Chapter 18 - Placenta Flashcards

(32 cards)

1
Q

What is the growing fetus normally surrounded by?

A

Amnion, chorion, and placental villi.

How well did you know this?
1
Not at all
2
3
4
5
Perfectly
2
Q

Are the contents of villi maternal or fetal?

What perfuses the intervillus spaces?

A

Fetal.

Maternal blood delivered via the uterine spiral arteries.

How well did you know this?
1
Not at all
2
3
4
5
Perfectly
3
Q

Distinguish between the morphologies of immature and mature villi.

A

Immature villi are large, open and pale, with unipolar trophoblastic proliferation.

Mature villi are small, with syncytial knots and perivillous fibrin.

How well did you know this?
1
Not at all
2
3
4
5
Perfectly
4
Q

Distinguish between di-di, di-mo, and mo-mo twin placentas.

A

Di-di has two chorionic plates and two sets of membranes.

Di-mo has one chorionic plate but two membranes.

Mo-mo has both fetuses in the same amniotic space.

*difference is when the ovum splits in development*

How well did you know this?
1
Not at all
2
3
4
5
Perfectly
5
Q

Describe the normal morphology of the umbilical cord.

A

Two arteries and one vein in a background of Wharton’s jelly.

How well did you know this?
1
Not at all
2
3
4
5
Perfectly
6
Q

Distinguish between funisitis and umbilical phlebitis.

A

Umbilical phlebitis is neutrophil migration into the vein wall; it indicates early funisitis, a fetal inflammatory response.

*More severe funisitis involves the arteries, then the Wharton’s jelly.

How well did you know this?
1
Not at all
2
3
4
5
Perfectly
7
Q

What is the membrane roll evaluated for normally?

A

Subchorionitis thru chorioamnionitis (neutrophils in the decidual are OK), which is a maternal response

Meconium staining (gold meconiophages)

Decidual vasculopathy (fibrinoid necrosis)

Fetal vasculopathy

Subchorionic fibrin

How well did you know this?
1
Not at all
2
3
4
5
Perfectly
8
Q

Describe the most severe grades of funisitis and chorioamnionitis.

A

Funisitis: Umbilical perivasculitis, with neutrophils spreading out from the vessels.

Necrotizing chorioamnionitis: Sheets of neutrophils, thickened amnionic basement membrane, and necrotic amnion.

How well did you know this?
1
Not at all
2
3
4
5
Perfectly
9
Q

What is the significance of finding fibrinoid necrosis in a placenta?

A

Probably respresents decidual vasculopathy, a hallmark of pre-eclampsia.

How well did you know this?
1
Not at all
2
3
4
5
Perfectly
10
Q

Describe the morphology of a hydatidiform mole.

A

Large swollen villi with no internal fetal vessels, circumferential (IE nonpolar) trophoblast proliferation, and lack of fetal parts (complete).

How well did you know this?
1
Not at all
2
3
4
5
Perfectly
11
Q

Distinguish between the appearance of complete and partial moles.

A

Complete moles are uniform with hydropic villi and no fetus.

Partial moles will hace two distinct populations of villi (normal and edematous) and can have fetal parts.

How well did you know this?
1
Not at all
2
3
4
5
Perfectly
12
Q

What is the significance of a placenta appearing more mature than the gestational age?

A

Hypermaturity, which may represent ischemia.

How well did you know this?
1
Not at all
2
3
4
5
Perfectly
13
Q

What happens to perivillous fibrin with placental maturity?

A

It increases, especialy around the larger stem villi.

How well did you know this?
1
Not at all
2
3
4
5
Perfectly
14
Q

Describe the morphologic appearance and significance of villitis.

A

An increase in chronic inflammation within the villi; usually indicates CMV or syphilis but rarely with an identifiable organism.

How well did you know this?
1
Not at all
2
3
4
5
Perfectly
15
Q

Distinguish between the appearance of heavy perivillous fibrin deposition and infarct.

A

Infarcts should have no nuclear material; in fibrin deposition the villi should still show nuclear detail.

How well did you know this?
1
Not at all
2
3
4
5
Perfectly
16
Q

What is the significance of a large acellular mass of lamellated fibrin?

A

Represents a prior hemorrhage. If retroplacental, this represents clinical abruption.

17
Q

What happens to fetal capillaries after death in utero?

A

They collapse and the villi become fibrotic.

18
Q

What do neutrophils or abscesses in the intervillous space represent?

A

Maternal sepsis

19
Q

What are morphologic appearances of pre-eclapsia?

A

Fibrinoid necrosis in maternal spiral arteries (decidual vasculopathy)

Persistence of muscular arteries in the maternal floor (hypertrophic vasculopathy)

Increased perivillous fibrin, syncytial knots, and villous maturity

20
Q

Describe the morphologic appearance of placenta accreta

A

Implantation of trophoblastic cells directly into myometrium with no intervening stroma.

21
Q
A

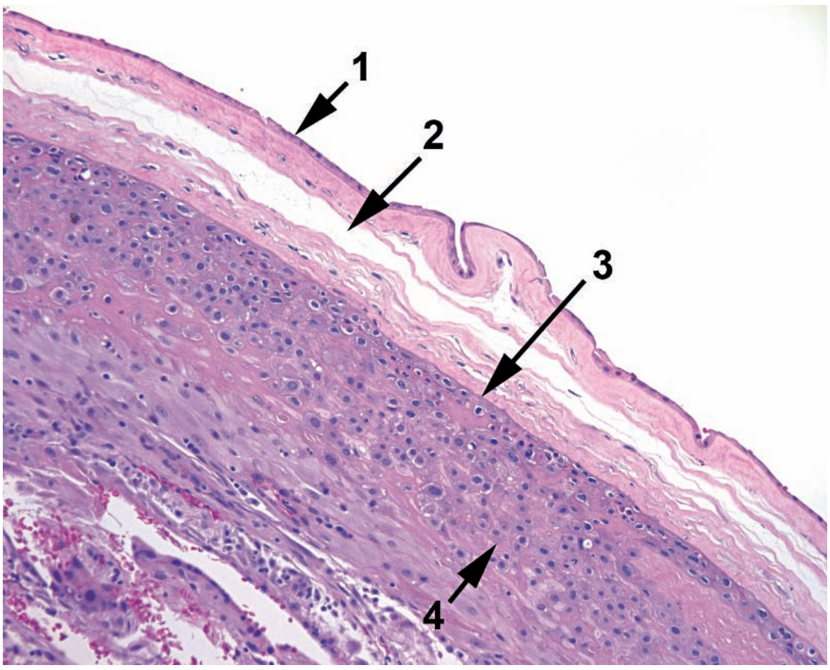
Normal placental membranes.

  1. Amnion
  2. Artifactual space
  3. Chorion
  4. Decidua
22
Q
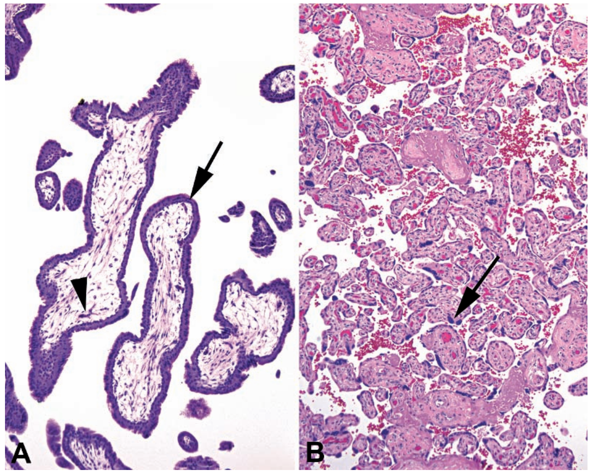
A

Left: Immature villi
Arrow: Double layer lining of cells
Arrowhead: Capillaries with nucleated RBCs

Right: Mature villi
Arrow: Syncytial knots

23
Q
A

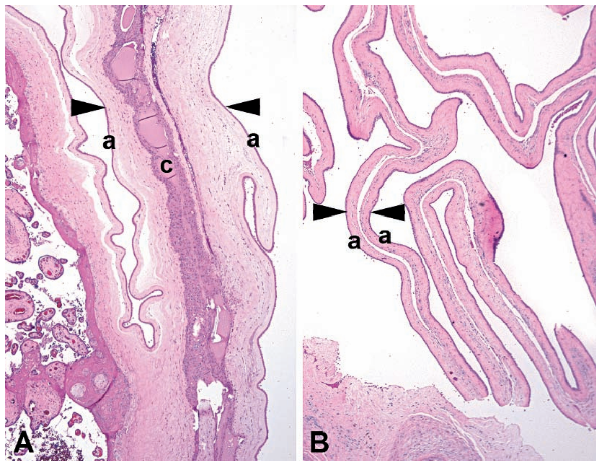
Left: Di-di twin placenta
A/B: Amnion
C: Double-layer of chorion

Right: Di-mo twin placenta
A: Amnion with no chorion between

24
Q
A

Normal umbilical cord section

25
Funisitis Arrowheads: Neutrophils
26
Chorioamnionitis Arrow: Abscess Arrowhead: Amnionitis Oval: Decidual inflammation (unremarkable)
27
Meconiophages
28
Fibrinoid necrosis
29
Subchorionic fibrin deposition (Arrow) Arrowhead: Normal amnion
30
Molar villi Arrow: Dense trophoblastic proliferation Arrowhead: Enlarged villi with central cavities
31
Left: Infarct, with loss of basophilia and residual apoptotic bodies Right: Perivillous fibrin, with good nuclear detail
32
Normal trophoblastic invasion of spiral arteries