Chapter 4 - Interpreting the Complex Epithelium Flashcards

(22 cards)

1
Q

What general features of the epithelium should be appreciated at low power?

A

Type of epithelium

Architecture & orderliness

Keratinization

Thickness

Color

How well did you know this?
1
Not at all
2
3
4
5
Perfectly
2
Q

What high-power epithelial features should be evaluated for dysplasia & carcinoma in situ?

A

Architectural orderliness

Mitotic figures

Dyskeratotic cells

Invasion

Nucleoli

N:C ratios

How well did you know this?
1
Not at all
2
3
4
5
Perfectly
3
Q

Define:

Hyperkeratosis

Orthokeratosis

Parakeratosis

A

Hyperkeratosis: Too much keratin, sitting in a thick layer atop the epithelium

Orthokeratosis: Normal keratin, with a basket weave pattern. Anucleate!

Parakeratosis: Retention of small pyknotic nuclei in the surface keratin

How well did you know this?
1
Not at all
2
3
4
5
Perfectly
4
Q

Define:

Papilloma

Inverted papilloma

A

Papilloma: Exophytic growth of finger-like, arborizing projection, with a fibrovascular core.

Inverted papilloma: Endophytic growth of benign squamous epithelium. Nests are surrounded by stroma, with no fibrovascular cores.

How well did you know this?
1
Not at all
2
3
4
5
Perfectly
5
Q

Define:

Pseudoepitheliomatous hyperplasia

Verrucous

A

Pseudoepitheliomatous hyperplasia: Bening reactive condition that simulates invasive squamous cell carcinoma.

Verrucous: Exophytic with prominent hyperkeratosis. “Church-spire” or “cauliflower” morphology.

How well did you know this?
1
Not at all
2
3
4
5
Perfectly
6
Q

Distinguish between cervical LSIL and HSIL.

A

LSIL: Koilocytic changes with basal layer disorganization and mitoses in the bottom 1/3.

HSIL: Mitosis above the bottom third; undifferentiated cells occupying half or more of hte epithelium. High N/C ratios.

How well did you know this?
1
Not at all
2
3
4
5
Perfectly
7
Q

Distinguish between the flat and papillary urothelial carcinomas.

A

Flat: Dysplasia >> CIS >> Invasive carcinoma

Papillary: Must be designated low-grade or high-grade, invasive or non-invasive. No “dysplasia” here.

How well did you know this?
1
Not at all
2
3
4
5
Perfectly
8
Q

How is the squamous mucosa of the oropharynx different than the cervix?

A

In the oropharynx and larynx, dysplasia tends to result in keratinization. “Severe keratinizing dysplasia” is more insidious as it can become invasive without being full-thickness.

How well did you know this?
1
Not at all
2
3
4
5
Perfectly
9
Q

What are Schneiderian papillomas? Describe their morphology.

A

Fungiform or inverted masses lined with nonkeratinizing epithelium (sometimes ciliated or mucous). Inflamed with only mild atypia. Consider invasive lesions!

How well did you know this?
1
Not at all
2
3
4
5
Perfectly
10
Q

How does squamous dysplasia arise from respiratory epithelium?

A

When irritated, respiratory epithelium undergoes squamous metaplasia. Dysplasia may then arise there.

How well did you know this?
1
Not at all
2
3
4
5
Perfectly
11
Q

Why is squamous dysplasia rarely seen on biopsy?

A

It is asymptomatic!

How well did you know this?
1
Not at all
2
3
4
5
Perfectly
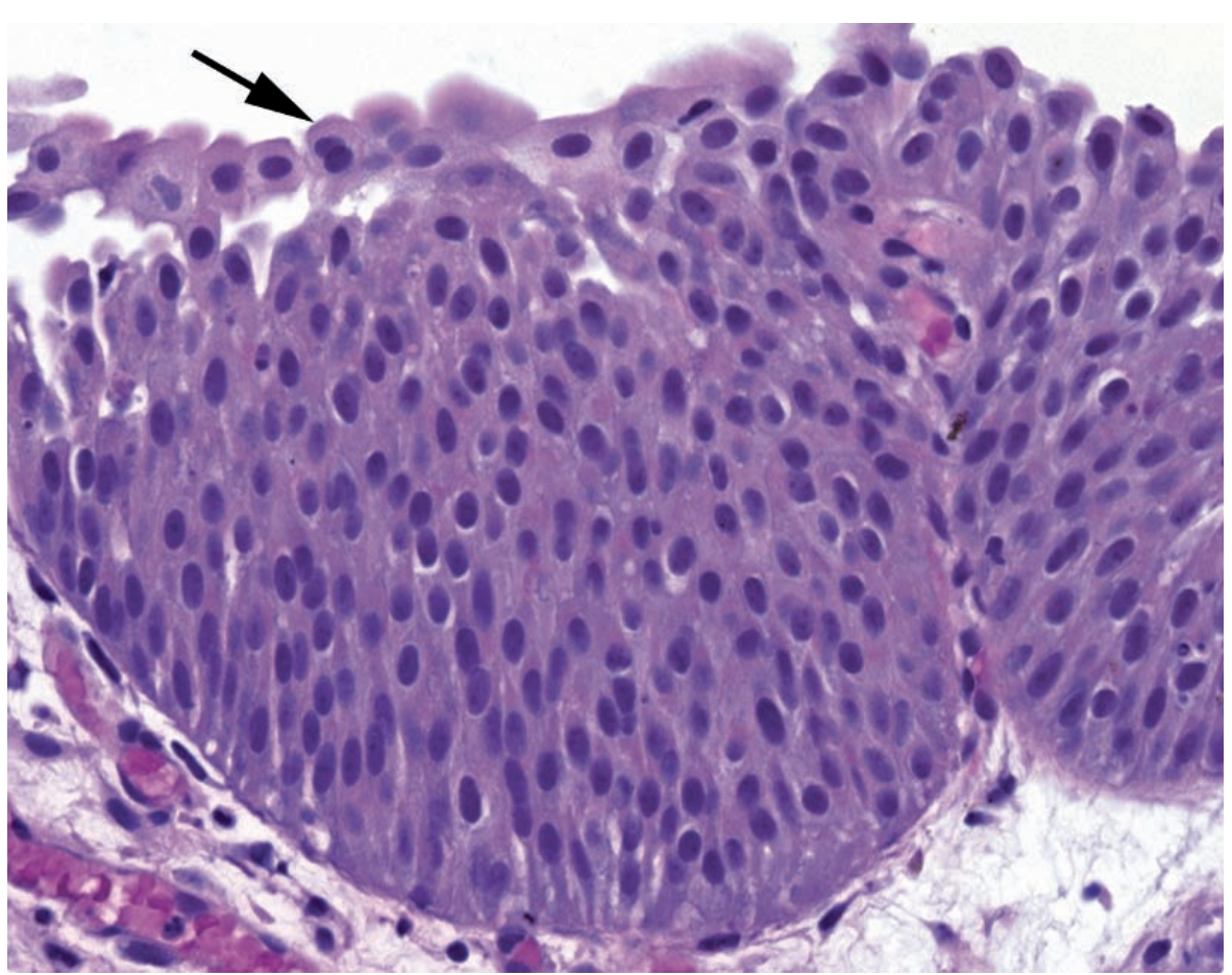
12
Q
A

Normal urothelium, with polarization.

Arrow: Umbrella cells

How well did you know this?
1
Not at all
2
3
4
5
Perfectly
13
Q
A

Dyskeratotic epithelial cells

How well did you know this?
1
Not at all
2
3
4
5
Perfectly
14
Q
A

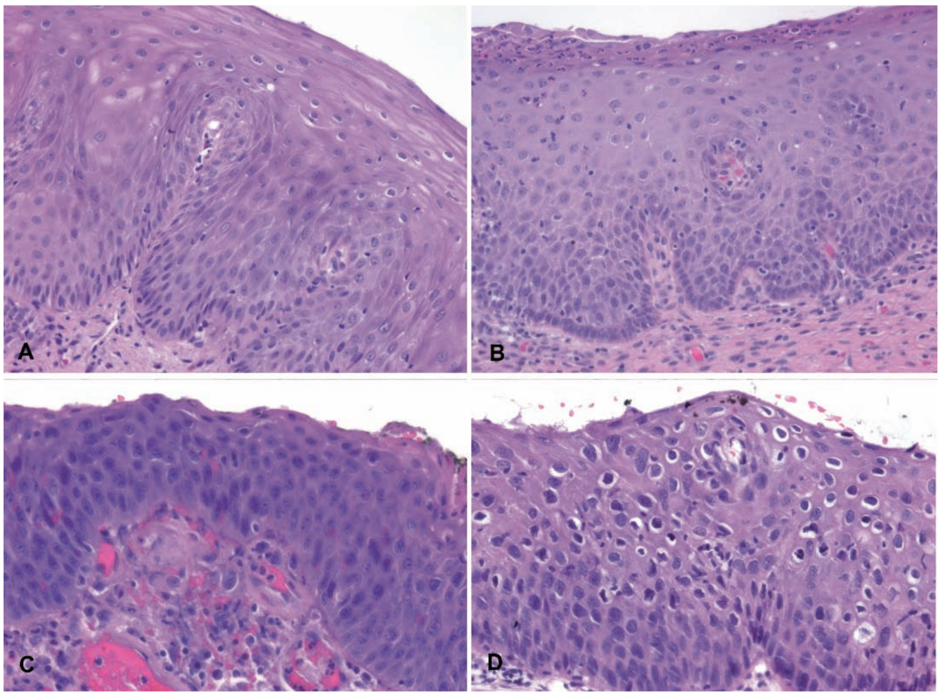
Top (A/B): Reactive, benign epithelium

Bottom (C/D): Dysplastic epithelium

How well did you know this?
1
Not at all
2
3
4
5
Perfectly
15
Q
A

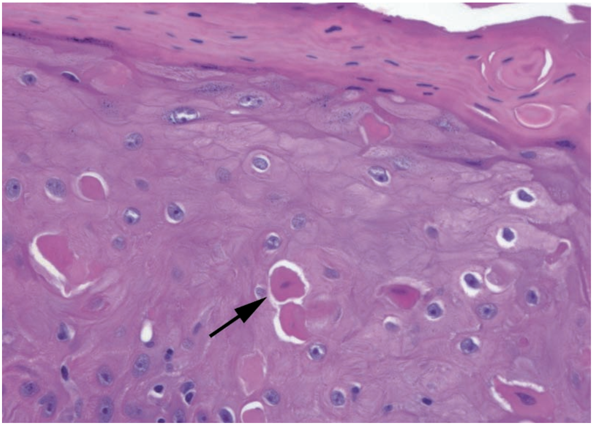
Invasive squamous cell carcinoma

Arrow: Deep aberrant keratinization

How well did you know this?
1
Not at all
2
3
4
5
Perfectly
16
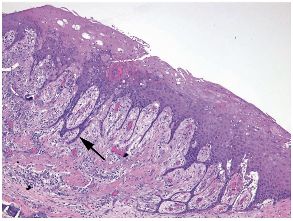
Q
A

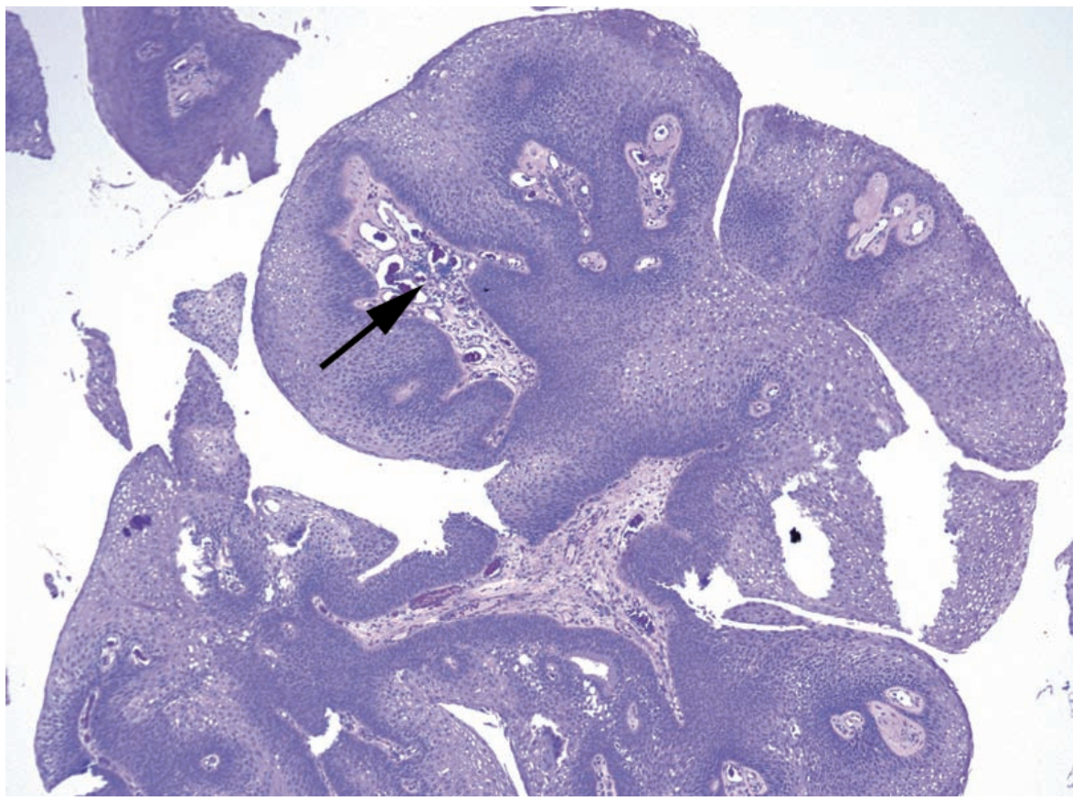
Papilloma

Arrow: Fibrovascular core surrounded by squamous epithelium.

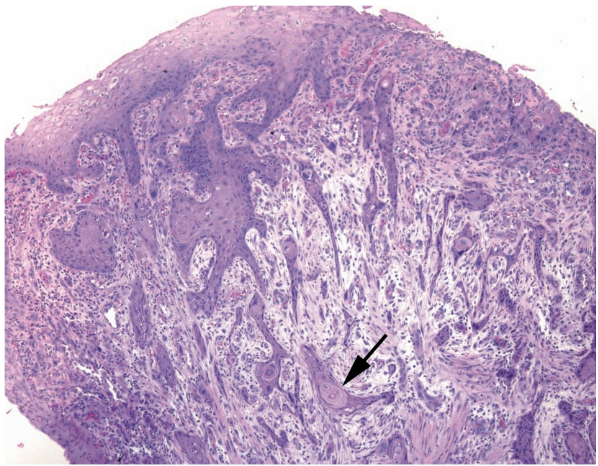
17
Q
A

Pseudoepitheliomatous hyperplasia

Arrow: Strands of epithelium pulled into the dermis or LP without keratinization or invasion.

18
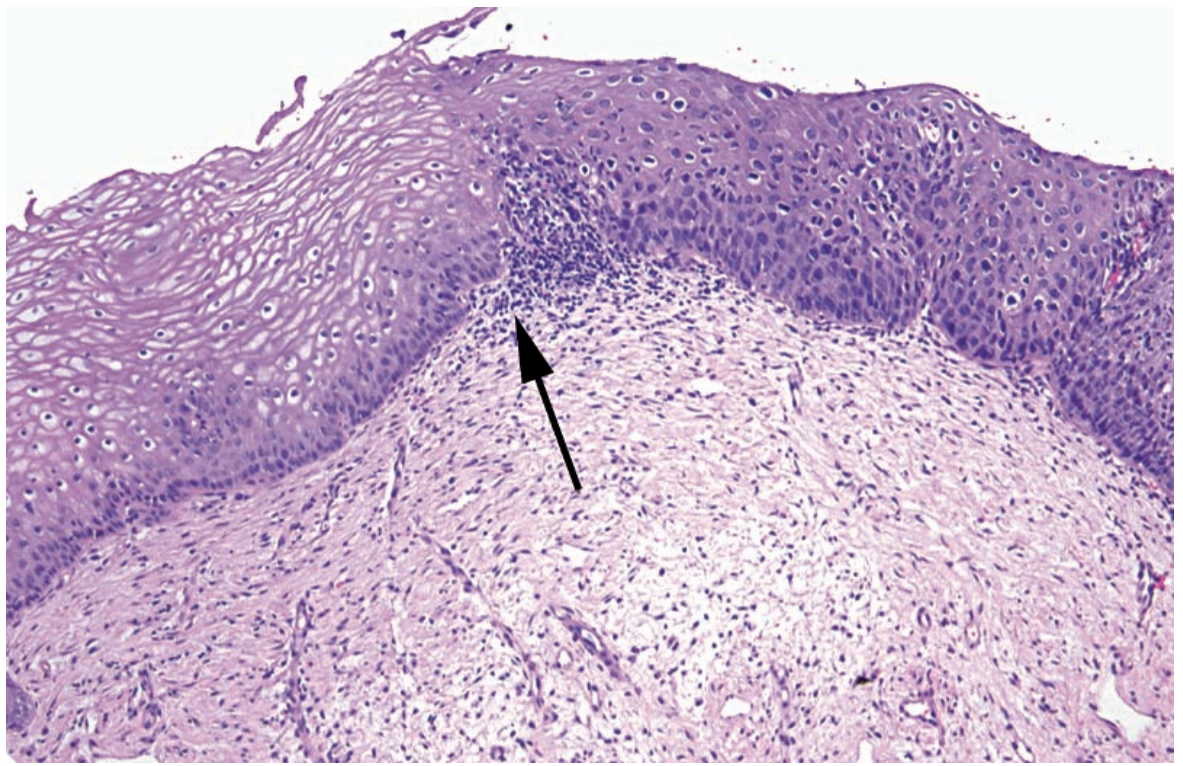
Q
A

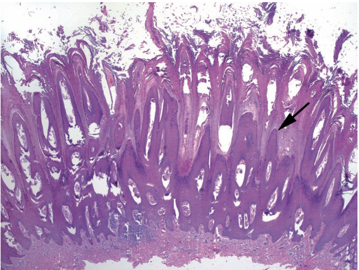
Verrucous wart

Arrow: Exophytic spires with hyperkeratosis & parakeratosis

19
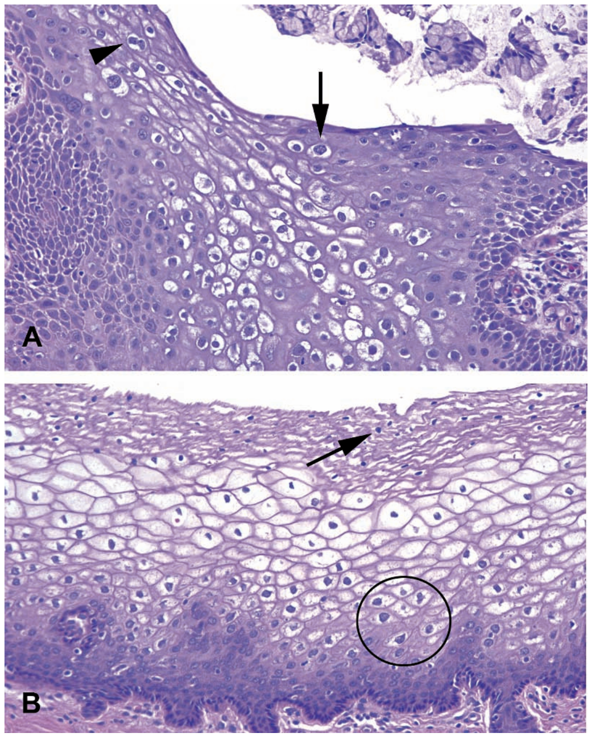
Q
A

Top: Viral/koilocytic atypia with perinuclear halos (arrow) and binucleate cells (arrowhead)

Bottom: Normal glycogenated epithelium, also with perinuclear halos, but small & pyknotic nuclei.

20
Q
A

HSIL, with an abrupt transition to normal mucosa (arrow).

21
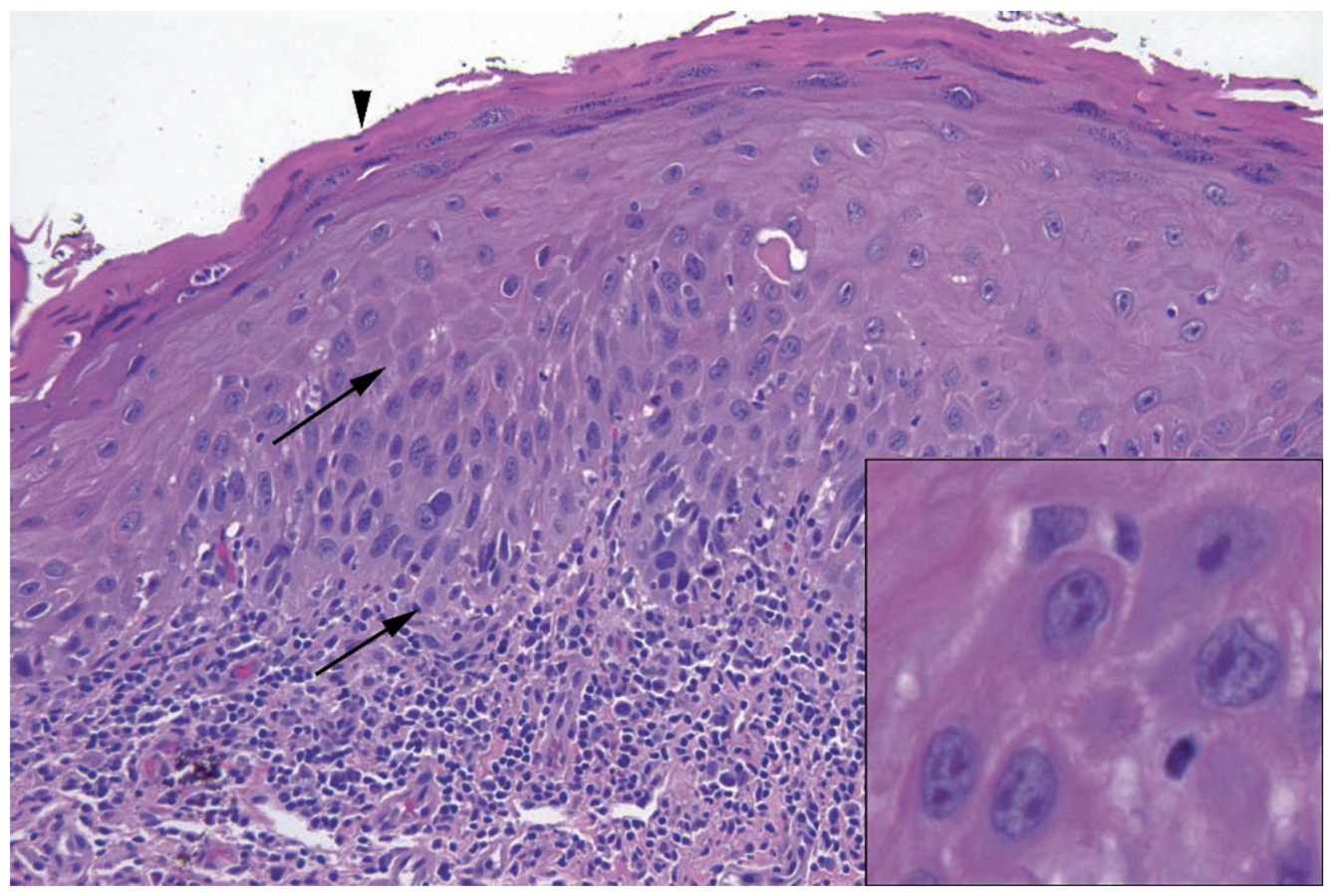
Q
A

Squamous dysplasia in the mouth.

Arrow: Dysplastic cells with high N:C ratio
Arrowhead: Hyperkeratosis, clinically appearing as a white plaque
Inset: Prominent nucleoli (not seen in cervical dysplasia)

22
Q
A

Schneiderian papilloma

  1. Goblet cells (respiratory epithelium)
  2. Fibrovascular cores