Kidney
two bean-shaped organs found in vertebrates. They are located on the left and right in the retroperitoneal space, and in adult humans are about 12 centimetres (4 1⁄2 inches) in length. They receive blood from the paired renal arteries; blood exits into the paired renal veins.

Kidney - Renal capsule
a tough fibrous layer surrounding the kidney and covered in a layer of perirenal fat known as the adipose capsule of kidney. The adipose capsule is sometimes included in the structure of the renal capsule. It provides some protection from trauma and damage.

Kidney - Hilus/Hilum
an indentation in the surface of a kidney, spleen, or other organ, where blood vessels, ducts, nerve fibers, etc. enter or leave it.

Kidney - Renal artery and vein
The renal artery enters through the hilum, which is located where the kidney curves inward in a concave shape. Under normal circumstances, once the renal artery enters through the hilum, it splits into two main branches, which each then split into numerous smaller arteries, which deliver blood to different areas of the kidneys, known as nephrons.
There are two renal veins, a left and a right. They branch off the inferior vena cava and drain oxygen-depleted blood from the kidneys.

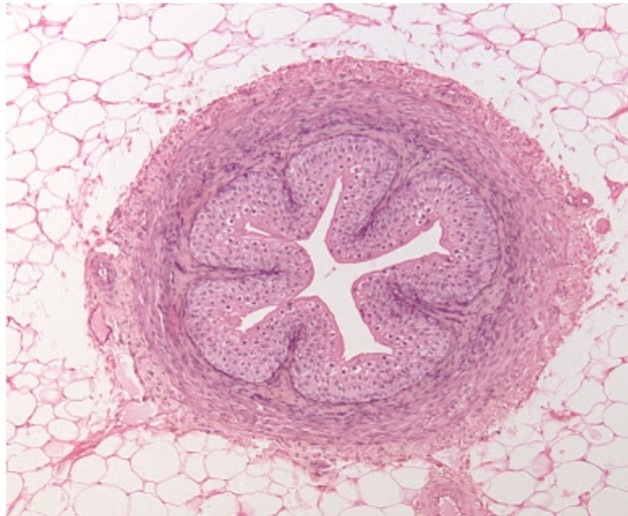
Ureter
the duct by which urine passes from the kidney to the bladder or cloaca.

Ureter (histo)

Ureter (histo)

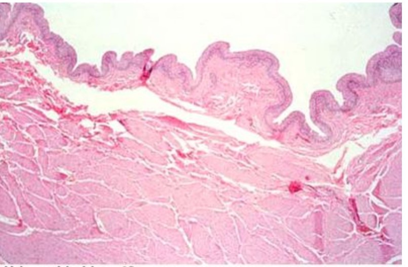
Ureter mucosa (histo)

Urinary bladder
a hollow muscular organ in humans and other vertebrates that stores urine from the kidneys before disposal by urination.

Urinary bladder - Detrusor muscle
smooth muscle found in the wall of the bladder. The detrusor muscle remains relaxed to allow the bladder to store urine, and contracts during urination to release urine.

Urinary bladder - Trigone
a triangular region or tissue, particularly the area at the base of the urinary bladder, between the openings of the ureters and urethra.

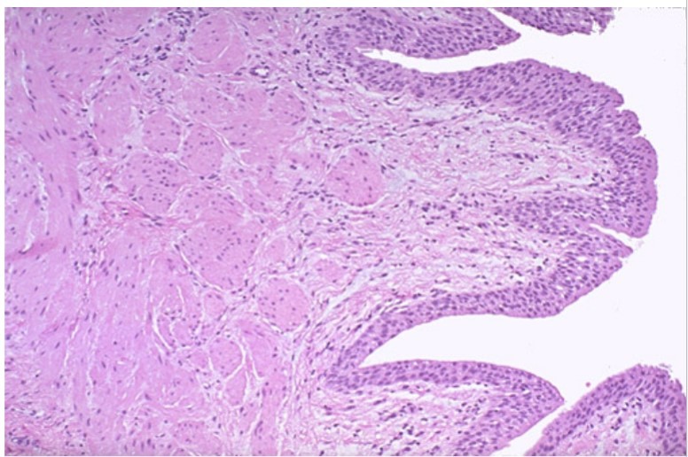
Urinary bladder (histo)

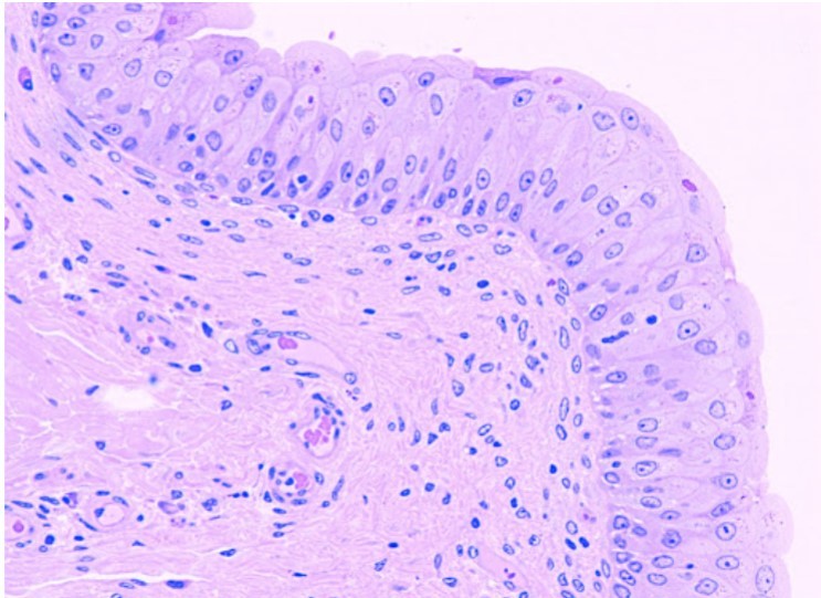
Urinary bladder mucosa (histo)

Urinary bladder mucosa (histo)

Urethra
a tube that connects the urinary bladder to the urinary meatus for the removal of urine from the body of both females and males

Urethra - Internal urethral sphincter
a urethral sphincter muscle which constricts the internal urethral orifice. It is located at the junction of the urethra with the urinary bladder and is continuous with the detrusor muscle, but anatomically and functionally fully independent from it.
involuntary smooth muscle

Urethra - External urethral sphincter
more inferiorly located external urethral sphincter surrounds the membranous or intermediate part of the urethra. It is formed from skeletal muscle and therefore is under voluntary control. In their resting state, both sphincters compress or close the urethra, providing urinary continence
voluntary skeletal muscle

Urethra - Prostatic urethra
the part of the urethra that passes through the prostate. It is about 3-4 cm long and extends from the base of the bladder, just below the pre-prostatic urethra, to the membranous part of the urethra.

Urethra - Membranous urethra
intermediate part of male urethra is the shortest, least dilatable, and, with the exception of the urinary meatus, the narrowest part of the urethra.

Urethra - Spongy/penile urethra
the longest part of the male urethra, and is contained in the corpus spongiosum of the penis.

Internal Kidney - Cortex
the outer part of the kidney. It contains the glomerulus and convoluted tubules. The renal cortex is surrounded on its outer edges by the renal capsule, a layer of fatty tissue

Internal kidney - Medulla
the inner region of the parenchyma of the kidney. The medulla consists of multiple pyramidal tissue masses, called the renal pyramids, which are triangle structures that contain a dense network of nephrons.

Medulla - Renal pyramids
kidney tissues that are shaped like cones

Medulla - Renal columns
a medullary extension of the renal cortex in between the renal pyramids. It allows the cortex to be better anchored
