
Fibroma
* Most common “tumor” of the oral cavity *
Hyperplasia of FIBROUS connective tissue in response to local irriant or trauma
Most common location –> BUCCAL mucosa along the bite ling
Asymptomatic, sessile, smooth-surfaced nodule
Similar to mucosal coloring
Most common location for a fibroma?
Buccal mucosa along the occlusal plane (bite line)
Treatment for Fibroma?
Surgical excision
MUST submit to biopsy

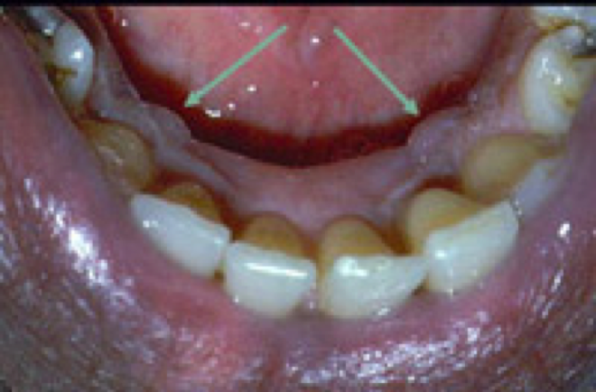
Retrocuspid Papilla
“Giant Cell Fibroma”
Fibrous tumor with distinctive features - not associated with chronic irritation
YOUNGER patients
Gingiva - lingual to mandibular cuspids
BILATERAL
Normal anatomic variation – regresses with age
Treatment for Retrocuspid papilla
NO biopsy is needed
Can leave alone – may regress with age
Inflammatory Fibrous Hyperplasia (IFH)
Tumor like hyperplasia – FIBROUS connective tissue
* Tumor –> fibrous CT and inflammatory cells*
Epulis Fissuratum
Predominately found on GINGIVA

Epulis Fissuratum
“Inflammatory Fibroous Hyperplasia”
Associated with flange on ill fitting DENTURES
Facial aspect of alveolar ridge
Treatment –> Surgical removal and remake denture

Inflammatory Papillary Hyperplasia (IPH)
Reactive tissue growth that develops under a denture
Due to:
Ill fitting denture
Poor denture hygiene
Wearing a denture 24 hours a day (20% of denture patients)
Asymptomatic
Erythematous tissue
Pebbly or papillary surface
May also have a CANDIDAL infection
Treatment of Inflammatory Papillary Hyperplasia
Relieve tissue of dentures
Surgical extraction
Anti-fungals
Fibrous Histiocytoma
Occurs mostly on SKIN –> DERMATOFIBROMA
Painless nodular mass
Treatment –> surgicl excisions
Oral Focal Mucinosis
Overproduction of hyaluronic acid by fibroblasts
YOUNG FEMALES
Most common location – gingiva
4 differential of lesions that occcur on GINGIVA
IFH - Inflammatory fibrous hyperplasia
Pyogenic granuloma
Peripheral Giant Cell Carcinoma
Peripheral Ossifying Fibroma
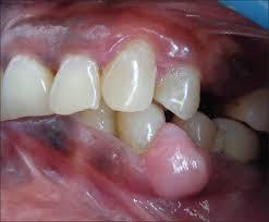
Pyogenic Granuloma
Reactive lesion to local irritant or trauma (poor oral hygiene)
RAPID growth
Predilection for GINGIVA
PREGNANT women (defer treatment)
Smooth lobulated mass - pedunculated
Ulcerated and lesion bleeds easily - hyperplasia of capillaries
Treatment –> Surgical excision
Should extend down to periosteum and adjacent teeth scaled

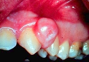
Peripheral Ossifying Fibroma (POF)
Occures eclusively –> on gingiva
**INCISOR CUSPID REGION **
Nodular mass - originating from dental papilla
Treatment — excision down to periosteum and scall teeth

Peripheral Giant Cell Granuloma (PGCG)
Occures exclusively on GINGIVA or edentulous alveolar ridge
May produce a “CUPPING” resorption of the underlying alveolar bone
Erythematous mass –> BLUE or PURPLE
Treatment – excision down to underlying bone
Histology –> GIANT CELLS
LIPOMA
Benigna tumor of fate
Most common MESENCHYMAL NEOPLASM
Soft, fluctuant
Smooth surfaced nodular mass
Yellow or mucosal colored
50% on BUCCAL MUCOSA
**FLOAT in FORMALIN**

Neuroma
Traumatic neuroma or palisaded encapsulated neuroma
Proliferation of neural tissue after injury
1/3 are painful
MENTAL FORAMEN
Treatment – surgical removal
Schwannoma
“Neurilemoma”
Benign neural neoplasm of schwann cell origin
Half of cases occur in Head and Neck
Slow growing
Encapsulated tumor
Association with a nerve trunk
Typically Asymptomatic
Most common location: Tongue
Histology of Schwannoma

Antoni A –> organized: streaming fasicles of spindle-shaped schwann cells. Surround eosinophilc areas known as Verocay bodies
Antoni B –> unorganized
Neurofibroma

Most common peripheral nerve neoplasms
Young adults
slow growing
Soft
Painless
Most common location: Skin, Tongue, buccal mucosa
Treatment –> surgical excision
** CHECK PATIENT FOR NEUROFIBROMATOSIS **
Neurofibromatosis Type I
Hereditary
Most common form of the 8 types
NF1 –> von Recklinghausen’s disease of the skin
Pathognomonic –> Plexiform variant of NF
2/3 of patients have a milde disease.
Plexiform Variant of Nuerofibroma
“Bag of worms”
Pathognomonic for Neurofibromatosis Type I

Neurofibromatosis Type I Diagnositc critera (6)
Six or more cafe au lait macules (coast of california - smooth borders)
2 or more Neurofibroma OR 1 plexiform Neurofibroma
Crowe’s Disease (axillary region)
Optic glioma
2 or more iris hamartomas (LISH NODULES)
Osseous lesion
First degree relative with NF1

Cafe au lait macule
“Coast of California” – smooth borders
Diagnostic criterea for Neurofibromatosis (six or more)