what is a pneumothroax
outward recoil of the rib cage and inward coil balance out and cause a __ pressure
Signs and symptoms

dx of pneumothorax
High degree of clinical suspicion
Chest X-ray
Ultrasound can be useful to rule out PTX in trained
hands CT can pick up some x-ray occult PTX
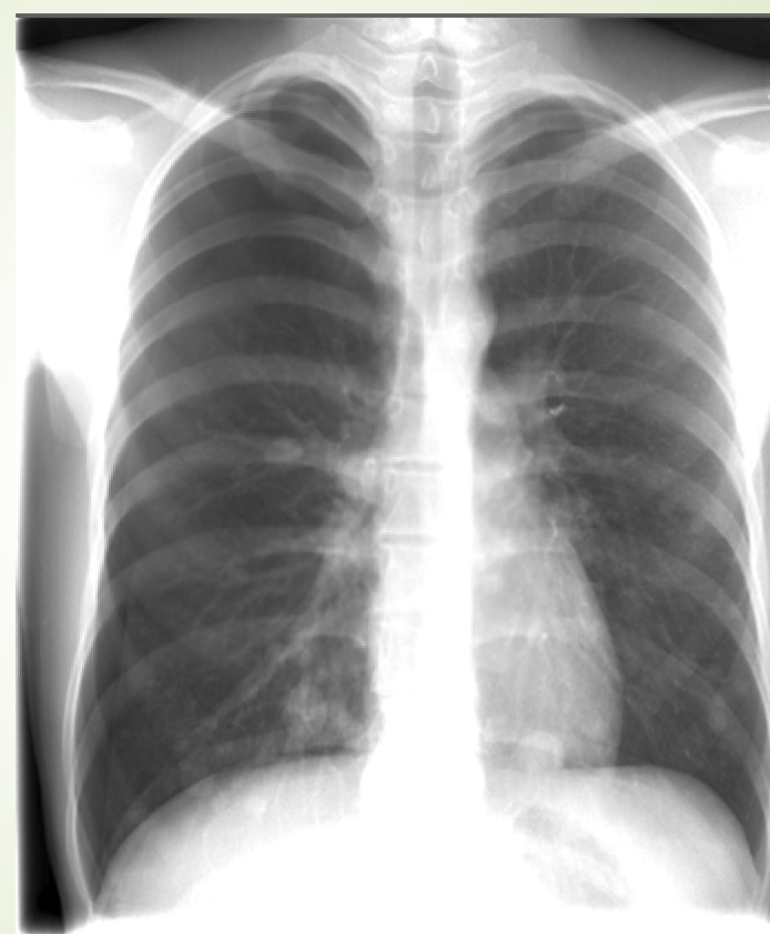
which lung has pneumothorax

the right one
primary vs secondary pneumothorax
pirmary: Occurring without preceding trauma or other cause and without underlying lung disease
Secondary pneumothorax:
-Pneumothorax that occurs in someone with underlying lung disease: eg. COPD, IPF
Higher morbidity and mortality than PSP

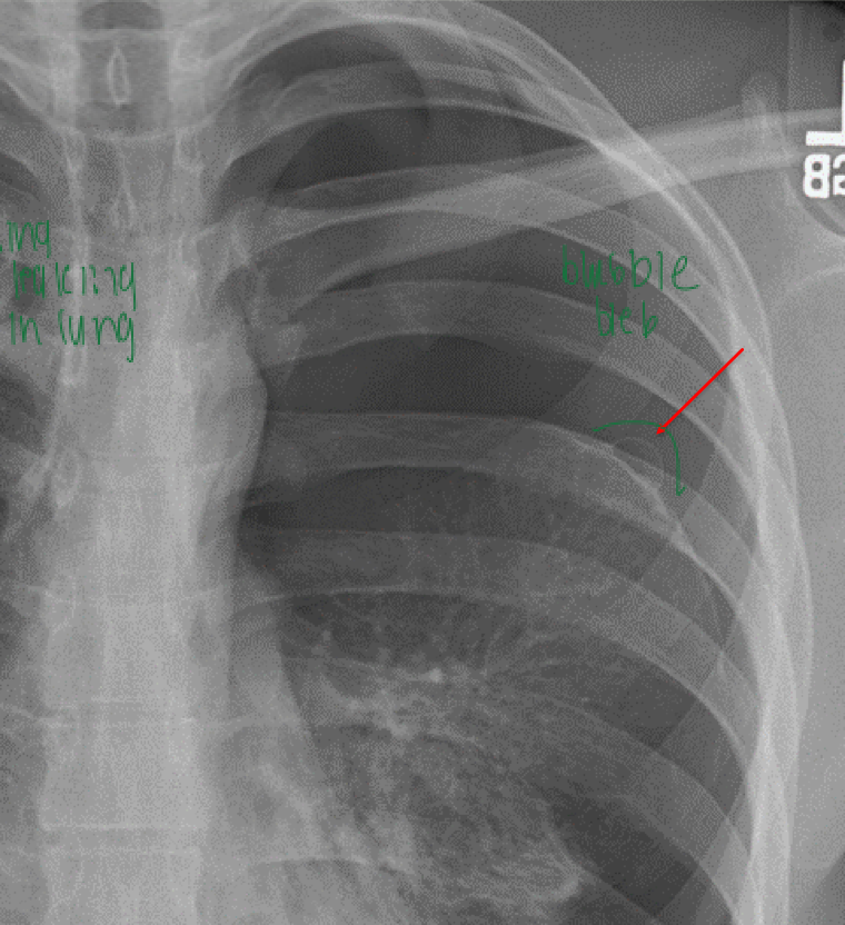
Rupture of apical sub-pleural bleb or
bullae
primary spontaneous PTX
risk factors for primary spontaneous pneumothorax
what is tension ptx
when pleural pressure exceeds atmospheric pressure leading to decreased venous return and decreased cardiac output

how does tension pneumothorax contribute to obstructive shock
because it decreases venous return –> decreases Cardiac output –> decreases BP CAUSES OBSTRUCTIVE SHOCK

you will tracheal deviation to the ____ side in a tension pneumothorax
contralateral.
management of tension pneumo
this is a medical emergency
Medical emergency!!!
• Decompression!!!
• Large bore needle 2nd intercostal space, mid clavicular line
• Chest tube + water seal
when should you treat a ptx?
does every ptx need a chest tube?
no.◼ PSP patients who are not breathless and have a
small pneumothorax (<2 cm between lung and
chest wall) can be discharged with early
outpatient follow up
IN TERMS OF CHEST TUBE INSERTION SITE
Anterior – mid-clavicular, ____ intercostal space
Lateral – Mid-axillary,____intercostal space
Anterior – mid-clavicular, 2nd intercostal space
Lateral – Mid-axillary, 4-6th intercostal space
how do you know a chest tube is working (it should have a water seal so that air cannot leak back into lungs)
When inserted you should see
Bubbles in the water seal container
(air being drained from the pleural space)
Fluctuations in the water seal container
(representing fluctuations in pleural pressure with respiration)
to prevent recurrence of ptx, it’s important to mitigate risk factors like quitting smoking. What types of pleurodesis options are there

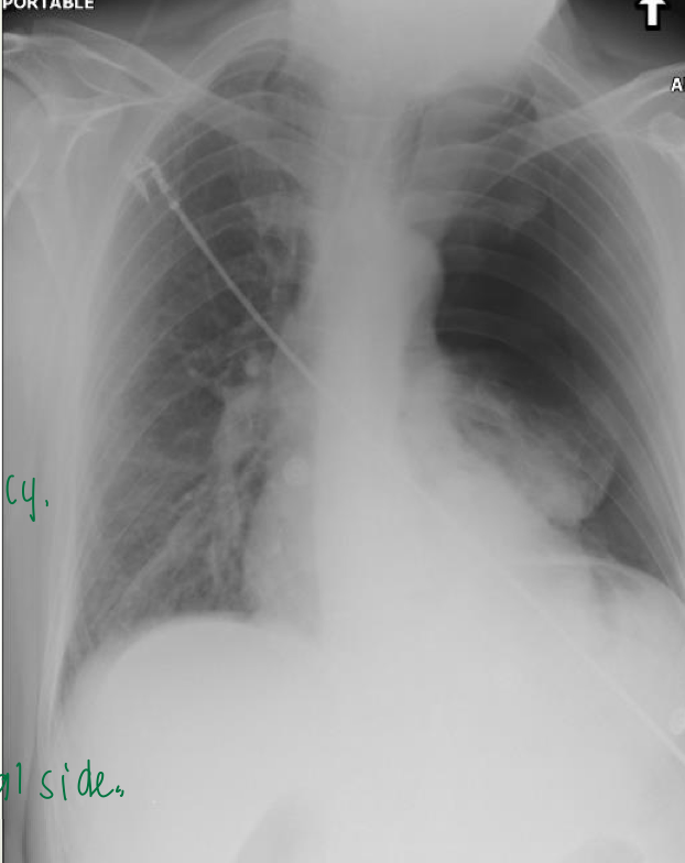
Hemodynamically
unstable, 35 yo
male with sudden
onset dyspnea and
chest pain 3 hours
ago.
what’s going on?

this is a major pneumothorax ont he left hand side. there is a completely black lung and hilum cannot be seen on left side. there is also a tracheal shift to the contralateral side. this is a tension pneumo