vad är det? epidemilogi
Vad är det?
Infektiös endokardit är en infektion i endokardiet eller pacemaker/ICD-system. Oftast är infektionen lokaliserad till hjärtklaffarna.
Epidemilogi
Var sitter det?
Mest vänstersidig (i 90% av fallen)
Mortalitet
Endast 13% tack vare behandling med t.ex. antibiotika. Obehandlad har 100% dödlighet
riskfaktorer
Ca 25% av de som insjuknar har varit hos tandläkaren inom 2 månader (detta pga. bakterier i munnen).
etiologi
hur sker en endokardit steg för steg?
Endotelskada är central för uppkomsten, detta då det gör att bakterier kan vidhäfta vid väggen.
Bidragande faktor till endotelskada
Vad sker då?
Vad kan hända sen?
Likt alla pluggar i hjärtat så kan de lossna och åka iväg (emobolisera) till andra organ. Detta kan vara hjärnan och lungor, men även händer och ögon mm. Heter septisk emboli
hur delar man upp endokarditer?
Det går att dela upp endokardit på två olika sätt:
Tid
Ca 90% av all med endokardit har feber. Så klaffprotes + feber = misstänk ednokardit
Var
symtom och fynd endokardit
Symptombilden kan skilja sig mycket mellan olika patienter. Man kan starkt misstänka endokardit vid oklar feber och nytillkommet blåsljud.
Diff: Sepsis, hjärtsvikt eller autoimmun så som SLE
vad är petekier
Ses ofta på extremiter och slemhinna. Orsakas av mikroembolier som sätter sig i huden.
Klassisk är att de ej bleknar med tryck

vad är osler knutor
Är något man läser om men nästan aldrig se kliniskt. Ses på handen som ömmande, röda och upphöjda fläckar. Beror på immunkomplexdeposition.

vad är splinterblödningar?
Är emoblier under naglarna som orsakar en ökad kapillär skörhet eller småkärlsvaskulit.

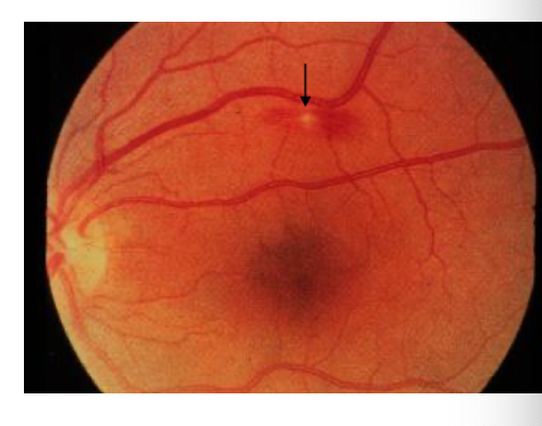
vad för ögonsymtom kan endokardit ge?
Här ses roth spots vilket är hemorragisk central uppklaring som kan ses efter embolier

vad är kriterian för diangos endokardit?
Man har olika major och minor kriterier, men enkelt kan man säga att man behöver 2/3 major eller 1 major + 3 minor.
Major är:
Minor är:
vad för undersökningar finns för endokardit?
Anamnes
Auskultation – nytt blåsljud
Lab
EKG – oftast inga tecken här
Bilddiagnostik
Vid misstanke om embolier görs en riktad undersökning mot misstänkt lokal för embolierna så som:
bheadnling endokardit
Bygger på två saker, antibiotika och kirurgi.
Antibiotika
Empirisk
Betyder att man börjar behandla innan svar ifrån odling.
Vad ges?
Kan behöva ändra när man får svar på odling
Prevention
Ge profylax innan t.ex. tandläkaren
Thoraxkirurgi
Ungefär 13% procent av alla patienter med endokardit i Sverige genomgår thoraxkirurgisk intervention i tillägg till antibiotikabehandling
Endokarditteam
Här ingår kardiolog, infektionsläkare, kirug mm
Vad görs?
Hjärtkirurgi med insättande av mekanisk eller biologisk klaff i mitralisposition
Indektioner och kontra för thoraxkirugi
Indikationer
Kontraindikationer