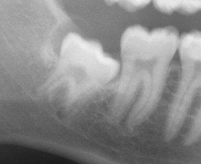
Dentigerous Cyst
Cyst tht originates by separation of the follicle from the crown of unerrupted tooth.
Accumulation of fluid between the REE and tooth crown
Follicular space is larger than 3mm
Encloses the crown of the unerrupted tooth and is attached at the CEJ
Completely asymptomatic – discoveredon routine xray
XRAY: UNILOCULAR radiolucency, well defined (sclerotic border)
Most commonly associated with 3rd molars
MOST COMMON DEVELOPMENTAL ODONTOGENIC CYST
Treatment: Enucleation of the cyst with the unerrupted tooth.
May marsupialization

Dentigerous Odontogenic Cyst
**MOST COMMON DEVELOPMENTAL ODONOTGENIC CYST**
UNILOCULAR LESION
Most commonly associated with 3rd molars
Asymptomatic
NEED to remove – cysts continue to grow
(may need to remove tooth and cyst)
Odontogenic Cysts
Pathologic cavity lined by odontogenic epithlium and filled with fluid or semisolid material
Originates from: Rests of Sire (90%) or Rest of Malessez (10%)
Come from the dental lamin (dental epithelium)
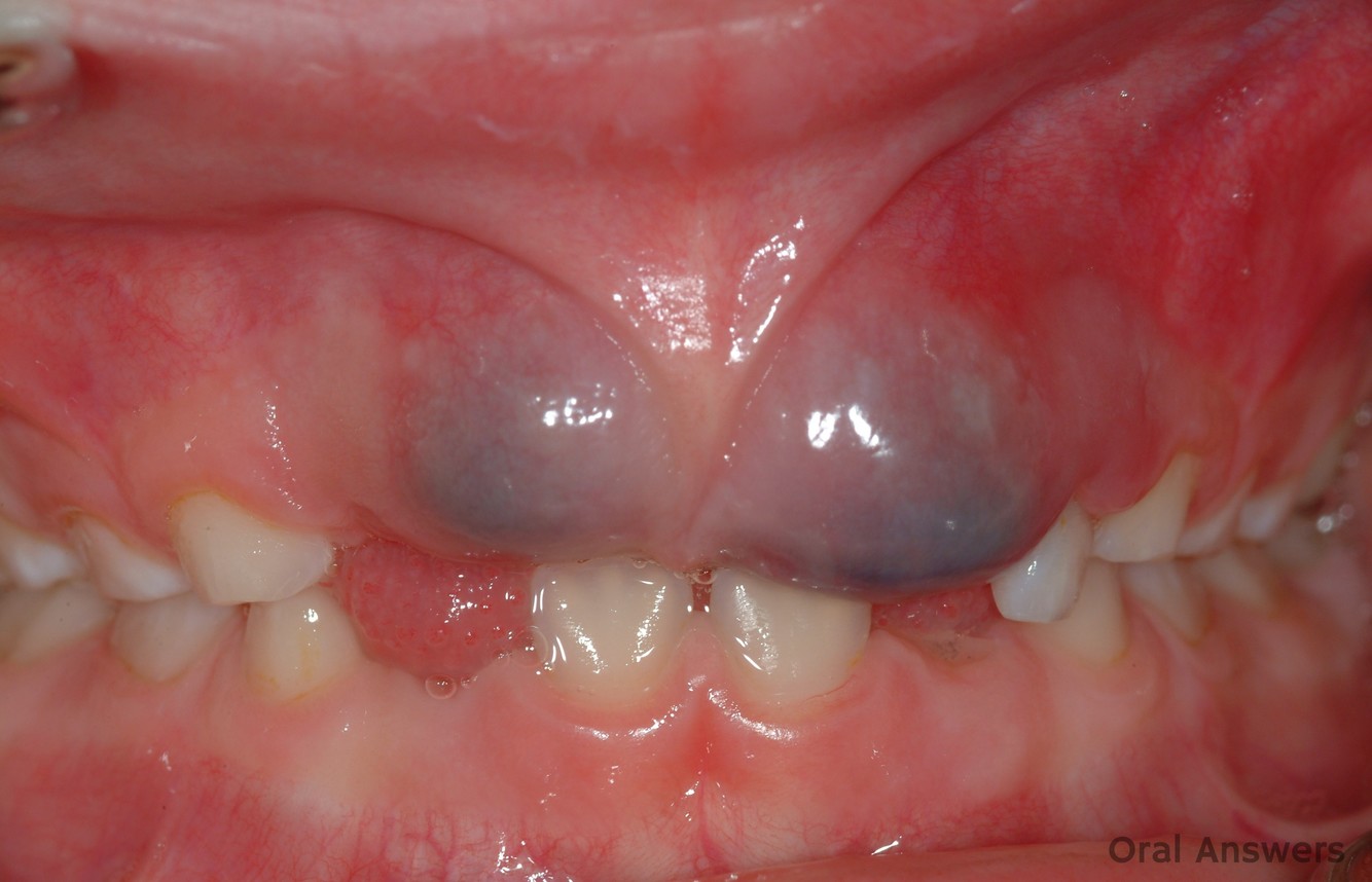
Eruption Cyst
SOFT TISSUE analogue of the dentigerous cyst
Tooth will errupt
Develops as result of separation of the dental follicle from around the crown o an erupting tooth
Clinically –> blue swelling
Radiographically –> tooth is erupting
Younger children

Eruption Cyst
Looked radiographically for an errupting tooth

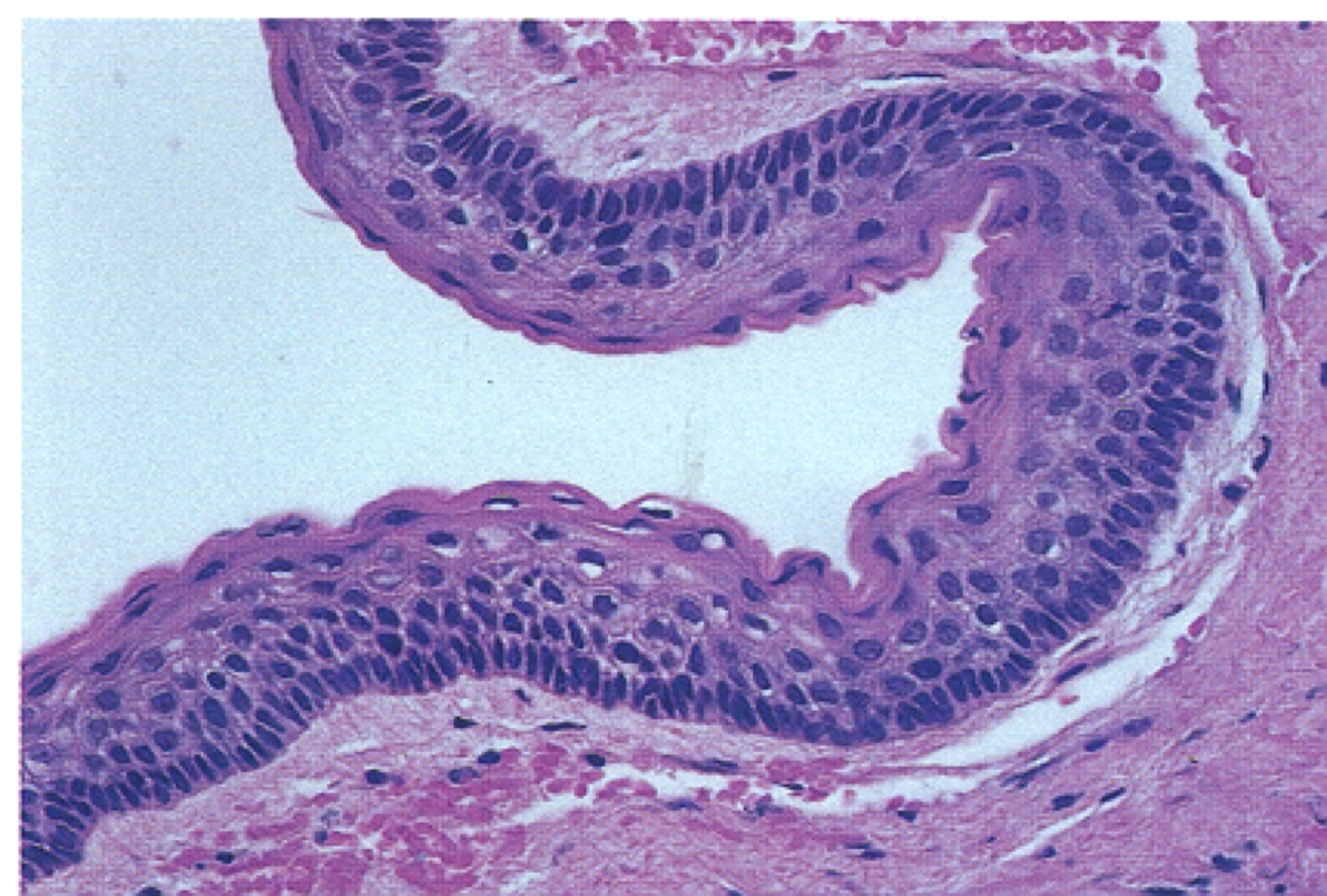
Odontogenic Keratocyst
Keratocystic odontogenic tumor (KOT)
Tend to grow in an anterior - posterior direction
Doesn’t cause bone expansion
Cheese material inside the cyst
XRAY: Unilocular or multilocular
Corticated margins
Know HISTOLOGY!
Associated GORLIN SYNDROME
Histopathology of Odontogenic Keratocyst
Thin Friable Wall
Epithelial lining is uniform – 6-8 layers thick
Basal Cell Layer – Pallisading and hyperchromatic
Corrugated parakeratin
May have small satellite cysts – Daughter cysts (Cause for recurrence)

Odontogenic keratocyst
Histology:
Thin and friable
Pallisaded and hyperchromatic
Corrugated parakeratin
Daughter cysts
Most common developmental odontogentic cyst?
Dentigerous Cyst
Nevoid Basal Cell Carcinoma
GORLIN SYNDROME
Chromosome 9 – PTCH gene
Characterized by:
Multiple Basal Cell Carcinoma’s - appear around puberty, where sun doesn’t shine
Odontogenci keratocysts - one of the most CONSTANT FEATURE
Calcification of Falx Cerbri
Rib abnormalities – BIFID ribs
Dangerous becuase of Basal Cell Carcinoma
What syndrome is Odontogenic keratocyst typically associated with?
Nevoid Basal Cell Carcinoma Syndrome
(Gorlin Syndrome)
Associated with multiple odontogenic keratocysts

Nevoid Basal Cell Carcinoma Syndrome
(Gorlin Syndrome)
Will also see basal cell carcinoma in areas where the sun doesn’t shine

Odontogenic Keratocysts
“GORLIN SYNDROME” – multiple lesions
Orthokeratinized Odontogenic Cyst
Orthokeratinized lining and NO BASAL PALISADING
Young adults
Posterior Mandible
UNILOCULAR - May appear like a dentigerous cyst
Recurrance is RARE
Gingival Cyst of the Adult
Represents the SOFT TISSUE counterpart of lateral periodontal cyst
Derived from Rests of Serres (dental lamina)
Mandibular canine and premolar region
Facial gingiva or alveolar mucosa
Painless domelike structure – may be BLUE in coloration
Palpation –> Fluid, fluctuant
(Peripheral ossifying fibroma will be hard on palpation)
Lateral Periodontal Cyst
Developmental odontogenic cyst – typically occurs aong the LATERAL ROOT SURFACE inside bone
Arise from rests of dental lamina – RESTS of SERRES
Premolar-Canine-Lateral Incisor region
TEETH ARE VITAL
Unilocular or Multilocular (botryoid odontogenic cyst)
Recurrence is RARE

Lateral Bone Cyst
Arises from Rests of Serres
Soft tissue counterpart –> Gingival Cyst

Multilocular Lateral Periodontoal Cyst
BOTRYOID ODONTOGENIC CYSTS
Calcifying Odontogenic Cyst
GORLIN CYST (not associated with Gorlin Syndrome)
Incisor-canine area
Associated with ODONTOMAS
Rest cells of SERES ?
Xray:
Unilocular - well defined
Radiopaque structure seen within the RL
No radiopacity – think lateral periodontal cyst
Rare recurrences

Calcifying Odontogenic Cyst
GOLRIN CYST
Associated with odontomas
Unilocular – radiopaque center
Cyst can push unerrupted teeth into the sinus… what cyst can do this?

Odontogenic Keratocyst
Gorlin Cyst?
Calcifying Odontogenic Cyst (COC)
Glandular Odontogenic Cyst (GOC)
RARE and doesn’t appear as much
Developmental cyst with glandular and/or salivary gland features (odontogenic cyst)
Majority in the MANDIBLE
Anterior jaw – may cross the midline
Size can vary
XRAY:
Unilocular** or **multilocular
may look similar to dentigerous cyst – do not always have to be associated with an impacted tooth
Well defined
Sclerotic rim
Treatment –> enucleation or curettage
30% reccurence rate – will need to follow up with patient
(multilocular lesion more likely to recur – hard to remove all of the cyst)
Buccal Bifurcation Cyst
Inflammatory cyst with uncertain pathogenesis
Develops on BUCCAL aspect of the mandibular 1st permanent molar (2nd molar) – PARTIALLY ERUPTED
Pushes the crown buccally and the roots lingually (develops below CEJ)
Occurs in avg age of 10
Symptoms: Tenderness, swelling, or fout tasting discharge