Pituitary gland (Hypophysis)
a small pea-sized gland that plays a major role in regulating vital body functions and general wellbeing. It is referred to as the body’s ‘master gland’ because it controls the activity of most other hormone-secreting glands.

Adrenohypophysis
the anterior part of the pituitary gland that is derived from the embryonic pharynx and is primarily glandular in nature. — called also anterior lobe, anterior pituitary

Thyroid stimulating hormone (TSH), metabolic rate
Adrenocorticotropic hormone (ACTH)-signals adrenal cortex to release stress hormones (glucocorticoids)
Follicle-stimulating hormone (FSH)
Luteinizing Hormone (LH)
Growth Hormone (GH) (a.k.a. somatotropic hormone/ somatotropin)-body growth
Prolactin (milk production)
Melanocyte-stimulating hormone (MSH)-darkens skin; only in fetus.

What are the 7 hormones secreted by the anterior pituitary?
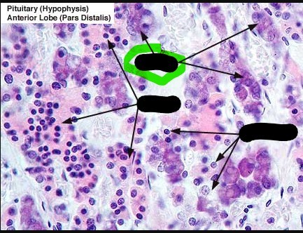
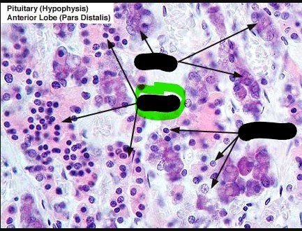
Anterior Pituitary (Basophils)

Anterior Pituitary (Acidophiles)

Anterior Pituitary (Chromophobes)

Anterior Pituitary (Infundibulum)

Neurohypophysis
the posterior lobe of the hypophysis (pituitary gland), which stores and releases oxytocin and vasopressin produced in the hypothalamus.

Antidiuretic hormone (ADH; a.k.a. vasopressin)-targets kidneys and arterioles to regulate fluid volume and blood pressure
Oxytocin-uterine contraction and milk secretion
What two hormones are secreted by the posterior pituitary?
Thyroid Gland
a butterfly-shaped organ located in the base of your neck. It releases hormones that control metabolism—the way your body uses energy.

Thyroid Gland (Lateral lobes)

Thyroid Gland (Isthmus)

Thyroid Gland (Follicular cells)
thyroid hormones thyroxine (T4) and triiodothyronine (T3).
What hormone is secreted?

Thyroid Gland (Parafollicular cells)
Calcitonin-depresses blood calcium levels (via osteoclasts and kidney function).

Thyroid Gland (Colloid Filled Follicles)

Parathyroid glands
release parathyroid hormone (PTH) which controls the calcium levels in the blood stream.
four small glands of the endocrine system which regulate the calcium in our bodies. Parathyroid glands are located in the neck behind the thyroid where they continuously monitor and regulate blood calcium levels
what hormone is secreted here?

Pancreas (Tail)

Pancreas
an organ located in the abdomen. It plays an essential role in converting the food we eat into fuel for the body’s cells. The pancreas has two main functions: an exocrine function that helps in digestion and an endocrine function that regulates blood sugar.

Pancreas (Head)

Pancreas (Body)

Pancreas (Islet)

Pineal Body
secretes melatonin
endocrine gland found in vertebrates that is the source of melatonin, a hormone derived from tryptophan that plays a central role in the regulation of circadian rhythm
What hormone is secreted here?

Adrenal glands
small glands located on top of each kidney. They produce hormones that you can’t live without, including sex hormones and cortisol

Adrenal glands (Adrenal cortex)
produces hormones that are vital to life, such as cortisol (which helps regulate metabolism and helps your body respond to stress) and aldosterone (which helps control blood pressure).
What hormone is secreted here?
