
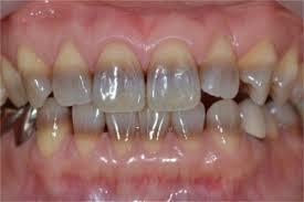
Tetracycline staining
Intrinsically permanently stained - incorporated by ameloblasts

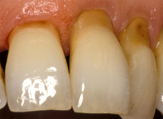
Turner’s Hypoplasia
Periapical inflammatory disease of overlying deciduous
Enamel defects of the permanent teeth
Permanent Bicuspids

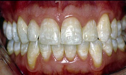
Dental Fluorosis
Excess amounts of fluoride result in significant enamel defects
During tooth development (2nd and 3rd years), don’t use fluoridated toothpaste
Optimum fluoridation of drinking water –> .7ppm
Congenital Syphillis
Rare
Hutchinsons incisors
Mulberry molars

Mulberry Molars
*Congenital Syphillis*

Hutchinson’s Incisors
*Congenital Syphillis*
Hutchinson’s Triad
Hutchinson’s Teeth
Interstitial Keratitis (corneal scarring)
8th nerve deafness
Saddle nose (may manifest in leprosy as well)

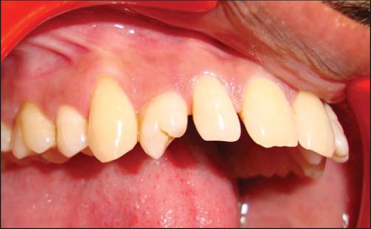
Abrasion

Erosion

Abfraction
Impacted Teeth
Mandibular 3rd molars > Maxillary 3rd molars > Maxillary Canines

Ankylosis
No PDL
Fuses to the bone – WILL NOT ERUPT
Failure of the tooth to reach the occlusal plane
Primary or permanent
Anodontia
Lack of tooth development
Occur in the presence of Hereditary hpohidrotic ectodermal dysplasia (absence of ectodermal tissue development)
Hypodontia
Lack of one ore more teeth
Abscence of deciduous tooth –> Likely to miss associated permanent tooth (develop from the same dental lamina)
Ectodermal Dsyplasia –> Conical shaped teeth
Oligodontia
Lack of 6+ teeth
Hyperdontia
Supernumerary teeth
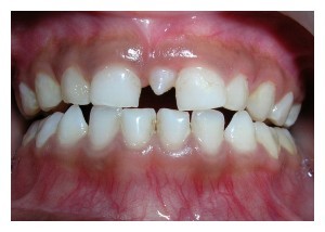
Mesiodens

supernumerary tooth that develops in the MAXILLARY incisal region between centrals

Dental Transposition
Teeth flip positions and grow not in the normal location

Rege Fede Disease
Traumatic ulcerations of the adjacent soft tissue from neonatal teeth that may occur during breast feeding
Gemination
Single enlarged tooth or joined teeth in which the tooth count is normal when the anomalous toot is counted as one
single pulp chamber
Fusion
Single enlarged tooth or joined teeth in which the tooth count reveals a missiong tooth when the anomalous tooth is counted as one
Two different pulp chambers
Concrescence
Union of two adjacent teeth by cementum alone without confluence of underlying dentin

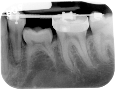
Dilaceration
A bend in the tooth – usually distally
Mandibular 3rd molars

Dens Evaginatus
External growth of the tooth
PREMOLAR teeth
100% prevalence in NATIVE AMERICANS
May have a pulp horn