Chapter 8 - Colon Flashcards

(34 cards)

1
Q

What are the three indications for colon biopsy?

A

To evaluate a mass

To evaluate inflammatory bowel disease

To identify a cause of diarrhea

How well did you know this?
1
Not at all
2
3
4
5
Perfectly
2
Q

Describe the normal morphology of the colon.

A

Epithelium: Parallel crypts and a flat surface lined with goblet cells, endocrine cells, paneth cells and precursor cells.

Lamina propria: Dense lymphoplasmacytic infiltrate

Muscularis propria: Two layers

Serosa/Adventitia: Fat (note this on biopsy!)

How well did you know this?
1
Not at all
2
3
4
5
Perfectly
3
Q

Describe the morphology of tubular adenoma.

A

Nuclei that are tall and dark with pencillate shape.

Mitoses can be present, but not at the apex.

Dysplasia must reach the surface.

How well did you know this?
1
Not at all
2
3
4
5
Perfectly
4
Q

How can high-grade dysplasia be recognized on a colon biopsy?

A

Evaluate architecture; glands that are fused, back-to-back, or cribriform.

Ugly cytology.

Usually, a lesion that you think is cancerous but cannot prove invasion.

How well did you know this?
1
Not at all
2
3
4
5
Perfectly
5
Q

How is invasive carcinoma diagnosed on a colon biopsy?

A

Must see invasion into the lamina propria. Look for jagged border, desmoplasia, and “pinking” of invasive cells.

How well did you know this?
1
Not at all
2
3
4
5
Perfectly
6
Q

What is “intramucosal carcinoma”?

A

Invasive carcinoma that is limited to the lamina propria, for which resection is curative.

Note: Once the muscularis is reached, there is metastatic potential.

How well did you know this?
1
Not at all
2
3
4
5
Perfectly
7
Q

Describe the appearance of a hyperplastic polyp.

A

Glands with increased number of goblet cells outgrowing the lamina propria, resulting in a frilly appearance. Star-shaped lumen.

How well did you know this?
1
Not at all
2
3
4
5
Perfectly
8
Q

What are the diagnostic criteria for a sessile serrated polyp?

How are they treated clinically?

A

Large (< 1cm), hyperplastic-appearing polyp in the right colon with hyperplasia to the base of the crypt, resulting in a boot-like shape.

Handled like a tubular adenoma.

How well did you know this?
1
Not at all
2
3
4
5
Perfectly
9
Q

Describe the appearance of an inflammatory pseudopolyp.

What else does it resemble?

A

Granulation tissue or inflamed lamina propria with distorted crypts. Can have dysplasia but should have surface maturation. Essentially, like IBD. But if no background inflammation is present, diagnose juvenile polyp.

How well did you know this?
1
Not at all
2
3
4
5
Perfectly
10
Q

Describe the morphologic appearance of mucosal prolapse.

A

Extension of the muscularis mucosa into the lamina propria

Crypt distortion (diamond-shaped)

Hemosiderin, edema

How well did you know this?
1
Not at all
2
3
4
5
Perfectly
11
Q

Describe the two tumor pathways of colorectal adenocarcinoma.

A

APC pathway: 85% of cancers, also involves Ki67 and p53.

Mismatch pathway: 15% of cancers. Defective MLH1/MSH2 resulting in microsatellite instability.

How well did you know this?
1
Not at all
2
3
4
5
Perfectly
12
Q

What is medullary carcinoma of colon?

A

A rare variant of CRC with dense lymphoid population and a bland, neuroendocrine-like cytology.

Significantly, notes Lynch syndrome in the right colon of a young patient.

How well did you know this?
1
Not at all
2
3
4
5
Perfectly
13
Q

Where do carcinoid tumors usually occur?

How do they appear?

A

Appendix & small bowel

Neuroendocrine-cytology with bland, trabecular or spindled cells. Note, histology does not predict behavior.

How well did you know this?
1
Not at all
2
3
4
5
Perfectly
14
Q

What are the features of active IBD?

A

Intraepithelial neutrophils (cryptitis)

Neutrophils in crypt lumen (crypt abscesses)

Erosions/ulceration

How well did you know this?
1
Not at all
2
3
4
5
Perfectly
15
Q

What are the features of chronic IBD?

A

Crypt distortion

Crypt loss or atrophy

Basal plasmacytosis (should push up on crypts)

Paneth cell metaplasia (in left colon)

How well did you know this?
1
Not at all
2
3
4
5
Perfectly
16
Q

How can UC and CD be distinguished histologically?

A

CD: Patchy involvement with skip areas, granulomas, transmural inflammation, cobblestoning, creeping fat, fistulas.

UC: Continuous distal involvement, diffuse mucosal inflammation.

Note: Treated IBD can look patchy.

17
Q

What is the significance of dysplasia in IBD?

A

It is more likely than sporadic dysplasia to progress, and must be reported.

The inflammatory background also makes it difficult to spot. Look for surface dysplasia.

18
Q

What are the morphologic features of microscopic colitis?

A

Lack of chronic changes (IE, rule out IBD)

Top-heavy lymphocytic infiltrate

Intraepithelial lymphocytes

Damage to epithelium

19
Q

Distinguish between the two types of microscopic colitis

A

Collagenous colitis: Affects women, has a collagen band along the basement membrane.

Lymphocytic colitis: Essentially doesn’t have the above features.

20
Q

Describe the appearance of ischemic colitis.

A

Variable. Can be focally active or diffuse with pseudomembrane. Look for coagulative necrosis, fibrosis, and crypt atrophy.

21
Q

What is diversion colitis?

A

Colitis of the Hartmann’s pouch which results from disconnection from the usual stream of fecal flora. Resembles IBD!

22
Q
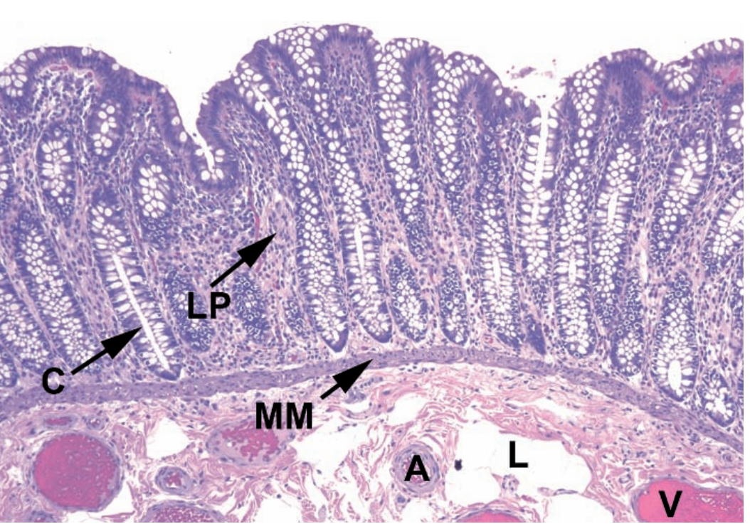
A

Normal colon

C: Crypts
LP: Lamina propria
MM: Muscularis mucosa
A: Artery
V: Vein
L: Lymphatics

23
Q
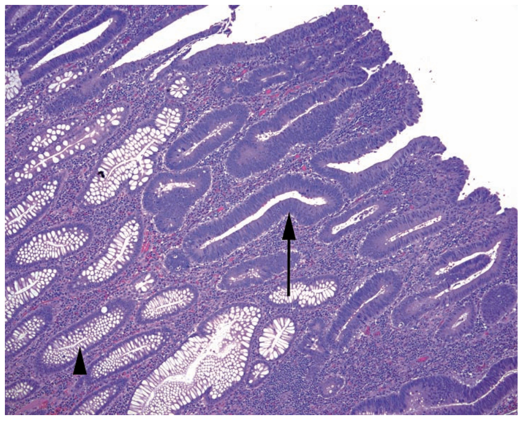
A

Tubular adenoma

Arrow: Low-grade dysplasia in surface glands
Arrowhead: Uninvolved deeper gland

24
Q
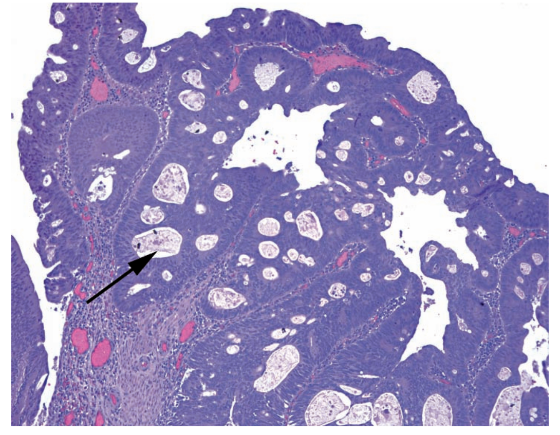
A

High-grade dysplasia in an adenoma

Arrow: Cribriforming

25
Invasive adenocarcinoma Arrow: Poorly formed glands and single cells Arrowhead: Desmoplastic stroma
26
Hyperplastic polyp Arrow: Frilly goblet cell hyperplasia Arrowhead: Star-shaped lumen
27
Sessile serrated polyp Arrow: Branching crypts Arrowhead: Surface resembling hyperplastic polyp
28
Mucosal prolapse Arrow: Smooth muscle pulled into lamina propria Arrowheads: Diamond-shaped crypts
29
Carcinoid tumor Note delicate fibrovascular septa and speckled chromatin nuclei.
30
Active colitis Arrow: Intraepithelial neutrophils Arrowhead: Surface ulceration
31
Chronic inflammatory changes 1. Crypt atrophy & distortion 2. Elevation of crypts off muscularis 3. Paneth cell metaplasia
32
Granuloma in Crohn's disease (arrow)
33
Collagenous colitis Top: H&E with lymphoplastmacytic infiltrate (arrow) and collagen (arrowhead) Bottom: Trichrome stain highlighting collagen
34
Ischemic colitis 1. Dark, regenerative crypts 2. Hyalinization and fibrosis of the LP 3. Ulceration 4. Crypt dropout