Chapter 5 - Ditzels Flashcards

(30 cards)

1
Q

Describe the appearance of and approach to cholesteatoma.

A

A keratinizing cyst filled with debris, and sometimes cholesterol clefts, inflammation & foreign body giant cells.

Consider inflammatory polyp, paraganglioma, middle ear adenoma, meningioma, and schwannoma.

How well did you know this?
1
Not at all
2
3
4
5
Perfectly
2
Q

Describe the appearance of and approach to sinus contents

A

Fragments of bone, respiratory and squamous mucosa, and mucous glands.

Consider chronic sinusitis, allergic fungal sinusitis (eosinophilic with charcot-leyden crystals, consider PAS/GMS)

How well did you know this?
1
Not at all
2
3
4
5
Perfectly
3
Q

Describe the appearance of and approach to plaques

A

An inner layer of elastic arterial wall, plus plaque, debris, thrombus… no real differential of concern.

How well did you know this?
1
Not at all
2
3
4
5
Perfectly
4
Q

Describe the appearance of and approach to IV discs.

A

Fibrocartilage and pulpy myxoid gel (nucleus pulposis), possibly with bone fragments. No differential.

How well did you know this?
1
Not at all
2
3
4
5
Perfectly
5
Q

Describe the appearance of and approach to thymus.

A

Lobular with dark outer cortex and pale medulla. Hassall’s corpuscles look like squamous nests. No germinal centers.

Weigh. Consider thymoma (sheets of cells or obliterated architecture).

How well did you know this?
1
Not at all
2
3
4
5
Perfectly
6
Q

Describe the appearance of and approach to heart valves.

A

Myxoid degeneration, calcification, and adherent vegetations.

Get bug stains if there are vegetations.

How well did you know this?
1
Not at all
2
3
4
5
Perfectly
7
Q

Describe the appearance of and approach to gallbladder.

A

Columnar epithelium in folds over a fibromuscular layer with Rokitansky-Aschoff sinuses.

Look for cholecystitis (chronic or acute!), cholesterolosis (foamy macrophages).

How well did you know this?
1
Not at all
2
3
4
5
Perfectly
8
Q

Describe the appearance of and approach to appendix.

A

Colonic mucosa with abundant lymphoid aggregates.

Look for neutrophils involving the wall (transmural) or serosa (serositis). If the serosa is inflammed but the wall isn’t, look elsewhere in the abdomen. Also look for carcinoid and wall mucin (as in mucinous cystadenoma/carcinoma).

How well did you know this?
1
Not at all
2
3
4
5
Perfectly
9
Q

Describe the appearance of and approach to hernia sac.

A

Fibroadipose tissue lined with mesothelium, often reactive or proliferative.

Watch out for incarcerated bowel, vas deferens, and metastatic tumor.

How well did you know this?
1
Not at all
2
3
4
5
Perfectly
10
Q

Describe the appearance of and approach to scar revisions.

A

Dense pink collagen, no appendages and thin epithelium. Hemorrhage, foamy macrophages, granulation tissue, suture & foreign body giant cells.

Exclude tumor and abscess.

How well did you know this?
1
Not at all
2
3
4
5
Perfectly
11
Q

Describe the appearance of and approach to knee bones / femoral heads

A

Thick cartilage layer with smooth surface and marrow between trabeculae.

Look for osteoarthritis (sclerotic bone with cysts, granulation tissue in marrow), osteonecrosis, osteopenia, and metastatic tumor.

How well did you know this?
1
Not at all
2
3
4
5
Perfectly
12
Q

Describe the appearance of and approach to limb amputations

A

Look for gangrenous necrosis, ulceration, scar, granulation tissue, and inflammation. Look for a “cause”, like atherosclerotic disease. Rule out fungal disease!

How well did you know this?
1
Not at all
2
3
4
5
Perfectly
13
Q

Describe the appearance of and approach to lipomas.

A

Mature fat cells with some fibrous tissue.

Exclude liposarcoma.

How well did you know this?
1
Not at all
2
3
4
5
Perfectly
14
Q

What are the 8 benign variants of lipoma?

A

Fibrolipoma

Myxolipoma

Chondroid lipoma

Myolipoma

Myelolipoma

Spindle cell lipoma

Pleomorphic lipoma

Angiolipoma

How well did you know this?
1
Not at all
2
3
4
5
Perfectly
15
Q

What are the features of liposarcoma?

A

Large deep-seated mass in the thigh, shoulder, retroperitoneum, or mesentery of an adult.

Chicken-wire vasculature, atypical cells, and lipoblasts.

How well did you know this?
1
Not at all
2
3
4
5
Perfectly
16
Q
A

Cholesteatoma

Arrow: Thin epithelium surrounding the keratin debris

17
Q
A

Allergic mucin in rhinitis

Arrow: Tiger-stripe layers of eosinophils, mucin, and cell debris.

Inset: Black fungal hyphae on GMS

18
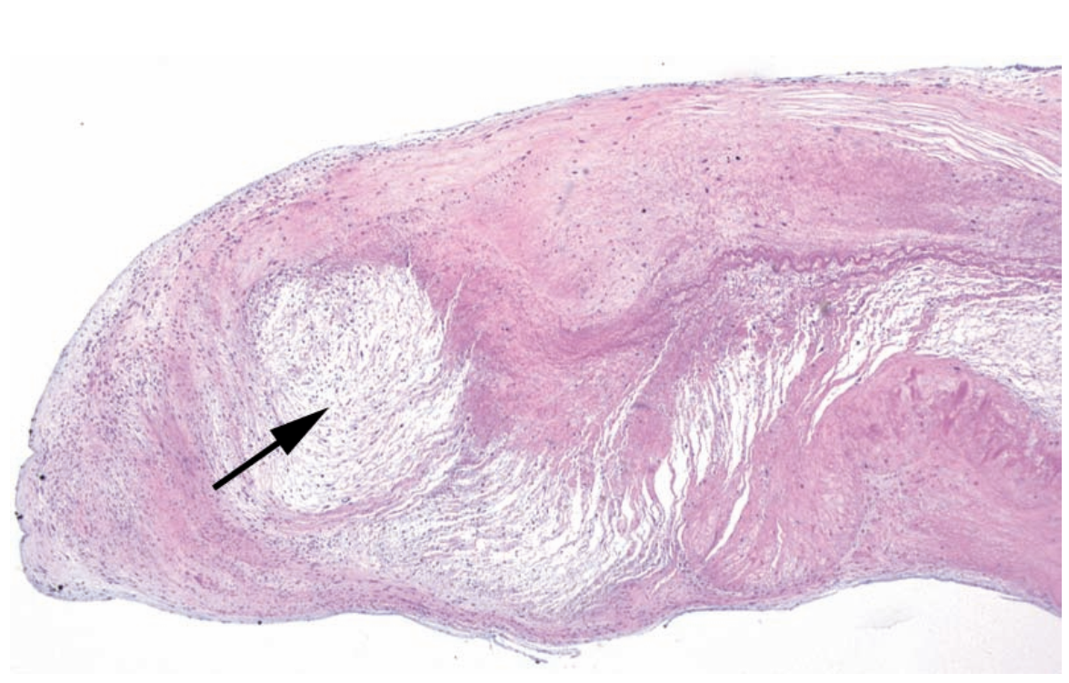
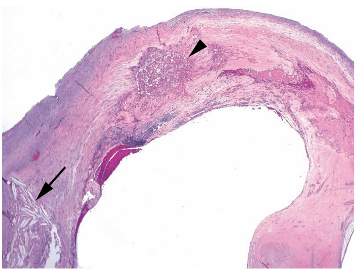
Q
A

Carotid plaque

Arrow: Cholesterol clefts.
Arrowhead: Foamy macrophages

19
Q
A

Intervertebral disc

20
Q
A

Thymus

Arrow: Hassall’s corpuscles

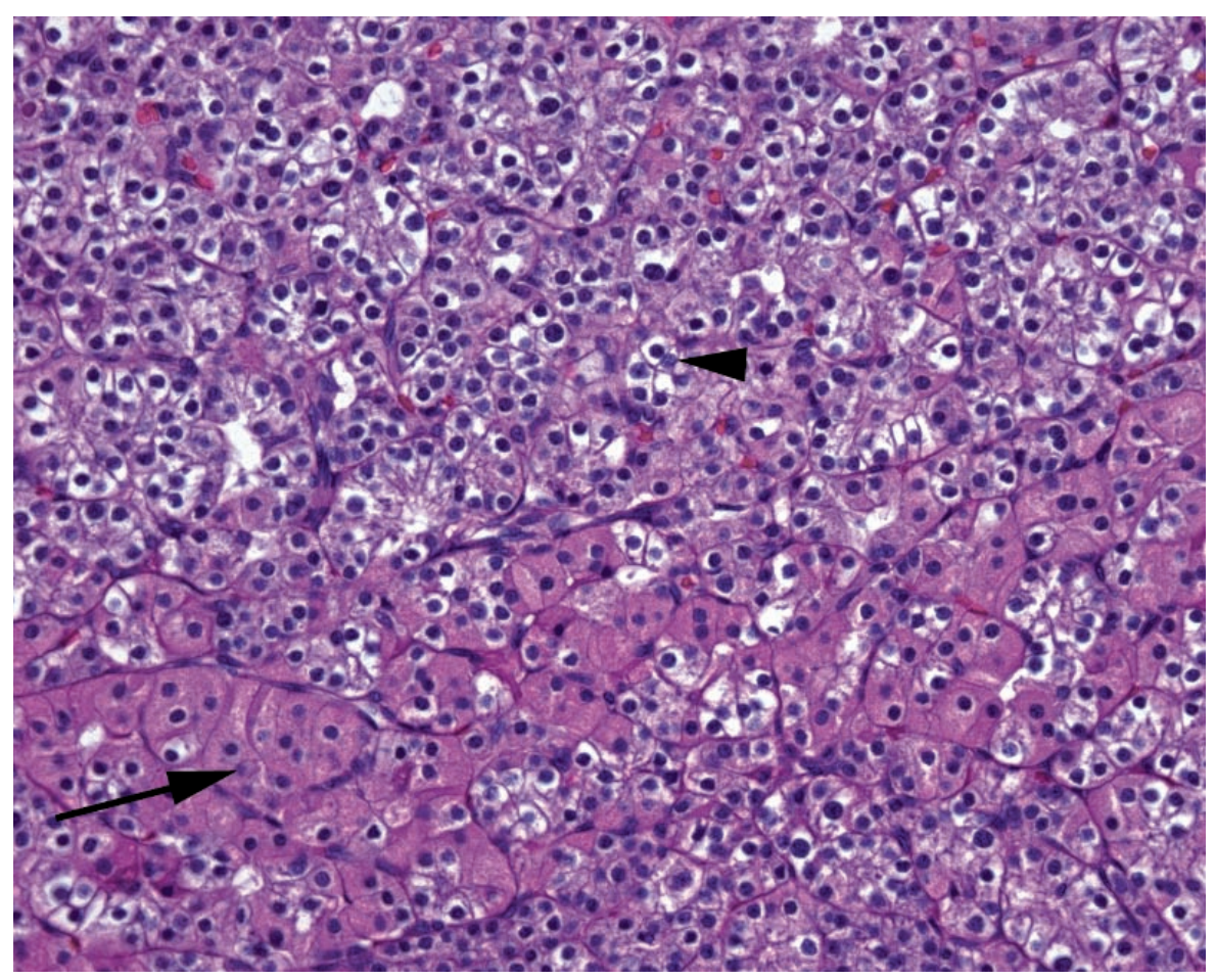
21
Q
A

Parathyroid tissue.

Arrow: Oxyphil cells
Arrowhead: Chief cells

22
Q
A

Heart valve

Arrow: Myxoid degeneration

23
Q
A

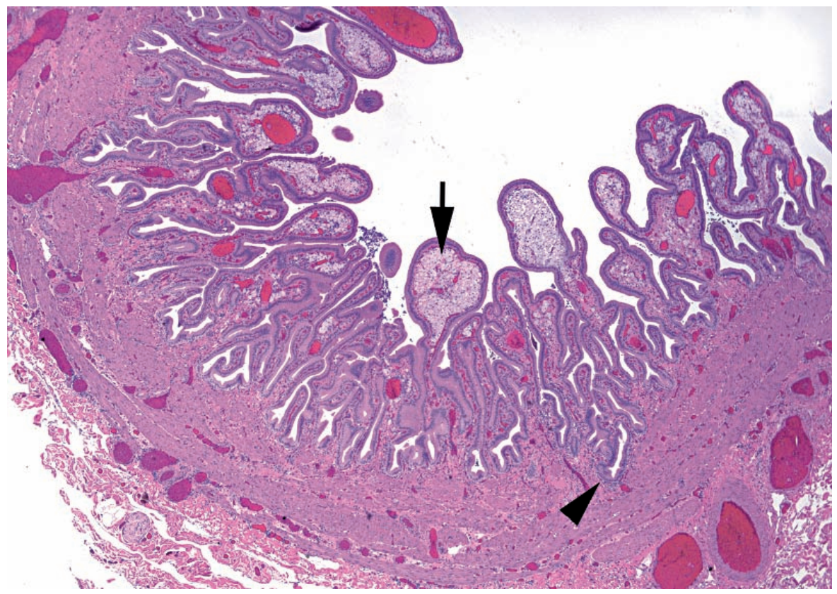
Gallbladder with cholesterolosis.

Arrow: Foamy macrophages distending mucosal folds
Arrowhead: Rokitansky-Aschoff sinuses

24
Q
A

Appendicitis.

Arrow: Residual colonic mucosa
Arrowhead: Fibrinopurulent debris

25
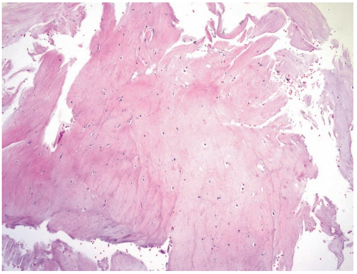
Hernia sac. Arrow: Delicate mesothelial lining
26
Dermal scar. Note pale and homogeneous collagen without adnexal structures.
27
Osteoarthritis 1. Eroded cartilage with abnormal mineralization 2. Subchondral trabecular thickening 3. Myxoid degeneration and subchondral cysts 4. Residual hematopoietic marrow
28
Osteonecrosis Arrow: Necrotic bone marrow Arrowhead: Dead osteocytes
29
Gangrenous necrosis. Arrow: Residual epidermis Arrowhead: Debris, dying cells & bacteria
30
Lipoblast in atypical lipoma Arrow: Fat vacuoles indenting the nucleus Arrowhead: Hyperchromatic cells within the fibrous stroma