chapter 14 Flashcards

(26 cards)

1
Q

The pancreas

A

The pancreas is found in the upper abdomen, behind the stomach (Figure 1).
It plays a major role in controlling blood glucose concentration, and in digestion.
It is a glandular organ - its role is to produce and secrete hormones and digestive enzymes.

How well did you know this?
1
Not at all
2
3
4
5
Perfectly
2
Q

position of the pancreas:

A
How well did you know this?
1
Not at all
2
3
4
5
Perfectly
3
Q

The pancreas has two main functions in the body, as an:

A

exocrine gland - to produce enzymes and release them via a duct into the duodenum
endocrine gland - to produce hormones and release them into the blood.

How well did you know this?
1
Not at all
2
3
4
5
Perfectly
4
Q

pancreas’s Role as an exocrine gland:

A

Most of the pancreas is made up of exocrine glandular tissue.
This tissue is responsible for producing digestive enzymes and an alkaline fluid known as pancreatic juice.
The enzymes and juice are secreted into ducts which eventually lead to the pancreatic duct.
From here they are released into the duodenum, the top part of the small intestine. The pancreas produces three important types of digestive enzymes

How well did you know this?
1
Not at all
2
3
4
5
Perfectly
5
Q

The pancreas produces three important types of digestive enzymes:

A
  • Amylases - break down starch into simple sugars. For example, pancreatic amylase.
  • Proteases - break down proteins into amino acids. For example, trypsin.
  • Lipases - break down lipids into fatty acids and glycerol. For example, pancreatic lipase.
How well did you know this?
1
Not at all
2
3
4
5
Perfectly
6
Q

Role as an endocrine gland:

A

The pancreas is responsible for producing insulin and glucagon.
These two hormones play an essential role in controlling blood glucose concentration.
Within the exocrine tissue there are small regions of endocrine tissue called islets of Langerhans.
The cells of the islets of Langerhans are responsible for producing insulin and glucagon, and secreting these hormones directly into the bloodstream.

How well did you know this?
1
Not at all
2
3
4
5
Perfectly
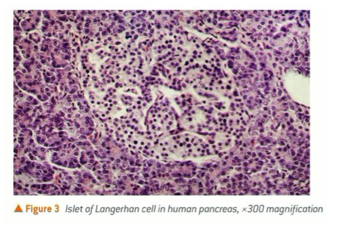
7
Q

Histology of the pancreas:

A

When viewed under a microscope, you can clearly see the differences between endocrine and exocrine pancreatic tissue.

How well did you know this?
1
Not at all
2
3
4
5
Perfectly
8
Q

Histology of the pancreas table

A
How well did you know this?
1
Not at all
2
3
4
5
Perfectly
9
Q

Within the islets of Langerhans are different types of cell. They are classified according to the hormone they secrete:

A

a (alpha) cells - these produce and secrete glucagon
B (beta) cells - these produce and secrete insulin

How well did you know this?
1
Not at all
2
3
4
5
Perfectly
10
Q

alpha and beta cells under a microscope

A

Alpha cells are larger and more numerous than beta cells within an islet.
Using standard staining techniques, it is often very difficult to distinguish between the cell types within an islet of Langerhans.
In Figure 2, a differential stain has been used.
The B cells of the islets that produce insulin are stained blue, and the a cells that produce glucagon are stained pink.

How well did you know this?
1
Not at all
2
3
4
5
Perfectly
11
Q

alpha and beta cells under a microscope diagram

A
How well did you know this?
1
Not at all
2
3
4
5
Perfectly
12
Q

diagram of islets of langerhans

A
How well did you know this?
1
Not at all
2
3
4
5
Perfectly
13
Q

Regulation of blood glucose concentration

A

During respiration the body uses glucose to produce ATP.
To remain healthy it is important that the concentration of glucose in your blood is kept constant.
Without control, blood glucose concentration would range from very high levels after a meal, to very low levels several hours later.
At these very low levels cells would not have enough glucose for respiration.
Blood glucose concentration is kept constant by the action of the two hormones - insulin and glucagon.

How well did you know this?
1
Not at all
2
3
4
5
Perfectly
14
Q

Increasing blood glucose concentration:

A

Glucose is a small, soluble molecule that is carried in the blood plasma.
Blood glucose is normally maintained at a concentration of around 90mg cm 3 of blood.

How well did you know this?
1
Not at all
2
3
4
5
Perfectly
15
Q

Blood glucose concentration can increase as a result of:

A

Diet
Glycogenolysis
Gluconeogenesis

How well did you know this?
1
Not at all
2
3
4
5
Perfectly
16
Q

Diet

A

when you eat carbohydrate-rich foods such as pasta and rice (which are rich in starch) and sweet foods such as cakes and fruit (which contain high levels of sucrose), the carbohydrates they contain are broken down in the digestive system to release glucose.
The glucose released is absorbed into the bloodstream, and the blood glucose concentration rises.

17
Q

Glycogenolysis

A

glycogen stored in the liver and muscle cells is broken down into glucose which is released into the bloodstream increasing blood glucose concentration.

18
Q

Gluconeogenesis

A

the production of glucose from non-carbohydrate sources.
For example, the liver is able to make glucose from glycerol (from lipids) and amino acids.
This glucose is released into the bloodstream and causes an increase in blood glucose concentration.

19
Q

Blood glucose concentration can be decreased by:

A

Respiration
Glycogenesis

20
Q

Respiration

A

some of the glucose in the blood is used by cells to release energy.
This is required to perform normal body functions.
However, during exercise, more glucose is needed as the body needs to generate more energy in order for muscle cells to contract.
The higher the level of physical activity, the higher the demand for glucose and the greater the decrease of blood glucose concentration.

21
Q

Glycogenesis

A

the production of glycogen.
When blood glucose concentration is too high, excess glucose taken in through the diet is converted into glycogen which is stored in the liver.

22
Q

root of the words

A
  • lysis - means splitting
  • neo - means new
  • genesis - means birth/origin
    Therefore, glycogenolysis means the splitting of glycogen (to produce glucose] and gluconeogenesis means the formation of new glucose.
23
Q

Role of insulin:

A
  • Insulin is produced by the B cells of the islets of Langerhans in the pancreas.
  • If the blood glucose concentration is too high, the B cells detect this rise in blood glucose concentration and respond by secreting insulin directly into the bloodstream.
  • Virtually all body cells have insulin receptors on their cell surface membrane (an exception being red blood cells).
  • When insulin binds to its glycoprotein receptor, it causes a change in the tertiary structure of the glucose transport protein channels.
  • This causes the channels to open allowing more glucose to enter the cell.
  • Insulin also activates enzymes within some cells to convert glucose to glycogen and fat.
24
Q

Insulin therefore lowers blood glucose concentration by:

A

increasing the rate of absorption of glucose by cells, in particular skeletal muscle cells

increasing the respiratory rate of cells - this increases their need for glucose and causes a higher uptake of glucose from the blood

increasing the rate of glycogenesis - insulin stimulates the liver to remove glucose from the blood by turning the glucose into glycogen and storing it in the liver and muscle cells

increasing the rate of glucose to fat conversion

inhibiting the release of glucagon from the a cells of the islets of Langerhans.

25
insulin p1feedback
Insulin is broken down by enzymes in the cells of the liver. Therefore, to maintain its effect it has to be constantly secreted. Depending on the food eaten, insulin secretion can begin within minutes of the food entering the body and may continue for several hours after eating.
26
insulin 2 feedback
As blood glucose concentration returns to normal, this is detected by the ß cells of the pancreas. When it falls below a set level, the ß cells reduce their secretion of insulin. This is an example of negative feedback. Negative feedback ensures that, in any control system, changes are reversed and returned back to the set level.