Upper GI Flashcards

(52 cards)

1
Q

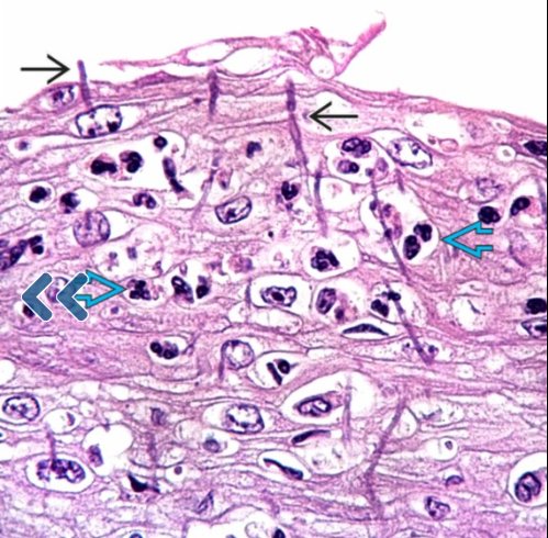
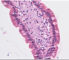
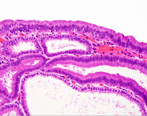
Biopsy take from oesophagus.
Dx:

Stains to confirm
Key histo features

DDx:

A

Dx: candida oesophagitis

Stains: PAS, GMS

Key histo features:

ExpertPath

Neutrophilic inflammatory response most common (NB: variable inflammatory response)

Candida stains with GMS and PAS

C. albicans and Candida tropicalis

  • Mixture of budding yeast forms, pseudohyphae, occasional true hyphae

Candida (Torulopsis) glabrata

  • Tiny budding yeast forms similar to Histoplasma, no pseudohyphae or hyphae

NB: Hyphae usually angled perpendicular to squamous epithelium.

DDx:

  • Aspergillosis
  • > septate true hyphae branching at acute angles
  • Histoplasmosis
  • > Histoplasma are smaller than candida, almost exclusively intracellular, halo effect around histoplasma in tissue

Invasion vs superficial colonization? Look for invasive funi in tissue sections. Presence of just a few yeasts without pseudohyphae is not evidence of infection. Appropriate inflammatory response to organiss.

How well did you know this?
1
Not at all
2
3
4
5
Perfectly
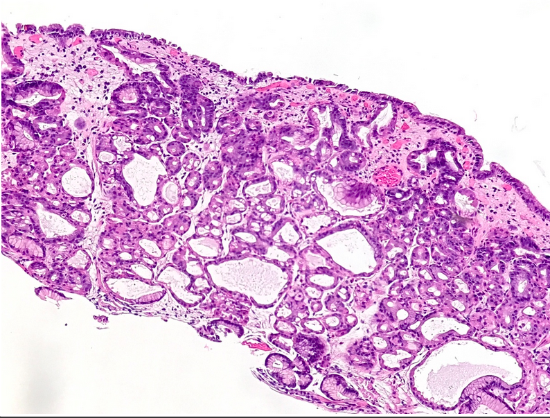
2
Q

Dx:

IHC:

Histo features

A

Dx: candida oesophagitis

IHC: PASD/GMS

Histo features: Densely matted pseudohyphae and budding spores in squamous debris, fibrinopurulent exudate or necrotic debris

How well did you know this?
1
Not at all
2
3
4
5
Perfectly
3
Q
A

Adenoid cystic carcinoma (salivary gland tumour)

How well did you know this?
1
Not at all
2
3
4
5
Perfectly
4
Q

gastric biopsy N&V in man with anaemia

Dx?
Key features

A

Dx: Iron pill gastritis

Mucosal injury in the form of erosion, ulceration and granulation tissue, according to the extent of the injury
Acute inflammation in surrounding tissue, inflammatory exudate and reactive epithelial changes
Crystalline, metallic, brown-black pigmented material deposition in the superficial mucosa and ulcer bed
Iron is refractile but does not polarize
How well did you know this?
1
Not at all
2
3
4
5
Perfectly
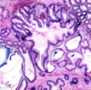
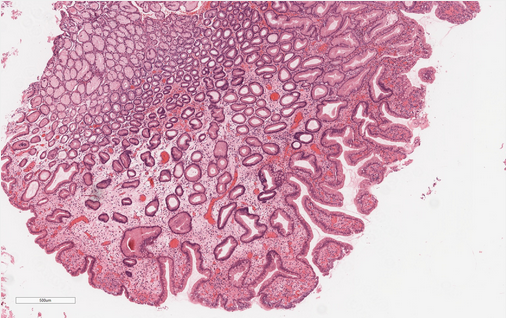
5
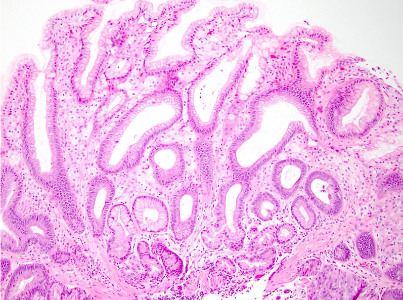
Q

antral polyp

dx
Key features demonstrated
ddx
key genetic mutations

A

Juvenile polyp
hyperplastic non-dysplastic foveolar epithelium and oedematous stroma. (These polyps are characterised by lamina propria oedema, abundant disorted and dilated and mucin filled glands +/- inflammatory cells).
DDx: inflammatory polyp; other syndromic polyps i.e. Peutz-Jeghers polyps or Cronkhite-Canada syndrome polyp
Germline mutations in SMAD4 and the related gene GMPR1A
Below: SMAD4 loss

How well did you know this?
1
Not at all
2
3
4
5
Perfectly
6
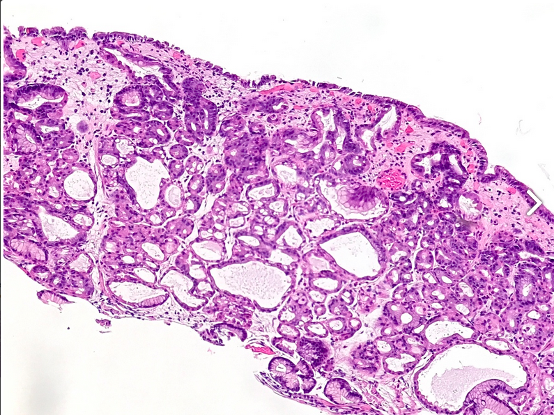
Q

gastric polyp

dx
IHC
etiology

A

Gastric pyloric gland adenoma
Key features:
consist of closely packed pyloric-type glands, lined by cuboidal/low columnar epithelia with foamy, ground-glass cytoplasm;
No apical mucin (c.f foveolar type adenoma); nuclei basally orientated.
High-grade PGAs consistently exhibit disturbed architecture, crowded nuclei, and loss of nuclear polarity. High-grade dysplasia is observed in 40–50% of cases,
.
NB: Adenocarcinoma (even focal) is observed in almost half of all cases, however, submucosal invasion does not exceed 10% .
If high-grade dysplasia is present, this is staged as pTis.

IHC: MUC6 (v +), MUC5AC +

Aetiology: sporadic cases normally occur in context of autoimmune gastritis.

How well did you know this?
1
Not at all
2
3
4
5
Perfectly
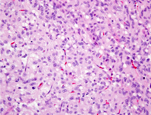
7
Q

stomach lesion

dx?
IHC?
Molecular

A

GIST with epithelioid morphology
IHC: C-KIT/DOG1, CD34 (nb epithelioid GISTs less consistently (+) for CD34 than spindle cell GISTs.

This image shows cytoplasmic vacuoles.

How well did you know this?
1
Not at all
2
3
4
5
Perfectly
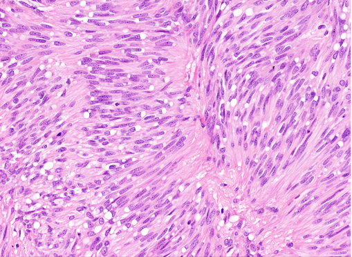
8
Q

gastric lesion

dx
IHC

A

GIST with spindle cells and perinuclear vacuolisation.
IHC: C-kit/DOG1; CD34 (+ more in spindled cell GIST than epithelioid); consider SDHB or SDHA IHC with multinodular/plexiform growth > a/w lymph node involvement

Image: GISTS composed of cytologically bland spindle cells that may feature distinctive perinuclear vacuolization.

How well did you know this?
1
Not at all
2
3
4
5
Perfectly
9
Q

GISTs

subtypes

A

Sclerosing type (a/w calcs)
Pallisaded-vacuolated subtype

How well did you know this?
1
Not at all
2
3
4
5
Perfectly
10
Q

GISTs

SDH-deficient GISTs
describe histology
relevance
associated syndrome

A

Multinodular/plexiform growth, lymphovascular invasion
LVSP/LN mets; more likely to metastasise and are resistant to imatinib therapy
Carey-Stratakis syndrome

How well did you know this?
1
Not at all
2
3
4
5
Perfectly
11
Q

gastric biopsy

Atrophic pattern of gastritis:
Key histo features:
Pitfalls:
Common causes:

A

multifocal loss of th oeriginal gastric glands +/- metaplsia +/- inflammation
NB: Atrophic pattern as an advanced stage of damage is often accompanied by metaplastic pattern. Metaplastic and atrophic pattenrs often coexist as a mixed pattenro f atrophic metaplastic gastritis.
Pitfalls: mistaking of transitional zones of the gastric mucosa (antrum and body, fundus and cardia) that may show a reduciton of expectednormal components as atrophy).
Common causes (2): AIG and HPG
1. autoimmune gastritis: oxyntic gland atrophy + antral sparing
2. HPG shows antrophyloric gland atrophy (oftne a/w IM)
Therefore, antral predominant gastritis is consistent with Hpylori associated chronic atrophic gastritis whiel antral sparing gastritis is typical fo AIG.

How well did you know this?
1
Not at all
2
3
4
5
Perfectly
12
Q

stomach, intestinal metaplasia

Endoscopic findings:
Types:

A

Endo: multiple white plaques
Type 1: metaplastic glands phenotypically resemble those of the small intestine, with eosinophilic absorptive neterocytes with a brush border, alternating with mucus-producing goblet cells and Paneth cells. “Complete IM” or “small intestinal type metaplasia”. When advanced may show villiform architecture.

Type 2: Incomplete IM shows irregular goblet cells interspersed within the gastric epithelium and lacks the brush border, absorptive cells, and paneth cells and resembles colonic mucosa, called “colonic metaplasia”. in type 2 IM, the presence of sulfomucins within the non-goblet cells is beieved to be a/w an icnreased risk of progressio to gastric cancer.

How well did you know this?
1
Not at all
2
3
4
5
Perfectly
13
Q

Immunohistochemical markers for subtyping intestinal metaplasia

Complete (type 1) IM vs Incompete (type 2)

A

Complete (type 1) IM: shows expression of MUC2 in goblet cells, (intestinal mucin) as well as luminal CD10 expression highlighing the presence of enterocytes and decreased expression of “gastric” mucins (MUC5AC and MUC6)

Incomplete IM shows “gastric” mucins (MUC5AC and MU6) coexpressed with “intestinal” mucins MUC2 and lacks CD10 representing an aberrant differentiation.

IM occurs frequently in a/w Paneth cells. The presence of paneth cells should prompt vigilant search for goblet cells.

How well did you know this?
1
Not at all
2
3
4
5
Perfectly
14
Q

Mucins by IHC

positive cells:
MUC2
MUC5AC
MUC6
MU1

A

MUC2: Goblet cells (“intestinal”)
MUC5AC: Foveolar epithelium (cytoplasmic)
MUC6: Pyloric glands (cytoplasmic)
MUC1: not expressed in non-neoplastic stomach.

How well did you know this?
1
Not at all
2
3
4
5
Perfectly
15
Q

IHC used to confirm pseudopyloric metaplasia from trual antral mucosa

A

Gastrin. confirms presence of G cells which are not seen in PPM.

How well did you know this?
1
Not at all
2
3
4
5
Perfectly
16
Q

reactive (mucosal) gastropathy

key histo featurs:

aetiological considerations:

Common sites in stomach

A

reduction in foveolar mucin cap resulting in darker foveolar surface, corkscrew-like changes in the gastric pits, superficial mucosal oedema with dilated capillaries, and “tongues” of smoothmuscle fibres extending from tehmuscularis mucosae upward into the lamina propria (muscularisation); inflammation is uncommon

Aetiologies: bile reflux, medications and alcohol, gastric pH and bacterial contamination by faecal-type microflora.

Reactive gastropathy is common in th antrum

How well did you know this?
1
Not at all
2
3
4
5
Perfectly
17
Q

biopsy fundic polypoid lesion

dx
Locations where found
Key features (macro +micro)
Aetiology:
Px:

A

Fundic gland polyp
Found exclusively in fundic glands (body and fundus)
Macro: typically small and sessile (< 2mm, rarely > 1cm)
Micro: consist of dilated cystic oxyntic glands with disotrted glandular architecture admixed with normal-appearing glands. Parietal cells balloon into the lumen with snoutlike protuberances, sometimes resulting in exfoliated anucleate blebs with eosinophilic granules that clog the gland outlets (findings are identical to that of PPI effect).
Aetiology: sporadic or a/w syndrome (FAP - higher incidence of dysplasia; gastric adneocarcinoma and prox polyposisi sydnrome GAPPS). C.F. hyperplastic polyps, FGPs are NOT a/w inflammatory or atrophic mucosal backdrop. Their presence is inversely correlated w/ Helicobacter infection/active gastritis. In the sporadic setting, it is widely accepted that PPI use is a/w FGPs, these lesions regress w/ medication cessation.
Px: risk of maligannt transformation is exceptionally low

How well did you know this?
1
Not at all
2
3
4
5
Perfectly
18
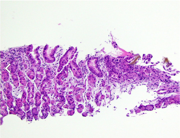
Q

features of gastric hyperplastic polyps

A

A/w b/g mucosal injury (85%) (inclus. h/pylori, reactive/chemical gastropathy etc)
Occur more frequently with increasing age (mean age 65 to 75 yrs) (c.f. syndromic FGP)
More frquently solitary in 75%
Owing to their foveolar origin, found in all regions fo the stomach (c.f. FGP)
High recurrence rate following polypectomy
Histo: has broad pedicle; shows elongated and distorted pits lined by a single layer of foveolar epithelial cells. Wide histo variability: gastric pits/glands may show cystic dilation separated by oedematous lamina propria with mixed inflammatory cells, there may be glandular crowding with gastric foveolar hyperplasia. Surface erosions are common. Always ensure a quick search fo r IM and dysplasia.
Always review b/g mucsoa for mucosal inflammation/damage/H.pylori.

How well did you know this?
1
Not at all
2
3
4
5
Perfectly
19
Q

oesophagus

ddx of polypoid oesophageal tumors (bening and malignant)

A

Benign:
Squamous papilloma
Fibrovascular polyp
Submucosal tumors
Inflammatory oesophagogastric polyp

Malignant
SCC
adneocarcionma
sarcomatoid camalignant melanoma
sarcomas
metastatic tumors

How well did you know this?
1
Not at all
2
3
4
5
Perfectly
20
Q

Define adenocarcinoma of the GOJ

A

(AJCC)
Any tumor that invovles the GOJ with an epicenter within the proximal 2 cm ofhte stomach.
Many junctional tumors are accompanied by BO, often of the short-segment type, providing evdience of an oesophageal derivation.

How well did you know this?
1
Not at all
2
3
4
5
Perfectly
21
Q

stomach lesion

dx
ddx

A

Xanthoma
DDx:
Adenocarcinoma (PAS(+) mucin + more pleomorphism/atypical cytology)
Whipple disease
Mycobacterium avium-intracellulare infection

22
Q

granulomatous inflammation of the stomach

list non-infectious causes

A

Crohn disease
foreign-body rxn
tumor-associated granulomas
sarcoidosis
isolated granulomatous gastritis

23
Q

fundic gland polyposis

definition
occurs in which settings

A

10 or more fundic gland polyps
1. following drug therapy for acid suppression
2. FAP
3. Gastric adenocarcinoma and proximal polyposis syndrome

24
Q

60M gastric polyp

dx
key features

A

fundic gland polyp
Key features:
Hyperplastic expansion of hte glandular compartment of oxyntic mucosa
Cystically dilated glands lined by attenated but otherwise normal layer of chief/parietal and mucous neck cells. Overlying foveolar epithelium is normal.
Hyperplastic parietal cells with apocrine snouting is seen in patients on proton pump inhibitors
May harbor dysplasia (esp in FAP-associated or GAPPS)

25
# gastric polyp dx Key features
Hyperplastic polyp Key features: showing elongated, tortuous and dilated gastric pits (foveolar epithelium). Can also show abundant LP that is inflamed and oedematous. Can show smooth muscle strands extending from the muscularis propria and thick walled blood vessels at the base
26
52M white spot duodenum Dx? Key features demonstrated?
Lymphangioma Proliferation of lymphatic vessels within the lamina propria
27
# 70M antral polyp dx Key features demonstrated
Hyperplastic polyp Infolding/hyperplasia and branching of foveolar epithelium and cystic dilatation
28
# stomach polyp dx Key features demographic IHC tx:
Pyloric gland adenoma (low-grade dysplasi) Lacks apical mucin cap and goblet cells. LIned by cuboidal/low columnar epithelium with eosinophilic cytoplasma with plae ground glass appearance. Elderly women, a/w autoimmune metaplastic atrophci gastritis IHC: MUC6(+), MUC5AC v 10% of PGAs exhibit focal expression of MUC2 and/or CDX2 Because of the relatively high risk of high-grade dysplasia / gastric cancer, complete resection is mandatory. Progression to high-grade dysplasia / gastric cancer is more frequent in patients with autoimmune gastritis.
29
# 60M stomach polyp dx
gastric oxyntic gland adenoma
30
# gastric cancer Increased in which inherited conditions (6)
hereditary diffuse gastric cancer FAP syndrome Lynch syndrome GAPPS Li-Fraumeni syndrome Juvenile polyposis syndrome
31
# gastric lesion bx dx Key features IHC: Molecular
gastroblastoma biphasic tumor arising in the muscularis propria. consists of varying proportions of uniform epithelial cell and uniform spindle cells arranged in nests. IHC epithelioid cells are (+) for CK, spindel cells express CD10, and CD56. (-) CD117, DOG1, CD34, desmin, SMA, syn, chromo, and S100. Molecular: identification of a MALAT1-GLI1 fusion in the tumor cells
32
# 4F with diarrhoea and delayed growth development dx? IHC? Cause?
Whippple's disease Key features: Lamina propria expanded by foamy macrophage infiltrate Fat vacuoles within lamina propria Overlying enterocyte vacuolization due to intracytoplasmic lipid accumulation Acute inflammation (variable) IHC: PAS shows positive granular staining of macrophages Cause: Above image: LP infiltrated by foamy macrophages Below: Foamy macros crowd the villous LP
33
60M PR bleeding; ampullary mass bx Dx? IHC?
Gangliocytic paraganglioma Key features: Unencapsulated submucosal lesion Triphasic, with epithelioid, spindle cell (Schwann cell-like) and ganglion type cells of varying proportions May therefore resemble well differentiated neuroendocrine tumor, paraganglioma or ganglioneuroma Variable stromal amyloid Epithelioid cells: pancreatic polypeptide, progesterone receptor, somatostatin, synaptophysin, chromogranin, CD56 (BMC Cancer 2015;15:269) Ganglion cells: S100, pancreatic polypeptide, somatostatin, synaptophysin, chromogranin, CD56 Spindle cells: S100, BCL2 (67%)
34
34
How is Barrett oeosophagous defined by the American college of gastroenterology?
The american college of Gastroenterology define Barrett esophagus as an "extension of salmon-colored mucosa into the tubular oesophagus extending greater than or equal to 1 cm proximal to the GEJ with bx confirmation of intestinal metaplasia". Thus, both the endoscopic appearance and the presence of goblet cells are required for a dx of BO.
35
ddx of oesophageal glandular epithelium on bx
DDx of oesophageal glandular epithelium: Inadvertently sampled gastric mucosa Eosphageal junctional mucosa (cardiac-type mucosa located in distal 1-2cm) Oesophageal cardia-type glands (often located in the LP of tdistal and proxijmal oesophagous) Heterotopic gastric fundic mucosa (gastric inlet patch) (noted in mid-oesophagous of 4-10% of normal subjects. Cilitated columnar epithelium (embryological remant found in infants or metaplastic ) SEbaceous glands (present endoscopically as msall, yellow papules).
36
What two genes are commonly mutation in GISTs?
KIT PDGFRA
37
# gastric cancer Gastric carcinoma: what are the 5 main histological subtypes (as per WHO)?
tubular papillary poorly cohesive (including signet-ring cell nad other subytpes) mucinous mixed adenocarcinomas.
38
key features of celiac sprue:
crypt hyperplasia loss of villous height chronic inflammatory cell infiltration surface IEL (greater than 40 per 100 enterocytes).
39
According to the american college of gastroenterology what is the definition of Barrett's oesophagus?
"extension of salmon-colored mucosa into the tubular oesophagus extending greater than or equal to 1 cm proximal to the GEJ with bx confirmation of intestinal metaplsia".
40
DDx of glandular epithelium (from oesophagous)
Inadvertently sampled gastric mucosa Eosphageal junctional mucosa (cardiac-type mucosa located in distal 1-2cm) Oesophageal cardia-type glands (often located in the LP of distal and proximal oesophagous) Heterotopic gastric fundic mucosa (gastric inlet patch) (noted in mid-oesophagous of 4-10% of normal subjects. Cilitated columnar epithelium (embryological remnant found in infants or metaplastic ) Sebaceous glands (present endoscopically as msall, yellow papules).
41
AJCC staging of oesophageal carcinoma (T stage)
42
what molecular testing is done on oesophageal adenocarcinomas? What treatment can be offered if mutated?
HER2 testing is done routinely and if amplified is approved for treatment with Trastuzumab.
43
three types of adenoma that occur in the small bowel?
intestinal foveolar pyloric
44
Multiple gastric GISTS can be found in which following 4 scenarios:
Carney syndrome (GIST, pulmonary chondroma and functioning extraadrenal paraganglioma). Young females. GISTS indolent. Carney-stratakis syndrome: AD. Characterised by GIST and (familial) paraganglioma. Pts have germline mutations in one of the SDH genes (SDHB, SDHC, SDHD), Sporadic SDH B deficient GIST tumors: pediatric population. NB: both sporadic and syndrome succinate dehydrogenas-deficient GISTS show a high propensity for LN metastasis but overall have a very protracted clinical course. Familial GIST – germline mutations in KIT and PDGFRA.
45
Which immunomodulatory drug revolutionised the tx and px of metastatic GISTs?
Imatinib revolutionized the treatment and px of metastatic GISTS.
46
GIST mutations
75% of GISTs harbour gain-of-function mutations of the KIT and 10% harbor PDGFRA activating mutations. Both oncogenes are located on chromosome 4. Mutations are mutally exclusive and result in ht econstitutive actiation of eithe rKIT or PDGFRA
47
5 main histological subtypes of gastric adenocarcinoma? rare subtypes? diagnostic molecular?
tubular papillary poorly cohesive (including signet ring cell and other subtypes) mucinous (extracellular mucin accounting for > 50% of the tumour area) mixed adneocarcinomas Other an rare histological subtypes: gastric adenocaricnoam with lymphoid stroma (akak lymphoepithelioma-like carcinoma and medullary ca). increased rates of EBV infection in this subytpe. Also increased rates of MSI. Hepatoid adenocaricnoma (AFP +); bile and PASD pos intracytoplasmic eosinophilic glboules can be observed. adenocarcinoam with enteroblastic differentiation. Micropapillary ca (lymph node mets) Gastric adenocarcinoam of fundic-gland type. Grading applies primarily to tubular and papillary cas. diagnostic molecular: MSI and PDL1; hER2.
48
features of SDH-deficient GISTS?
epithelioid morphology multinodular with plexiform mural involvement LVI and LN mets are common. To note, after imatinib, can show progression to HG (KIT-negative) sarcomatous morphology. Dedifferentiation can also be a/w epithelial, myogneic or angiosarcomatous differentaiton.
49
diagnostic molecular for GISTS?
85% of GISTS harbour gain-of-function mutations of the KIT (75%) or PDGFRA (10%) oncogene mutually exclusive pts with PDGFRA mutant tumours have a lwoer irsk of mets than pts iwth KIT-mutant tumours. nearly 85% of advanced GITS harbour KIT mutations. If WT for KIT and PDGFRA, can show alterations in SDH usbuint genes, 60% harbour inactivating mutations (germline) and 40% harbouring SDHC promoter methylation. NB: nearly all paediatric GITS are SDH-deficient and usu pts with Carney triad show SDHC epimutation. Rare GISTs a/w NF1
50
celiac disease criteria?
51
enteropathy-associated T-cell lymphoma, histo, immunophenotype and diagnostic criteria:
histo: medium to large sized neoplastic cells with prominent nucleoli, angulated nuclei, anaplasia, mitotic figures, and necrosis. IHC: ( ICH: (+) CD3, CD7, TIA, perforin, granzyme B, CD103, CD30 (-) CD20, EBER,; loss of some T cell markers such as CD2, CD4, CD5, CD8; ALK -; CD56- Strong a/w refractory Celiac diseas diagnostic criteria: Essential: intestine infiltrated by pleomorphic medium-sized to large lymphoid cells, which may even be anaplastic; accompanied by a variable inflammatory background often including many eosinophils and histiocytes; uninvolved intestinal mucosa shows features of coeliac disease (villous atrophy, crypt hyperplasia, intraepithelial lymphocytosis); T-cell lineage, often with CD4− CD8− phenotype and expression of cytotoxic markers; CD30 can be positive.