Head and neck Flashcards

(124 cards)

1
Q

What part of the eye?

A

Cornea

1 = non-karatinised stratified squamous epithelium

How well did you know this?
1
Not at all
2
3
4
5
Perfectly
2
Q

Label the 5 layers of the cornea

A
  1. non keratinised stratified squamous epithelium
  2. Bowmans membrane (basement memvrane)
  3. Stroma * - regularly arranged collagen fibres with no blood vessels
  4. Descements layers
  5. Endothelium - single layer of simple squamous
How well did you know this?
1
Not at all
2
3
4
5
Perfectly
3
Q

How is the transparency of the cornea maintained?

A
  1. regular arrangement of collagen fibres in stroma
  2. no blood vessels
  3. endothelium layer has a pump that keeps aqueous humour out
How well did you know this?
1
Not at all
2
3
4
5
Perfectly
4
Q

What is responsible for maintaining intra-occular pressure?

A

Aqueous humour - 21mmHg

Constantly pushing against the cornea and trying to get into the stroma

the endothelial layer of stroma has a pump which aqueous humour out

How well did you know this?
1
Not at all
2
3
4
5
Perfectly
5
Q

What might happen if the endothelial cells where lost from the cornea?

A

they hypertrophy to try and maintain pumps (pumping out aqeuous fluid)

Eventually fluid will accumulate in the cornea -> opacification/thickened cornea

How well did you know this?
1
Not at all
2
3
4
5
Perfectly
6
Q

what is happening here?

A

opacification of the cornea (due to accumulation of aqeuous humour)

or

healing wound - loss of transparency of cornea (fibroblasts and blood vessels)

How well did you know this?
1
Not at all
2
3
4
5
Perfectly
7
Q

What is corneal transplant less likely for rejection by recipient

A

avascular - blood vessels dont pick up antigens to mount rejection

How well did you know this?
1
Not at all
2
3
4
5
Perfectly
8
Q

where is the anterior chamber of the eye

A

infront of the iris

How well did you know this?
1
Not at all
2
3
4
5
Perfectly
9
Q

where is the posterior chamber of the eye?

A

behind the iris but infront of the lens

** chamber

How well did you know this?
1
Not at all
2
3
4
5
Perfectly
10
Q
A
How well did you know this?
1
Not at all
2
3
4
5
Perfectly
11
Q

a

A

trabecular meshwork (drain for aqueous humour

How well did you know this?
1
Not at all
2
3
4
5
Perfectly
12
Q

b

A

Schlemms canal

-> episcleral veins -> system circulation

How well did you know this?
1
Not at all
2
3
4
5
Perfectly
13
Q

c

A

iris

How well did you know this?
1
Not at all
2
3
4
5
Perfectly
14
Q

d

A

ciliary body

How well did you know this?
1
Not at all
2
3
4
5
Perfectly
15
Q

label the angle of anterior chamber

A

a. trabecular meshwork (drain)
b. schlemms canal
c. iris
d. ciliary body

How well did you know this?
1
Not at all
2
3
4
5
Perfectly
16
Q

outline pathway of aqueous humour movement

A

produced by cilary body -> pupillary opening -> anterior chamber -> angle of anterior chamber -> trabecular meshwork -> schlemms canal -> episceleral veins -> systemic circulation

How well did you know this?
1
Not at all
2
3
4
5
Perfectly
17
Q

why is the angle of anterior chamber important clinically?

A
  • drainage of aqueous fluid (if the iris where to adhere to periphery of cornea/gets stuck)
  1. fluid cant drain - angle is CLOSED
  2. changes to trabecular network (degenerative)

impaired drainage -> increases intraocular pressure -> GLUCOMA

How well did you know this?
1
Not at all
2
3
4
5
Perfectly
18
Q

what is glaucoma

A

increase in intraocular pressure

(often becasue AH cant drain)

LT -> kills optic nerve cells

How well did you know this?
1
Not at all
2
3
4
5
Perfectly
19
Q

what is the choroid

A

vascular layer of eye
- fenestrated blood vessels

*supply outer layers of the retina

How well did you know this?
1
Not at all
2
3
4
5
Perfectly
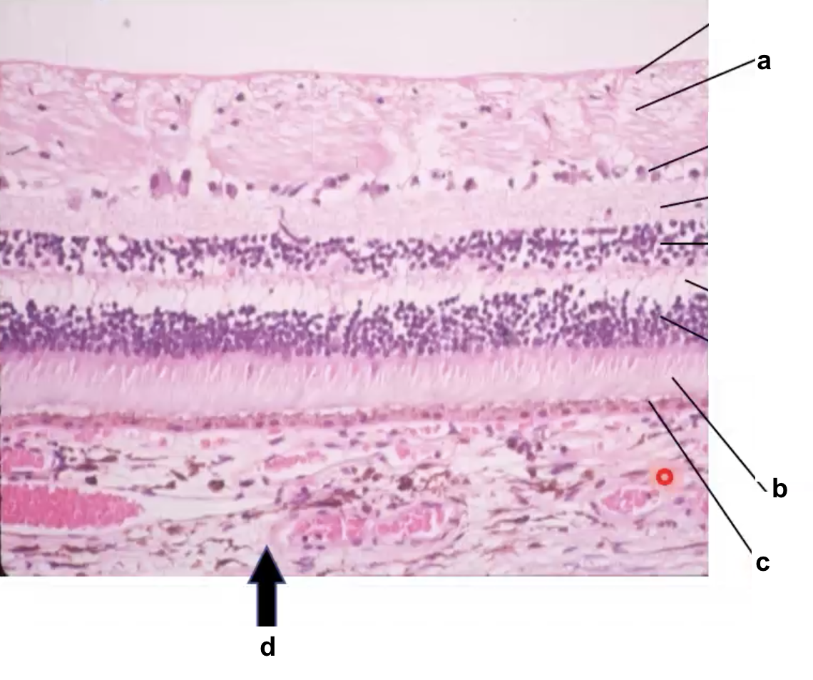
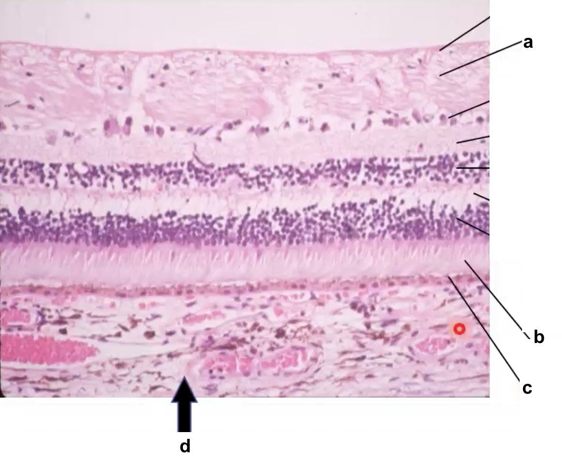
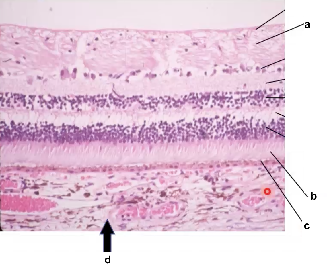
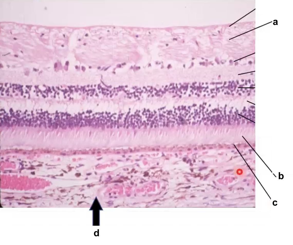
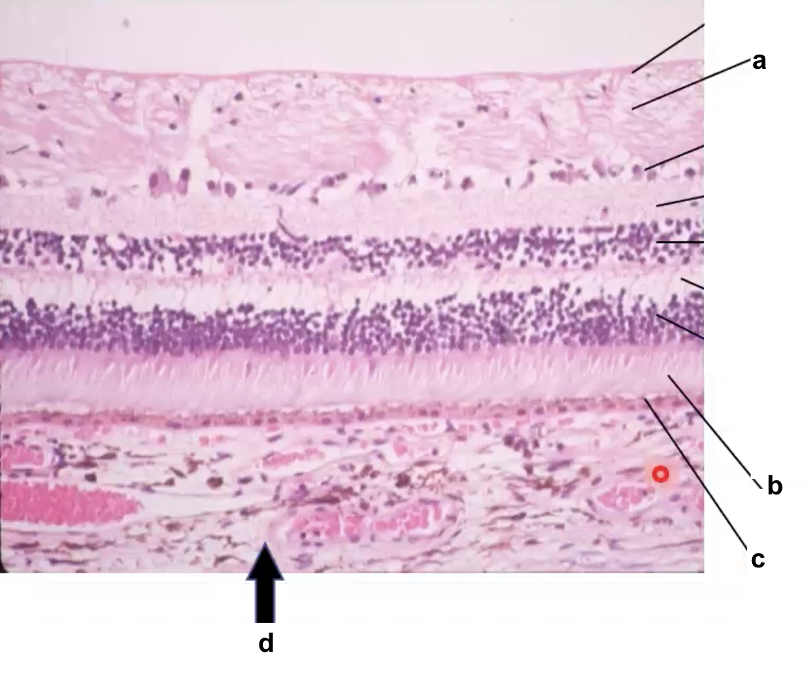
20
Q

label the key layers of the retina

a.

A

nerve fibre layer

  • axons leave as optic nerve forms
  • supplied by central retinal artery (inner layers of retina)
How well did you know this?
1
Not at all
2
3
4
5
Perfectly
21
Q

retina

b

A

rods and cones layer

  • light sensitive
How well did you know this?
1
Not at all
2
3
4
5
Perfectly
22
Q

retina

c

A

pigment epithelial layer

outermost layer sits on Choroid

How well did you know this?
1
Not at all
2
3
4
5
Perfectly
23
Q

d - layer beneath retina

A

choroid

  • supplys outer layers of retina with blood
How well did you know this?
1
Not at all
2
3
4
5
Perfectly
24
Q

The outer pigmented layer of the retina develops from (c)

A

Outer layer of the optic cup

How well did you know this?
1
Not at all
2
3
4
5
Perfectly
25
All the layers of the retina except c (outer pigmented layer) develop from?
inner layer of optic cup
26
what does a detached retina mean?
9 layers are detached from C - (pigmented eithelial layer) fluid has filled the potential space between the two layers of the optic cup C = outer layer of optic cup 9 other layers = inner layer of optic cup
27
outline the structures light passes through in the eye
cornea - AH - pupil - lens - VH - retina (8 layers) - cones/rods (9th layer)
28
x
fovea - packed with cones - area of maximum visual acuity - central part of retina
29
the fovea is the thinnest part of the retina a. true b. false
a, true
30
why does the fovea have the highest visual acuity?
1. packed with cones > rods 2. othr layer retina are pushed away peripherally (thinner)
31
How is the lens suspended?
in zonules (suspensory ligaments) and cillary body
32
The lens is avascular a. true b. false
a. true
33
What are cataracts?
opacification of the lens
34
Since the lens is avascular how does it recieve nutrients?
* AH and VH surrounds it
35
what do the blood vessels in the sclera belong to?
conjuntiva
36
x
openings for meibomian glands (oil secreting glands in tarsal plate)
37
a/b
a/ conjuntiva b/lacrimal punctum (little hole - upper/lower eyelid which allow drainage of lacrimal tears into lacrimal canniculi -> sac)
38
functions of the tear film
1. keep the cornea moist/prevents drying 2. wash away foriegn bodies 3. antibodies/lysomes - kill microbes 4. smooths surface of cornea - for refraction of light rays
39
what are the 3 layers of tear
1. mucinous - overlies the epithelium of cornea - conjuntiva 2. aqueous (70%) - lacrimal gland 3. oily (most superficial) - mebomium glands
40
how is the tear film distributed?
when upper eyelid blinks
41
dextro movement means
both eyes move togther
42
crossing the eyes is called?
convergence
43
why are the medial rectus muscles thicker than the lateral rectus muscles?
* humans do lots of close work/convergence
44
intorsion
top of eyeballs rotate towards the nose
45
extorsion
top of eyeballs rotate away from the nose
46
why can the eye muscles carry out a range of movements?
the eyes are attached via ORBITAL AXIS and not an optical axis the muscles pull on eyeball at an angle muscles follow orbital axis (contracting at an angle and twisting the eyeball)
47
what are the 3 layers of the tear film?
1. mucinous (conjunvtiva) 2. aqueous - lacrimal gland 3. oily (superficial) - mebomium glands
48
epithelium of the cornea
non-keratanised stratified squamous epithelium
49
what is a strabimus?
squint (misalignment of the eyes)
50
what is a esotropia v exotropia strabismus
esotropia - convergent squint (eye moves medially) exotropia - divergent squint (eye moves laterally)
51
what can cause strabismus (Squint) - misaligment of eyes
* dystropy of eye muscle * damage to CN 3,4,6 (motor supply to muscles of eye) can lead to double vision
52
amblyopia ?
lazy eye
53
diplopia
double vision
54
what does the cilliary muscle do when looking at close up objects?
contracts! supplied by CN-3 occulomotor
55
which nerve supplies the ciliaris muscle (cillary)
occulomotor (3)
56
which nerve supplies constrictor pupillae (circular muscle) of iris
occulomotor (3)
57
which nerve supplies dilator pupillae (radial muscle) of iris
SNS = plexus around blood vessels
58
Which cranial nerves carry PNS information
3, 7, 9, 10 occulomotor -> eye (Cillary muscle/constrictor pupillae of iris) facial nerve -> all glands in head and neck except parotid glossopharyngeal -> parotid gland vagus - all over body
59
Which cranial nerves carry PNS information
3, 7, 9, 10 occulomotor -> eye (Cillary muscle/constrictor pupillae of iris) facial nerve -> all glands in head and neck except parotid glossopharyngeal -> parotid gland vagus - all over body
60
PNS supply of occulomotor nerve?
1. ciliary muscle 2. constrictor pupillae (Circular muscle of iris)
61
what is the consensual eye reflex?
the change in pupil size in the eye opposite to the eye to which the light is directed (e.g., if the light is shone in the right eye, the left pupil also constricts consensually).
62
what is direct eye reflex?
A direct pupillary reflex is pupillary response to light that enters the ipsilateral (same) eye. A consensual pupillary reflex is response of a pupil to light that enters the contralateral (opposite) eye.
63
1
Right lobe of the thyroid gland
64
1
epiglottis
65
2
vestibule
66
3
vestibular fold (false cord)
67
4
laryngeal ventricle
68
5
true vocal cord
69
6
infra epiglotti space
70
1 and 2
1 - thyrohyoid membrane 2- cricothyroid ligament
71
1
styloglossus
72
2
hyoglossus
73
3
genioglossus
74
1
superior constrictor
75
2
middle constrictor
76
3
inferior constrictor
77
4
esophagus
78
1
ciliary body suspends the lens produces AH
79
2
choroid supplies the outer layer of the retina with blood
80
# 3 3
Iris controls diameter of pupil/amount of light rays which enter
81
1
cavernous sinus ->(drains blood from orbit via opthalamic veins -> IJV)
82
1
Opthalamic artery (ICA) passes through the superior orbital fissue (with the optic nerve) supplies the orbital structures
83
What is a blow out fracture
the walls of orbit are weak medial wall -> thin plate of ethmoid bone floor -> inferior orbital fissue and groove blunt trauma easily damages
84
The axis of the orbit is 45 degrees anterior and laterally to the optical axis a. true b. false
a. true
85
name the 3 layers of the eye
1. out cartilaginous (sclera and cornea) 2. middle vascular - choriod, iris , cilary body 3. inner layer - light sensitive retina
86
1
sclera
87
2
cornea (transparent - light beams off)
88
3
pupil
89
1
superior oblique muscle - abducts - intorts - depresses Cranial nerve 4 - trochlear
90
2
trochlea fibrous pully tendon
91
1
**inferior oblique muscle** - extorts - abducts - elevates CN3 - occulomotor arises anterior asect of orbit (maxilla) inserts posteriorly and laterally
92
why can eye muscles exert mutiple movements
the axis of muscles do not coincide with the optical axis
93
What movements could someone with 3rd nerve palsy carry out with their eye?
abduction - lateral rectus (CN6) unaffected depression - superior oblique (CN4) unaffected
94
How would the eye movements be affected by 4th cranial nerve damage?
The suprior oblique would be unable to intort the eye -> inferior oblique is unopposed -> eye shoots upwards (elevation)
95
what innervates the contrictor pupillae muscle
CN3 occulomotor decreases the diameter of the pupil restricting light that can enter the eye
96
what innverates the dilator pupillae muscles
SNS - when radial dilator pupillae muscle contracts - pupil enlarges dilates more light into eyeball
97
3- what muscle lies within?
cilliaris muslce (in ciliary body) CN3 - pns contracts and pulls on crystalline lens - thickens/shorter increasing curvature of lens - accomodation - close up objects
98
2
orbicular oculi orbital part forcibly shuts eyes
99
1
orbicularis oculi palpebrae part shutting eyelids - blinking Facial nerve 7
100
101
3
Levator palpebare superioris (LPS) elevates the upper eyelid CN3 inserts into tarsal plate (lies just under the orbicularis occuli muscle) skeletal muscle superior tarsal plate underneath also contributes to elevation (SNS)
102
1
lacrimal gland (CN7 -pns) exocrine
103
why is the tear film important
lubricates the cornea if it drys out -> opacity
104
2
superior puncta
105
3
superior lacrimal canniculi
106
4
107
5
nasolacrimal duct empties into inferior nasal meatus
108
1
ethmoid
109
2
frontal
110
3
zygomatic
111
4
maxilla
112
5
lacrimal
113
6
greater wing of sphenoid bone
114
7
lesser wing of the sphenoid
115
internal auditory meatus - facial nerve - enters facial canal - vestibulochochlear nerve 8
116
branches of facial nerve after entering facial canal
greater petrosal nerve - ANS nerve to stapedius muscle - motor Chorda tympani - taste anterior 2/3 of tongue
117
buccinator muscle (7)
118
a
chorda tympani
119
1,2,3,4
1. handle of malleus 2. chorda tympani (sensory - tongue) 3. tympani membrane 4. facial nerve
120
where do the deep cervical lymph nodes drain
jugular lymph trunk on etiher side
121
1,2,3
1. cribriform plate (ethmoid bone) 2. crista galli 3. lessor wing
122
1-6
1- lesser wing of sphenoid 2. greater wing of sphenoid 3. ptergoid process/plate (lateral) 4. Body (Sella turnica) 5. Foramen rotundum 6. Foramen ovale
123
1/2
1. anterior clinoid process 2. posterior clinoid process give rise to the tentorium cerebelli
124