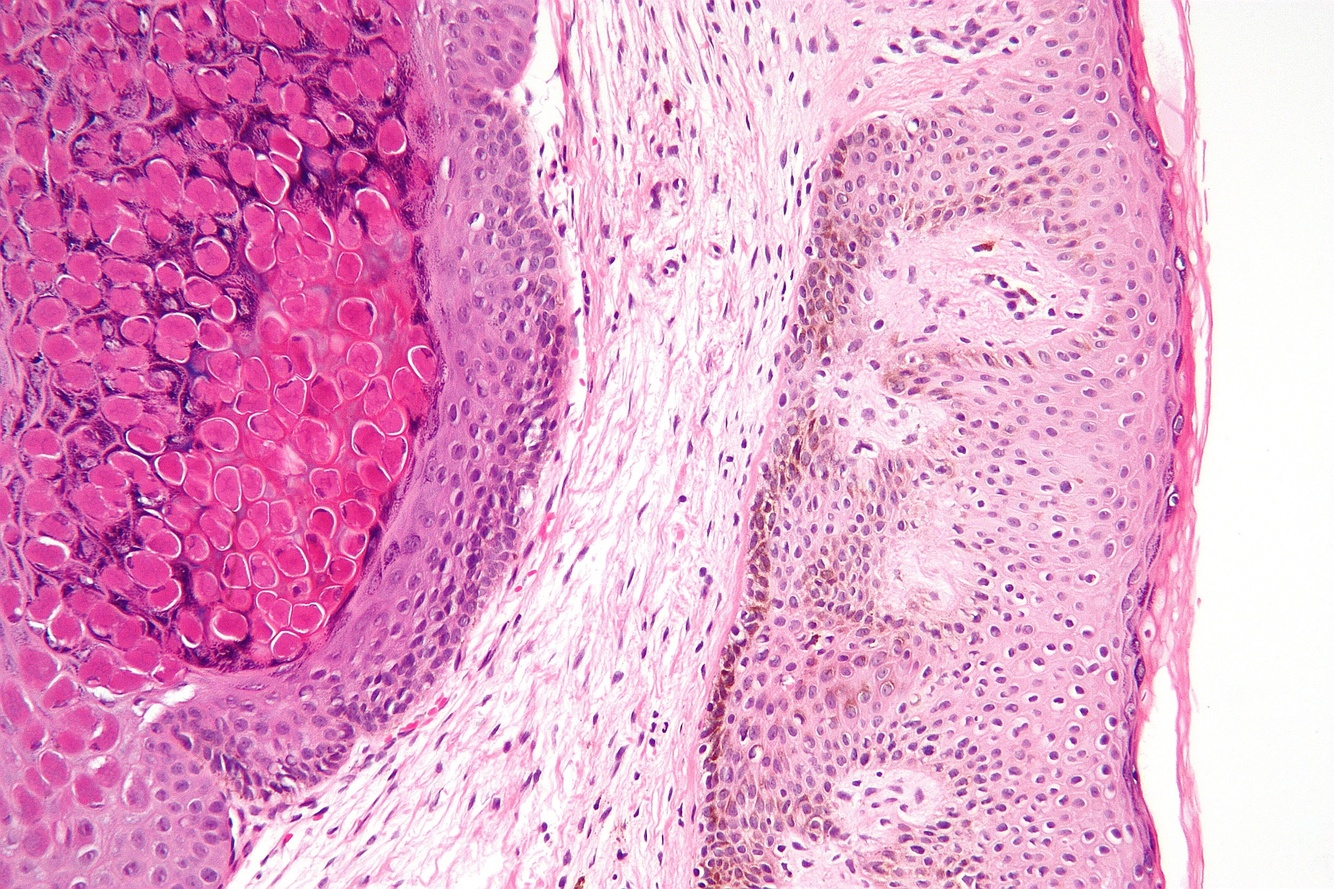
Verruca Vulgaris
HPV 2, 4, 6, 40
CONTAGIOUS - common on skin (hands)
ORAL LESIONS –> always white
* Hyperkeratized layer
Pedunculated or sessile
5mm
Multiple or clusters are common

Condyloma Acuminatum
(Venereal Wart)
HPV 2, 6, 11, 16, 18, 31, 53, 54
Clinically –> Painless, Sessile (short blunted surface projection), Exophytic, Clustered
Large (2x as papilloma or verruca vulgaris)
Condyloma Acuminatum Differential Diagnosis
Squamos papilloma
Verruca Vulgaris
Verruciform xanthoma
HPV 16 and HPV 18
Condyloma acuminatum
increased risk for malignant transformation to squamos cell carcinoma
_** anogenital region – NOT ORAL LESIONS **_
HPV 6 and 11
Squamous Papilloma
(may be Condyloma acuminatum)
HPV 2, 4, 6, 40
Verruca Vulgaris
HPV 2, 6, 11, 16, 18, 31, 53, 54
Condyloma Acuminatum
Multifocal Epithelial Hyperplasia
HECK’S DISEASE
HPV 13 & 32
CHILDHOOD
Multiple lesions
Painless
Flattened or rounded papules –> Cobblestone
Mucosal colored
Treatment for Heck’s Disease?
Spontaneously regress
Conservative surgical excision
Risk of recurrence
No risk of malignancy
Heck’s Disease
Multifocal Epithelial Hyperplasia

Sinonasal Papillomas
Benign - localized proliferation of respiratory mucosa
Three histological patterns
Arise from:
* Lateral nasal wall
* Septum
* Sinuses
Sinonasal Papilloma Histological Forms (3)
Fungiform
Inverted
Cylindrical

Mulluscum Contagiosum
DNA POXVIRUS
virally-induced epithelial hyperplasia
Sessile, papules
Umbilicated lesions
Skin-colored
Smooth surface
Molluscum contagiosum histology
Molluscum bodies (Henderson-paterson bodies)
Virally infected epithelial cells (glossy appearance)

Treatment of Molluscum Contagiosum
Remission occurs in 9 months
Treat to decrease risk of transmission
Remove by curettage or cryotherapy

Verruciform Xanthoma
Hyperplastic condition - likely due to trauma
Lipid-laden histiocytes in the epithelium – XANTHOMA CELLS
Common on gingiva
Painless
Sessile (slightly elevated)
Papillary (roughened surface)
Mucosal, white, yellow, or red
<2cm
Multiple lesions possible
Verrucifrom Xanthoma differential diagnosis
Squamous papilloma
Verruca vulgaris
Condyloma acuminatum
Treatment of Verruciform Xanthoma
Conservative surgical excision
Recurrence is rare
No risk of malignant transformation

Seborrheic Keratosis
Benign proliferation of epidermal basal cells (aquired)
DOES NOT OCCUR IN THE MOUTH
SKIN of FACE, TRUNK, and EXTREMITIES
lesions more prevalent with AGE
Tan to brown macules
Dermatosis papulosa nigra
Seborrheic Keratosis that occurs in AFRICAN AMERICANS
Genetic inheritance (AD)
Multiple black 2mm papules
Scattered around zygomatic and periorbital region