Lower GIT Flashcards

(24 cards)

1
Q

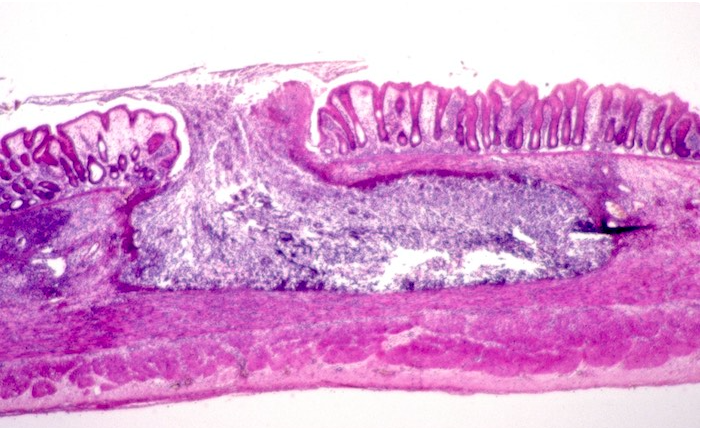
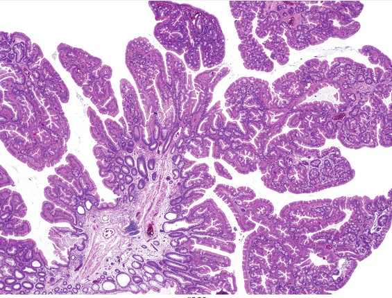
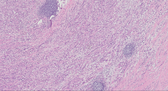
Rectal specimen. Hx of PR bleeding.

Dx? + description?
Key features:

A

solitary rectal ulcer syndrome/mucosal prolapse.

Fibromuscular hyperplasia/obliteration of lamina propria
Architectural distortion of colonic mucosa/epithelium
Hyperplastic/villiform, regenerative surface with mucin loss
Inflammation, erosion, ulceration, pseudomembranes
Capillary proliferation with dilation below surface
Dense submucosal fibrosis with cysts often present
	
	High-power magnification of an H&E-stained section shows characteristic hyperplastic, villiform surface epithelium ; disorganized smooth muscle fibers in the lamina propria ; and proliferating, congested capillaries in the superficial lamina propria.
How well did you know this?
1
Not at all
2
3
4
5
Perfectly
2
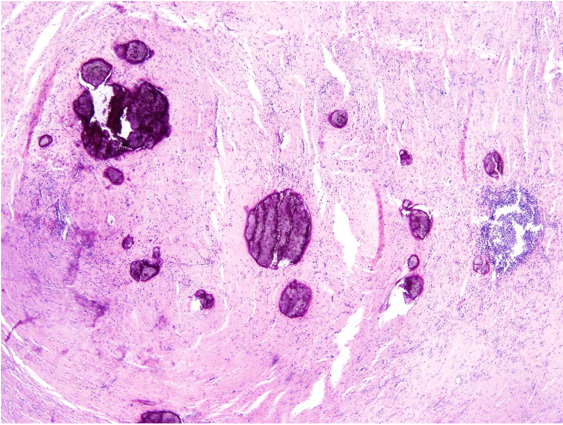
Q

well-circumscribed peritoneal lesion

Dx:

Key features:

A

calcifying fibrous tumour

Paucicellular fibroblastic proliferation with bland spindle cells embedded in dense collagenous tissue
Varying degrees of lymphocytes (possibly lymphoid follicles), plasma cells
Scattered dystrophic or psammomatous calcification

How well did you know this?
1
Not at all
2
3
4
5
Perfectly
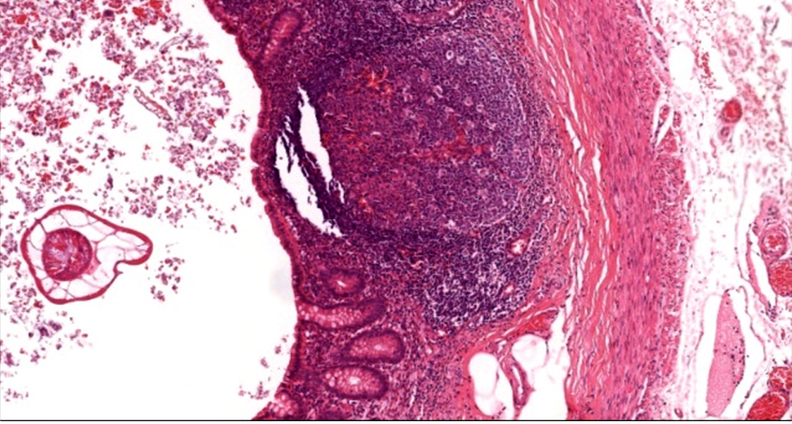
3
Q

appendix

dx

A

acute appendicitis with enterobius vermicularis infection

How well did you know this?
1
Not at all
2
3
4
5
Perfectly
4
Q

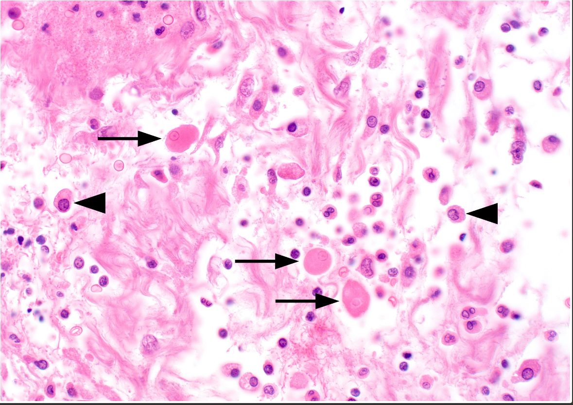
50M mild diarrhoea

dx
key feature demonstrated

A

Entamoeba histolytic colitis
Characteristic flask shaped of amoebic ulcer. Trophozoites are commonly seen at the interface of the necrotic and viable tissue.

Below: Several infiltrating trophozoites (arrows) with abundant dense cytoplasm and a small round nucleus are seen in this case of ulcerative amebic colitis. Although they may be confused with macrophages, their nuclear features allow them to be easily identified from surrounding host inflammatory cells. (distinctive round nucleus with peripherally condensed ring of chromatin and central dot-like karyosome)

How well did you know this?
1
Not at all
2
3
4
5
Perfectly
5
Q

58M acute appendicitis

dx

A

Goblet cell adenocarcinoma, high-grade pattern

How well did you know this?
1
Not at all
2
3
4
5
Perfectly
6
Q

goblet cell adenocarcinoma

low vs high grade criteria

A

Low-grade goblet cell adenocarcinoma

Essential: tubules of goblet-like mucinous cells; endocrine and Paneth-like cells with granular eosinophilic cytoplasm, mild nuclear atypia, and infrequent mitoses (tubular fusion and small groups of cohesive goblet-like cells may also be seen); extracellular mucin (which may be abundant); circumferential involvement of the appendix wall by tumour cells, without a stromal reaction.

High-grade histological features

Essential: tumour cells infiltrating as single mucinous or non-mucinous cells, complex anastomosing tubules, cribriform masses, sheets, or large aggregates of goblet-like or signet-ring–like cells with high-grade cytological features, numerous mitoses with atypical mitotic figures, and necrosis (a conventional adenocarcinoma component is seen in some cases); desmoplastic stromal response.

How well did you know this?
1
Not at all
2
3
4
5
Perfectly
7
Q

25M rectosigmoid polyp

Dx
Key features

A

Juvenile polyp
Key features:
Characterized by an abundance of edematous lamina propria with inflammatory cells and cystically dilated glands lined by cuboidal to columnar epithelium with reactive changes (gastric type epithelium??)
Dilated glands filled with mucus and inspissated inflammatory debris

How well did you know this?
1
Not at all
2
3
4
5
Perfectly
8
Q

role of BRAF V600E mutation IHC in colorectal carcinoma

A

Colorectal carcinoma: differentiate Lynch syndrome (BRAF negative) from sporadic MSI tumors (BRAF mutation in 40 - 50%)

How well did you know this?
1
Not at all
2
3
4
5
Perfectly
9
Q

t staging colorectal ca

A
How well did you know this?
1
Not at all
2
3
4
5
Perfectly
10
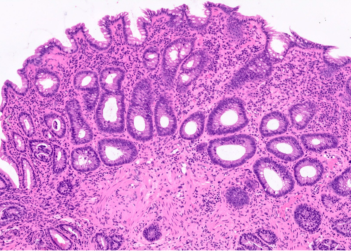
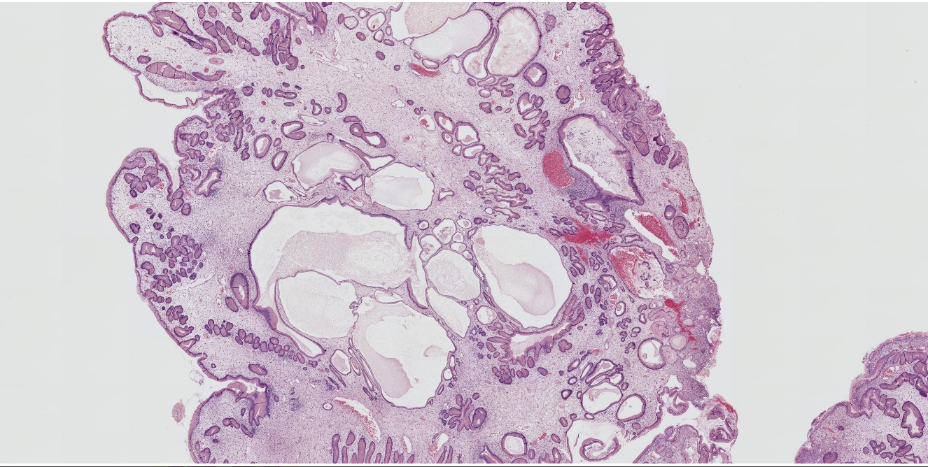
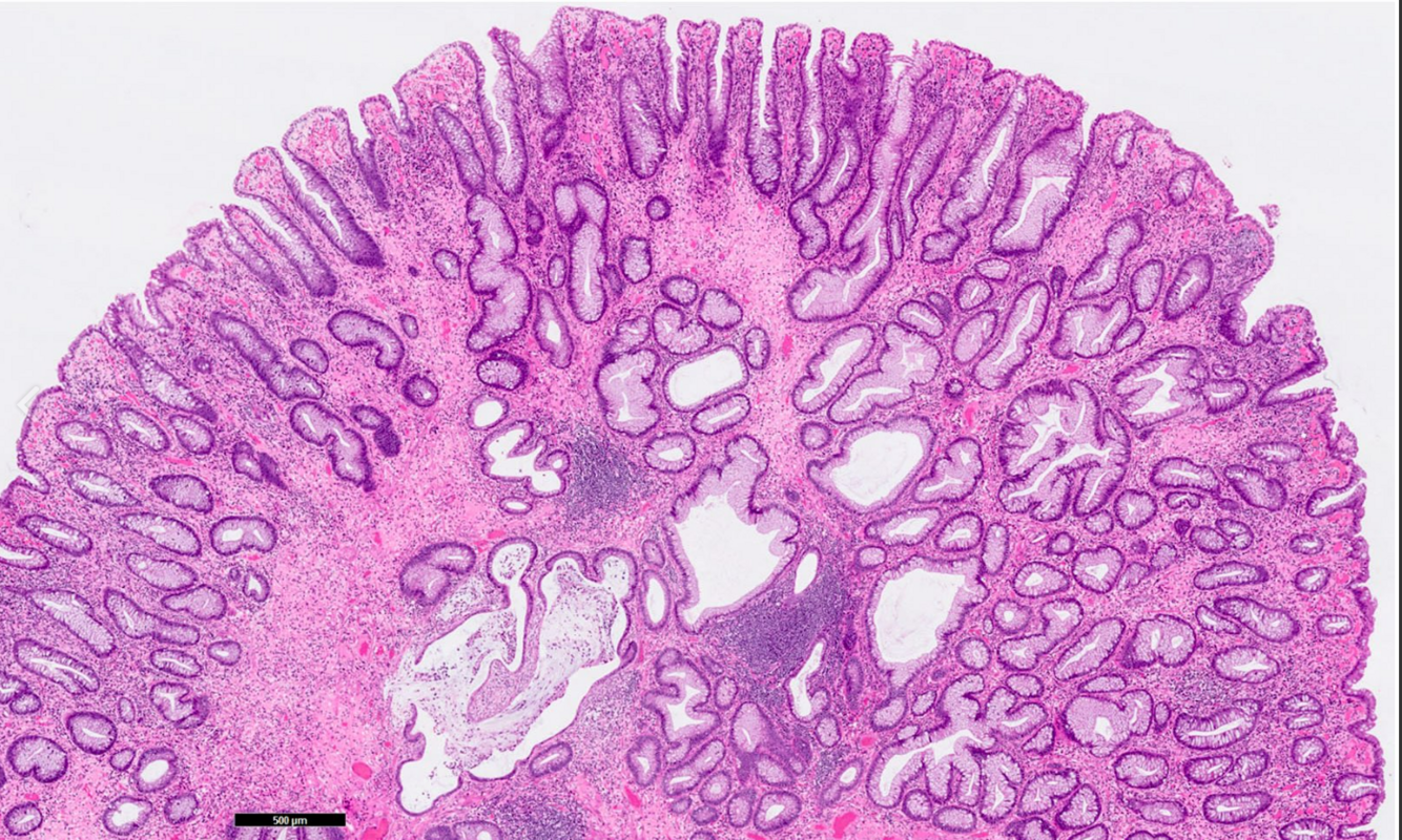
Q

features of solitary rectal ulcer syndrome

A

Superficial mucosal ulceration and villiform change
Crypt hyperplasia and elongation with focal dilation (some glands diamond shaped)
Fibromuscular hyperplasia of lamina propria
Thickened muscularis mucosae with splayed fibers
Ectatic capillaries
Minimal inflammation
May have inflammatory pseudomembranes
Late changes resemble colitis cystica profunda

Image: showing muscularis mucosae thickening and fibromuscular hyperplasia of the lamina propria

How well did you know this?
1
Not at all
2
3
4
5
Perfectly
11
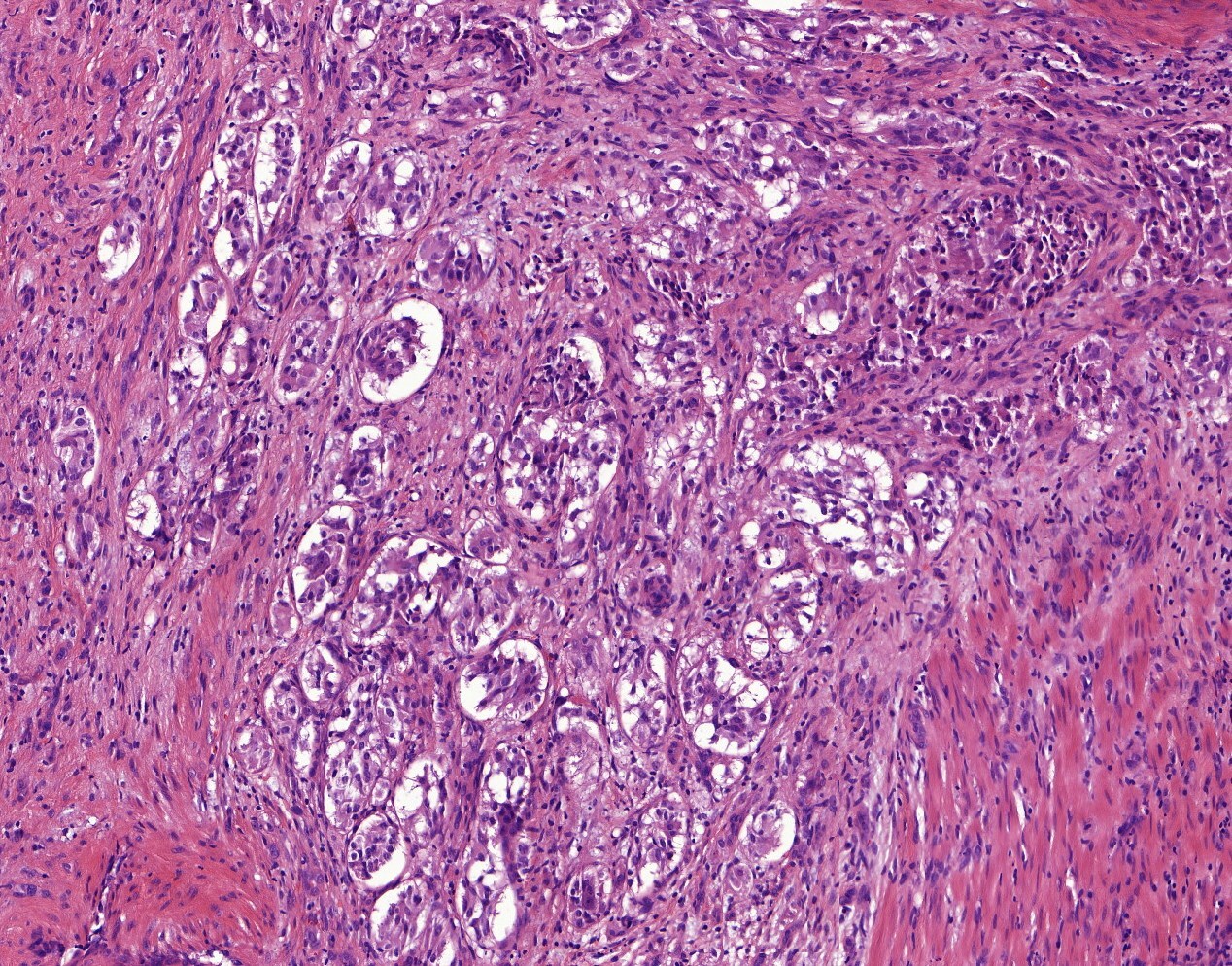
Q

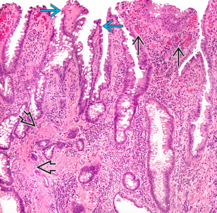
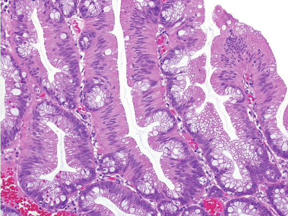
65M rectal polyp

Dx?
Key features?

A

Superficial mucosal ulceration and villiform change
Crypt hyperplasia and elongation with focal dilation (some glands diamond shaped)
Fibromuscular hyperplasia of lamina propria
Thickened muscularis mucosae with splayed fibers
Ectatic capillaries
Minimal inflammation
May have inflammatory pseudomembranes
Late changes resemble colitis cystica profunda

Image: Mucosa can be reactive and villiform. The crypts may appear dilated and diamond shaped.

How well did you know this?
1
Not at all
2
3
4
5
Perfectly
12
Q

colonic mass

Dx?
IHC?

A

Micropapillary carcinoma

IHC: MUC1 (EMA) inside-out staining

How well did you know this?
1
Not at all
2
3
4
5
Perfectly
13
Q
A
How well did you know this?
1
Not at all
2
3
4
5
Perfectly
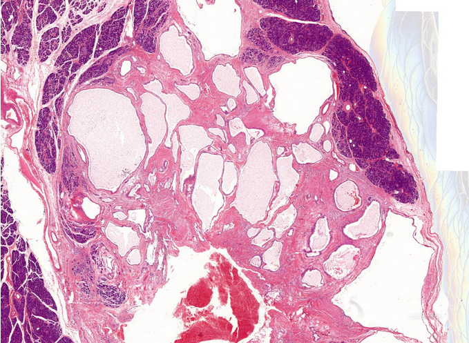
14
Q

59F incidental 2.5cm mass in pancreatic body

dx
Key features
Localisation
demographic
diagnostic molecular

A

Microcystic serous adenoma
Key features: Essential: usually a cystic lesion; low, cuboidal, bland glycogenated epithelium.
Localisation: Mostly body/tail of pancreas (50-75%)
Demographic: female predominance
Diagnostic molecular: VHL is considered the main tumour suppressor gene responsible for the formation of both familial and sporadic serous cystadenomas

How well did you know this?
1
Not at all
2
3
4
5
Perfectly
15
Q

72F 2cm mass pancreatic tail, incidental finding

dx
dx molecular

A

Serous cystadenoma
Genomic alterations in VHL

How well did you know this?
1
Not at all
2
3
4
5
Perfectly
16
Q

50F head of pancrease 5cm mass

dx
Key features
IHC

A

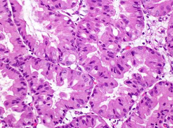
Intraductal oncocytic papillary n
Essential: a complex arborizing papillary neoplasm with oncocytic epithelial features; location within a cystically dilated duct; examine carefully for an associated invasive carcinoma (30%). (NB: essentially all have HGD)
IHC: Diffusely EMA (MUC1) and MUC6 (+). MUC2 and MUC5AC (+) in goblet cells. Consistently Hep Par-1 (+)
Lacks the molecular alterations seen in ductal adenocarcinoma and IPMN)

Below: The cells have distinctive oncocytic cytoplasm and nuclei with single, prominent nucleoli. Intracellular lumina are also seen.

17
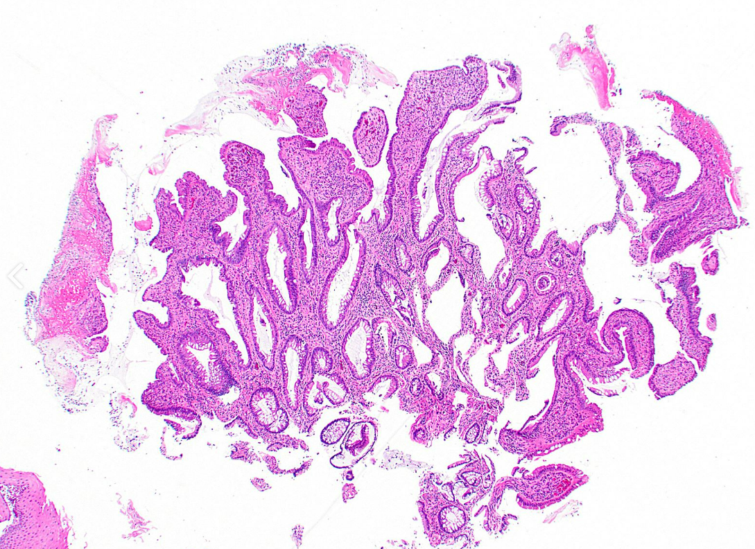
Q

75M rectal polyp

dx
Key features

A

Traditional serrated adenoma

The two most distinctive features of TSA are the slit-like serration, reminiscent of the narrow slits in the normal small intestinal mucosa, and the tall columnar cells with intensely eosinophilic cytoplasm and pencillate nuclei. Ectopic crypt formations, defined as epithelial buds not anchored to the muscularis mucosae, are always found along the sides of the villous projections of protuberant TSA, but they are rarely present in (and are not necessary for the diagnosis of) flat TSA { 26001333 }. Most TSAs contain only scattered goblet cells, although a mucin/goblet cell–rich TSA has been described { 28295534 }. An adjacent precursor polyp, either an MVHP, GCHP, or SSL, is found in as many as 50% of TSAs { 25589791 }. Like in SSL, areas of overt dysplasia can be found in TSA { 25216220 ; 24225759 ; 24603588 }. This superimposed dysplasia is described as either intestinal or serrated type

Below: note multiple ectopic crypt foci

18
Q

polyps and cancer progression

Describe the key genetic events and pathways from SSL and TSA to adenocarcinoma with associated genetic alterations

19
Q

colorectal adenocarcinoma

Discuss MSI/CIMP-high/low with respect to Tx and Px in CRC

20
Q

colorectal adenocarcinoma

Mucinous type,
Which IHC needs to be done?

A

BRAF V600 and MMR

21
Q

Relationship between CRC genetis and therapeutic implications

22
Q

Ampullary tumour. Dx?

Key features

A

Dx: gangliocytic paraganglioma

Key features:
Unencapsulated submucosal lesion
Triphasic, with epithelioid, spindle cell (Schwann cell-like) and ganglion type cells of varying proportions
May therefore resemble well differentiated neuroendocrine tumor, paraganglioma or ganglioneuroma
Variable stromal amyloid

23
Q

micro features of UC (active and chronic)

A

Untreated disease characteristically shows active chronic colitis
Features of chronicity include:
Crypt architectural distortion including crypt atrophy, irregular spacing and size of crypts, crypt shortening and crypt branching
Inflammatory expansion of the lamina propria with basal lymphoplasmacytosis
Paneth cell metaplasia or hyperplasia
Features of activity
Neutrophilic inflammation with cryptitis, crypt abscess or ulceration

24
Q

Key dx features of LAMN?

DDX and distinguishing features?

A

Essential : a filiform or villous mutinous epithelium with tall cytoplasmic mucin vacuoles and compressed bland nuclei or epithelial undulations/scalloping with columnar cells with nuclear pseudo stratification (the mucinous epithelium can also be monolayered and attenuated, with only mild atypic); a broad pushing margin; various degrees of extracellular mucin (with absent lymphoid tissue), fibrosis, hyalinisation, and calcification of the appendices wall. NB: can show loss of the lamina propria and muscular mucosal as well as mural fibrosis.

Ddx:
Ruptured diverticular disease of the appendix often shows mucin extrusion onto the appendix surface. Appendices with diverticular disease show mucosal alterations but maintained crypts separated by LP, maintained lymphoid tissue.
Serrated polyps typically maintain the mucosal architecture of the appendix and are not associated with mucin dissection through the wall or pseudomyoxma peritonea.
Mutinous adenocarcinoma shows at least focal destructive or infiltrative invasion characterised by pools of mucin with floating clusters or strips of epithelium, cribriform glands, or infiltrative glands with desk-plastic stromal response.