Soft tissue Flashcards

(121 cards)

1
Q

Name this tumour.
Line of differentiation?
Site predilection?
Explain appearance of cytoplasm?
Stains:
Describe any genetic exceptions

A

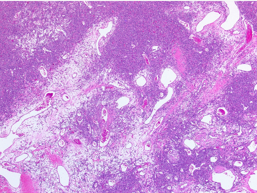
Granular cell tumour
Neuroectodermal differentiation
Predilection for the tongue
Granular cytoplasm caused by inactivating mutations in ATP6AP1 or 2 (so can’t break down lysosomes) -> granular ppearance.
Stains: S100 (+), CD68, inhibin, calretinin.
Genetic exceptions: congenital (ginival) granular cell tumour (congenital epulis) - looks simlar, located on gingiva at birth, S100-

How well did you know this?
1
Not at all
2
3
4
5
Perfectly
2
Q

Molecular mutation in myxoid liposarcoma:

A

FUS-DDIT3 t(12;16) OR
EWSR-DDIT3 t(12;22)

How well did you know this?
1
Not at all
2
3
4
5
Perfectly
3
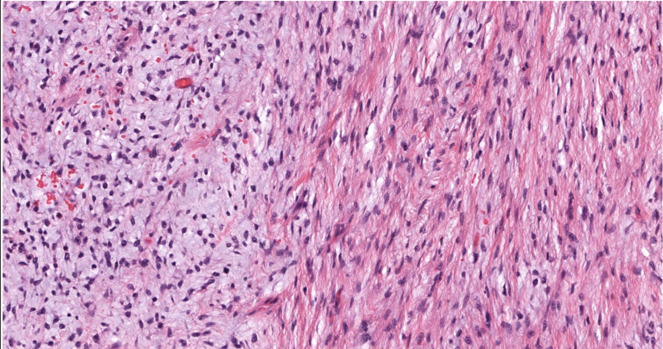
Q

FUS rearrangements seen in which soft tissue tumours?

A

myxoid lipoidsarcoma
Low-grade fibromyxosarcoma
Angiomatoid fibrous histiocytoma

How well did you know this?
1
Not at all
2
3
4
5
Perfectly
4
Q

name the 4 types of Kaposi sarcoma
Causative agent?
Associations

A

1) classic (older males 90%; indolent)
2) Endemic/African (NOT a/w HIV, aggressive)
3) Iatrogenic (usu immunosuppressed; variable behaviour)
4) Aids-associated (coinfection with HIV and HHV8; most aggressive type)

HHV-8
Classic often a/w underlying malignancy (haematologic)

How well did you know this?
1
Not at all
2
3
4
5
Perfectly
5
Q

Kaposi sarcoma

What are the three stages of the disease?

A
  1. Patch stage
  2. Plaque stage
  3. Tumor stage
How well did you know this?
1
Not at all
2
3
4
5
Perfectly
6
Q

Kaposi sarcoma

Patch stage, key histological features?

A

Increased “jagged” interconnected vascular channels in reticular dermis
Dissecting/wrapping around collagen bundles
Growing around adnexa
Growing into normal vessels (promontory sign is characteristic but uncommon finding)
Lined by uniform endothelial cells with minimal atypia
Scattered plasma cells (very useful clue) and lymphocytes
Extravasated erythrocytes and hemosiderin deposits

How well did you know this?
1
Not at all
2
3
4
5
Perfectly
7
Q

Kaposi sarcoma

Plaque stage, key histological features

A

More extensive vascular proliferation
Increased inflammatory infiltrate with plasma cells
Spindle cell proliferation infiltrating dermis and invading/destroying eccrine glands

How well did you know this?
1
Not at all
2
3
4
5
Perfectly
8
Q

Kaposi sarcoma

Tumour stage, key histological features

A

Nodules of spindle cells arranged in intersecting fascicles
Blood-filled slit- and sieve-like spaces between spindle cells
When blood-filled spaces absent, may be difficult to recognize as vascular tumor
Mitoses often prominent, but nuclear atypia is usually only mild to moderate
If severe atypia, consider spindled angiosarcoma
In AIDS, KS may have more atypical areas similar to angiosarcoma
Intracytoplasmic hyaline globules in spindle cells
Some suggest these are degenerated erythrocytes
Inflammatory infiltrate with plasma cells usually present

How well did you know this?
1
Not at all
2
3
4
5
Perfectly
9
Q

IHC kaposi sarcoma

A

CD31, CD34, ERG, D2-D40 positive.
HHV-8 Punctate, speckled, or granular pattern of nuclear staining is classic. All other vascular tumours negative for HHV-8

How well did you know this?
1
Not at all
2
3
4
5
Perfectly
10
Q

DDx Kaposi sarcoma

A

Angiosarcoma: different clinical context, HHV-8(-)
Acroangiodermatitis (i.e. venous stasis): Dermal spindle cells are fibroblasts (not spindled endothelial cells as in KS) so negative for vasc markers.

How well did you know this?
1
Not at all
2
3
4
5
Perfectly
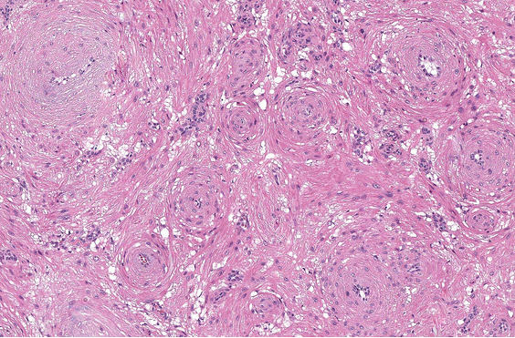
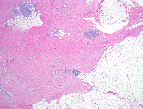
11
Q

Painful, well circumscirbed skin lesion. Higher power magnification:

Dx:
Key histological features:

A

Angioleiomyoma

Well-circumscribed tumour.
Bundles of cytologically bland smooth muscle cells growing concentrically around blood vessels of varying calibre.

How well did you know this?
1
Not at all
2
3
4
5
Perfectly
12
Q

angioleiomyoma

Subtypes (3)

A

Three subtypes of angioleiomyoma have been described based on predominant vascular morphology; solid, venous and cavernous.

The solid subtype is composed of compact bundles of smooth muscle surrounding compressed, slit-like vessels.

Venous subtype tumours are made up of thick-walled vessels with smooth muscle from blood vessel walls blending with intervascular smooth muscle bundles.

Cavernous subtype lesions are composed of dilated vascular channels with a proliferation of smooth muscle within intervascular spaces.

How well did you know this?
1
Not at all
2
3
4
5
Perfectly
13
Q

IgG4 related disease

Histologically, what features are highly suggestive of the disease?

A

2 out of 3…
1) Dense lymphoplasmacytic infiltrate
2) Fibrosis, usually storiform in character
3) Obliterative phlebitis
AND

> 40% IgG4/IgG plasma cell ratio
IgG4+ plasma cells/high power field > 30 in surgical specimen or > 10 in biopsy specimen
How well did you know this?
1
Not at all
2
3
4
5
Perfectly
14
Q

Synovial sarcoma

IHC
Key molecular alterations

A

TLE1(+; 80-90%, specific + sens)
Cytokeratins: ~90% (depending on epithelial vs spindled component. CK7 ~(+) for both)
EMA: 29-90% +, variable
BCL2: 29-90% +
CD99(+): 91%
CD56(+) 100%

Molecular: t(X;18)(p11.2;q11): SYT-SSX1 fusion in 90% can detect via RT-PCR

How well did you know this?
1
Not at all
2
3
4
5
Perfectly
15
Q

Paediatric small round blue cell tumours

DDx?
IHC to distinguish them:

A

Neuroblastoma
Rhabdomyosarcoma
Ewing sarcoma
Lymphoblastic lymphoma
WT
Malignant rhabdoid tumour
IHC: PHOX2B, desmin, myogenin, MyoD1, CD99, NKX2.2, CD45, TdT, INI1, WT1

How well did you know this?
1
Not at all
2
3
4
5
Perfectly
16
Q

Rhabdomyosarcoma

What is myogenin?
Discuss myogenin staining in alveolar vs embryonal subtypes:

A

A transcriptional regulatory protein expressed early in skeletal muscle differentiation (therefore nuclear).*

ERMS is patchy
ARMS is diffuse (nuclear) staining

*Positive normal staining in fetal muscle, negative in adult muscle

How well did you know this?
1
Not at all
2
3
4
5
Perfectly
17
Q

What is MyoD1?
What does it stand for?

A

MYOD1 encodes a nuclear protein that promotes transcription of muscle specific target genes and regulates muscle cell differentiation.
myogenic differentiation 1 gene
More intense staining in ARMS than in ERMS

How well did you know this?
1
Not at all
2
3
4
5
Perfectly
18
Q

Excision foot
Dx?
Key features?

A

Traumatic (Morton’s) neuroma
Perineural, epineural, endoneural fibrosis, hyalinisation, fibrosis and thickening of vessel walls, fibrosis within adipose tissue.

How well did you know this?
1
Not at all
2
3
4
5
Perfectly
19
Q

37F thigh lesion

Dx?
IHC?

A

Desmoid fibromatosis

Essential: long, sweeping fascicles of bland fibroblasts and myofibroblasts without substantial cytological atypia; infiltrative growth.

Desirable: nuclear β-catenin expression; characteristic CTNNB1 mutation (in challenging cases or small biopsies).

How well did you know this?
1
Not at all
2
3
4
5
Perfectly
20
Q

SFT

Genetic mutation?

A

paracentric inversion involving chromosome 12q, resulting in the fusion of the NAB2 and STAT6 genes

How well did you know this?
1
Not at all
2
3
4
5
Perfectly
21
Q

SFT

Sub-types
IHC

A

Fat-forming; giant-cell rich; dedifferentiated
IHC: CD34(+); STAT6 nuclear (+)

How well did you know this?
1
Not at all
2
3
4
5
Perfectly
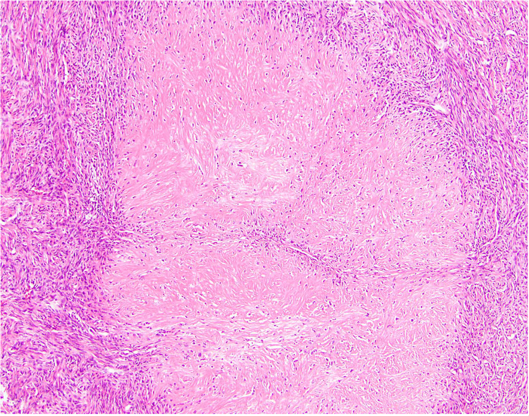
22
Q

Dx:
Essential and desireable dx features:

A

SFT

Essential: spindled to ovoid cells arranged around a branching and hyalinized vasculature; variable stromal collagen deposition; CD34 and/or STAT6 expression by immunohistochemistry.

Desirable (in selected cases): demonstration of NAB2-STAT6 gene fusion.

Below: Tumour cells typically display scant to moderate amounts of indistinct, palely eosinophilic cytoplasm and bland nuclei with fine pale chromatin and inconspicuous nucleoli.

How well did you know this?
1
Not at all
2
3
4
5
Perfectly
23
Q

DFSP

Molecular/genetic alteration?

A

COL1A1::PDGFB [t(17;22)(q21.33;q13.1)} fusion

How well did you know this?
1
Not at all
2
3
4
5
Perfectly
24
Q

34M slow growing thigh mass

Dx?

IHC:
Molecular:

Px:

A

Low-grade fibromyxoid sarcoma

Low to moderately cellular, bland fusiform or spindled cells with focal to diffuse whirling in heavily collagenized stroma with abrupt transition to myxoid areas
45% have epithelioid areas
40% contain poorly formed but large collagen rosettes
Often infiltrates adjacent skeletal muscle
Occasionally has areas of increased cellularity, atypia, necrosis or mitotic activity characteristic of intermediate to high grade sarcoma

IHC: MUC4(+) highly sensitive (100%) and specific; CD99 (+)(90%) and BCL2(+) (90%)

CD34(-) c.f. intramuscular myxoma (which also MUC4(-))

Molecular: t(7;16)(q32-34;p11) FUS-CREB3L2 fusion in 90% or more

DDx: Intramuscular myxoma; myxofibrosarcoma (more pleomorphism/hyperchromasia and more developed vasc network); desmoid type fibromatosis (lacks myxoid areas); myxoid neurofibroma (wavy nuclei, thick collagen bundles in b/g)

px: requires long-term f/u as can metastasise years later

Image: abrupt transition to myxoid area

How well did you know this?
1
Not at all
2
3
4
5
Perfectly
25
solitary fibrous tumour IHC:
CD34: diffuse to focal but nonspecific, present in 85 - 95% of cases, may be lost in malignant or dedifferentiated cases. STAT6 (nuclear): highly sensitive and specific marker (close to 100%) but could be lost in dedifferentiated cases May have focal EMA (30%) and actin (20%) BCL2 (30%) and CD99 (70%): nonspecific and not diagnostically useful
26
# 25F skin lesion scapula Dx? essential and desireable dx features IHC: Molecular
Nodular fasciitis Essential: bland, typically cellular myofibroblastic proliferation with a tissue culture–like growth pattern; variably myxoid stroma with microcystic changes; extravasated red blood cells. Desirable: assessment of USP6 rearrangement can be helpful in selected cases. IHC: neoplastic cells express SMA and MSA in a typical myofibroblastic (tram-track) pattern; desmin positivity is occasionally found, usually focally { 1928550 }. Nuclear β-catenin may be seen in cranial fasciitis Molecular: in challenging cases, break-apart USP6 FISH or next-generation sequencing techniques may be used to confirm the diagnosis
27
# scapula lesion 60M dx Key diagnostic features
elastofibroma Essential: a bland-appearing, hypocellular fibrofatty tumour with excessive abnormal elastic fibres.
28
# palm lesion 10 yr boy dx Key features IHC
calcifying aponeurotic fibroma Essential: infiltrative lesion composed of bland, evenly spaced spindle cells lying in parallel within a collagenous matrix; islands or geographical areas of calcified matrix often surrounded by palisading epithelioid fibroblasts. Desirable: FN1-EGF gene fusion (as needed in unusual cases). IHC: lesional cells react with SMA, MSA, CD99, and (in the chondroid areas) S100. Nuclear staining for β-catenin is not seen.
29
# 4yr hand lesion dx key features IHC
Lipofibromatosis Admixture of mature fat, short fascicles of bland spindle cells, and lipoblast-like cells in the interface between the spindle cell and lipomatous components. Lipofibromatosis entraps subcutaneous tissue and sometimes skeletal muscle. IHC: fibroblasts show variable expression of CD34 and SMA. The spindle cells are negative for desmin, in contrast to the spindle cells in lipoblastoma.
30
# 35F arm mass dx key features IHC
desmoid fibromatosis Essential: long, sweeping fascicles of bland fibroblasts and myofibroblasts without substantial cytological atypia; infiltrative growth. Desirable: nuclear β-catenin expression; characteristic CTNNB1 mutation (in challenging cases or small biopsies). IHC: lesional cells are positive for SMA and MSA. The majority of tumours (~80%) show nuclear β-catenin expression, although definite nuclear reactivity can be difficult to appreciate
31
# 20F finger lesion dx key features
fibroma of tendon sheath Essential: benign firm nodule most often on the finger tendons; usually a paucicellular (bland spindled cells) collagen-rich lesion with slit-like vessels. Image: Low-power view showing the highly sclerotic and hypocellular appearances. Note the small vessels and clefts.
32
# 35M thumb lesion dx key features
fibroma of tendon sheath. The tumour is well circumscribed and is composed of bland spindle cells with a prominent collagenous stroma and slit-like, thin-walled blood vessels. Can have increased cellularity usu evident around the periphery
33
# 1M thigh mass dx key features
fibrous hamartoma of infancy Classic organoid growth pattern 3 distinct components in widely variable proportions Intersecting bands and sheets of mature fibroblasts/myofibroblasts Nests of immature ovoid to spindled mesenchymal cells in loose basophilic, myxoid stroma May contain subtle chronic inflammatory infiltrate Mature adipose tissue
34
# 1M trunk lesion dx key features
Fibrous hamartoma of infancy Classic organoid growth pattern 3 distinct components in widely variable proportions Intersecting bands and sheets of mature fibroblasts/myofibroblasts Nests of immature ovoid to spindled mesenchymal cells in loose basophilic, myxoid stroma May contain subtle chronic inflammatory infiltrate Mature adipose tissue
35
# 10month male axilla lesion dx key features
FHI Medium-power view showing the triphasic organoid pattern with bundles of fibroblastic spindle cells, mature adipose tissue, and nodules of primitive mesenchyme.
36
# mesenteric mass dx Dx criteria IHC
Inflammatory myofibroblastic tumour Essential: loose or compact fascicles of spindle cells with a prominent inflammatory infiltrate and a variable fibrous or myxoid stroma; expression of ALK (seen in as many as 60% of cases). Desirable: ALK or other gene rearrangements (in selected cases). IHC: variable (+) for SMA, calponin, desmin, focal CK(+)in 30%; ALK IHC correlates with ALK rearrangements; ROS1
37
# plantar lesion dx key features
Plantar fibromatosis Essential: bland, variably cellular proliferation of spindled fibroblasts/myofibroblasts; collagenous stroma; involvement of aponeurosis and variably subcutis and dermis.
38
# dorsal aspect 3rd toe newborn infant dx key features
Inclusion body fibromatosis Essential: dermal-based and cytologically bland myofibroblastic proliferation; eosinophilic intracytoplasmic and paranuclear inclusions. High-power view demonstrates spindle cells with elongated, cytologically bland nuclei and rounded, eosinophilic, intracytoplasmic inclusions, some indenting the nucleus.
39
# 55F slow growing mass in arm dx?
Desmoplastic fibroblastoma Essential: hypocellular with abundant collagenous or myxocollagenous matrix; stellate, bipolar, and spindle cells with small nucleoli.
40
# 60 M forearm lesion dx Key dx features
Proliferative fasciitis and myositis Essential: myofibroblastic/fibroblastic proliferation with ganglion-like cells; variable collagenous/myxoid stroma; subcutaneous/fascial involvement (proliferative fasciitis); intramuscular checkerboard growth pattern (proliferative myositis).
41
# thigh lesion 6/52 post trauma dx key features
Ischaemic fasciitis Essential: mass-forming lesion mainly in the deep subcutis; zonal appearance with central fibrinoid degeneration/necrosis and cystic changes; periphery with granulation tissue–like vascular component; admixed plump activated fibroblasts/myofibroblasts (ganglion-like cells).
42
# nodular lesion shoulder dx IHC dx molecular
DFSP IHC: CD34(+); +/- EMA, NB: fibrosarcomatous DFSP can show loss of CD34 expression in about half of the cases Molecular: etection of COL1A1-PDGFB can be used to confirm the diagnosis below image: DFSP with characteristic storiform pattern
43
# 2nd finger lesion dx IHC
tenosynovial giant cell tumour, localised type IHC: histiocyte-like cells are positive for CD68, CD163, and CD45.
44
# right arm lesion 18 yr dx key features
Plexiform fibrohistiocytic tumor Essential: plexiform architecture; involvement of dermis and/or subcutaneous adipose tissue; nodules composed of histiocytoid epithelioid cells and osteoclast-like giant cells; fascicles of myofibroblastic spindle cells.
45
# 16F left forearm lesion dx key features
Plexiform fibrohistiocytic tumor Essential: plexiform architecture; involvement of dermis and/or subcutaneous adipose tissue; nodules composed of histiocytoid epithelioid cells and osteoclast-like giant cells; fascicles of myofibroblastic spindle cells. Image: The distinctive nodules are distributed within adipose tissue in a plexiform distribution.
46
# 6M trunk lesion dx key features
giant cell fibroblastoma mean age 6 Juvenile version of DFSP Essential: infiltrative margins within dermis and subcutis; hypocellular lesion with myxoid or collagenous stroma; bland spindled and stellate cells and scattered multinucleated giant cells, often lining pseudovascular spaces. Desirable: COL1A1-PDGFB fusion (in selected cases). Image shows ectatic pseudovascular spaces lined by multinucleate giant cells.
47
# 38M subcutaneous trunk mass dx Key features
Hibernoma Rich capillary network Polygonal, multivacuolated, granular, brown fat cells, with a variable component of univacuolated white fat. The nuclei of the brown fat cells are small, round, and centrally located, with small nucleoli. Nuclear atypia/mitotic activity are absent
48
# 2M subcutaneous trunk ? lipoma dx key features IHC molecular
Lipoblastoma Essential: lobulated mass formed of sheets of adipocytes with variable maturation separated by fibrovascular septa; The fat lobule itself can occasionally exhibit a zonal pattern of maturation, with more immature myxoid cells at the periphery and adjacent to fibrous septa, with mature adipocytes in the centre of the lobule IHC: adipocytes S100+, CD56+ CD34+; Molecular: PLAG1 rearrangements / copy-number gain can support the diagnosis
49
# tender nodule forearm excisional bx dx? Essential criteria
angiolipoma Essential: tender, often multiple subcutaneous nodules; mature fat with a variable amount of capillary vessels; fibrin microthrombi.
50
# ALT/WD LS subtypes and essential and desireable dx criteria including molecular
Essential: lipoma-like ALT/WDLPS: variation in adipocytic size associated with nuclear atypia in stromal and/or adipocytic cells; sclerosing ALT/WDLPS: hyperchromatic bizarre stromal cells set in a fibrillary sclerotic background; inflammatory ALT/WDLPS: scattered atypical stromal cells scattered in a chronic inflammatory background; lipoblasts are not required for diagnosis. Desirable (in selected or challenging cases): MDM2 and/or CDK4 nuclear expression or evidence of MDM2 and/or CDK4 gene amplification.
51
# 50M retroperitoneum Dx Key features DDx: Molecular:
Dedifferentiated liposarcoma Essential: transition (abrupt or gradual) from WDLPS (of any type) to spindle cell and pleomorphic non-lipogenic (rarely lipogenic) tumour (of low grade or high grade). Desirable (in selected cases): expression of MDM2 or demonstration of MDM2 gene amplification. DDx: Undifferentiated pleomorphic sarcoma (dediff component resembles this molecular: Detection of MDM2 amplification by FISH is helpful to distinguish DDLPS from other undifferentiated sarcomas in the appropriate clinical context. (?also CKD4 amplification?)
52
# thigh lesion dx Key features exemplied from image. Molecular
Pleomorphic liposaromca Note that most of the lesion shows spindle cells and such foci cannot be diagnosed as pleomorphic liposarcoma. Pleomorphic liposarcoma is diagnosed on H&E staining by identifying pleomorphic lipoblasts, as in the upper left of the image, in which lipid droplets crisply indent the pleomorphic nucleus. Sometimes examination of multiple tissue blocks is required to identify the diagnostic areas, which can be missed on needle biopsies. Molecular: Absence of amplification of MDM2 can help distinguish pleomorphic liposarcoma from dedifferentiated liposarcoma.
53
# 50M thigh mass dx Key dx criteria molecular key px factor
Myxoid liposarcoma Essential: myxoid matrix containing delicately arborizing capillaries; bland round to ovoid cells; variable number of small non-pleomorphic lipoblasts, often adjacent to capillaries; hypercellularity, diminished myxoid matrix, obscured capillaries, and elevated nuclear grade and mitotic activity in high-grade MLPS. Desirable: demonstration of DDIT3 rearrangement (FUS-DDIT3 or EWSR1-DDIT3 fusion genes). Px: The presence of > 5% hypercellularity is associated with significantly poorer prognosis. The presence and percentage of hypercellular areas should be recorded.
54
# digit lesion dx Key features IHC
Glomus tumour Monomorphic round to epithelioid cells with centrally placed, round nuclei and well-defined cell borders, arranged in perivascular nests. IHC: SMA/MSA/h-caldesmon (+); CD34-/f+
55
# 1cm nodule wrist dx Key features IHC
glomangioma Glomangioma, composed of dilated vascular spaces lined by several layers of glomus cells. Glomus cells have (monomorphic round to epithelioid cells with centrally placed, round nuclei and well-defined cell borders, arranged in perivascular nests). IHC: SMA/MSA/h-caldesmon (+); CD34 -/F+
56
# solitary nodule wrist dx key features
Myopericytoma Well circumscribed/encapsulated lesion composed of land, myoid-appearing spindled cells growing in a concentric pattern around numerous small vessels; IHC: SMA/h-caldsmon (+); CD34/desmin f+
57
# bladder mass 4M dx Key features molecular
Embryonal rhabdomyosarcoma Essential: primitive round and spindle cell morphology with scattered differentiated rhabdomyoblasts; positivity for desmin and heterogeneous nuclear staining for myogenin and/or MYOD1. Desirable (in selected cases): lack of FOXO1 gene rearrangements to distinguish poorly differentiated ERMS from solid ARMS.
58
# 50M thigh lesion Dx: Key features IHC: Molecular:
Multinodular architecture defined by fibrous septa that divide the tumour into hypocellular lobules with abundant pale-blue myxoid or chondromyxoid matrix. Well-formed hyaline cartilage is virtually never seen. The cells characteristically interconnect with one another to form cords, small clusters, and complex trabecular or cribriform arrays. The cells have a modest amount of deeply eosinophilic to vacuolated cytoplasm. Essential: generally bland cells with eosinophilic cytoplasm disposed in strands or cords in a predominantly myxoid stroma. Desirable: NR4A3 rearrangement (in selected cases). IHC: S100 (+, 20%); KIT (+, 30%), keratin/GFAP (-)
59
# 30M shoulder mass dx key features IHC Molecular
Low-grade fibromyxoid sarcoma composed of collagenous hypocellular areas and more-cellular myxoid nodules. An abrupt transition between these two areas is typical. The tumour cells are bland, spindled, and sometimes plump, and they grow in short fascicles or in a whorling pattern. Mitotic activity is generally inconspicuous. IHC: MUC4 (+); EMA (+, 80%) If MUC4 is negative or not available to confirm the diagnosis, identification of FUS-CREB3L2 (or other rare variants) offers molecular genetic support for the diagnosis. Image: The tumour cells are spindled and cytologically bland and grow in short fascicles or in a storiform pattern.
60
# 30F ankle palpable mass dx demographic key histo features IHC dx molecular:
clear cell sarcoma of soft tissues young adults 3rd to 4th decade; palpable mass distal extremities Characteristic nested or fascicular architecture with epithelioid to plump spindled cells partitioned by thin fibrous septa. Infiltrative growth through dense fibrous tissue. Despite its name, CCS typically has tumour cells with palely eosinophilic cytoplasm and vesicular nuclei with macronucleoli, with only rare examples showing true cytoplasmic clearing. Substantial nuclear pleomorphism is generally absent, although scattered wreath-like multinucleated giant cells are relatively common. Melanin pigment is present in more than half of cases. The mitotic count of CCS is frequently low and necrosis is identified in roughly one third of cases. CCS shows consistent expression of S100, SOX10, melan-A, HMB45, and MITF below image: wreath like giant cells. Molecular: The genetic hallmark of CCS is the reciprocal translocation t(12;22)(q13;q12), present in 70–90% of cases, which fuses EWSR1 with ATF1
61
# Nodular fasciitis Key features/definition Key features: Sites Molecular IHC
Self-limiting mesenchymal neoplasm that usually occurs in subcutaneous tissue. It is composed of plump, uniform fibroblastic/myofibroblastic cells displaying a tissue culture–like architectural pattern, and it usually harbours USP6 rearrangement. Key features: plump spindled cells lacking hyperchromasia/infiltrative growth; tissue culture; extravasated RBCs, osteoclast giant cells occasionally seen; can have mitoses but no atypical forms:; Sites: typically develops on the surface of fascia and extends into subcutis, although occasional cases are intramuscular { 153036 }. Any anatomical site can be involved, but the upper extremities, trunk, and head and neck are most frequently affected. Molecular: Virtually all cases contain recurrent gene fusions; MYH9::USP6 is the most common fusion product, although many other USP6 partners have been identified in nodular fasciitis and related entities (e.g., cranial fasciitis, fibroma of tendon sheath, myositis ossificans, aneurysmal bone cyst) IHC: SMA and MSA (+) in a typical myofibroblastic (tram-track) pattern; desmin positivity is occasionally found, usually focally { 1928550 }. Nuclear β-catenin may be seen in cranial fasciitis. CD34(-) Image, below: the characteristic tissue culture–like appearance and cystic myxoid changes are virtually diagnostic.
62
# 64F big toe dx key features
Consistent with a rheumatoid nodule Key features: Central area of fibrinoid necrosis surrounded by palisading macrophages and lymphocytes Necrobiosis, with fibrin deposition and palisading epithelioid histiocytes Leukocytoclastic vasculitis (with associated immunoglobulin [Ig], fibrin deposition and complement activation) can be found in 33% of all rheumatoid nodules Granulomas are typically identified in the subcutis but occasionally may involve the dermis Above: Palisading granulomas surrounding fibrinoid necrosis Below: Abundant fibrin with neutrophils surrounded by a palisade of epithelioid histiocytes
63
# lobular capillary hemangioma key features
Essential: Polypoid tumour with epithelial collarette and lobules of capillaries associated with an oedematous stroma. a/W frequent ulceration with prominent inflammation consisting of neutrophils, usually restricted to the superficial aspect of the lesion.
64
# small round blue cell tumour ddx
D desmoplastic small round cell tumour R Rhabdomyosarcoma (alveolar) L Lymphoma (lymphoblastic type, TdT) E Ewing's sarcoma M Melanoma (small cell type) O Other (mesenchymal chondrosarcoma, small cell osteosarcoma) N Neuroblastoma S Small cell carcinoma/synovial sarcoma (small cell type not biphasic or epithelioid) Other organ specific SRBCT e.g. orbit = RB, posterior cranial cavity (medulloblastoma)
65
# 14M retroperitoneal/intraabdominal small round blue cell tumour Likely dx based on clinical
Desmoplastic small round cell tumour (commonly occurs in adolescent males retroperitoneal/intrabdominal)
66
# 20M SRBCT in upper arm/head/neck likely dx based on clincal
Alveolar rhabdomyosarcoma (Occurs commonly in adolescents/young adults in the extremities/head + neck)
67
# 4yr posterior mediastinal mass Likely dx based on clinical
Neuroblastoma (commonly occurs in children < 5 yrs in posterior mediastinum/retroperitoneum
68
# posterior knee mass. 20M dx Localisation Epi Key histo features IHC: Molecular
Dx: Monophasic synovial sarcoma (most common) Localisation: Juxta-articular location on extremities is common. Epi: 77% of cases occur before the age of 50 years Key histo features: dense, cellular sheets/vague fascicles of UNIFORM spindle cels, scanty cytopalsm. Variable mitotic rate Variable collagenous stroma STROMAL CALCS 30% (diagnostic clue) +/- metaplsatic bone/osteoid formation Stromal vasculature can be prominent (focally staghorn/haemangiopericytoma-like) Mast cells are a feature Necrosis is UNCOMMON IHC: Keratin/EMA can be F+ (if D+, consider different entity). Can be D+ in epithelial component of biophasic SS. TLE1 S+D+ nuclear (NB: focal and weak is non-specific & can be present in histological mimics e.g. SFT, MPNST and biphenotypic sinonasal sarcoma) SS18:SSX (sensitive/specific) S100/SOX10 F+ in 40%; CD56/CD99 (+) (DDx: neuroendocrine carcinoma/Ewing sarcoma) CD43/SMA/desmin/myogenein/PAX3/NKX2.2 (-) Molecular: SS harbours a unique t(X;18)(p11;q11) translocation { 11782370 }, by which SS18 on chromosome 18 is fused to one of the SSX genes (SSX1, SSX2, or SSX4) on the X chromosome Below: Monophasic SS showing wiry collagen.
69
# epithelioid haemangioendothelioma Molecular alteration? (x2)
characterized by the presence of a WWTR1-CAMTA1 gene fusion. A small subset of tumours show distinct morphology, with well-formed vessels lined by epithelioid endothelial cells with abundant eosinophilic cytoplasm, and are characterized by a YAP1-TFE3 fusion.
70
Dx Key features IHC:
Key features: Angiocentric tumour inducing a sclerotic stromal response Myxohyaline stroma +/-Infiltrative growth Intracytoplasmic vacuoles sometimes present +/- RBCs Minimal atypia stroma variably hyaline/myxoid Epithelioid haemangioendothelioma with YAP1-TFE3 fusion shows distinctive histological features. The tumour cells usually have brightly eosinophilic cytoplasm and are more likely to show solid growth and often form vascular spaces; IHC: Epithelioid haemangioendothelioma with WWTR1-CAMTA1 typically shows diffuse strong nuclear expression of CAMTA1, which is a surrogate for the WWTR1-CAMTA1 fusion protein. Tumours with YAP1-TFE3 fusion show diffuse nuclear TFE3 expression; however, TFE3 is less specific in this regard, because expression can be seen in tumours with WWTR1-CAMTA1 fusion Essential: classic epithelioid haemangioendothelioma is composed of cords or nests of epithelioid cells with cytoplasmic vacuolization within a myxochondroid or hyaline stroma; epithelioid haemangioendothelioma with YAP1-TFE3 fusion shows either solid growth or well-formed vascular channels lined by epithelioid endothelial cells with moderate nuclear atypia and abundant pale cytoplasm. Desirable (in selected cases): CAMTA1 expression by immunohistochemistry and/or WWTR1-CAMTA1 fusion; TFE3 overexpression by immunohistochemistry and/or TFE3 gene rearrangement (YAP1-TFE3 gene fusion).
71
# epithelioid haemangioendothelioma Localisation: Molecular alteration:
Most commonly involves somatic soft tissue, lung, and liver, but any site or organ can be affected. Identification of the WWTR1-CAMTA1 or YAP1-TFE3 fusion transcripts helps distinguish epithelioid haemangioendothelioma from other tumours.
72
# Forearm lesion, well-circumscribed Dx? Localisation? Demographic? Key histo features? Molecular? IHC? DDX
Nodular fasciitis Localisation: upper extremities, trunk, head and neck Demo: More commonly in young adults Histo: Low-power: characteristic zonation effect (the center is hypocellular and the periphery is more hypercellular) plump spindle-shaped cells lacking nuclear hyperchromasia or pleomorphism Loose myxoidstroma Arrangement of cells in "tissue-culture like manner", typically it is partly discohesive and myxoid Scattered osteoclast-like giant cells+ extravasated RBCs often seen Mitotic activity may be prominent Microcysts IHC: SMA S&D (+) myofibroblastic (tram-track) pattern; , desmin (-); nuclear beta-catenina (+) Molecular: USP6 rearrangements DDx: (other myofibroblastic/fibroblastic tumors) i.e. desmoid fibromatosis, myofibroma, cellular dermatofibroma (benign fibrous histiocytoma) and spindle cell sarcoma or UPS Image: the characteristic tissue culture–like appearance and cystic myxoid changes are virtually diagnostic.
73
# vulval lump dx? IHC? ddx?
Cellular angiofibroma Usually arises in the superficial soft tissues of the vulva or inguinoscrotal regions. Histologically uniform spindle cells, myxoid / collagenous stroma, network of thin walled, branching blood vessels; Alternating myxoid and collagenous areas; regional variation in cellularity, Perivascular lymphoid aggregates may be present. Mast cells are frequent. Small aggregates or individual adipocytes are observed in close to 50% of cases. IHC: CD34 expression has been documented in 30–60% of tumours. Variable expression of SMA and desmin is identified in a minority of cases. ER and PR are expressed in many cases. RB1 loss is frequently detected.
74
# 6month old male neck mass dx? IHC?
Poorly differentiated neuroblastoma Image showing thin septae of shwannian stroma (black arrows) & pale eosinophilic neuropil (blue arrows)
75
# 32M jaw mass dx Essential and desireable dx features Diagnostic molecular
Mesenchyma chondrosarcoma. Location: 50% intraosseus occur in jaw. Median age 30 years. Essential: undifferentiated tumour cells with a high N:C ratio; islands of cartilage. Desirable: staghorn vascular pattern; HEY1-NCOA2 fusion.
76
# aggressive angiomyxoma genetic alteration
HMGA2 rearrangement identified in a small subset (33%) NB: IHC staining does not equate to gene rearrangement as approx. 90% of tumours can be positive by IHC
77
# SFT factors used in risk assessment of these tumours
78
SDH deficient GISTs are associated with...(2)
1. Carney triad (syndromic but not heritable), SDHC hypermethylation. (Multiple gastric GISTs, paragangliomas/phaoes and pulmonary chondromas) 2. Germline SDH mutation syndrome (heritable SDHA/B/C/D mutations. Paragangliomas, GISTs, SDH-definicent RCC, pit adenoma
79
# GIST risk assessment describe
80
# 21 Male ulcer lesion sole of foot Dx Key dx features IHC
Epithelioid sarcoma Classic type usually on distal extremities young adults/adolescents. Also has a pseudogranulomatous pattern. Essential: tumour presenting as a soft tissue mass (so-called distal or proximal presentations); epithelioid to spindled cytomorphology with infiltrative growth; diffuse loss of SMARCB1 (INI1, BAF47) and staining for EMA and keratin. IHC: LMWCK/HMWCK/EMA + loss of INI1 (SMARCB1) nuclear staining.
81
# desmoplastic small round cell tumour Localisation: Diagnostic molecular:
Localisation: abdominal cavity; retroperitoneum; ommentum; mesentery, pelvis. Molecular: EWSR1 and WT1 gene rearrangements
82
Carney triad?
Gastric GIST, pulmonary chondroma and extra-adrenal paraganglioma
83
# DFSP mutation? IHC?
COL1A1::PDGFB is the most common fusion product IHC: CD34+ (-) S100, HMB45, desmin, SMA
84
48M PIPJ mass Dx?
Dx: tumoral calcinosis Lobular to irregular deposits of amorphous calcium crystals (hydroxyapatite crystals) within cystic spaces, surrounded by foreign body giant cell reaction Nonneoplastic condition, mimics osteocartilaginous tumors Can be primary (familial or sporadic) or secondary (tumoral calcinosis-like lesions) Painless periarticular subcutaneous masses involving large joints and occurring in the first 2 decades
85
upper extremity well circumscribed skin nodule Dx:
Dx: collagenous fibroma Rare paucicellular tumor consisting of dense collagen fibers with scattered stellate and spindled fibroblasts involving the subcutis or skeletal muscles. Most frequently found in the subcutis, with up to 25% found in the skeletal muscles
86
molecular alteration in Low -grade fibromyxoid sarcoma
FUS-CREB3L1 or FUS-CREBL2 gene fusion
87
molecular alteration in SFT?
NAB2-STAT6 fusion
88
Molecular alteration in LG fibromyxoid sarcoma?
t(7;16)(q34;p11), producing an FUS-CREBL2
89
What is Carney triad?
Gastrointestinal stromal tumours, pulmonary chondromas, paragangliomas
90
Name the soft tissue tumours of which mitotic rate determines malignancy? (4)
SFT Smooth muscle tumors Nerve sheath tumors Granular cell tumors
91
dx molecular in nodular fasciitis?
rearrangements of USP6 moat odrwn ewaulrinf in n MYH9-UAP6 gene fusion.
92
55M right posterior shoulder nodule Dx: IHC:
Pleomorphic lipoma (histologic variant of spindle cell lipoma) IHC: CD34+, nuclear loss of RB1
93
dx molecular in lipoblastoma?
PLAG1 rearrangement
94
gene rearrangement in DFSP
DFSP (including the fibrosarcomatous component) harbors COL1A1-PDGFB rearrangement
95
What are the three most common pleomorphic sarcomas?
UPS Myxofibrosarcoma DD-LPS
96
Name lipoma variants (8)
Aside from lipoblastoma, spindle cell lipoma and pleomorphic lipoma angioliopma Intramuscular angiomas Angiomyolipomas Intramuscular lipoma Hibernoma
97
epithelioid hemangioma key features and molecular
predilection for head and neck lobular proliferation of capillaries with plump epithelioid endothelial cells and prominent inflammatory infiltrate of lymphocytes and eosinophils FOS or FOSB are detected in around half cases
98
molecular alteration in tenosynovial giant cell tumour (both localised and diffuse types)
COL6A3-CSF1 gene fusion
99
Synovial sarcoma dx molecular? IHC
SS harbours a unique t(X;18)(p11;q11) translocation, by which SS18 on chromosome 18 is fused to one of the SSX genes (SSX1, SSX2, or SSX4) on the X chromosome IHC: strong nuclear immunostaining for TLE1. TLE1 staining is not specific for SS, because it may also occur in histological mimics of SS, in particular malignant peripheral nerve sheath tumour and SFT. Desmin/h-caldesmon always -
100
alveolar soft part sarcoma IHC and dx molecular
Characteristically have an unbalanced translocation der(17)t(X;17) with a corresponding ASPSCR1-TFE3 fusion. TFE3 immunoreactivity is useful in the dx of alveolar soft part sarcoma.
101
list round cell sarcomas (8)
Ewing sarcoma CIC-rearranged sarcoma Sarcoma with BCOR alterations PD synovial sarcoma Alveolar RMS HG myxoid ("round cell") LPS Desmoplasstic SRCT Neuroblastoma
102
Plexiform schwannoma is associated with which syndrome?
NF2 and schwannomatosis
103
31F chest wall mass Dx: Key features Molecular:
Mesenchymal chondrosarcoma occurs in bone or soft tissue. histo: Solid sheets of undifferentiated small blue cells with a hemangiopericytoma-like vascular pattern mixed with islands of mature appearing, well differentiated hyaline cartilage molecular: HEY1-NCOA2 gene fusion
104
Dx + histo key features epidemiology - sk mature vs immature? Imaging Molecular
Imaging: multiloculated lesion with fluid-fluid levels, best appreciated on MRI Skeletally immature Histology: cyst walls composed of fibroblasts, woven bone and osteoclastic giant cells Molecular: rearrangement of USP6 gene (primary form only)
105
extraskeletal myxoid chondrosarcoma, histo key features + mutation?
fibrous septa imparting multi lobular architecture myxoid matrix uniform cells in cords/clusters NR4A3 rearrangement (sometimes with EWSR1). So use FISH
106
low grade fibromyxoid sarcoma mutation?
FUS-CREB3L2
107
Grading sarcomas in trunk/extremities?
108
pseudogout Pathogenesis polarized light findings
Calcium pyrophosphate dihydrate deposition disease Classic rhomboid shaped crystals with positive birefringence under polarized light
109
# EWSR1 translocation tumours (soft tissue)
Ewing sarcoma Clear cell sarcoma (of soft tissue) desmoplastic small round cell tumour Angiomatoid fibrous histiocytoma extraskeletal myxoid chondrosarcoma
110
# ewing sarcoma two most common translocations
(most common) EWSR1-FLI-1 EWSR1-ERG
111
# epithelioid hemangioendothelioma common molecular events (2)
1. WTR1-CAMTA1 fusion (majority) 2. YAP1-TFE3 fusion (minority)
112
How to distinguish angiomyofibroblastoma from deep aggressive angiomyxoma?
Angiomyofibroblastoma: variable cellularity, small round to spindle cells; more vascular and displays less larger open vessels instead displaying more numerous smaller vessels. Deep aggressive angiomyxoma: infiltrative border, thick rounded ("medial hypertrophy") vessels; hypocellular. HMGA2 overexpressed immunohistochemically > 90% Both entities (+) for desmin; (-) for SMA/MSA
113
extraskeletal chondromyxoid sarcoma, desireable molecular criteria?
NR4A3 rearrangement (in selected cases). (FISH)
114
molecular alteration in alveolar soft part sarcoma
unbalanced translocation der(17)t(X;17) with a corresponding ASPSCR1-TFE3 fusion.
115
mesenchymal chondrosarcoma, key features and molecular?
SRBCT Cartilage Staghorn vessels. HEY1-NCOA2 CD99+; Fli1/myogenin/LCA - Adolescents/young adults
116
molecular alteration in: desmoplastic small round cell tumour DFSP Myxoid LPS LG FMS
DSRBCT: EWSR1:WT1 Myxoid LPS: FUS:DDIT3 or DDIT3:EWSR1 LG FMS: DDTI3: CREB3L2 or CREB3L1 DFSP: COL1A1: PGDFB
117
alveolar soft part sarcoma IHC and molecular DDx:
TFE3+, PASD+ intracytoplasmic rhomboid or rod shaped crystals; molecular: unbalanced translocation der(17)t(X;17) with a corresponding ASPSCR1-TFE3 fusion. DDDx: RCC
118
what parameters do you use to risk stratify SFT? (4) (4 variable model)
Patient age in years <. or >/= 55 years Mitoses >/= 4per 10 HPF Tumour size in cm Tumour necrosis (< or >/= 10%) Risk into low intermediate or high.
119
IHC panel for desmoplastic small round cell tumour? Molecular:
cytokeratin EMA Desmin (paranuclear and dot-like) WT1 (to C-terminus, polyclonal c.f. monoclonal ab against the N-terminus which is used for meso and serous). EWSR1-WT1 gene fusion.
120
name entities that show fusions of USP6?
ABC Cranial fasciitis Cellular ifbroma of tendon sheath Fibro-osseous pseudotumor of digits Myositis ossificans Nodular fasciitis
121
Name tumours with EWSR1?