Endocrine Flashcards

(45 cards)

1
Q

NIFTP

What are its ddx and how do you distinguish them?

A

Differential Diagnosis: NIFTP is differentiated from invasive FVPTC by its lack of invasion, from classic follicular predominant PTC by its very scant papillary component (<1% papillae) and from other PTC by the absence of the cytoarchitectural features of these subtypes (e.g. tall cells). Those rare non-invasive follicular patterned tumours with PTC nuclei that are excluded from NIFTP because of a mitotic count >3/ 2 mm2 are best reported as mitotically active encapsulated PTC with a predominant follicular growth pattern, and if the mitotic count is > 5 / 2 mm2 or if there is tumour necrosis they should be reported as non-invasive high grade FVPTC. Follicular adenoma are separated from NIFTP by the lack of PTC nuclear alterations (PTC nuclear score 0-1).

How well did you know this?
1
Not at all
2
3
4
5
Perfectly
2
Q

NIFTP

Essential and desireable diagnostic criteria

A

Essential:

1.Encapsulation or clear demarcation.
2.Follicular growth pattern with all of the following: <1% true papillae; No psammoma bodies; <30% solid/trabecular/insular growth pattern.
3.Nuclear features of papillary carcinoma (nuclear score of 2-3)
4.No vascular or capsular invasion
5.No tumour necrosis
6.Low mitotic count (<3 mitosis / 2mm2)
7.Lack of cytoarchitectural features of papillary carcinoma variants other than follicular variant (tall cell features, cribriform-morular variant, solid variant, etc).

Desirable:
Immunohistochemistry or molecular testing for BRAF and NRAS mutation (to exclude diagnosis). Because BRAF p.V600E mutation is exceptionally rare in NIFTP, its detection by genotyping or immunostaining should lead to a thorough search for papillae, psammoma bodies or tall cells by complete histologic examination of the entire tumour

How well did you know this?
1
Not at all
2
3
4
5
Perfectly
3
Q

PTC

Subtypes

A

Classic PTC
Encapsulated classic PTC
Infiltrative follicular PTC
Diffuse sclerosing PTC
Solid/trabecular PTC
Warthin-like PTC

Oncocytic PTC
Clear cell PTC
Spindle cell PTC
PTC with fibromatosis/fasciitis-like/desmoid-type stroma

Tall cell PTC
Hobnail PTC
Columnar cell PTC

How well did you know this?
1
Not at all
2
3
4
5
Perfectly
4
Q

PTC

IHC (+) vs (-)

A

(+) TTF-1, PAX8, throglobulin, cytokeratins (pan-CK, AE1/AE3, CAM5.2, CK7)
(-) CK20, calcitonin, neuroendocrine markers

How well did you know this?
1
Not at all
2
3
4
5
Perfectly
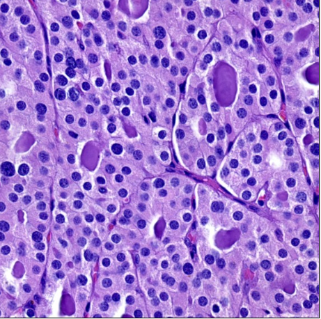
5
Q

thyroid lesion

dx
Key histo features
features demonstrated by image

A

Hyalinizing and trabecular tumour
Essential: follicular cell differentiation; pure trabecular architecture with intra-trabecular hyalinization and nuclear features characterized by prominent grooves, vacuoles, and membrane irregularities

Desirable: membranous Ki-67 staining (MIB-1 clone); detection of GLIS rearrangements

Image: The tumour cell nuclei are convoluted with prominent membrane irregularities that form grooves and pseudoinclusions (arrow).

How well did you know this?
1
Not at all
2
3
4
5
Perfectly
6
Q

retroperitoneal mass

dx?
Key features:
Ddx:
IHC:

A

Phaochromocytoma

A “Zellballen” pattern is most common, consisting of nests of tumour cells separated by peripheral capillaries
Tumour cells resembling normal chromaffin cells that display basophilic to amphophilic cytoplasmic granularity. The cells here show mild nuclear pleomorphism and occasional nuclear pseudoinclusions, which can also be seen in adrenal cortical carcinomas. PAS(+) hyaline globules can be seen and nuclear pseudoinclusions. Can have pleomorphism but no mitoses

IHC: (+) tyrosine hydroxylase, GATA3, dopamine beta-hydroxylase, neuro markers chromo A, syn, INSM1. Need to do Ki67 which is usu less < 10%.
(-): CK negative

DDx: adrenal cortical carcinoma.
(+) melan-A, SF1 (-) chromo, gata3, tyrosine hydroxylase

How well did you know this?
1
Not at all
2
3
4
5
Perfectly
7
Q

Phaeochromocytoma vs paraganglioma

px
mutations

A

All paragangliomas care considered to have metastatic potential , approx 30% of abdominal paragangliomas may metastasise vs 8% of phaeochromocytomas.
(The risk of metastasis ranges from ~5 to 15%)

Extra-adrenal abdominal paragangliomas often have SDHB mutations

How well did you know this?
1
Not at all
2
3
4
5
Perfectly
8
Q

poorly differentiated thyroid carcinoma

dx criteria

A

Essential:

PDTC

(i) solid/trabecular/insular pattern of growth in a tumour diagnosed as malignant based on the presence of invasion;

(ii) absence of conventional papillary carcinoma nuclear alterations;

(iii) at least one of the following features: convoluted nuclei, mitotic count ≥ 3 per 2 mm2, tumour necrosis;

(iv) retention of some (but not all) morphologic and immunohistochemical biomarkers of thyroid follicular epithelial cells.

(v) poorly differentiated but lacking anaplastic cellular morphology

How well did you know this?
1
Not at all
2
3
4
5
Perfectly
9
Q

adrenal neoplasms

describe weiss scoring system

A
How well did you know this?
1
Not at all
2
3
4
5
Perfectly
10
Q

follicular carcinoma

Name the 3 subtypes?

A

(1) minimally invasive (capsular invasion only), (2) encapsulated angioinvasive (venous invasion present with or without capsular penetration), and (3) widely invasive.

How well did you know this?
1
Not at all
2
3
4
5
Perfectly
11
Q

follicular carcinoma

discuss reporting of venous invasion, mitoses, necrosis and nuclear features

A

Tumours with limited invasion of vessels (<4 foci) have a better prognosis than do those with extensive vascular invasion (4 or more foci of invasion). Thus, foci of vascular invasion should be counted (with foci in adjacent vessels counted separately).

The mitotic count should be <3 per 2mm2 in areas of solid or trabecular growth and <5 per 2mm2 if the tumour has an entirely follicular architecture (see section of FTC high-grade features). Tumour necrosis should not be seen in FTC. FTC also lacks nuclear features of PTC. Instead, the nuclei are round and have coarse chromatin. All potential FTC should be examined for nuclear features of PTC to exclude a diagnosis of encapsulated follicular variant of papillary thyroid carcinoma.

How well did you know this?
1
Not at all
2
3
4
5
Perfectly
12
Q

follicular carcinoma

IHC

A

FTC is positive for CAM5.2, EMA, and CK7 and negative for CK20 . These tumours also have strong nuclear staining for the transcription factors PAX8 and TTF-1. The cytoplasm and associated colloid of FTC is positive for thyroglobulin

How well did you know this?
1
Not at all
2
3
4
5
Perfectly
13
Q

PTC tall cell vs columnar cell variants

Difference

A

Tall cell:
3:1 height:width, prominent nuclear pseudoinclusions; tram-track appearance, >/= 30% of this morphology for this to be counted as a PTC subtype

Columnar cell:
prominent pseudostratification; subnucelar vacuoles (appearance similar to secretory endometrium); need to exclude mets from colorectal ca/endometrium. NB can occasionally stain (+) CDX2

How well did you know this?
1
Not at all
2
3
4
5
Perfectly
14
Q

parathyroid gland adenoma

significant (+) and (-) stains

Cell type composition

A

PTH/GATA3/chromogranin A/Synopathophysin (+)
Thyroglobulin/TTF1/PAX8 (-)
The vast majority of sporadic parathyroid adenomas show nuclear parafibromin expression

Parathyroid gland adenomas may be composed of oncocytic cells, chief cells, or clear cells.

How well did you know this?
1
Not at all
2
3
4
5
Perfectly
15
Q

PTC

IHC significant (+) and (-)

A

(+): Pax8, TTF1, thyroglobulin, cytokeratin (CK7, AE1/AE3, CAM5.2)
(-): CK20, calcitonin, neuroendocrine markers

How well did you know this?
1
Not at all
2
3
4
5
Perfectly
16
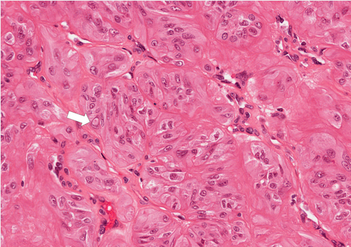
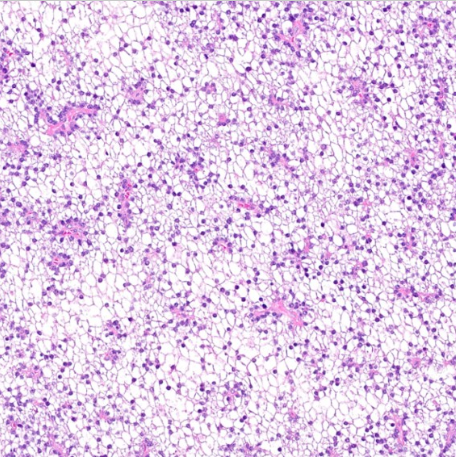
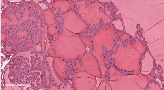
Q

Encapsulated PTC vs follicular adenoma with papillary architecture

Differences in morphology

A

E-PTC:
- classic PTC enveloped by a thick fibrous capsule, which maybe intact or infiltrated by tumour with or without extension into surrounding thyroid parenchyma

Follicular adenoma with papillary architecture:
- encapsulated
- usually cystic and show a mixture of follicular and papillary architecture; large follicles with complex papillary infoldings of the lining epithelium; broad papillae showing an organized centripedal orientation and edematous cores with embedded follicles; The formation of Sanderson’s pollsters (subfollicles within follicles) is common; peripheral scalloping consistent with the rapid resorption of colloid; lack nuclear features of PTC; psammomma bodies not seen;

First image: FA with pap architecture. On high power the cells are often columnar. The nuclei are basally located and are small, round, and dark. Nuclear features of papillary thyroid carcinoma are always absent. The edematous fibrovascular cores show embedded follicles.
Below image; Follicular adenoma with papillary architecture - Low power view showing large colloid-filled follicles and complex papillary infoldings of the lining epithelium.

How well did you know this?
1
Not at all
2
3
4
5
Perfectly
17
Q

pheochromocytoma

IHC:
IHC used to distinguish phaeo from adrenal cortical neoplasms.

A

Most phaeochromocytomas are positive for tyrosine hydroxylase, dopamine beta-hydroxylase, GATA3, and general neuroendocrine biomarkers; chromogranin A, synaptophysin, INSM1), and negative for keratins }. S100 and SOX10 stain intra-tumoural sustentacular cells. Tyrosine hydroxylase expression can be focal or, rarely, negative in non-functional tumours. Immunohistochemistry is sometimes required to distinguish between a phaeochromocytoma and an adrenocortical neoplasm, particularly in case of predominant clear or oncocytic cell change. Positivity for Melan-A and SF1 and negativity for chromogranin-A, GATA3 and tyrosine hydroxylase are characteristic of adrenal cortical tumours. Synaptophysin and inhibin can be expressed in both phaeochromocytoma and adrenal cortical tumours, and should not be used to distinguish the two.

NB: (ki67) A high proliferative fraction should raise the suspicion that a tumour is not a phaeochromocytoma.

How well did you know this?
1
Not at all
2
3
4
5
Perfectly
18
Q

Grading of pancreatic neuroendocrine neoplasms

A

Graded as G1 (<2mitoses/2mm2 and Ki-67 proliferation index <3%), G2 (2-20mitoses/2mm2 or a Ki-67 3-20%), or G3 (> 20 mitoses/2mm2) or Ki67 > 20%).

How well did you know this?
1
Not at all
2
3
4
5
Perfectly
19
Q

Pancreas
Define neuroendocrine microadenoma

A

diameter of < 5mm (minimum size for detection by imaging). Typically non-functioning

20
Q

Hereditary syndromes a/w PanNETs?

A

MEN1
VHL
NF1
Tuberous sclerosis
Glucagon cell hyperplasia and neoplasia
Familial insulinomatosis

21
Q

Bethesda criteria for thyroid

A

TBS I: nondiagnostic / unsatisfactory
Includes inadequate by cellularity, unsatisfactory by quality and cyst fluid only specimens
TBS criteria for adequacy of thyroid FNA specimens is ≥ 6 groups of well visualized follicular cells (≥ 10 per cluster)
Frequency 10 - 15%, resection rate 10 - 15%, ROM up to 20% of all nodules and up to 30% of resected nodules
Management: reaspiration, except for pure cyst

TBS II: benign
Cytology sample that is adequate for evaluation and consists of colloid and benign appearing follicular cells
Frequency 60 - 70%, resection rate 10 - 15%, ROM < 10% (oROM < 1%)
Usually nodular hyperplasia on resection
Management: follow up based on ultrasound pattern

TBS III: atypia of undermined significance / follicular lesion of undetermined significance (AUS / FLUS)
Aspirates with few cells that have distinct but mild nuclear atypia or with more extensive but very mild nuclear atypia
Frequency < 10%, resection rate 30 - 40%, ROM 25 - 40% (NIFTP = malignant) or 6 - 18% (NIFTP ≠ malignant) and up to 40% of resected TBS III nodules
On resection / histopathology diagnosed as nodular hyperplasia, follicular adenoma and papillary thyroid carcinoma (PTC)
Management: reaspiration or molecular testing (Thyroid 2016;26:1)

TBS IV: follicular neoplasm / suspicious for a follicular neoplasm (FN / SFN)
Cases with most of the follicular cells arranged in cell crowding or microfollicle formation
Frequency 6%, resection rate 60%, ROM 25 - 30% (NIFTP = malignant) or 10 - 40% (NIFTP ≠ malignant)
Histopathology: follicular adenoma, adenomatous nodule, follicular variant of papillary thyroid carcinoma and follicular carcinoma
Management: diagnostic thyroid lobectomy or molecular testing

TBS IV: follicular neoplasm, Hürthle cell type / suspicious for a follicular neoplasm, Hürthle cell type (FN-H / SFN-H)
Cases with most of the follicular cells showing abundant fine granular cytoplasm (Hürthle cells)
Frequency 1.2 - 9%, resection rate 30%, ROM 10 - 40%
Histopathology: oncocytic (Hürthle cell) adenoma and carcinoma
Management: diagnostic thyroid lobectomy, molecular testing is not helpful

TBS V: suspicious for malignancy
Used when cytology strongly suggests malignancy but is not sufficient for a conclusive diagnosis
Frequency < 5%, resection rate 70%, ROM 80% (NIFTP = malignant) or 45 - 60% (NIFTP ≠ malignant)
Histopathology: usually papillary thyroid carcinoma
Management: surgery (usually)

TBS VI: malignant
Used when cytology strongly suggests malignancy
Frequency 5 - 10%, resection rate 65 - 80%, ROM 99% (NIFTP = malignant) or 94 - 96% (NIFTP ≠ malignant)
Histopathology: wide spectrum of thyroid malignancies, from papillary thyroid carcinoma (most common) to medullary thyroid carcinoma, anaplastic thyroid carcinoma, lymphoma, etc.
Management: surgery (usually)

22
Q

List fibrosing thyroid lesions:

A

Riedel thyroiditis
Fibrosing variant of Hashimoto thyroiditis
Radiation fibrosis
Amyloidosis
Fibrosis due to collagen vascular disease

23
Q

name the three settings in which amyloid is found in the thyroid ?

A

1) in the setting of medullary carcinoma ( contains pro hormone of calcitonin)
2) amyloid goitre -> amyloid associated with a FB giant cell response and with adipose tissue). A/W systemic amyloid
3) Systemic amyloidosis -> amyloid deposition in the thyroid storm and in glandular and periglandular blood vessels.

24
Q

syndromes associated with PTC (9)

A

PTC has been described in pts with:
FAP
PTEN hemartoma syndrome
McCune-Albright syndrome
Carney complex
Peutz-Jeghers sydnrome
Werner synrome
multiple endocrine neoplasia (MEN ) syndromes
ataxia telangiectasia
Dicer syndrome.

25
common mutations in PTC. Poor px factors in PTC
rearrangements of the RET gene, known as RET/PTC (also present in benign lesions including hyalinizing trabecular adenoma, Hashimoto thyroiditis, and hyperplasticity nodules and follicular adenoma) BRAF mutations. Poor px: older age and PTC with BRAF mutations (usu V600E pt mutation)
26
subtypes of follicular thyroid carcinoma (3)
The diagnosis of FTC requires capsular and/or vascular invasion. FTC is divided into three subtypes: (1) minimally invasive (capsular invasion only), (2) encapsulated angioinvasive (venous invasion present with or without capsular penetration), and (3) widely invasive. Minimally invasive FTC: require full-thickness capsular penetration -> often shows mushroom-shaped growth. The tumour at the leading edge can induce fibrosis however the fibrosis at the leading/invasive edge of tumour is beyond the contour of the tumour capsule. In a subset of cases, tumour is present outside of the capsule but the focus of capsular invasion connecting the focus to the main mass is not present on the section examined. For such foci to be considered evidence of invasion, the focus being considered must have the same cytomorphology as that seen in the main mass. Encapsulated angioinvasive FTC. Most authors define vascular invasion as invasion of vessels within the tumour capsule or beyond. The presence and extent of vascular invasion is prognostically relevant. Tumours with limited invasion of vessels (<4 foci) have a better prognosis than do those with extensive vascular invasion (4 or more foci of invasion). FTC rarely spreads to lymph nodes, lymphatic invasion is essentially not seen with FTC
27
Tall cell variant of PTC, common mutation and clinical importance?
PX less favourable c.f usu PTC> 75% of tall cell variant PTC harbor BRAF V600E mtautions. The importance in recognising tall cell variant of PTC is related to the fact that this tumor type is overrepresented in those thyroid carcinoma that are refractory to radioactive iodine therapy.
28
medullary ca syndromic associations
MEN syndromes (MEN IIa, IIb or III)
29
gene commonly mutated in medullary carcinoma
Gene associated with medullary ca has been identified on chromosome 10 and involves mutations in the RET oncogene. RET mutations are gain-of-function type mutations.
30
amyloid in medullary carcinoma is most likely derived from which hormone?
precalcitonin
31
immunohistochemistry used to distinguish adrenal cortical ca vs phaeo?
ACC: SF1/melan A (+); (-) CGN, GATA3, tyrosine hydroxylase.
32
How to distinguish adrenal cortical adenoma vs carcinoma
Weisse criteria with the Lin-Weiss-Bisceglia system for neoplasms with >90% oncocytic cells, and a separate AFIP system { 12826878 } for paediatric adrenal cortical neoplasms.
33
essential and desireable dx features of hyalinising and trabecular tumour (of thyroid) IHC: ?
Essential: follicular cell differentiation; pure trabecular architecture with intra-trabecular hyalinization and nuclear features characterized by prominent grooves, vacuoles, and membrane irregularities Desirable: membranous Ki-67 staining (MIB-1 clone); detection of GLIS rearrangements Ki-67 (MIB-1 clone) - membraneous staining; TTF1 and thyroglobulin.
34
Hyalinising trabecular tumour ddx and how you differentiate them?
NB: no peripheral chromatin clearing in HTT c.f. PRC with trabecular growth. Compared to medullary ca, the hyaline material in HTT does not stain with calcitonin. GLIS fusions present in HTT
35
Describe the two subtypes of high-grade follicular cell-derived non-anaplastic thyroid carcinoma and the essential and desireable dx features
Essential: PDTC (i) solid/trabecular/insular pattern of growth in a tumour diagnosed as malignant based on the presence of invasion; (ii) absence of conventional papillary carcinoma nuclear alterations; (iii) at least one of the following features: convoluted nuclei, mitotic count ≥ 3 per 2 mm2, tumour necrosis; (iv) retention of some (but not all) morphologic and immunohistochemical biomarkers of thyroid follicular epithelial cells. (v) poorly differentiated but lacking anaplastic cellular morphology DHGTC (i) Presence of ≥ 5 mitoses per 2 mm2 and/or tumour necrosis, with invasion; (ii) retention of distinctive architectural and/or cytologic features of well-differentiated histotypes of carcinoma of follicular cells (e.g. papillary, follicular, or oncocytic); (iii) retention of some (but not all) morphologic and immunohistochemical biomarkers of thyroid follicular epithelial cells. (iv) poorly differentiated but lacking anaplastic cellular morphology
36
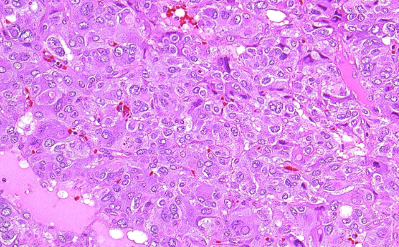
Thyroid lesion: Dx?
Poorly differentiated thyroid carcinoma. Insular growth pattern with tumour nests showing artefactual separation from the surrounding fibrovascular stroma.. PDTC (i) solid/trabecular/insular pattern of growth in a tumour diagnosed as malignant based on the presence of invasion; (ii) absence of conventional papillary carcinoma nuclear alterations; (iii) at least one of the following features: convoluted nuclei, mitotic count ≥ 3 per 2 mm2, tumour necrosis; (iv) retention of some (but not all) morphologic and immunohistochemical biomarkers of thyroid follicular epithelial cells. (v) poorly differentiated but lacking anaplastic cellular morphology
37
Which scoring system should be used for oncocytic adrenal cortical carcinomas? Which system is used for paediatric tumours?
Lin-Weiss-Bisceglia system (but helsinki scoring and reticulin algorithm can also be used) Wieneke/AFIP criteria.
38
Describe features Weiss scoring system?
39
thyroid: dx criteria for PDTC vs DHGTC
Essential: PDTC (i) solid/trabecular/insular pattern of growth in a tumour diagnosed as malignant based on the presence of invasion; (ii) absence of conventional papillary carcinoma nuclear alterations; (iii) at least one of the following features: convoluted nuclei, mitotic count ≥ 3 per 2 mm2, tumour necrosis; (iv) retention of some (but not all) morphologic and immunohistochemical biomarkers of thyroid follicular epithelial cells. (v) poorly differentiated but lacking anaplastic cellular morphology DHGTC (i) Presence of ≥ 5 mitoses per 2 mm2 and/or tumour necrosis, with invasion; (ii) retention of distinctive architectural and/or cytologic features of well-differentiated histotypes of carcinoma of follicular cells (e.g. papillary, follicular, or oncocytic); (iii) retention of some (but not all) morphologic and immunohistochemical biomarkers of thyroid follicular epithelial cells. (iv) poorly differentiated but lacking anaplastic cellular morphology
40
PASS scoring system for risk stratification for phaeo
41
GAPP scoring system for paragangliomas
42
Dx of parathyroid carcinoma:
The histopathological diagnosis of a parathyroid carcinoma is restricted to parathyroid tumours that show at least one of the following findings: (i) angioinvasion (vascular invasion), (ii) lymphatic invasion, (iii) perineural invasion, (iv) local malignant invasion into the adjacent structures/organs, or (v) regional or distant metastasis. The complete submission of a parathyroidectomy specimen is required in the diagnostic workup of a parathyroid neoplasm. Most parathyroid carcinomas lack a true fibrous capsule. The tumours are variably cellular and are often subdivided by broad bands of fibrous connective tissue extending from the peritumoural pseudocapsule. Fibrous bands are present in most parathyroid carcinomas.
43
phaeochromocytoma: Associated hereditary conditions:
Approximately 30% are hereditary and include the following autosomal dominant disorders: Von Hippel-Lindau syndrome Multiple endocrine neoplasia type 2 (MEN2) Neurofibromatosis type 1 (NF1) Familial paraganglioma
44
which scoring system do you use for oncocytic adrenal cortical neoplasms?
Lin-Weisse-Bisceglia system
45