Colorectal Flashcards

(20 cards)

1
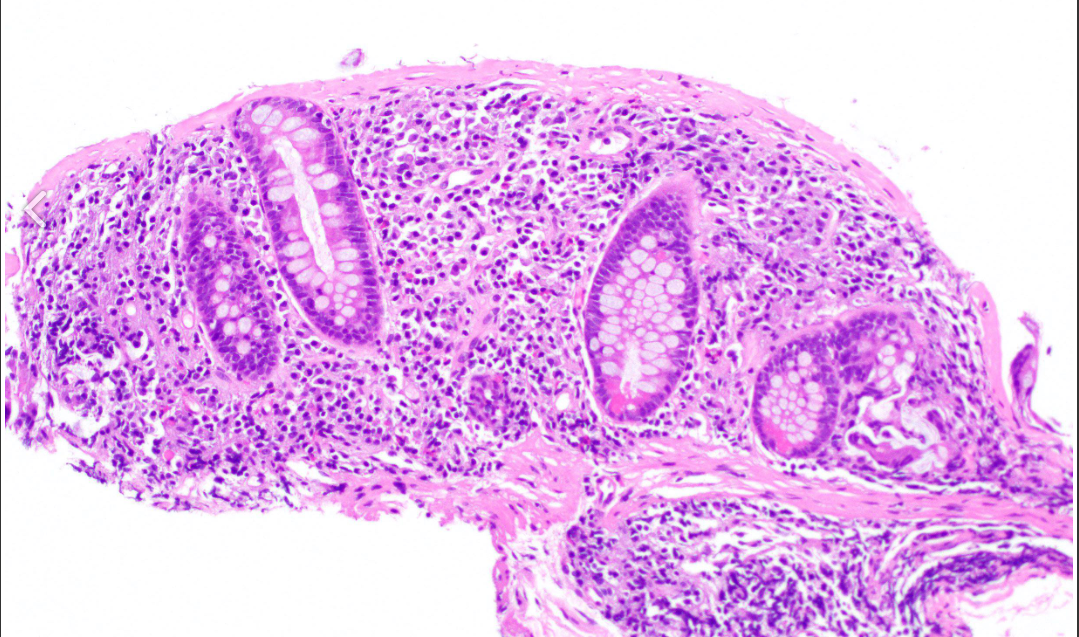
Q

Name the mismatch repair genes associated with Lynch syndrome?

A

MLH1
MLH2
MSH6
PMS2

NB: MMR genes

How well did you know this?
1
Not at all
2
3
4
5
Perfectly
2
Q

Lynch syndrome is associated with which cancers and what proportions of each?

A

colorectum (80% lifetime risk)
Endometrium 60% lifetime risk
ovary 12%
et al.

How well did you know this?
1
Not at all
2
3
4
5
Perfectly
3
Q

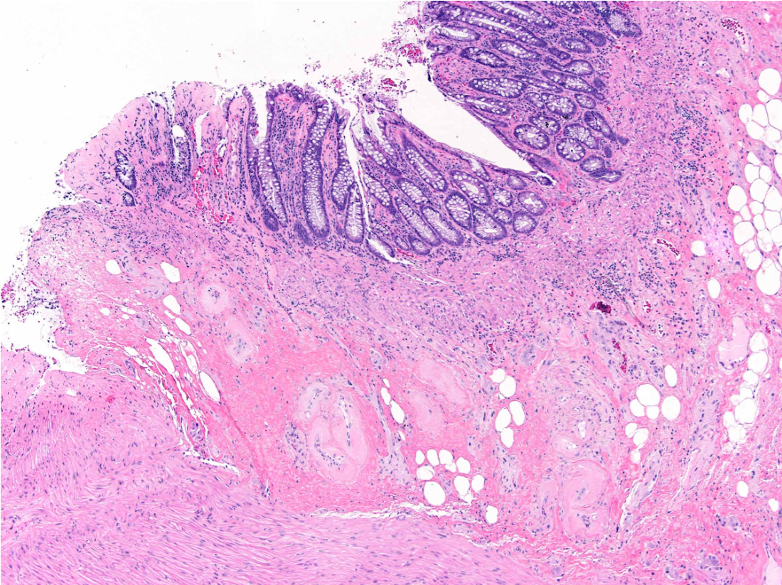
colonic biopsy. H/O cervical SCC

Dx:
Key features demonstrated in image.
Other features

A

Dx: radiation related colitis/proctitis

Hyalinisation of vessels + intimal thickening, LP fibrosis.

Acute radiation colitis (< 6 months after radiation treatment):
Epithelium can contain:
Reduced mitotic activity
Apoptosis
Reduced goblet cell mucin
Goblet cell swelling
Degenerative changes
Atypia (nuclear enlargement and malorientation)
Inflammation
Typically eosinophilic (characteristic)
Lamina propria eosinophilic infiltration
Eosinophilic cryptitis
Eosinophilic crypt abscesses
Can be fibroblast proliferation in lamina propria (reactive changes to radiation)
Chronic radiation colitis (> 6 months after radiation treatment):
Epithelium:
Paneth cell metaplasia
Ulceration
Mild epithelial atypia
Crypts:
Architectural changes and atrophy
Lamina propria:
Fibrosis
Mild chronic inflammation
Atypical fibroblasts / stromal cells with enlarged hyperchromatic nuclei
Submucosa and deeper layers:
Vasculature
Hyalinization and fibrosis of vessel wall
Intimal thickening
Vascular ectasia or narrowing
Thrombosis
Endothelial cell atypia

How well did you know this?
1
Not at all
2
3
4
5
Perfectly
4
Q

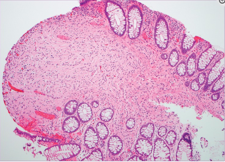
descending colon polyp 44F
Dx:
Features in image
IHC:

A

Dx: Schwann cell hamartoma
Image demonstrates bland spindle cell proliferation with elongated nuclei and dense eosinophilic cytoplasm, which is consistent with Schwann cell proliferation.

IHC: S100 (+) EMA/DOG1/CD43/SMA (-)

How well did you know this?
1
Not at all
2
3
4
5
Perfectly
5
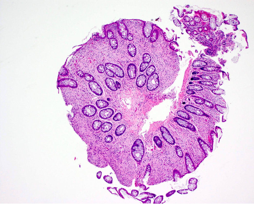
Q

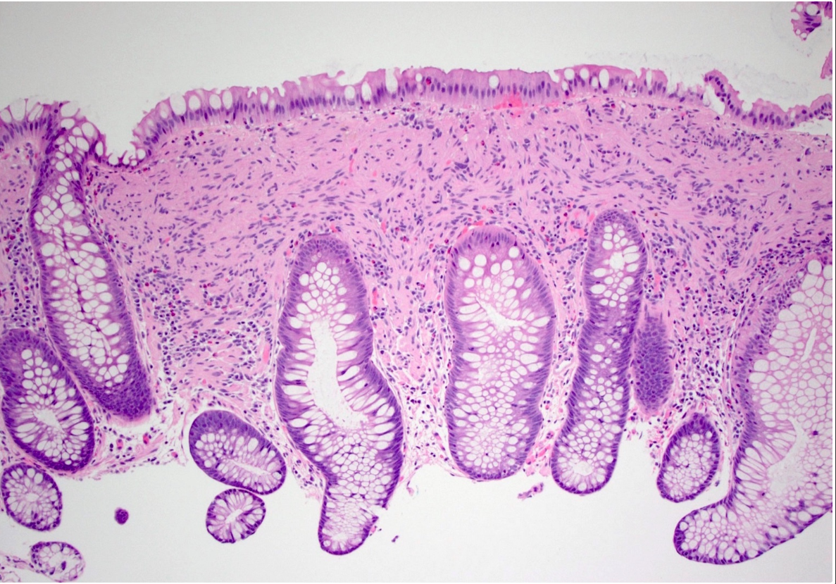
polyp
Dx:
key features
IHC:

A

Schwann cell hamartoma
Poorly circumscribed mucosal proliferation of spindle cells, with no whorling, no palisading, no fasciculation
Nuclei are generally small, bland and elongated
IHC: S100 (+) EMA/DOG1/CD43/SMA (-)

How well did you know this?
1
Not at all
2
3
4
5
Perfectly
6
Q

39M anal biopsy

dx

A

Dx: Crohn’s disease.
Exclude infectious processes

The section reveals acanthosis and hyperkeratosis affecting the squamous epithelium, but there is also focal ulceration as well as prominent inflammation within the subepithelial tissues. The inflammatory process includes numerous non-caseating epithelioid granulomas together with a predominantly lymphocytic inflammatory infiltrate elsewhere, with the formation of lymphoid aggregates. In some areas there are also sheets of histiocytes intermingled with the lymphocytes, without obvious circumscribed granuloma formation. Areas of collagenous fibrosis are also evident within the subepithelial zone. The appearances conform to those of chronic and active granulomatous inflammation with focal ulceration of the squamous epithelium, highly characteristic of Crohn’s disease with anal/perianal involvement.

How well did you know this?
1
Not at all
2
3
4
5
Perfectly
7
Q

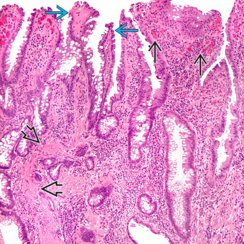
62F. recent onset of abdo pain and PR bleeding

Dx
Key features
Further invx?

A

Pseudomembranous colitis

Key features:
* Multifocal areas of ulceration, associated with exploding ‘mushroom-like’ inflammatory exudate.
* Architecture otherwise does not show significant distortion.
* No ischaemic changes noted.
* No thrombosed blood vessels seen.

Inx: Clostridium difficile toxin assay

How well did you know this?
1
Not at all
2
3
4
5
Perfectly
8
Q

Juvenile polyposis syndrome

diagnostic criteria:

A

> 3 - 5 juvenile polyps in the colorectum or
Juvenile polyps throughout the gastrointestinal tract or
Any number of juvenile polyps with a positive family history of juvenile polyposis (World J Gastroenterol 2011;17:4839)
Other syndromes involving hamartomatous gastrointestinal polyps should be ruled out clinically or by pathological examination

How well did you know this?
1
Not at all
2
3
4
5
Perfectly
9
Q

acute vs chronic ischaemic colitis key microscopic features

A
How well did you know this?
1
Not at all
2
3
4
5
Perfectly
10
Q

tumour budding

with respect to CRC, defined tumour budding

A

Between 1-4 tumour cells at the advancing edge of the tumour
more important in malignant polyps.
Not meant to use IHC as the original study was done one H&E.

How well did you know this?
1
Not at all
2
3
4
5
Perfectly
11
Q

RAS mutation testing

Why do we do RAS (NRAS/KRAS) mutation testing in colorectal carcinoma?

A

To exclude RAS mutation-positive metastatic colorectal cancer (mCRC) patients from receiving anti-epidermal growth factor receptor (EGFR) therapy.

This is because anti-EGFR agents do not provide meaningful survival benefits versus anti-angiogenic/chemotherapy regimens in mCRC patients whose tumours are not wild type (WT) with respect to RAS genes

How well did you know this?
1
Not at all
2
3
4
5
Perfectly
12
Q

84F rectal stump

DX?
Key features?

A

Solitary rectal ulcer syndrome/mucosal prolapse

Key features:
Fibromuscular hyperplasia/obliteration of the LP
Architectural distortion
Hyperplastic/villiform regenerative surface w/ mucin loss
Inflammation, erosion, ulceration.
Capillary proliferation and dilatation
Dense submucosal fibrosis and cysts

How well did you know this?
1
Not at all
2
3
4
5
Perfectly
13
Q

54F colonic polyp

Dx?
Key features?
syndromic associations?
IHC?

A

Ganglioneuroma (unrelated to the same lesion in the adrenal gland)

Expansion of the lamina propria by bland spindled mesenchymal cells (Schwann cells), lacking atypia or mitotic figures
Ganglion cells present within the expanded region; may be rare or abundant

If multiple can be a/w Cowden syndrome (PTEN)

IHC: S100 schwann cells and Syn/NSE for ganglion cells

How well did you know this?
1
Not at all
2
3
4
5
Perfectly
14
Q

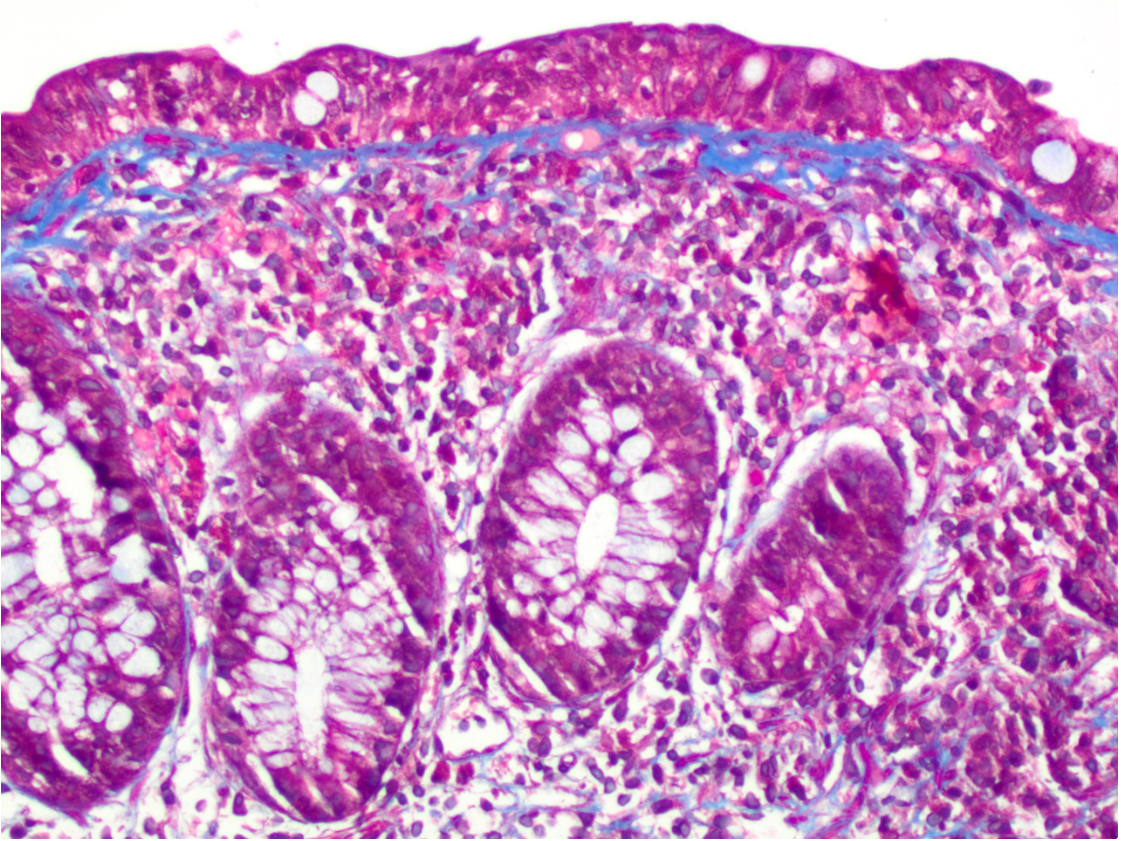
55M chronic watery diarrhoea

Dx?

Key features?

A

Thickened subepithelial collagen band, usually with capillary, red blood cell and inflammatory cell entrapment.
Collagen band typically > 10 microns
Occasional cases can have an irregular collagen band that is < 10 microns; some have labeled such cases as “incomplete collagenous colitis”
Trichrome stain can be useful in equivocal cases
Surface mucosal damage with loss of mucin, flattening and detachment
Increased lamina propria inflammation composed of lymphocytes, plasma cells and eosinophils
Neutrophilic inflammation can be seen but is typically not prominent

How well did you know this?
1
Not at all
2
3
4
5
Perfectly
15
Q

features of juvenile polyps and mutation?

A

Germline mutations in SMAD4 (DPC4) gene on 18q21 present in ~ 40% of JPS patients

Eroded surface, abundant oedematous stroma with inflammatory cells, and cystically dilated glands with reactive epithelium

Gastric juvenile polyps show irregular hyperplastic glands mostly lined by foveolar epithelium and abundant oedematous stroma. Dysplasia is seen in about 15% of these polyps, which can show intestinal or pyloric gland differentiation { 25390638 }. It is difficult to reliably differentiate between gastric hyperplasic, juvenile, and Peutz–Jeghers polyps on the basis of histological features alone. It is therefore advisable to use more-inclusive terminology, such as “hamartomatous polyp NOS”, and to recommend additional endoscopic examination with sampling of intestinal polyps and genetic testing in equivocal cases

How well did you know this?
1
Not at all
2
3
4
5
Perfectly
16
Q

Name Genetic tumour syndromes of the digestive system

A

Lynch syndrome
Familial adenomatous polyposis 1
GAPPS and other fundic gland polyposes
Other adenomatous polyposes
Serrated polyposis
Hereditary diffuse gastric cancer
Familial pancreatic cancer
Juvenile polyposis syndrome
Peutz-Jeghers syndrome
Cowden syndrome

17
Q

dx criteria for juvenile polyposis syndrome

18
Q

IBD, ddx (5)?

A

acute self-limited infective colitis
NSAID injury
Ischemic colitis
segmental colitis associated with diverticulosis (SCAD)

19
Q

how do you grade UC activity?

20
Q

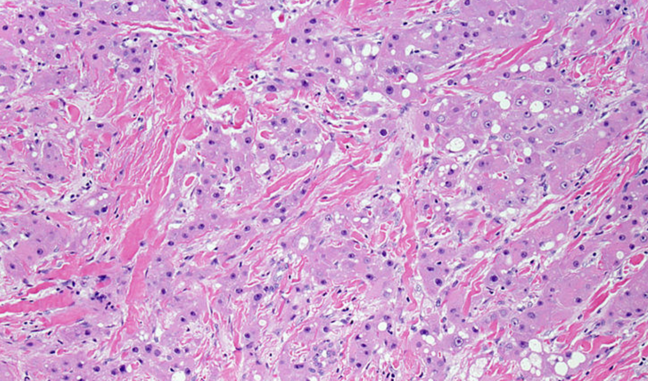
liver lesion bx
40F
translocation

A

HCC, fibrolamellar variant

Rare in peeps over 50 yrs
b/g liver non-cirrhotic

translocation: DNAJB1-PRKACA fusion gene

Trabecula, sheets or cords of neoplastic cells with abundant oncocytic cytoplasm cells in background of dense collagen bundles frequently arranged in parallel lamellae