in COPD diagnosis, the FEV1/FVC ratio is ___ and the ___ decreases in proportion to the severity of emphysema, not sensitive for mild disease.
in COPD diagnosis, the FEV1/FVC ratio is REDUCED and the DLCO decreases in proportion to the severity of emphysema, not sensitive for mild disease.
is COPD obstructive or restrictive lung disease?
obstructive. in order to diagnose COPD, there must be FIXED airflow obstruction on spirometry; FEV1/FVC less than 0.7 or the lower limit of normal.
post bronchodilator FEV1 tells you severity of airflow obstruction.
DDx of COPD
there are intrathoracic and extrathoracic causes of chronic cough

which side of the heart has failure if a person has chronic cough
left heart failure. recall that “systemic” problems are more likely to be LS problems

risk facors for COPD

ourlint intrinsic and extrinsic airway fractors that create the COPD expiratory flow limitation
intrinsic factors: mucosal edema, inflammation, airway remodeling and secretions
extrinsic airway factors: reduced airway tethering form emphysema

is this COPD?

no. the post drug change is over 20% after bronchodilator. While it is obstructive, it’s probably asthma rathern than COPD
Is this COPD?

the FEV1/FVC ratio has to be less than .7. right now its 79. It’s restrictive lung disease– stiff lungs
Is this COPD?

Yes. Ratio below .7– indication obstruction. inspiratory curve is sloped
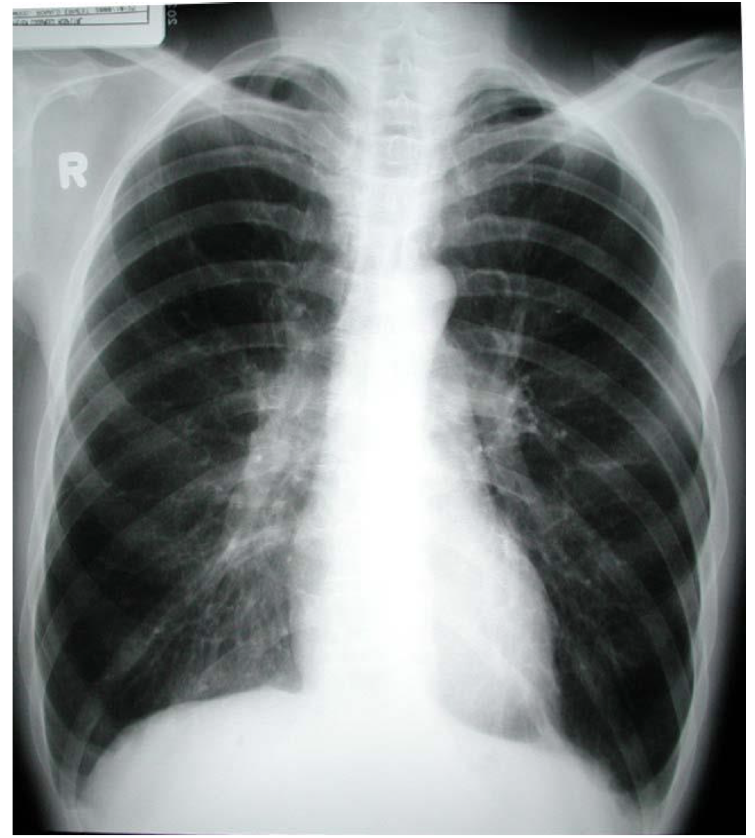
findings on chest X ray for COPD
– normal
– low flat diaphragms
– increased retrosternal airspace: check ribs anterior and posterior, and lateral xray
– low tapered heart shadow
– rapid tapering of the vessels with hyperlucency
of the lung – Usually characteristic changes on CXR in severe
COPD, 50% of the time in moderate COPD

T/F: COPD manifests small airway disease and parenchymal destruction
true.

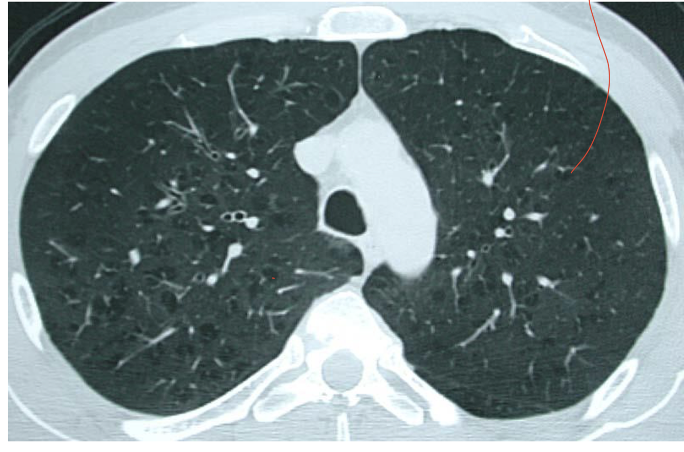
interpret CT scan

there are small little gas trapping asepcts. this is COPD. Emphysematous.
irreversible and reversible causes of airflow limitation

whats going on

chronic bronchitis theres lots of mucous gland pits

how does the dead space change in people with COPD
patients with COPD has a higher dead space.

determination of COPD severity:


comprehensive management of COPD
T/F pulmonary rehabilitation increases quality of life
true. improves exercise capacity and health related quality of life.

5 A’s of smoking cessation
mainstay of COPD steroids
pharmacotherapy: bronchodilators.
“They can reduce air trapping (hyperinflation) and dyspnea, and improve quality of life even if there
is no improvement in FEV1”