Chapter 23 - Thyroid Flashcards

(34 cards)

1
Q

What are the two cells types in the thyroid, and for what do they stain?

A

Follicular epithelium (TTF-1, thyroglobulin)

Parafollicular C cells (TTF-1, neuroendocrine markers, calcitonin)

How well did you know this?
1
Not at all
2
3
4
5
Perfectly
2
Q

Recall five forms of thyroiditis.

A

Acute thyroiditis (with necrosis)

Subacute / De Quervain’s (giant cells, painless)

Palpation thyroiditis (histiocytes, giant cells)

Lymphocytic thyroiditis

Riedel’s (dense fibrosis, chronic inflammation)

How well did you know this?
1
Not at all
2
3
4
5
Perfectly
3
Q

What are the morphologic features of Hashimoto’s thyroiditis?

A

Prominent lymphoplasmacytic infiltrate with germinal center formation.

Small, atrophic follicles with Hurthle cell change.

How well did you know this?
1
Not at all
2
3
4
5
Perfectly
4
Q

What are the morphologic features of Graves disease? Denote treated vs untreated.

A

Untreated: Highly cellular thyroid with minimal colloid.

Treated: Large follicles with prominent papillary infoldings and scalloped colloid.

How well did you know this?
1
Not at all
2
3
4
5
Perfectly
5
Q

What is the difference between endemic and sporadic goiter?

A

Endemic: Iodine deficiency

Sporadic: Enzyme defects

How well did you know this?
1
Not at all
2
3
4
5
Perfectly
6
Q

What cancers form the category of follicular-type carcinomas?

Which form papillary carcinomas?

Which form neuroendocrine carcinomas?

A

Follicular: Colloid nodule, adenomatoid nodule, follicular adenoma, hurtle cell adenoma, follicular carcinoma, insular carcinoma.

Papillary: Many subtypes including follicular, diffuse sclerosing, tall cell, columnar cell, trabecular, cribriform, and cystic.

Neuroendocrine: Medullary carcinoma

How well did you know this?
1
Not at all
2
3
4
5
Perfectly
7
Q

What is a colloid nodule?

What is a follicular adenoma?

A

A hyperplastic nodule of large distended follicles in which the ratio of colloid to cells is high.

An encapsulated nodule composed of small microfollicles with scant colloid.

How well did you know this?
1
Not at all
2
3
4
5
Perfectly
8
Q

How are follicular adenoma and carcinoma distinguished?

A

By vascular invasion or invasion of the capsule. They cannot be distinguished by cytology / FNA!

How well did you know this?
1
Not at all
2
3
4
5
Perfectly
9
Q

How is the diagnosis of Hurtle cell adenoma handled?

A

Same as with follicular adenoma; must evaluate for capsular / vascular invasion. Cytology is different, that’s all.

How well did you know this?
1
Not at all
2
3
4
5
Perfectly
10
Q

What are the two “strengths” of follicular carcinoma?

To where does it spread?

A

Minimally invasive & widely invasive.

Spreads hematogenously to lung and bone.

How well did you know this?
1
Not at all
2
3
4
5
Perfectly
11
Q

What is an insular carcinoma? How does it appear?

A

A rare, poorly differentiated thyroid carcinoma. Its cells grow in sheets and cords. Cytology resembles follicular carcinoma. Pleomorphism is uncommon, but mitoses, necrosis, vascular invasion, and infiltration are common.

How well did you know this?
1
Not at all
2
3
4
5
Perfectly
12
Q

By what features is PTC truly diagnosed? Describe them

A

By cytologic features.

Cleared out chromatin (Orphan Annie eyes), overlapping & crowding, nuclear grooves & pseudoinclusions.

How well did you know this?
1
Not at all
2
3
4
5
Perfectly
13
Q

Where are the following features found in PTC?

Prominent nucleoli

Psammoma bodies

A

Prominent nucleoli are not a feature of PTC.

Psammoma bodies are seen in the interstitium (not follicles!)

How well did you know this?
1
Not at all
2
3
4
5
Perfectly
14
Q

What defines a papillary microcarcinoma? What is its significance?

A

Microcarcinomas are < 1 cm, are usually incidentally discovered, and if solid are considered benign.

How well did you know this?
1
Not at all
2
3
4
5
Perfectly
15
Q

Describe the follicular variant of PTC.

A

Has nuclei of PTC, but with follicular architecture with no papillae. Nuclear changes can be patchy, making distinguishing it from follicular carcinoma difficult.

How well did you know this?
1
Not at all
2
3
4
5
Perfectly
16
Q

Describe the diffuse sclerosing variant of PTC.

A

Rare, with a worse prognosis. Widely infiltrative and more aggressive, with a desmoplastic stroma, suamous metaplasia, psammoma bodies, dense lymphocytic infiltrate, and vascular invasion.

17
Q

Name 5-8 variants of PTC.

A

Classical type

Follicular type

Diffuse sclerosing variant

Tall cell

Columnar cell

Trabecular

Cribriform

Cystic

18
Q

Describe the morphologic features of anaplastic carcinoma.

From what background does it arise?

A

Tumor cells may appear as sheets of pleomorphic cells (truly undifferentiated), as squamous cell carcinoam (squamoid differentiation), or sarcomatoid.

Usually papillary thyroid carcinoma, but sometimes other forms of carcinoma.

19
Q

What is significant about diagnosing PTC in a background of Hashimoto’s thyroiditis?

A

Hashimoto’s can have areas of nuclear clearing and pleomorphism that mimic PTC. Have a high index of suspicion; true carcinoma should stand out sharply.

20
Q

What is the most important prognostic factor in papillary thyroid cancer?

To where does it metastasize?

A

Age (younger is better).

Cervical lymph nodes, lung, bone

21
Q

Describe the morphologic appearance of medullary carcinoma/

A

Like most neuroendocrine tumors; nested or trabecular growth with epithelioid to spindled cells. Uniform, finely speckled nuclei.

22
Q

Distinguish thyroglossal duct cysts and branchial cleft cysts.

A

Thyroglossal duct cyst: A midline cyst lined by ciliated epithelium and thyroid follicles.

Branchial cleft cyst: An anterolateral structure that looks tonsillar.

23
Q
A

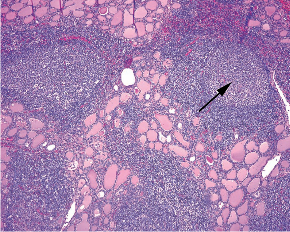
Hashimoto’s Thyroiditis

Arrow: Germinal center in lymphoid aggregate

24
Q
A

Grave’s Disease

Arrow: Papillary infoldings of follicular epithelium

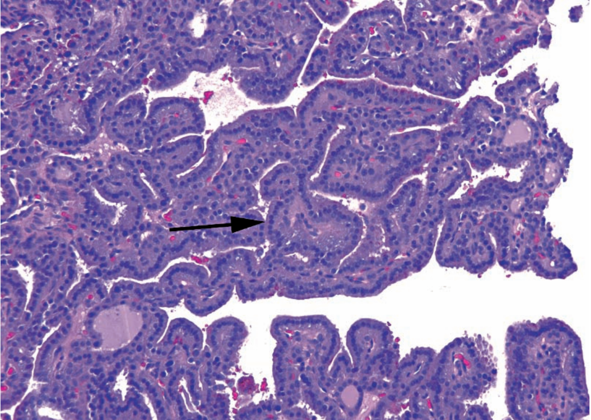
25
Follicular adenoma (microfollicular adenomatoid nodule). Arrow: Tightly packed small follicle
26
Hurtle cell (Oncocyte) adenoma Arrow: Surrounding capsule
27
Papillary thyroid carcinoma Arrow: Vessel (lymphatic?) invasion Arrowhead: Epithelialization of tumor plug
28
Insular thyroid carcinoma
29
Papillary thyroid carcinoma (arrow) arising in a background of Hashimoto's thyroiditis (arrowhead)
30
Papillary thyroid carcinoma
31
Psammoma body (arrow) in PTC with shear artifact from sectioning (arrowheads)
32
Follicular variant of papillary thyroid carcinoma. Arrow: PTC cytology
33
Anaplastic carcinoma Arrow: Focus of squamoid appearance
34
Medullary thyroid carcinoma