


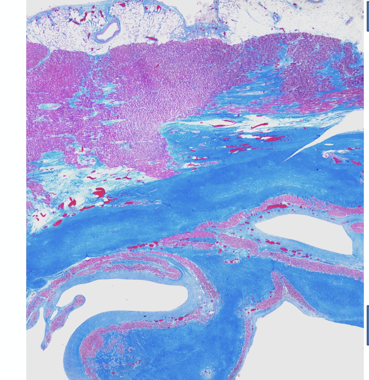
outline the histologic evolution of nonreperfused MI
within the first 24 hours, hypereosinophilia occurs– after a dew days- weeks, fibroblasts and collagen strands start to get deposited.

myocardium gets stained blue, which indicates a ___ infarct
a remote infarct. Fibrosis happens after a few days-weeks, the infarct happened a little while ago.



cardiomyopathy can be primary or secondary, and has 3 major categories

for Dilated Cardiomyopathy:
Impaired contractility = ____ dysfunction
for Dilated Cardiomyopathy:
Impaired contractility = systolic dysfunction
Which ventricle has dilated cardiomyopathy

RV
Outline the hypertrophic cardiomyopahty etiology
it’s 100% genetic.

T/F hypertrophic cardiomyopathy is the same as left ventricular hypertrophy due to hypertension
false. HC is genetic and there is no dilation, unlike LVHH– there is some dilation, and it’s due to a pathology
dilated cardiomyopathy:
impaired contractility= ___ dysfunction
hypertrophic cardiomyopahty:
impaired compliance = ____ dysfunction
restrictive cardiomyopathy:
impaired compliance = ___ dysfunction
dilated cardiomyopathy:
impaired contractility= SYSTOLIC dysfunction
hypertrophic cardiomyopahty:
impaired compliance = DIASTOLIC dysfunction
restrictive cardiomyopathy:
impaired compliance = DIASTOLIC dysfunction
which aspect of the heart is dilated in restrictive cardiomyopathy?
normal size ventricles but atria are often dilated.

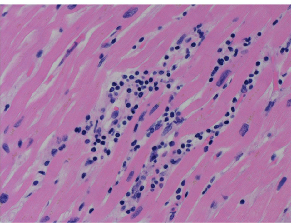
what is myocarditis and how is it classified?
inflammation of the myocardium

in lymphocyte myocarditis, you can see ___ ___. Outline some etiologies.
myocyte necrosis; clusters of lymphocytes in the myocardium.
Etiologies include: idiopathic, viral/post viral, autoimmune, drugs.

Rheumatic heart diseases causes dysfunction of the ___
valves.

most common cardiac tumor
cardiac myxoma is the most common cacrdiac tumor.
which aspect of the heart is affected most frequently by cardiac myxoma?
LA>RA.
