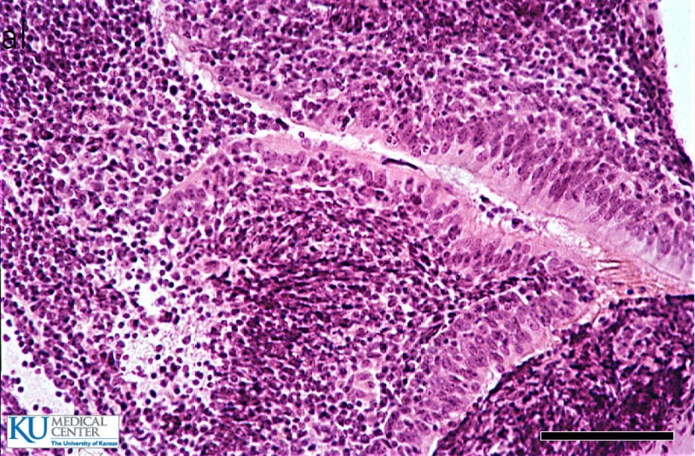
Palatine Tonsils
a pair of soft tissue masses located at the rear of the throat (pharynx). Each tonsil is composed of tissue similar to lymph nodes, covered by pink mucosa (like on the adjacent mouth lining).

Palatine Tonsils (Histology)

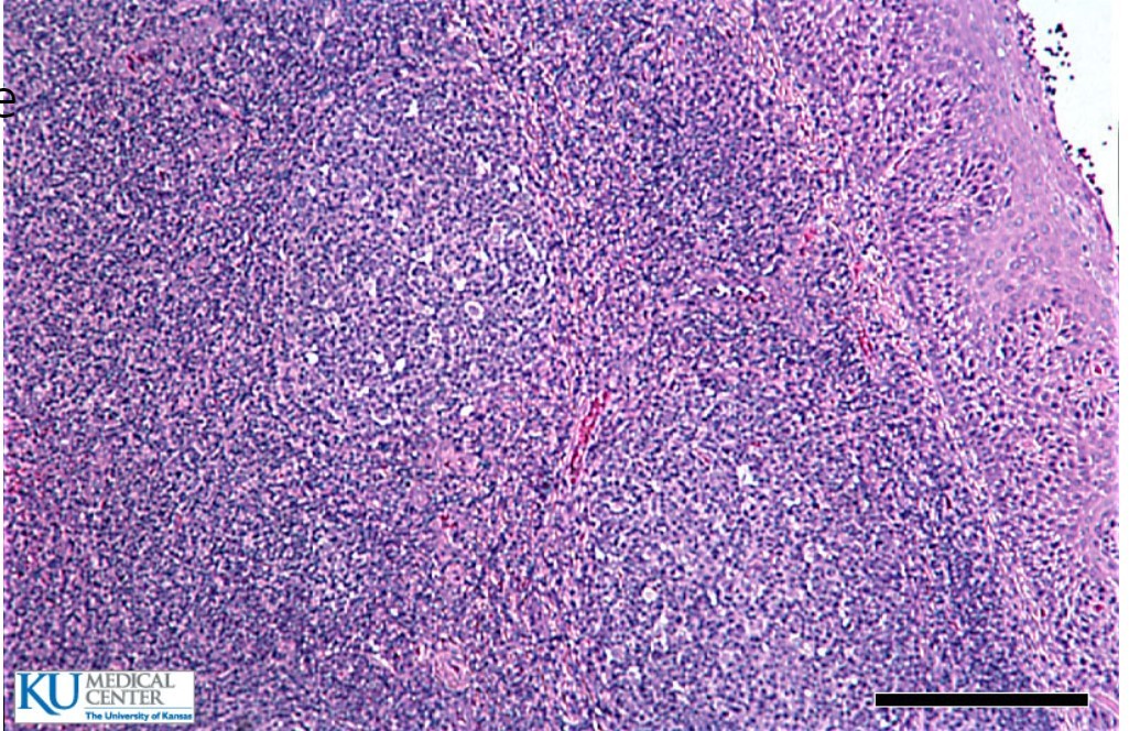
Lingual Tonsils
a collection of lymphatic tissue located in the lamina propria of the root of the tongue. This lymphatic tissue consists of the lymphatic nodules rich in cells of the immune system (immunocytes).

Lingual Tonsils (Histology)

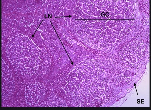
Palatine Tonsils (Histology)

Lingual Tonsils (Histology)

Palatine Tonsils (Histology)

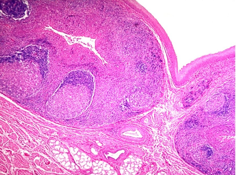
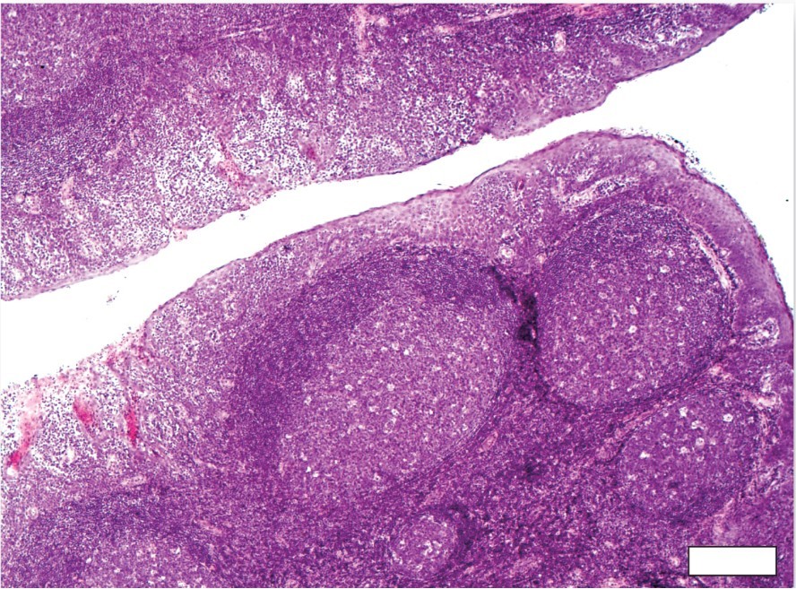
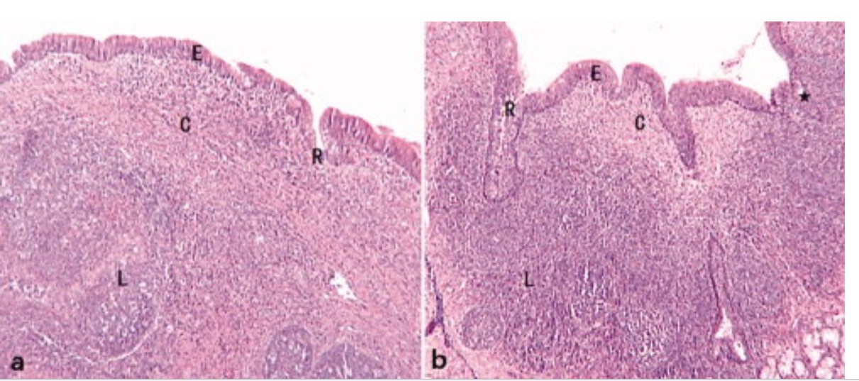
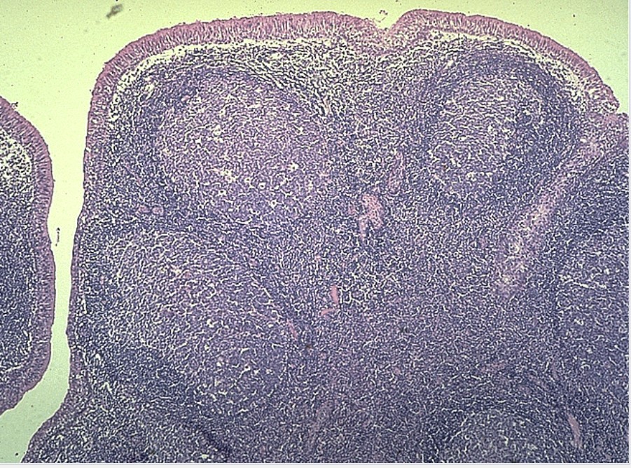
Pharyngeal Tonsils
a mass of lymphatic tissue, similar to the (palatine) tonsils, that is attached to the back wall of the nasal pharynx (i.e., the upper part of the throat opening into the nasal cavity proper).

Pharyngeal Tonsils (Histology)

Pharyngeal Tonsils (Histo)

Pharyngeal Tonsils (Histo)

Pharyngeal Tonsils (Histo)

Tubal Tonsils
lymphoid tissue around the opening of the Eustachian tube in the lateral wall of the nasopharynx. They form the lateral aspect of the Waldeyer’s ring. The epithelial covering of the tubal tonsils is ciliated pseudostratified epithelium.

Thymus
a specialized primary lymphoid organ of the immune system. Within the thymus, Thymus cell lymphocytes or T cells mature. T cells are critical to the adaptive immune system, where the body adapts specifically to foreign invaders.

Thymus (Trabeculae)

Thymus (Lobules with Cortex + Medulla)

Spleen
an organ found in virtually all vertebrates. Similar in structure to a large lymph node, it acts primarily as a blood filter.

Spleen (Red Pulp)

Spleen (White Pulp)

Cervical Lymph Node
lymph nodes found in the neck

Inguinal Lymph Nodes
lymph nodes in the groin area

Axillary Lymph Nodes
a group of lymph nodes in the axilla and receive lymph from vessels that drain the arm, the walls of the thorax, the breast and the upper walls of the abdomen.

Afferent + Efferent Lymph Node Vessels
Acknowledge afferent + efferent transport

Lymph Node (Capsule)
