Chapter 17 - Uterus Flashcards

(52 cards)

1
Q

For what indications are endometrial biopsies performed?

A
  • Abnormal vaginal/uterine bleeding - Thickened endometrial stripe on ultrasound - Infertility workup - Follow up for hyperplasia treated with hormones
How well did you know this?
1
Not at all
2
3
4
5
Perfectly
2
Q

Distinguish atrophic and proliferative endometrium.

A

Atrophic: Low gland-to-stroma ratio, thin (cuboidal) epithelium, no mitoses. Comes off in strips that resemble hair pins.

Proliferative: Fuller, blue look to the stroma. Gland-to-stroma ratio approaches 1:1. Glands are more donut-like and columnar.

How well did you know this?
1
Not at all
2
3
4
5
Perfectly
3
Q
A

Atrophic endometrium

How well did you know this?
1
Not at all
2
3
4
5
Perfectly
4
Q
A

Proliferative endometrium

How well did you know this?
1
Not at all
2
3
4
5
Perfectly
5
Q

Distinguish secretory and progestin-treated endometrium.

A

Secretory: Prominent spiral arterioles, edematous stroma. Secretory vacuoles and luminal secretions. May decidualize (turns pink, ragged).

Progestin-treated: Decidualized stroma but with flattened gland epithelium.

How well did you know this?
1
Not at all
2
3
4
5
Perfectly
6
Q
A

(late) Secretory endometrium

Arrow: Subnuclear cytoplasmic vacuoles
Arrowhead: Decidualization around the spiral arteries

How well did you know this?
1
Not at all
2
3
4
5
Perfectly
7
Q
A

Progestin-treated endometrium

How well did you know this?
1
Not at all
2
3
4
5
Perfectly
8
Q

Describe the morphology of a benign endometrial polyp.

A

Fibrotic stroma, thick-walled vessels and usually atrophic or cystically dilated glands.

How well did you know this?
1
Not at all
2
3
4
5
Perfectly
9
Q

Describe the morphology of endometrial stromal breakdown.

A

The stroma takes on a blurry blue look and condenses into aggregates. The surface epithelium shows eosinophilic metaplasia–almost turns oncocytic. Fibrin thrombi in vessels and neutrophils are common.

How well did you know this?
1
Not at all
2
3
4
5
Perfectly
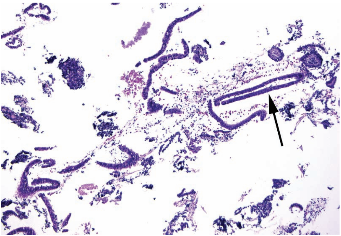
10
Q
A

Benign endometrial polyp;

  1. Cystic gland dilation
  2. Secretory-type epithelium
  3. Thickened arteries
How well did you know this?
1
Not at all
2
3
4
5
Perfectly
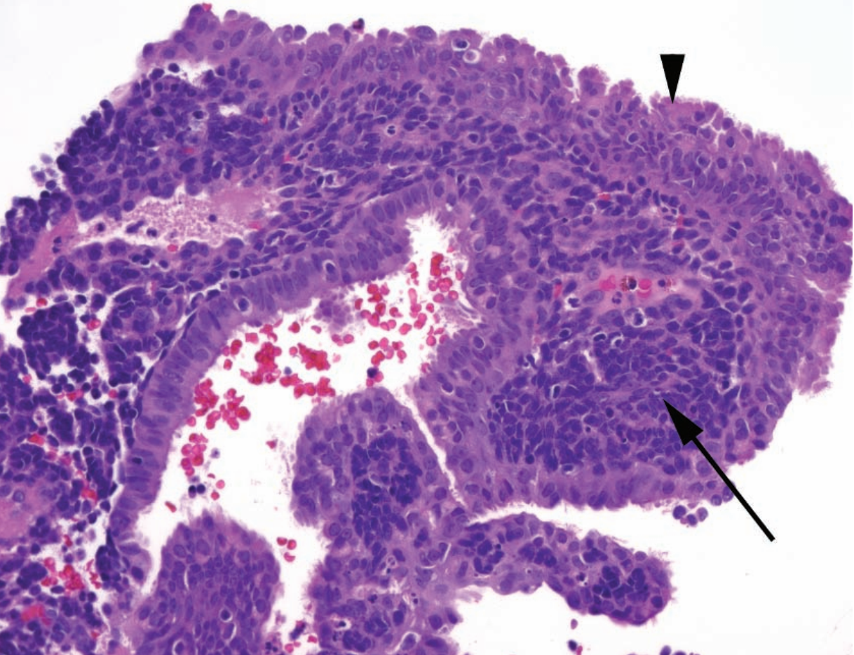
11
Q
A

Endometrial stromal breakdown

Arrow: Dense mass of packed glands
Arrowhead: Ciliated metaplasia

How well did you know this?
1
Not at all
2
3
4
5
Perfectly
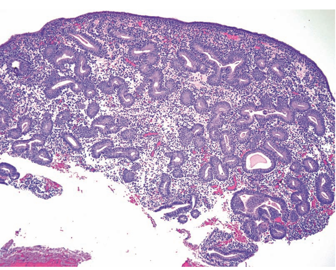
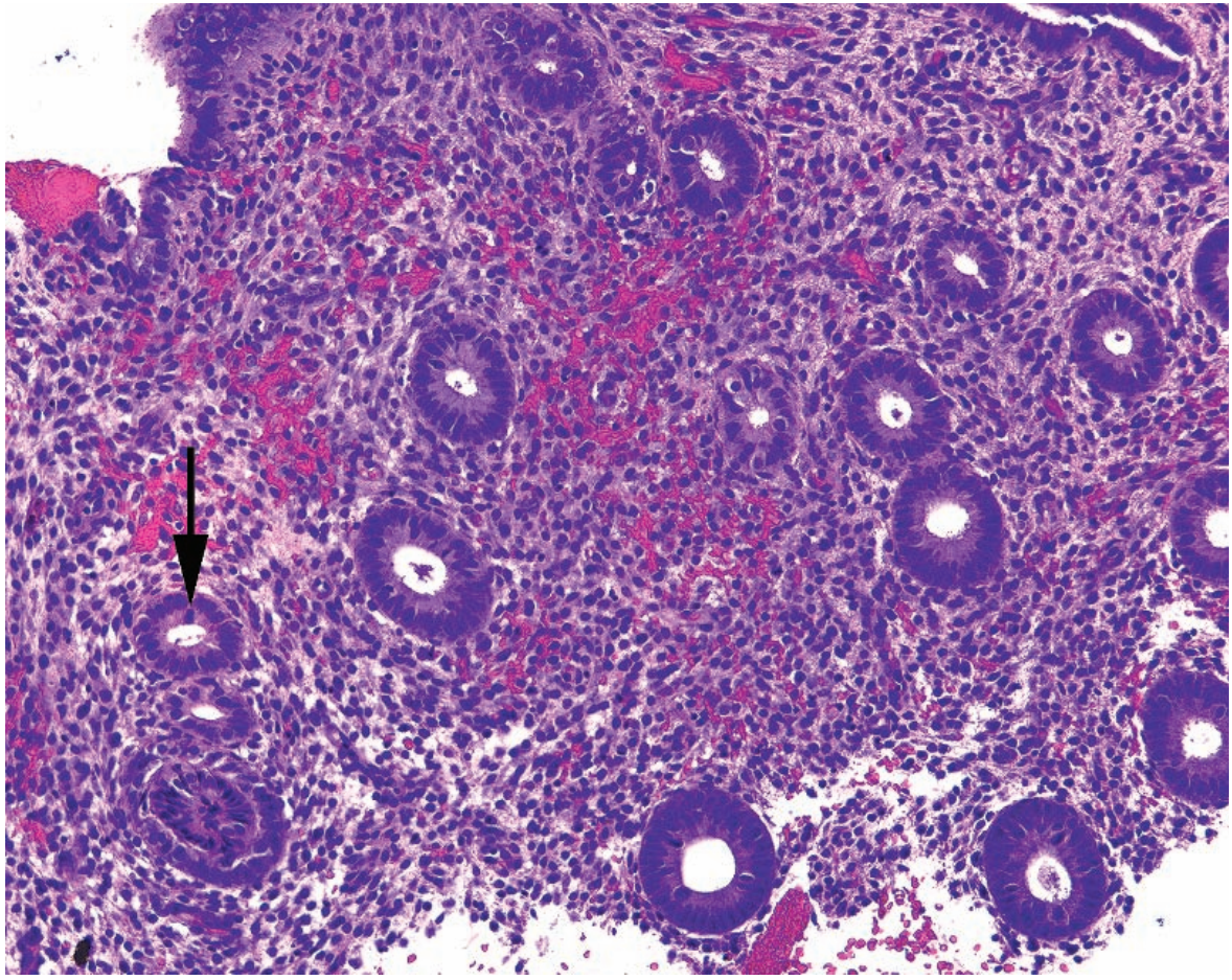
12
Q

Describe the morphology of acute and chronic endometritis.

A

Acute: Microabscesses and epithelial destruction (neutrophils alone could just be menses)

Chronic: Plasma cells, with blue spindled stroma and more lymphocytes.

How well did you know this?
1
Not at all
2
3
4
5
Perfectly
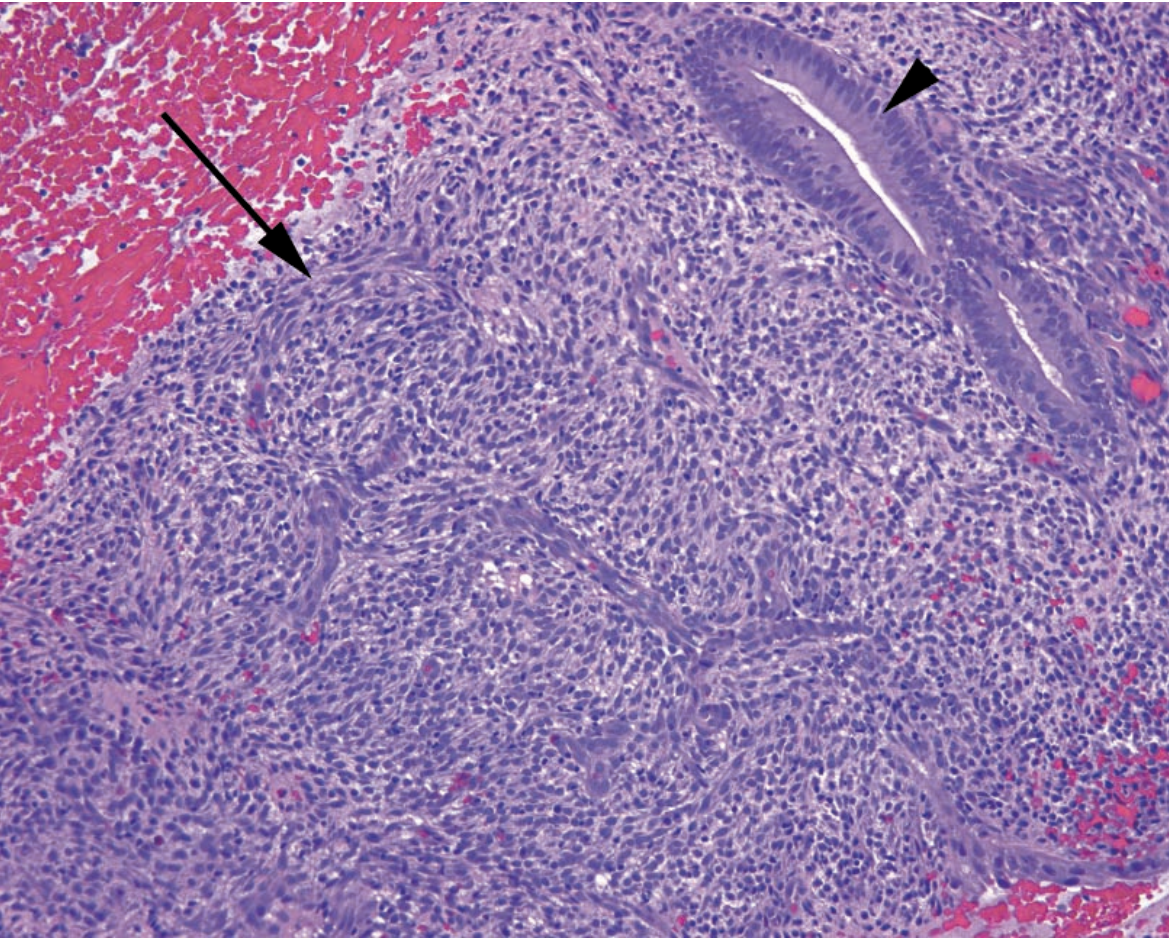
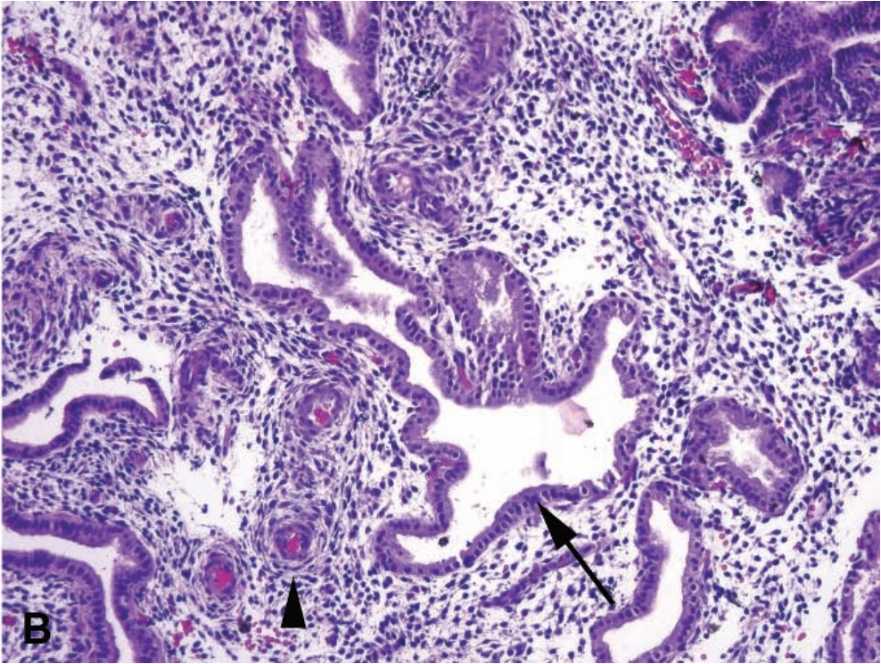
13
Q
A

Chronic endometritis

Arrow: Spindly, swirling blue stroma
Arrowhead: Proliferative endometrium

How well did you know this?
1
Not at all
2
3
4
5
Perfectly
14
Q

Describe the morphology of disordered proliferative endometrium.

A

Mixture of cystically dilated, budding, and tubular glands in a proliferative setting, with focal glandular crowding.

How well did you know this?
1
Not at all
2
3
4
5
Perfectly
15
Q

What are some possible causes of bleeding in an endometrial biopsy?

A

Benign polyp

Endometrial stromal breakdwon

Endometritis

Atrophy

Disordered proliferation

Hyperplasia / Carcinoma

How well did you know this?
1
Not at all
2
3
4
5
Perfectly
16
Q

Describe the morphology of endometrial hyperplasia.

How do architecture and cytology figure in the diagnosis?

What is dysplasic endometrium?

A

Increase in gland-to-stroma ratio with crowded glands in a proliferative background.

Architecture determines simple vs complex, cytology for atypia.

Trick; Dysplasia is not applied to endometrium.

How well did you know this?
1
Not at all
2
3
4
5
Perfectly
17
Q

Distinguish simple vs complex hyperplasia.

Define atypia.

A

Simple: No atypia, crowded glands.

Complex: Back-to-back glands with increasingly complex, branched outlines. May have atypia.

Atypia: Nuclei become round and pale or vesicular. Nucleoli may be prominent.

How well did you know this?
1
Not at all
2
3
4
5
Perfectly
18
Q

Describe the morphology and significance of complex atypical hyperplasia (CAH).

A

Very crowded or back-to-back glands with irregular branching lumens, with vesicular chromatin.

CAH is a precursor lesion to carcinoma, and is analogous to carcinoma in situ.

How well did you know this?
1
Not at all
2
3
4
5
Perfectly
19
Q
A

Complex atypical hyperplasia

A: Crowded branching glands
B: Hyperplastic glands (arrow) with adjacent normal gland (arrowhead). Note vesicular nuclei.

How well did you know this?
1
Not at all
2
3
4
5
Perfectly
20
Q
A

Simple hyperplasia

How well did you know this?
1
Not at all
2
3
4
5
Perfectly
21
Q

Describe the role of the endometrial biopsy in the infertility workup.

A

First, rule out bloody lesions like polyps, hyperplasia, etc. Then, date the endometrium to evalute for luteal phase defect (calendar discrepancy).

22
Q

How is proliferative endometrium dated?

A

Trick question, it cannot be dated.

23
Q

What features are most useful in dating secretory endometrium on Days 16-20?

Describe histologic criteria for each of these days.

A

Glands are the most helpful feature.

Day 16: Subnuclear vacuoles, pseudostratified nuclei
Day 17: Subnuclear vacuoles, with orderly row of nuclei
Day 18: Vacuoles above and below nuclei
Day 19: Few supranuclear vacuoles, orderly nuclei
Day 20: Peak secretions in lumen and ragged luminal border.

24
Q

What features are most useful in dating secretory endometrium days 21-28?

Describe the histologic criteria for these days.

A

Stroma is most useful.

Day 21: Luminal secretion & start of stromal edema.
Day 22: Peak stromal edema with naked nuclei.
Day 23: Spiral arteries become prominent.
Day 24: Periarteriolar cuffing with predecidua
Day 25: Predecidual change under the surface epithelium
Day 26: Decidual islands, lymphocytes
Day 27: Neutrophils, focal hemorrhage & necrosis
Day 28: Prominent necrosis

25
Describe the morphology of gestational endometrium.
Solid sheet of decidualized cells (plump polygonal pink cells) with almost papillary, hypersecretory epithelium.
26
What is the Arias-Stella reaction?
A normal reaction to pregnancy with ballooning cytoplasm and wildly pleomorphic nuclei. **No mitoses or infiltration**.
27
What is a placental site nodule?
The benign remnant of an old implantation site; aggregates of intermediate trophoblastic cells with scattered large nuclei. **Well-circumscribed.**
28
Aria-stellis reaction
29
Recall 5 forms of metaplasia seen in the endometrium.
Tubal metaplasia: Luminal cilia in a plump epithelium Squamous metaplasia Mucinous metaplasia: Endocervical-type cells Eosinophilic metaplasia: Can have proliferation to the point of papillary architecture Clear cell change
30
What is *interval endometrium*?
Endometrium just at the start of the secretory phase, with a few clear subnuclear vacuoles in an otherwise proliferative-looking background.
31
What is the most common endometrial cancer? Who does it normally affect? Describe its morphology.
Endometrioid carcinoma; normally arises in post-menopausal women. Complex, fused glands without intervening stroma. May appear cribriform or villoglandular.
32
What is papillary syncytial metaplasia?
A form of eosinophilic metaplasia with papillary growth and merged syncytial cells
33
Describe the grading of endometrioid carcinoma.
Grading is based on cytology and architecture. FIGO 1: Tumor is \<5% solid (squamous metaplasia does not count) FIGO 2: Tumor is 6-50% solid FIGO 3: Tumor is \>50% solid. \*significant nuclear atypia can increase grade\*
34
Briefly list some variants of endometrioid carcinoma.
- with squamous differentiation - villoglandular variant - secretory variant - ciliated cell variant
35
Distinguish serous carcinoma from endometrioid carcinoma.
Serous carcinoma arises in older women, is considerably more aggressive, and is not graded (high-grade by definition). It arises from a separate tumor pathway.
36
Describe the morphology of serous carcinoma.
Papillary architecture (usually), with complex branching. Cells are extremely atypical and have **cherry-red nucleoli** and bizarre mitoses. **Psammoma bodies** are common.
37
Describe the precursor lesion to serous carcinoma.
Endometrial epithelial carcinoma: Transofmration of surface epithelium, especially in polyps. It has metastatic potential itself.
38
Describe the tumor pathways that give rise to endometrioid and serous carcinomas.
Type I (endometrioid) carcinoma: Increase signaling through PI3K/AKT (PTEN, PIK3CA, K-RAS, ARID1A) Type II (serous, clear cell): TP53, aneuploidies
39
Briefly summarize clear cell carcinoma of the uterus.
A high-grade neoplasm that also arises from TP53 mutation, with clear cell morphology.
40
What is *endometrial stroma sarcoma*?
A rare malignancy of endometrial stromal cells. Look for an infiltrative lesion with minimal atypia and **plexiform vascular proliferation**.
41
Describe the morphology of a MMMT.
Mixed tumor consisting of malignant glands in a sarcomatous stroma. Other soft tissue elements (skeletal muscle / cartilage) may also appear.
42
What is an *adenosarcoma*? What is an *adenofibroma*?
A neoplasm with benign glands and a malignant stroma. A neoplasm with benign glands and benign stroma; similar to phyllodes tumors.
43
Endometrioid carcinoma
44
Serous carcinoma Circle: Note prominent nucleoli
45
Endometrial intraepithelial carcinoma Arrow: Abrupt transition from normal epithelium (left) to malignant cells (right)
46
MMMT Arrow: Carcinomatous epithelium Circle: Sarcomatous stroma
47
What are some of the various morphologies that fibroids can take on? Summarize their typical morphology.
They can be myxoid or necrotic while still being benign. Spindle cell lesion with intersecting fascicles, corkscrew nuclei, and a fibrotic to myxoid or even hemorrhagic stroma.
48
Describe three morphologic criteria of leiomyosarcomas.
Many mitoses (\>10/10hpf) Cytologic atypia Coagulative necrosis
49
Should you be more or less willing to diagnose leiomyosarcoma in the outside the uterus?
More willing
50
What is an *adenomatoid tumor?*
A benign proliferation of mesothelial origin that resembles a leiomyoma but has clefted spaces between the bundles. Looks epithelioid. **Calretinin+**
51
Leiomyoma Arrow/Arrowhead: Parallel and perpendicular bundles Inset: "Corkscrew" nuclei
52
Leiomyosarcoma Arrow: Mitosis Circle: Atypical and pleomorphic cells