Hair root
portion of hair deep to the skin surface

Eccrine gland
also known as merocrine sweat glands; produce nonviscious, watery secretion - controlled by nervous system and provide some antibacterial protection; function in thermoregulation and excretion; flush surface of epidermis
distirbuted throughout body; especially prevalent on palms, soles, and forehead

Sebacceous gland
associated with hair follicles; produce lipid material called sebum, which coats epidermis and shaft of hair; provide lubrication and antibacterial activity.

Hair shaft
portion of hair that extends beyond the skin surface; consists of dead epithelial cells

Stratum lucidum
a thin, translucent region about two to three cell layers thick that is superficial to stratum granulosum; clear layer
(only in thick skin i.e palms and soles of feet)

Melanin
pigment that gives human skin, hair, and eyes their color; provides protection from UV radiation from sun.

Stratum granulosome
consists of 3 to 5 laters of keratinocytes superficial to the stratum spinosum; within this stratum is when keratinization occurs and cells begin to die to form a tightly interlocked layer of keratin fibers sandwiched between thickened phospholipid membranes.

Meissner’s corpuscle
localized in dermis between epidermal ridges; touch receptors and enriched in fingers and toes

Arrector pili
thin ribbons of smooth muscle that extend from the dermal papillae to the mid-region of the hair follicles.
muscles are usually stimulated in response to an emotional state or cold temperatures; muslces contract and elevate hairs

Stratum spinosum
several layers of polygonal keratinocytes; cell differentiation into nondividing, highly specialized cells begins at this layer.

Stratum basale
the deepest layer; layer of cells range from cuboidal to low columnar in appearance.
tightly attached to an underlying basement membrane that separates the epidermis from the connective tissue of the dermis.

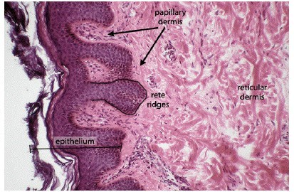
Epidermis (Histology)
a keratinized, stratifoed squamous epithelium; the epithelium of the integument
avascular, and it aquires its nutrients through diffusion from the underlying dermis.
Pacinian (lamellar) corpuscle
onion like sktructures in the dermis and hypodermisl; contain a myelinated nerve ending in the central core of the structure.
pacinian corpuscles are sensitive to mechanical and vibratory pressure.

Dermal papilla
projections of dermis toward the epidermis; interlock with deep projections of epidermis called epidermal ridges.
“two sets of egg crate foam stacked on top of one another”

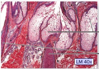
Papilla (Hair)
located at epithelium at base of bulb; composed of a small amount of connective tissue containing tiny blood vessels and nerves.

Hair bulb
consists of epithelial cells and is a swelling at the base where the hair originates in the dermis.

Dermis (Histology)
thick layer of living tissue just below the epidermis which forms the true skin, containing blood capillaries, nerve endings, sweat glands, hair folliicles, and other structures.
Stratum corneum
most superficial layer of epidermis; stratum you see when you look at your skin and consists of about 20 to 30 layers of dead, scaly, interlocking keratinized cells called corneocytes

Papillary layer
superficial region of dermis directly adjacent to epidermis; dermal papillae and epidermal ridges interlock with one another and together increase the area of contact between the epidermis and dermis.

Follicle
an oblique tube that surround the root hair; extends into the dermis and sometimes into the subcutaneous layer.
two principal concentric layers:

Hair matrix
involved in a special type of keratinzation that contributes to hair production; epithelial cells near the center of the hair matrix divide, producing new cells that are gradually pushed toward the surface.

Reticular layer
deeper, major portion of dermis, and extends from thin, overlying papillary layer to underlying subcutaneous layer.
large bundles of collagen fibers that are interwoven to form meshwork that surrounds structures in dermis

Hypodermis
also known as the subcutaneous layer; not considered part of integument
consists of both areolar CT and adipose CT. connective tissues of reticular layer are extensively interwoven with those of the subcutaneous layer to stabilize the position of skin and bind it to the underlying tissues.
pads and protects the body and its parts, acts as an energy reservoirm and provides themal insulation
