Parotid gland
a major salivary gland in many animals. In humans, the two parotid glands are present on either side of the mouth and in front of both ears. They are the largest of the salivary glands.

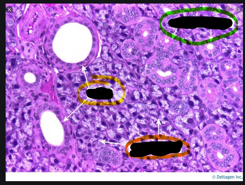
Parotid gland (histo)
YELLOW - parotid ducts
GREEN - mucous acini
RED - serous acini

Submandibular gland
submandibular glands are paired major salivary glands that lie in the submandibular triangle. The glands have a superficial and deep lobe separated by the mylohyoid muscle

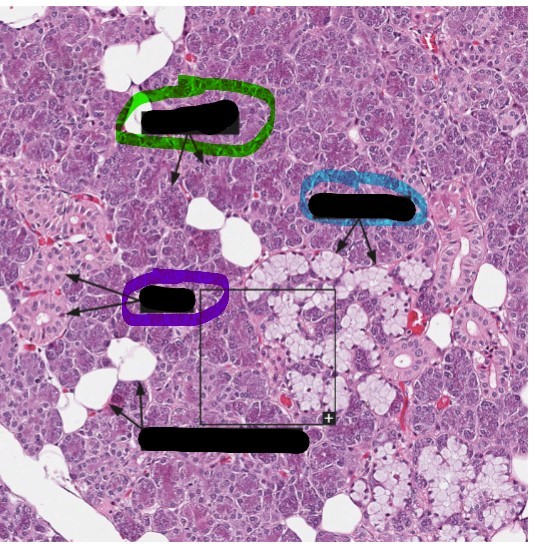
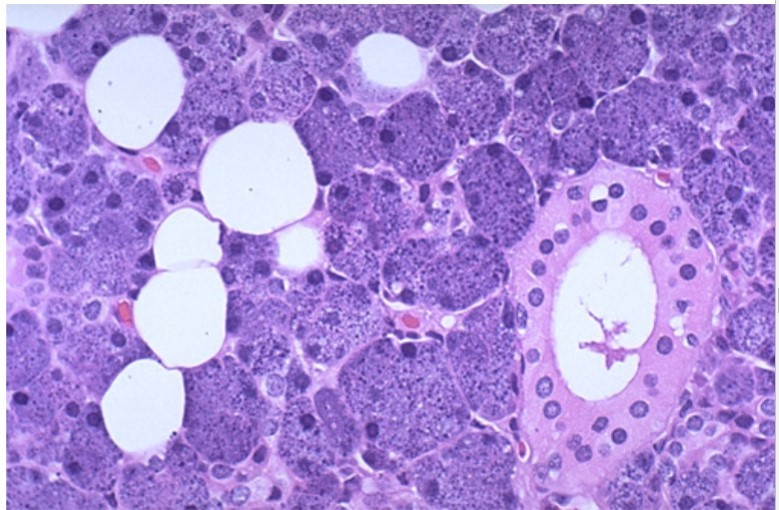
Submandibular gland (histo)
GREEN - serous acini
BLUE - mucous acini
PURPLE - submandibular ducts

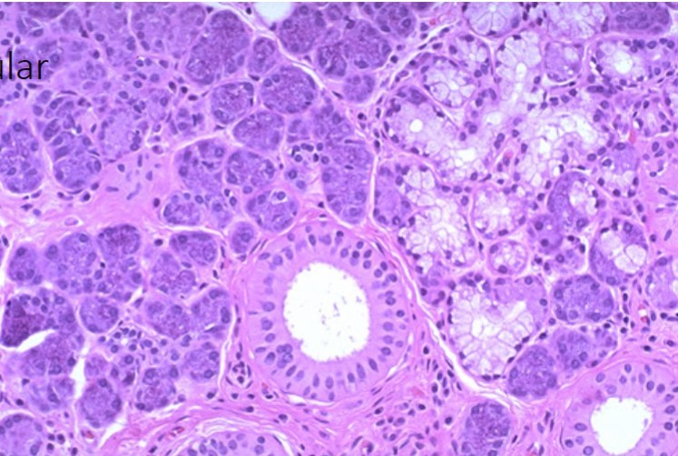
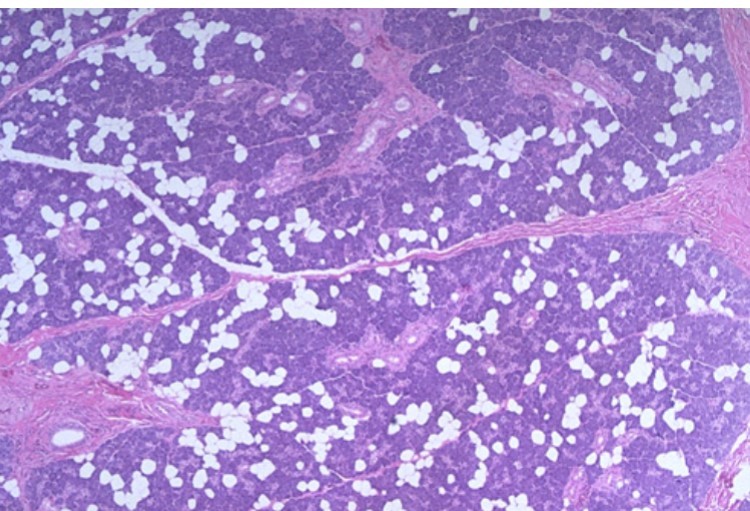
Submandibular gland (histo)

Submandibular gland (histo)

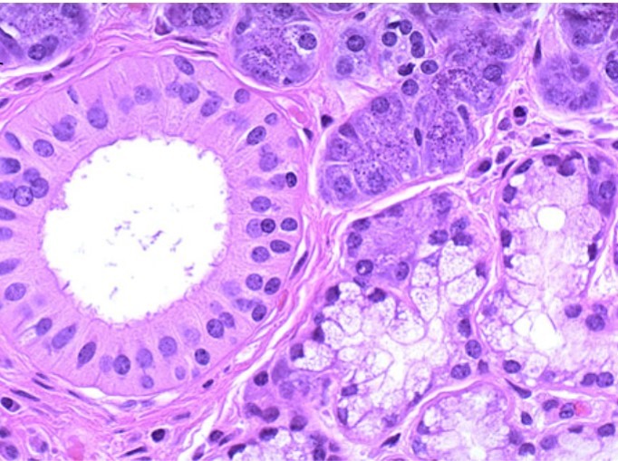
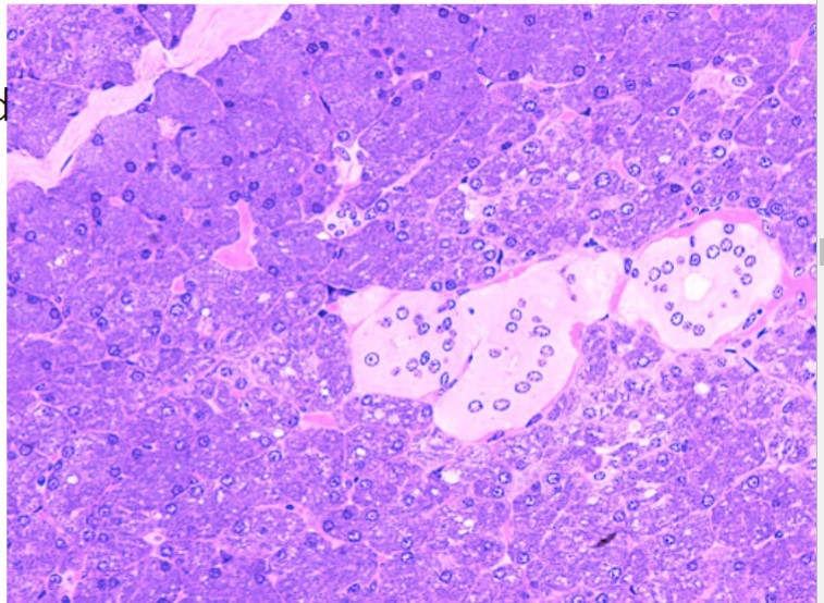
Parotid gland (histo)

Parotid gland (histo)

Parotid gland (histo)

Parotid gland (histo)

Sublingual gland
smallest of the three major salivary glands, which also include the parotid and submandibular glands. The sublingual gland lies between the muscles of the oral cavity floor, which include the geniohyoid muscle, hyoglossus muscle medially, and the mylohyoid muscle inferiorly

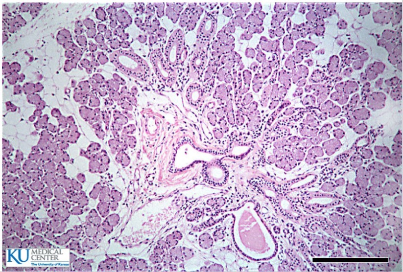
Sublingual gland (histo)

Oral cavity - Labia
The lips

Oral cavity - Labial frenulum
connects the upper lip to the gum tissue just above your two front teeth

Oral cavity - Vestibule
The horseshoe-shaped vestibule is situated anteriorly. It is the space between the lips/cheeks, and the gums/teeth.

Oral cavity - Hard palate
horizontal bony plate that makes a subsection of the palate of the mouth. It makes the anterior two-thirds of the roof of the oral cavity. The hard palate is made of two facial bones: palatine process of the maxilla and paired palatine bones.

Oral cavity - Soft palate
the muscular part at the back of the roof of the mouth. It sits behind the hard palate, which is the bony part of the roof of the mouth. The palates play important roles in swallowing, breathing, and speech

Oral cavity - Uvula
little fleshy part that hangs down from the soft palate of your mouth, and one of its purposes is to stop food from going up your nose when you swallow.

Oral cavity - Palatoglossal arch
the more anterior of the two ridges of soft tissue at the back of the mouth on each side that curves downward from the uvula to the side of the base of the tongue forming a recess for the palatine tonsil as it diverges from the palatopharyngeal arch

Oral cavity - Palatopharyngeal arch
larger and projects farther toward the middle line than the palatoglossal arch; it runs downward, lateralward, and backward to the side of the pharynx, and is formed by the projection of the palatopharyngeal muscle

Incisors
front teeth present in most mammals. They are located in the premaxilla above and on the mandible below. Humans have a total of eight (two on each side, top and bottom).

Canines
also called dog teeth, fangs, cuspids or (in the context of the upper jaw) eye teeth, are the relatively long, pointed teeth. They can appear more flattened however, causing them to resemble incisors and leading them to be called incisiform.

Premolars
bicuspids, are transitional teeth located between the canine and molar teeth. In humans, there are two premolars per quadrant in the permanent set of teeth, making eight premolars total in the mouth. They have at least two cusps.

Molars
. Molars are the biggest of all the teeth. They have a large, flat surface with ridges that allow them to chew food and grind it up. Adults have 12 permanent molars — six on the bottom and top jaw
