

Type of respiraotyr epithelium?


• Tachycardic, Hypertensive,
other Vitals normal • No H&N adenopathy • Normal Resp exam • Normal CV exam • No abdominal
organomegaly, tenderness at
right CV angle

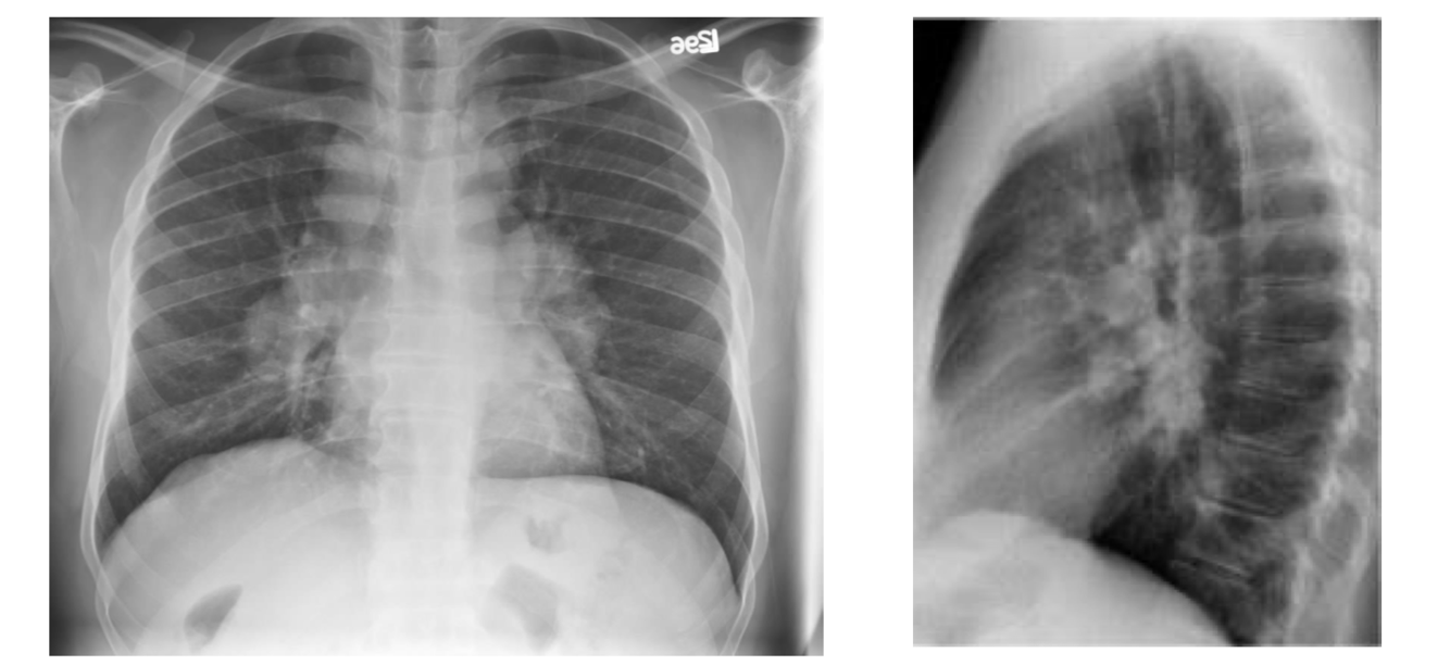
I see bilateral hilar enlargement. could be lymphoma, sarcoidosis, environmental factors could point to nodules from silicosis or something.
• 45M presents with renal colic, his second presentation in the
last month
Profile
• Previously healthy, never smoker
• Owns an autobody shop
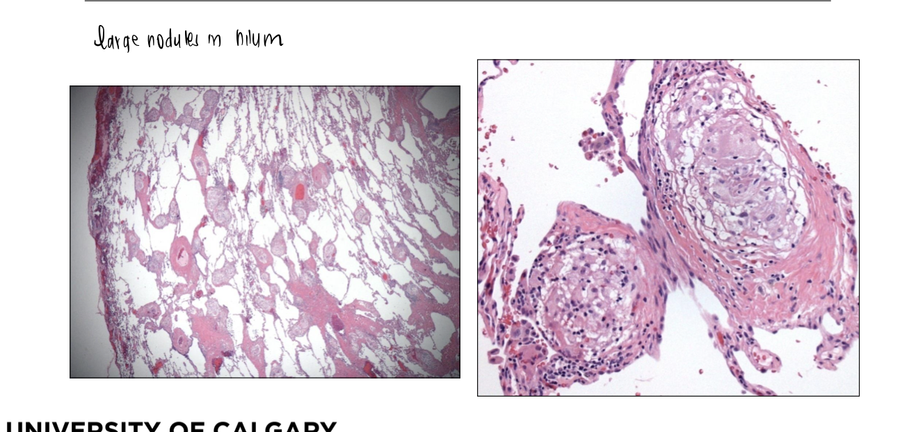
Xray shows bilateral hilar enlargement, and biopsy shows this:

Sarcoidosis presents with non-necrotizing granulomas

causes of non-nectrotizing Granulomatous Inflammation

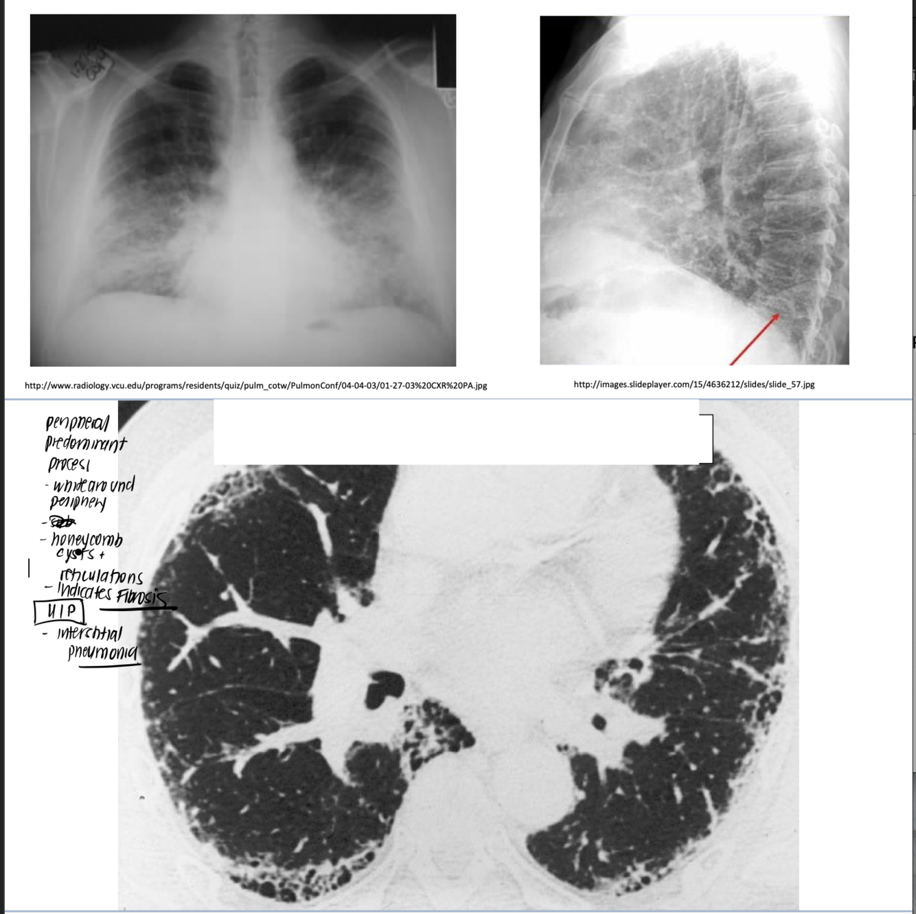
75M with progressive dyspnea/cough for 6 months
• Hypertension, 20pack-yr ex-smoker
• No history of CTD/malignancies/cardiac disease
• Retired librarian
• Meds: HCTZ. No allergies
Vitals normal • No H&N adenopathy • Resp exam: bibasilar crackles • Normal CV exam, clubbing on fingers.
• No signs hypervolemia
• Hgb 190 (N Indices), Platelets 185, WBC 8.0 (N Diff)
• Electrolytes/Renal Function
• Na 135, K 4.0, Cl 95, HCO3 25, Creatinine 70 (eGFR 75) • Calcium 2.35
• Liver Function Tests
• ALT 25, Bili 12, Albumin 40

75M with progressive dyspnea/cough for 6 months
• Hypertension, 20pack-yr ex-smoker
• No history of CTD/malignancies/cardiac disease
• Retired librarian
• Meds: HCTZ. No allergies
Vitals normal • No H&N adenopathy • Resp exam: bibasilar crackles • Normal CV exam, clubbing on fingers.
• No signs hypervolemia
• Hgb 190 (N Indices), Platelets 185, WBC 8.0 (N Diff)
• Electrolytes/Renal Function
• Na 135, K 4.0, Cl 95, HCO3 25, Creatinine 70 (eGFR 75) • Calcium 2.35
• Liver Function Tests
• ALT 25, Bili 12, Albumin 40

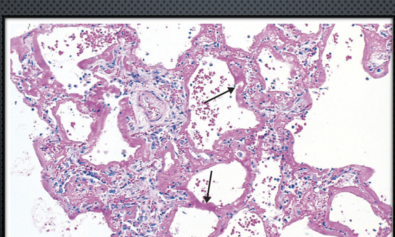
thick fibrosis on the periphery of the lung.
• ILD encompass a complex group of diseases
• Idiopathic Pulmonary Fibrosis
characteristic clinical/radiological presentation • New drugs available! (a disease with a poor prognosis)
Correct Diagnosis of ILD very Important (usually requires Path)
• Most common ILD • Characteristic pathology can confirm the diagnosis
• Some cases can be diagnosed with a very

distribution of honeycomb lung for UIP

UIP encompasses which diseases

• 60F with small-volume hemoptysis for 2 weeks, has had a
worsened headache for the last week • Profile
• Current 40pack-yr smoker • Current waitress • Meds/Allergies: none
• Vitals normal • ?Left supraclavicular
lymphadenopathy • Resp exam: hyperinflation • Normal CV exam • No abdo organomegaly
• CBC
• Hgb 150 (N Indices), Platelets 285, WBC 9.0 (N Diff)
• Electrolytes/Renal Function
• Na 133, K 4.0, Cl 95, HCO3 28, Creatinine 80 (eGFR 75) • Calcium 2.35
• Liver Function Tests
• ALT 55, Bili 18, Albumin 30
Mild Liver Enzyme Abnormalities
ddx?

tuberculosis with tuberoma
• 60F with small-volume hemoptysis for 2 weeks, has had a
worsened headache for the last week • Profile
• Current 40pack-yr smoker • Current waitress • Meds/Allergies: none
• Vitals normal • ?Left supraclavicular
lymphadenopathy • Resp exam: hyperinflation• Normal CV exam • No abdo organomegaly
• CBC
• Hgb 150 (N Indices), Platelets 285, WBC 9.0 (N Diff)
• Electrolytes/Renal Function
• Na 133, K 4.0, Cl 95, HCO3 28, Creatinine 80 (eGFR 75) • Calcium 2.35
• Liver Function Tests
• ALT 55, Bili 18, Albumin 30
Mild Liver Enzyme Abnormalities


what type of cancer?
Squamous cell carcinoma


Squamous cell carcinoma

Adenocarcinoma
F>M


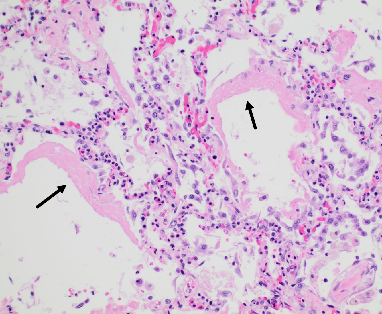
what is being depicted in this slide

hyalination and white blood cell s

conditions associated with ards

3 stages of ARDS


phase of ARDS?


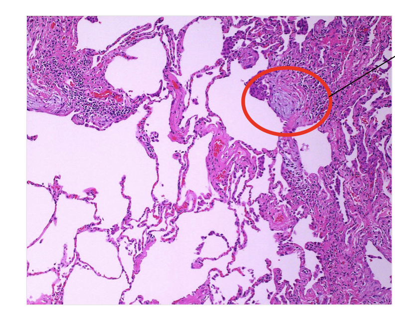
honey comb lung, usually indicates ILD– fibrosis
65yo f

main risk factors associated with emphysema
there are three morphologic subtypes of emphysema based on their relationship to the secondary pulmonary lobule. what are they?
2. panlobular (emphysema); affects entire secondary pulmonary lobule. most pronounces in the lower zones. associated with alpha 1 antitrypsin deficiney.
3. paraseptal emphysema; usually located adjacent to the pleural surfaces (including pleural fissues)– aka a more peripheral emphysema. associated with smoking and can lead to the formation of a sub pleural bullae and spontaneous pneumothorax