Scrotum
a part of the external male genitalia located behind and underneath the penis. It is the small, muscular sac that contains and protects the testicles, blood vessels, and part of the spermatic cord

Testis
male reproductive gland or gonad in all animals, including humans. It is homologous to the female ovary. The functions of the testes are to produce both sperm and androgens, primarily testosterone.

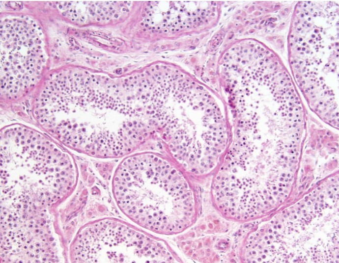
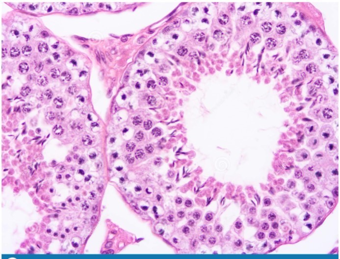
Testis (histo)

Testis (histo)

Testis (histo)
GREEN - seminiferous tubule
BLUE - leydig cells: produce testosterone in presence of luteinizing hormone

Testis (histo)
Sertoli cell: controlled by folicle stimulating hormone; synthesizes 60 various proteins for sperm production

Epididymis - head, body, tail
A - HEAD
B - BODY
C - TAIL
a highly convoluted duct behind the testis, along which sperm passes to the vas deferens.

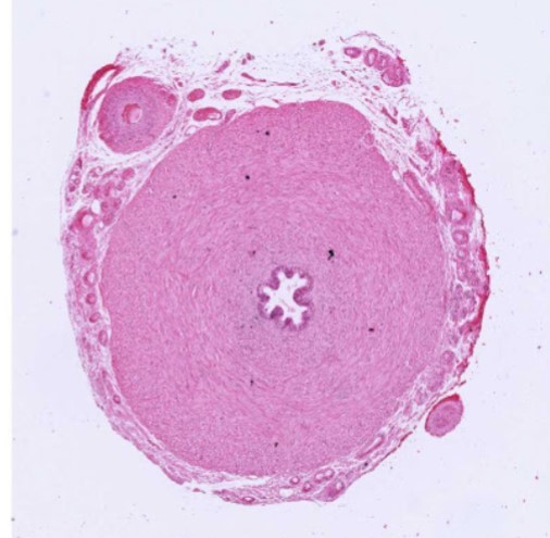
Ductus deferens
a tiny muscular tube in the male reproductive system that carries sperm from the epididymis to the ejaculatory duct. There is a pair of these ducts in the male body, with one duct carrying sperm from each testis to the left and right ejaculatory ducts

Ductus deferens ampulla
Each ductus deferens ends in an enlarged portion, an ampulla, which acts as a reservoir.

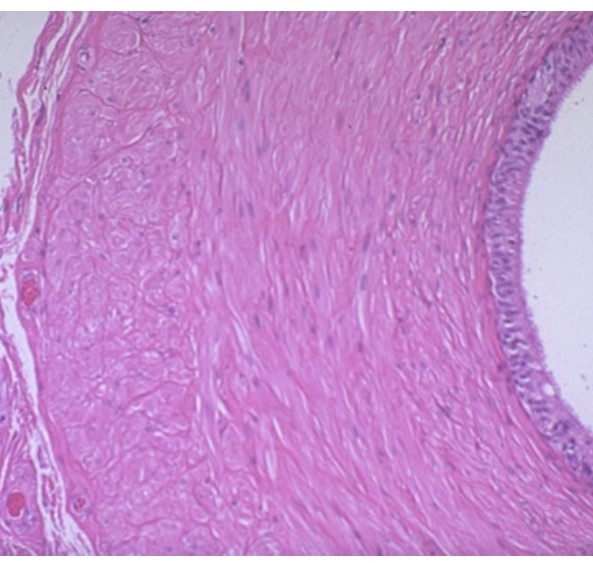
Ductus deferens (histo)
identify tissue type:
Epithelium
Muscularis
Adventitia

Ductus deferens (histo)

Ductus deferens (histo)

Ejaculatory duct
formed by the union of the vas deferens with the duct of the seminal vesicle. They pass through the prostate, and open into the urethra at the seminal colliculus. During ejaculation, semen passes through the prostate gland, enters the urethra and exits the body via the urinary meatus.

Prostate gland
a walnut-sized gland located between the bladder and the penis. The prostate is just in front of the rectum. The urethra runs through the center of the prostate, from the bladder to the penis, letting urine flow out of the body. The prostate secretes fluid that nourishes and protects sperm

Seminal vesicles
a pair of glands found in the male pelvis, which function to produce many of the constituent ingredients of semen. They ultimately provide around 70% of the total volume of semen.

Bulbourethral glands
a pair of pea shaped exocrine glands located posterolateral to the membranous urethra. They contribute to the final volume of semen by producing a lubricating mucus secretion.

Urethra
the duct by which urine is conveyed out of the body from the bladder, and which in male vertebrates also conveys semen.

3 Parts of urethra
BLUE - prostatic
GREEN - membranous
RED - penile/spongy

External urethral orifice
the external opening or urinary meatus, normally located at the tip of the glans penis, at its junction with the frenular delta.

internal urethral sphincter
smooth muscle
a urethral sphincter muscle which constricts the internal urethral orifice. It is located at the junction of the urethra with the urinary bladder and is continuous with the detrusor muscle, but anatomically and functionally fully independent from it.

External urethral sphincter
skeletal muscle
The more inferiorly located external urethral sphincter surrounds the membranous or intermediate part of the urethra. It is formed from skeletal muscle and therefore is under voluntary control

Penis - Body
extends from the root to the ends of the corpora cavernosa penis, and in it these corpora cavernosa are intimately bound to one another with a dorsally fenestrated septum which becomes a complete one before penile crura

Penis - Glans penis
the rounded head (or tip) of the penis. Located in the middle of the glans penis is the opening of the urethra, the tube through which semen and urine exits the body.

Penis - Prepuce (foreskin)
double-layered fold of smooth muscle tissue, blood vessels, neurons, skin, and mucous membrane part of the penis that covers and protects the glans penis and the urinary meatus.[1] The foreskin is mobile, fairly stretchable, and acts as a natural lubricant
