
Mucocele
Mucus Extravasation Phenomenon
Spillage of mucin into the soft tissue due to rupture of a salivary gland duct, usually caused by trauma.
May fill with fibrotic tissue and develop into a fibroma
More superficial –> clear
may rupture and pts may think they are recurring “blisters”
More deep –> Mucosal colored, purple due to blood
Most common locations for mucocele
Lower lip (81%)
FOM
Anterior ventral tongue
Buccal Mucosa
Mucocele Treatment
Surgical excision
Remove with the adjacent minor salivary gland
Submit to pathology to ensure it is not cancerous
Mucocele’s of the upper lip are more likely to be a
Salivary gland tumor
Mucoceles of the retromolar region are distinctly unusual…. most are
Mucoepidermoid carcinoma
Malignant Salivary Neoplasm

Ranula
Mucoceles in the floor of the mouth – usually lateral to the midline
Sublingual gland duct
Treatment of a Ranula
Removal of the feeding sublingual gland and/or marsupialization (Removal of the roof of the intraoral lesion)
What may an untreated Ranula become?
Plunging Ranula
Dissects through the mylohyoid muscle
May cause death –> closes of esophagus and airway

Salivary Duct Cyst
Epithelium-lined cavity that arises from the salivary gland tissue – SIMPLE CUBOIDAL
(Looks similar to mucocele – just lined with epithelium)
Moslty in adults
Major and minor salivary glands
Bluish (or mucosal colored), soft fluctuant swelling
Where is a salivary duct cyts most often found?
Parotid gland
FOM
Buccal mucosa
Lips
What is the treatment for a salivary duct cyst?
Surgical excision

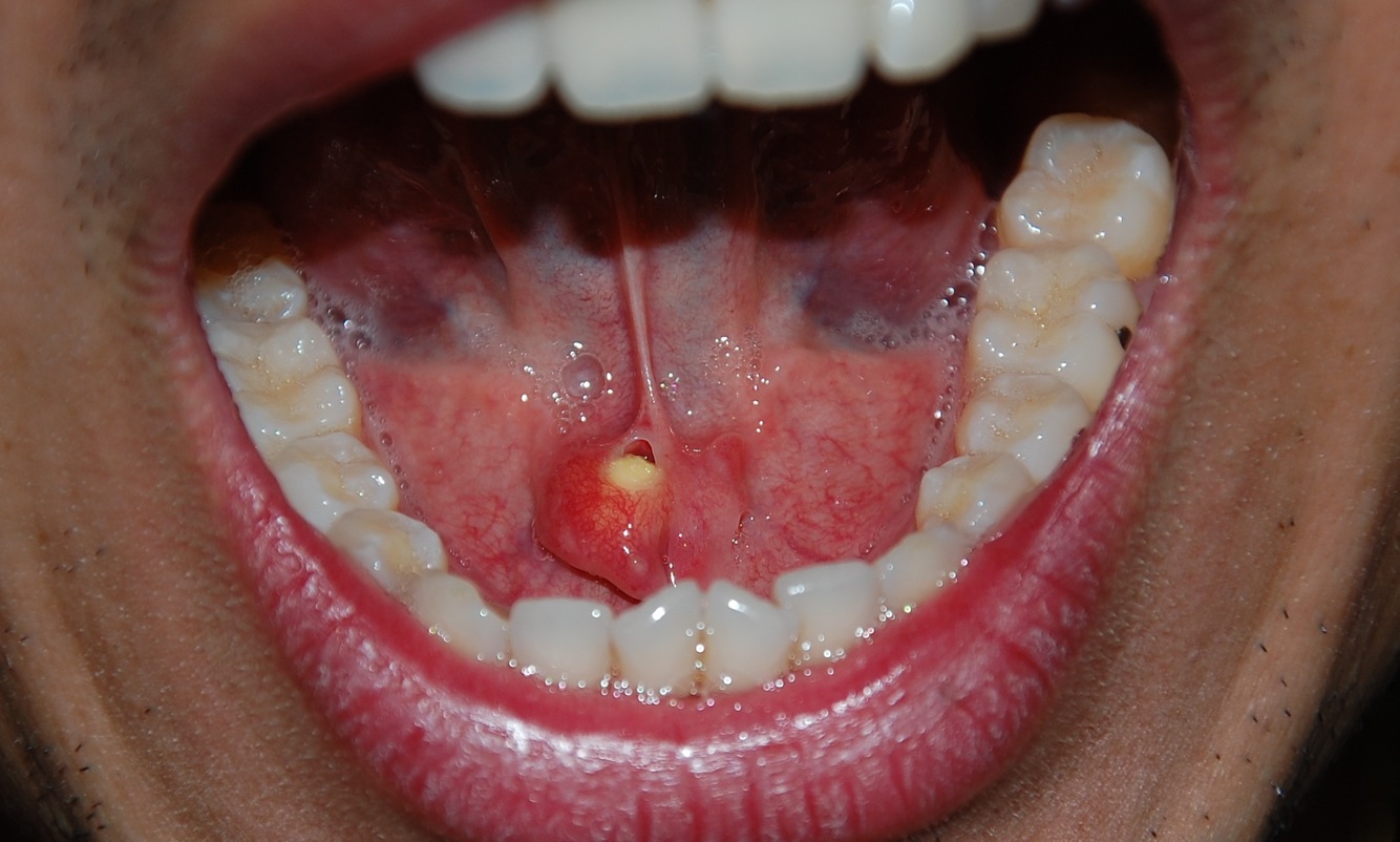
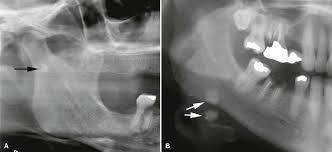
Sialolith (Sialolithiasis)
Calcifications developed in salivary duct
** SUBMANDIBULAR gland – long duct **
Upper lip, buccal mucosa
Pain or swelling especially at meal time

Treatment for Sialolith
Gentle massage
Increase fluid intake
Moist heat
Silogogue surgery
Sialadentitis
Inflammation of the salivary gland
Infection –> Viral (MUMPS)
Noninfection –> Sjrogrens, Sarcoidosis
Mumps
Epidemic Parotitis
Paramyxovirus
Epididymoorchitis, mastistis (breasts), oophoritis
Anesthesia Mumps
Rare complication after general anesthesia
Swelling of parotid or submandibular glands after surgery
Spontaneously resolve
Sialadenosis (Sialosis)
Non-inflammatory asymptomatic salivary gland enlargment
Hypertrophy of acini –> PAROTID GLAND
Underlying systemic conditions:
Endocrine disorders –> diabetes mellitus, hypthyroidism, prganancy
Malnutrition –> alcoholism, anorexia, bulimia
Drugs –> Anti-hypertensive drugs, psychotropic drugs
Causes for Sialadenosis
Diabetes Mellitus, hypothyroidism, pregnancy
Malnutrition, alcoholism, anorexia, bulimia
Anti-hypertensive drugs, psychotropic drugs
Adenomatoid Hyperplasia
Hyperplasia and/or hypertrophy of minor salivary glands
Localized
Sessile painless swelling that mimics a neoplasm
Biopsy –> rule out neoplasm
Necrotizing Sialometaplasia
Locally destructive inflammatory condition of the salivary glands (trauma)
Traumatic Injuries
Dental injections - tear the periosteum; kills the underlying tissue
Due to ischemia - leads to local infarction
Frequently PALATAL - unilateral
Non-ulcerated swelling, pain and paresthesia –> necrotic tissue sloughs off, ulcer –> heals in 5-6 weeks
Mimics malignancy - but too acute, histology

Cheilitis Glandularis
Swelling and eversion of lower lip
Hypertrophy and inflammation of minor salivary glands
Cause: Sun damage, tobacco, syphillis, poor hygiene
Clinical Presentation:
Swelling and pain
Eversion
Red dots – duct orifices
Weeping mucopurulent secretions
Sialorrhea
Excessive salivation
“DROOLING”
Causes:
Local irritants (ulcers)
GERD
Rabies
Medications
Down syndrome, Cerebral palsy
Treatment for Sialorrhea
Treate underlying cause
Anticholinergeic medications
Surgery - relocate salivary ducts
Xerostomia
DRY MOUTH
Complications:
Candidiasis - angular cheilitis
Prone to cervical and root caries
Alteration of taste (metallic)