chapter 2 part 1 Flashcards

(32 cards)

1
Q

Microscopes:

A

A microscope is an instrument which enables you to magnify an object
We can see many large organisms with the naked eye, but microscopes open up a whole world of unicellular organisms.
By making visible the individual cells which make up multicellular organisms, microscopes allow us to discover how details of their structures relate to their functions.
The first types of microscopes to be developed were light microscopes in the 16th to 17th century.
Since then they have continued to be developed and improved.
By the mid-19th century, scientists, for the first time, had access to microscopes with a high enough level of magnification to allow them to see individual cells. Cell theory was developed.

How well did you know this?
1
Not at all
2
3
4
5
Perfectly
2
Q

Cell theory states that

A

both plant and animal tissue is composed of cells
cells are the basic unit of all life
cells only develop from existing cells.

How well did you know this?
1
Not at all
2
3
4
5
Perfectly
3
Q

Why Light microscopy continues to be important:

A

It is easily available, relatively cheap and can be used out in the field, and it can be used to observe living organisms as well as dead, prepared specimens.

How well did you know this?
1
Not at all
2
3
4
5
Perfectly
4
Q

cell theory timeline

A
How well did you know this?
1
Not at all
2
3
4
5
Perfectly
5
Q

How a light microscope works:

A

A compound light microscope has two lenses - the objective lens, which is placed near to the specimen, and an eyepiece lens, through which the specimen is viewed.
The objective lens produces a magnified image, which is magnified again by the eyepiece lens.
This objective/eyepiece lens configuration allows for much higher magnification and reduced chromatic aberration than that in a simple light microscope.
Illumination is usually provided by a light underneath the sample.
Opaque specimens can be illuminated from above with some microscopes.

How well did you know this?
1
Not at all
2
3
4
5
Perfectly
6
Q

light microscope diagram

A
How well did you know this?
1
Not at all
2
3
4
5
Perfectly
7
Q

Dry mount

A

Solid specimens are viewed whole or cut into very thin slices with a sharp blade, this is called sectioning - they need to be thin so light can shine through it and details can be seen
The specimen is placed on the centre of the slide and a cover slip is placed over the sample.
For example hair, pollen, dust and insect parts can be viewed whole in this way, and muscle tissue or plants can be sectioned and viewed in this way.

How well did you know this?
1
Not at all
2
3
4
5
Perfectly
8
Q

Wet mount

A

Specimens are suspended in a liquid such as water or an immersion oil.
A cover slip is placed on from an angle, as shown - try not to get any air bubbles as it could obstruct view of specimen.
The refractive index (ability to bend light ) of the medium should be roughly the same as glass to prevent diffraction between liquid and glass therefore reduce distortion of image
For example, aquatic samples and other living organisms can be viewed this way.

How well did you know this?
1
Not at all
2
3
4
5
Perfectly
9
Q

Squash slides

A

A wet mount is first prepared, then a lens tissue is used to gently press down the cover slip.
Depending on the material, potential damage to a cover slip can be avoided by squashing the sample between two microscope slides.
Using squash slides is a good technique for soft samples.
Care needs to be taken that the cover slip is not broken when being pressed.
For example, root tip squashes are used to look at cell division.

How well did you know this?
1
Not at all
2
3
4
5
Perfectly
10
Q

Smear slides

A

The edge of a slide is used to smear the sample, creating a thin, even coating on another slide.
A cover slip is then placed over the sample.
An example of a smear slide is a sample of blood.
This is a good way to view the cells in the blood.

How well did you know this?
1
Not at all
2
3
4
5
Perfectly
11
Q

Using staining:

A

The images tend to have low contrast as most cells do not absorb a lot of light.
Resolution is limited by the wavelength of light and diffraction of light as it passes through the sample.
Diffraction is the bending of light as it passes close to the edge of an object.
The cytosol (aqueous interior) of cells and other cell structures are often transparent.
Stains increase contrast as different components within a cell take up stains to different degrees.
The increase in contrast allows components to become visible so they can be identified

How well did you know this?
1
Not at all
2
3
4
5
Perfectly
12
Q

brightfield microscopy

A

when in basic light microscopy the sample is illuminated from below with white light and observed from above

How well did you know this?
1
Not at all
2
3
4
5
Perfectly
13
Q

wide-field microscopy

A

The whole sample is illuminated at once

How well did you know this?
1
Not at all
2
3
4
5
Perfectly
14
Q

To prepare a sample for staining:

A

It is first placed on a slide and allowed to air dry. This is then heat-fixed by passing through a flame.
The specimen will adhere to the microscope slide and will then take up stains.
Crystal violet or methylene blue are positively charged dyes, which are attracted to negatively charged materials in cytoplasm leading to staining of cell components.
Dyes such as nigrosin or Congo red are negatively charged and are repelled by the negatively charged cytosol.
These dyes stay outside cells, leaving the cells unstained, which then stand out against the stained background - This is a negative stain technique.
Avoid skin / eye contact and wear gloves / goggles when using Crystal violet and other toxic chemicals or irritants

How well did you know this?
1
Not at all
2
3
4
5
Perfectly
15
Q

Differential staining:

A

can distinguish between two types of organisms that would otherwise be hard to identify.
It can also differentiate between different organelles of a single organism within a tissue sample.

How well did you know this?
1
Not at all
2
3
4
5
Perfectly
16
Q

Gram stain technique

A

used to separate bacteria into two groups, Gram-positive bacteria and Gram-negative bacteria
1. Crystal violet
2. iodine, which fixes the dye.
3. washed with alcohol.
4. The Gram-positive bacteria retain the crystal violet stain and will appear blue or purple under a microscope.
5. Gram-negative bacteria have thinner cell walls and therefore lose the stain.
6. They are then stained with safranin dye, which is called a counterstain - these bacteria will then appear red.

  • Gram-positive bacteria have a thick peptidoglycan layer in their cell wall, which makes them susceptible to penicillin and other antibiotics that target cell wall synthesis. Penicillin works by inhibiting the enzyme responsible for cross-linking the peptidoglycan layers in the cell wall, leading to cell lysis.
  • On the other hand, Gram-negative bacteria have a thinner layer of peptidoglycan in their cell wall, but they also have an outer membrane made of lipopolysaccharides (LPS) that surrounds the peptidoglycan layer. This outer membrane acts as a barrier and prevents many antibiotics, including penicillin, from penetrating into the cell to reach their target.
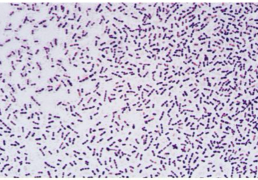
17
Q

gram stain diagram

18
Q

Acid-fast technique

A

used to differentiate species of Mycobacterium from other bacteria.
A lipid solvent is used to carry carbolfuchsin dye into the cells being studied.
The cells are then washed with a dilute acid alcohol solution.
Mycobacterium are not affected by the acid-alcohol and retain the carbolfuchsin stain,which is bright red.
Other bacteria lose the stain and are exposed to a methylene blue stain, which is blue.

19
Q

You will often look at slides that have been pre-prepared.
A number of stages are involved in the production of these slides:

A

Fixing - chemicals like formaldehyde are used to preserve specimens in as near-natural a state as possible.

Sectioning - specimens are dehydrated with alcohols and then placed in a mould with wax or resin to form a hard block. This can then be sliced thinly with a knife called a microtome.

Staining - specimens are often treated with multiple stains to show different structures.

Mounting - the specimens are then secured to a microscope slide and a cover slip placed on top.

20
Q

Scientific drawings

A
  • include a title
  • state magnification
  • use a sharp pencil for drawings and labels
  • use white, unlined paper
  • use as much of the paper as possible for the drawing
  • draw smooth, continuous lines
  • do not shade
  • draw clearly defined structures
  • ensure proportions are correct
  • label lines should not cross and should not have arrow heads
  • label lines should be parallel to the top of the page and drawn with a ruler
21
Q

Magnification:

A

is how many times larger the image is than the actual size of the object being viewed.
Interchangeable objective lenses on a compound light microscope allow a user to adjust the magnification.
Simply magnifying an object does not increase the amount of detail that can be seen - The resolution also needs to be increased.

22
Q

The resolution:

A

determines the amount of detail that can be seen - the higher the resolution the more details are visible.
Resolution is the ability to see individual objects as separate entities.
Resolution is limited by the diffraction of light as it passes through samples (and lenses).

23
Q

Diffraction:

A

is the tendency of light waves to spread as they pass close to physical structures such as those present in the specimens being studied.
The structures present in the specimens are very close to each other and the light reflected from individual structures can overlap due to diffraction.
This means the structures are no longer seen as separate entities and detail is lost.
In optical microscopy structures that are closer than half the wavelength of light cannot be seen separately (resolved).

24
Q

How can Resolution can be increased:

A

by using beams of electrons which have a wavelength thousands of times shorter than light
Electron beams are still diffracted but the shorter wavelength means that individual beams can be much closer before they overlap.
This means objects which are much smaller and closer together can be seen separately without diffraction blurring the image.

25
magnification formula:
the size of the image refers to: the length of the image as measured, for example with a ruler. may need to change the units of measurement to that of the actual size of the object.
26
conversion
27
Using a graticule to calibrate a light microscope :
28
stage micrometer
29
calibrating a times 4 objective lens part 1
30
calibrating a times 4 objective lens part 2
31
calibrating a times 4 objective lens part 3
32