Benign bone neoplasia
Asymptomatic
Slow growth – displaces teeth and expands the cortex of bone
Symmetrical
Does not metastasize
Corticated rim
(Expanded cortex –> slow pressure: osteoclasts remove bone and signal to osteoblasts to lay down new bone)

Benign lesion
Malignant bone neoplasia
Symptomatic
Grows RAPIDLY - bone resorption
Asymmetrical
Ragged or poorly defined margins
Destroys cortex
Lay bone down outside of the cortex
Capable of metastasis
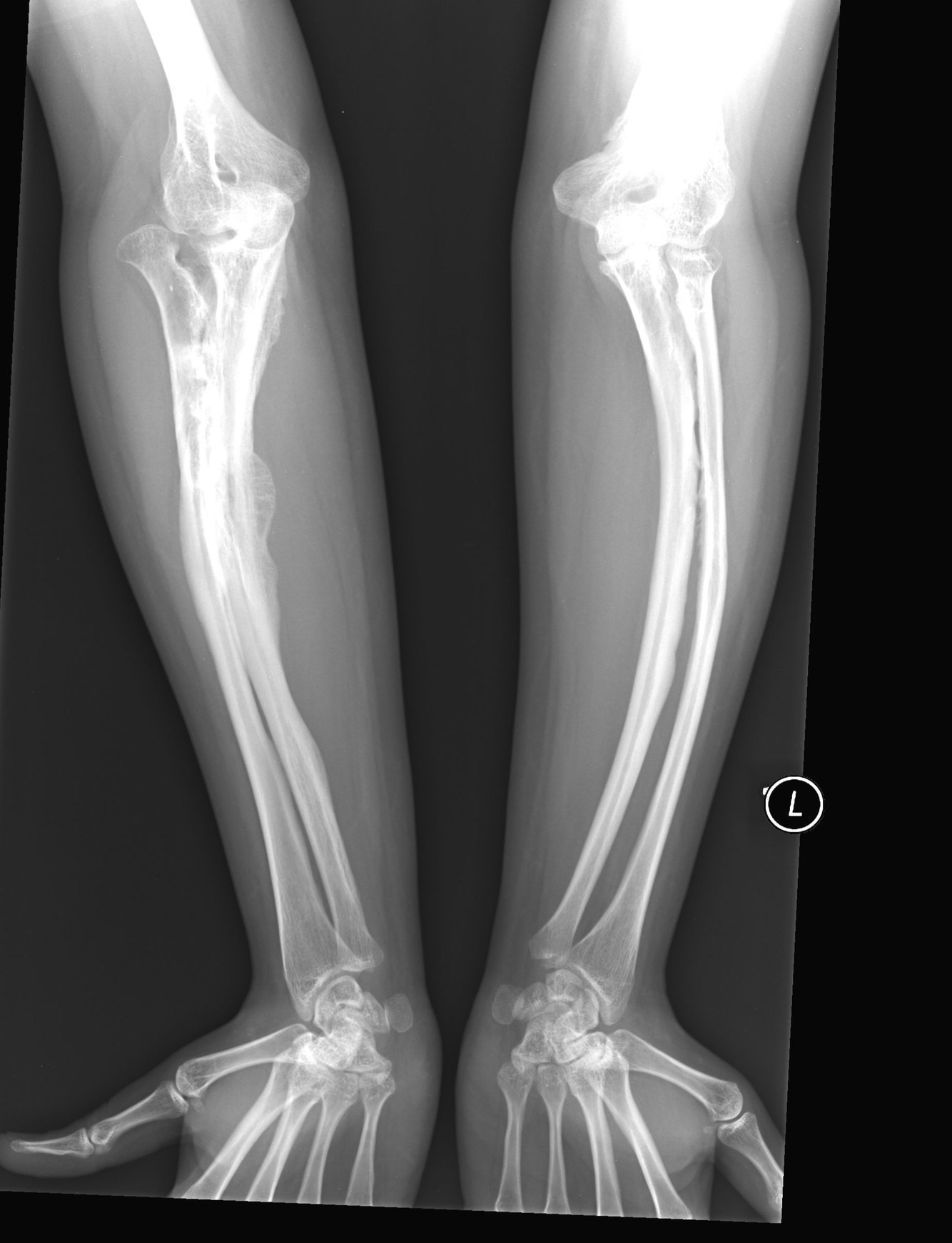
Osteogenesis Imperfecta
Defect in COLLAGEN TYPE I maturation
(most common type of inherited bone disease)
Bone has –>
Thin cortex
Fine trabeculation
Diffuse osteoporosis
Bone healing may occur – but may be inappropriate healing
Signs and symptoms:
Bone fragility
Blue sclera
Altered teeth – blue/brown opalescent teeth, premature pulpal obliteration, Class III malocclussion (simmilar to dentinogenesis imperfecta)
Hearing loss
Long bone and spine deformitites
Joint hyperextensibility
Xrays: Osteopenia (low bone density), Bowing, Wormian bone of skull
patients may be on BISPHOSPHONATES
Xray features of osteogenesis imperfecta
Osteopenia (low bone density)
Bowing
Wormian bones in the skull
Oral cavity findings in osteogenesis imperfecta
Teeth - blue to brown translucence
Premature pulpal obliteration
class II malocclusion
Similar tooth look to dentinogenesis imperfecta
What is defective in osteogeneis imperfecta?
Type I collagen maturation

Blue sclera!
Unique to osteogenesis imperfecta
( Bowing of bones – another symtom)

Osteopetrosis
Marble bone disease
Skeletal disorder with a marked increase in BONE DENSITY (no bone is broken down)
** Defect in remodeling caused by FAILURE of normal OSTEOCLAST function **
VERY radio-opaque radiographs
Loss of marrow space – loss of nutrients (blood supply) –> may becoe osteomyelitits
Usually class III

Osteopetrosis
Failure of normal osteoclast function
May develp osteomyelitis
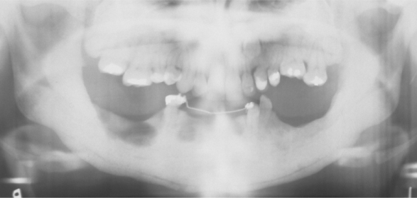
Cleidocranial Dysplasia
Characterized by clavicle and dental abnormatlities
Clavicles – varying degress of hypoplasia (unusual mobility of shoulders)
Appearance (DIAGNOSTIC): Short stature, big head. Pronounced frontal bossing, Occular hypertelorism, broad base of nose
Oral ->
HIGH arched palates.
increased prevalance of cleft palate
Prolonged retention of deciduous teeth
Delay or failure of eruption or permanent teeth
Abnormally shaped teeth
**Numerous unerrupted permanent teeth and supernumerary teeth **
No treatment
Moveable shoulders

Cleidocranial Dysplasia
Oral complications of cleidocranial dysplasia
High arched palate
INCREASED prevalence of cleft palate
Prolonged retention of deciduous teeth
Delayed or failure of eruption of permanent teeth
Abnormally shaped teeth
Numerous unerupted permanent and supernumerary teeth
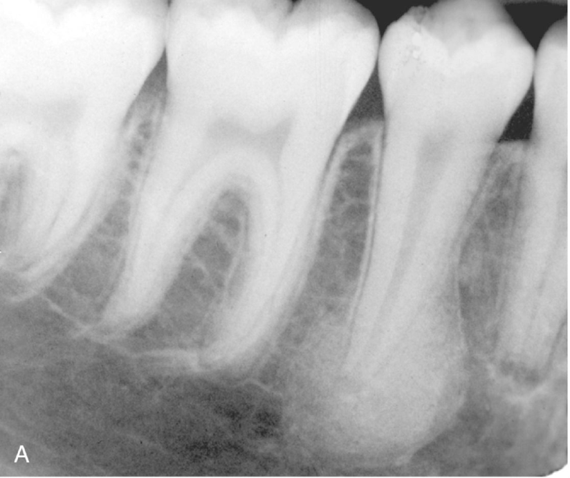
Focal osteoporotic marrow defect
Area of hematopoietic marrow – producing a radiography lucency (varies in size)
Marrow has pushed the bone away creating a defect
NOT PATHOLOGY - asymptomatic and incidental finding on radiograph
Radiolucency - ill defined borders with fine central trabeculations (multilocular)
Occurs in posterior mandible typically
NO jaw expansion
Biopsy is required for diagnosis – will just have bone marrow
No treatment necessary
No association with any hematologic disorder

Focal osteoporotic marrow defect
Idiopathic osteosclerosis
Focal area of increased radiodensity
UNKOWN cause
Typically associated with a healthy tooth
Can be present with NO teeth – after extraction
ASYMPTOMATIC
No cortical expansion
Diagnosis – history, clinical findings, radiographic findings
Biopsy is considered if symptomatic
If found in adolescence – periodic XRAYS are prudent until the area stabilizes. No treatment necessary.
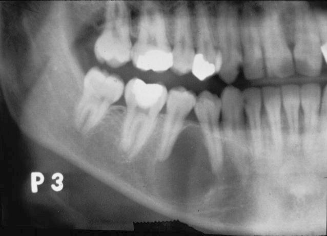
Idiopathic osteosclerosis XRAY manifestations
Well defined - Round or Elliptical
Radiopaque
Usually associated with root apex
NO radiolucent rim

Idiopathic osteosclerosis
Healthy tooth
Radioopaque
Well defined
NO radiolucent rim
Condensing osteitis vs idiopathic osteosclerosis
Condensing osteitis –> associated with infection
Cemento-osseous dysplasia vs idiopathic osteosclerosis
Cemento-osseeous dysplasia –> Radiolucent rim

Cementoblastoma vs idiopathic osteoscelerosis
Cementoblastoma –> fused with the tooth
NO PDL SPACE
bulges out

Massive osteolysis
Gorham Disease
spontaneous and progressive destruction of one or more bones - affected area does not regenerate or repair
Destroyed bone is initially replaced by vascular proliferation
Eventually filled with dense fibrous tissue
No known cause
Mandible affected more than maxilla
Treatment: Surgical and bisphosphonates
Surgical + bone graft –> bone graft will undergo osteolysis (not a successful treatment)
Massive osteolysis signs and symptoms
Mobile teeth
Pain
Malocclusion - movement of teeth
Deviation of the mandible
Clinically obvious deformity
Pathologic fracture
Massive osteolysis xray manifestation
Radiolucent foci of varying size with indistinct margins
Coalesce to become larger - involve cortical bone
Large prortions of invovled bone disappear
Loss of lamina dura