Neuro Flashcards

(149 cards)

1
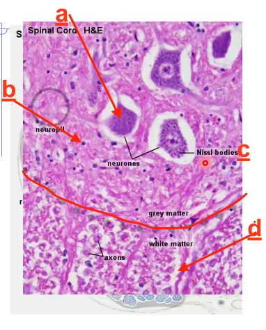
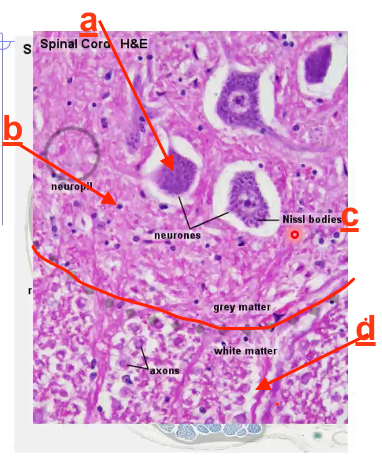
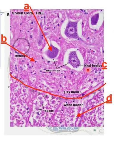
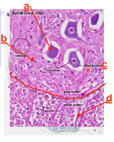
Q

a

A

neuronal cell body

How well did you know this?
1
Not at all
2
3
4
5
Perfectly
2
Q

b

A

glial cells

How well did you know this?
1
Not at all
2
3
4
5
Perfectly
3
Q

c

A

nissal bodies (granules - rER of cell body)

How well did you know this?
1
Not at all
2
3
4
5
Perfectly
4
Q

d

A

White matter - myelin sheath

How well did you know this?
1
Not at all
2
3
4
5
Perfectly
5
Q

a

A

Grey matter
- higher population of non-myelinated cell bodies

How well did you know this?
1
Not at all
2
3
4
5
Perfectly
6
Q

1

A

pseudounipolar

  • sensory neurons
How well did you know this?
1
Not at all
2
3
4
5
Perfectly
7
Q

2

A

Ganglion (outside of CNS)

How well did you know this?
1
Not at all
2
3
4
5
Perfectly
8
Q

3

A

Tracts

  • white matter
How well did you know this?
1
Not at all
2
3
4
5
Perfectly
9
Q

4.

A

Nucleus

(inside CNS)

How well did you know this?
1
Not at all
2
3
4
5
Perfectly
10
Q

1

A

cerebrum (cerebral hemispheres)

How well did you know this?
1
Not at all
2
3
4
5
Perfectly
11
Q

2

A

diencephalon

How well did you know this?
1
Not at all
2
3
4
5
Perfectly
12
Q

3

A

Brainstem (midbrain, pons, medulla)

How well did you know this?
1
Not at all
2
3
4
5
Perfectly
13
Q

4

A

Cerebellum

How well did you know this?
1
Not at all
2
3
4
5
Perfectly
14
Q

label the brainstem

A

a. medulla
b. pons
c. medulla oblongata

How well did you know this?
1
Not at all
2
3
4
5
Perfectly
15
Q

a

A

external occipital protuberance

How well did you know this?
1
Not at all
2
3
4
5
Perfectly
16
Q

A. Layer of scalp?

A

peri-cranium

peritoneum of cranial bone

How well did you know this?
1
Not at all
2
3
4
5
Perfectly
17
Q

a

A

emissonary vein

How well did you know this?
1
Not at all
2
3
4
5
Perfectly
18
Q

b

A

Superior sagittal sinus (venous sinus)
dark blue patches

How well did you know this?
1
Not at all
2
3
4
5
Perfectly
19
Q

b

c

A

Dura matter

How well did you know this?
1
Not at all
2
3
4
5
Perfectly
20
Q

d

A

Middle meningeal vasculature (markings on outside of dura matter)

middle meningeal artery -> foramen spinosum

How well did you know this?
1
Not at all
2
3
4
5
Perfectly
21
Q
A

optic ne

How well did you know this?
1
Not at all
2
3
4
5
Perfectly
22
Q

rve

a

A

apex of petrous part of (temporal bone)

How well did you know this?
1
Not at all
2
3
4
5
Perfectly
23
Q

b

A

hypoglossal nerve (12)

How well did you know this?
1
Not at all
2
3
4
5
Perfectly
24
Q

c

A

foramen magnum

How well did you know this?
1
Not at all
2
3
4
5
Perfectly
25
a
cerebrum
26
b
cerebellum
27
d
midbrain
28
e
pons
29
f
medulla
30
x
basilar artery (union of 2 vertebral arteries) at foramen magnum
31
a
superior sagittal sinus
32
b
falx cerebri (dural fold) - seperates 2 cerebral hemispheres
33
c
tentorum cerebelli (dural fold) - seperates cerebral hemispheres from cerebellum
34
is X posterior or anterior?
anterior transverse section
35
a
Lateral Ventricles (2) Cerebral hemisphere
36
b
Interventricular Foramen (connects the 2 ventricles together and with 3rd ventricle)
37
c
3rd ventricles (cavity within diecephalon)
38
d
cerebral aqueduct (midbrain cavity)
39
e
4th ventricle (hindbrain) posterior to pons/medulla drains into central canal of spinal cord
40
a
Lateral ventricles (Cerebral hemispheres)
41
b
interventricular foramen (connect lateral ventricles together and to 3rd ventricle)
42
c
3rd ventricle (diencephalon)
43
f
inferior horn of lateral ventricle
44
d
cerebral aqueduct (midbrain)
45
g
cerebellum
46
47
a
pia matter (highly vascularised layer)
48
b
arachnoid matter
49
c
dura matter (tough/fibrous)
50
a
choriod plexus forms CSF inside ventricles(lateral ventricles shown)
51
a
arachnoid villi (visible in older adults - drains CSF - to superior sagittal sinus)
52
a
thalamus - diencephalon
53
b,c,d
b. midbrain c. pons d. medulla
54
a
medulla oblongata
55
b
pyramids (medially)
56
c
olives (laterally)
57
d/e
d- IX - glossopharyngeal e X - vagus
58
f
XI accessory nerve (11)
59
# g g
hypoglossal nerve 12
60
1 - what ventricle is behind medulla
4th ventricle
61
2
inferior cerebellar peduncle attaches medulla to cerebellum
62
what is the crossing over of motor fibres at medulla oblongata called?
decussation
63
x
pons
64
# a a
trigeminal nerve (V)
65
b
adbucens nerve (6)
66
c- what nerves?
7+8 Facial nerve 7 Vestibulocochlear 8
67
# x x
midbrain
68
a
superior cerebellar peduncle (connection of midbrain to cerebellum)
69
b
superior colliculus (visual reflexes)
70
c
inferior colliculus - occulatory reflexes
71
x
trochlear neve - the only nerve orginating posterioring
72
a
cerebral peduncle (connects to cerebral hemisphere) contains motor fibres
73
b
occulomtor nerve (3)
74
c
trochlear neve (4) orginates posterior
75
x
trigeminal nerve V - pons
76
a
anterior lobe
77
b
grey matter - cerebellar cortex on surface - deep nuclei
78
c
white grey matter - arbor vitae - - cerebellar peduncles
79
d
postreior lobe
80
e
4th ventricle
81
# f f
flocculondular lobe
82
g
medulla oblongata
83
h
cerebellar peduncles
84
a
anterior lobe
85
b
posterior lobe
86
c
vermis
87
x
tonsilar part of cerebellum -if intra-cranial pressure increases it can herniate out of foramen magnum
88
x
cerebellar tonsil (part of posterior love) sits above foramen magnum
89
1
sub-thalamus
90
2
hypothalamus
91
3
posterior lobe of pituitary gland
92
4
Thalamus
93
# 5 5
pituitary gland
94
# 6 7
infundibulum - stalk of pituitary
95
x
thalamus - forebrain vescile
96
y
pineal gland
97
z
hypothalamus
98
1
stalk of pituitary gland - infundibulum
99
1
lateral ventricle - cerebral hemisphere
100
2
3rd ventricle (diencephalon)
101
3
Thalamus (grey matter nucleus)
102
a
lateral ventricle
103
b
3rd ventricle
104
c
thalamus
105
f
choroid plexus (forms CSF)
106
1
flocculonodular lobe
107
2
tonsil
108
1
anterior lobe
109
2
posterior lobe
110
3
vermis
111
1
vermis
112
2
4th ventricle
113
3
flocculus (of flucculomotor lobe)
114
4
cerebellar peduncles
115
5
tonsil
116
6
nodule of flucculonodular lobe
117
7
posterior lobe
118
8
anterior lobe
119
# 8lskso9
120
# 222 where doe sthe veretbral arteries arise from?
subclavian
121
green
cavernous sinus (fits into groove a either side of sella turnica)
122
2
groove for superior sagittal sinus little pits are finger like projections from arachnoid matter into sagittal sinus whcih help absorb CSF
123
1/2
posterior fontanelle - 2 months anterior fontanelle - 18 months
124
1
trigeminal nerve 5
125
2
pons basilar sulcus
126
3
Abudcens nerve 6
127
4
pons medullary junction (pontomedullary)
128
5
middle cerebellar peduncle
129
6
facial nerve 7 internal acoustic meatus - facial cancal - stylomastoid formaen
130
7
vestibulocohclear nerve cerebellar pontine angle
131
function of abducens nerve
purely motor for LR muscle enters subarachnoid space and pierce dura matter - cavernous sinus - superior orbital fissue - LR muscle
132
1/2
1. 3rd ventricle 2. thalamus (prosencephlon - dicenphalon)
133
1
3rd ventricle
134
2
trochlear nerve arises from midbrain (posterior)
135
3
trigemninal nerve
136
# 5 4
middle cerebral peduncle
137
5
superior cerebellar peduncle
138
7
optic tract
139
1-6
1. middle cerebellar peduncle - projection fibres 2. trachlear nerve - 4 3. optic tract 4. hypothalamus 5. pineal gland 6. trigeminal nerve
140
1-7
1. thalamus 2. superior colliculus 3. inferior colliculu 4. middle cerebellar peduncle 5. 3rd ventricle 6. pineal gland 7. superior cerebellar peduncle
141
arrows - inferior and superior colliculi X pineal body
142
Cerebral peduncles
143
cerebral peduncles
144
1
corpus collosum commisural fibres
145
1-3
1. thalamus 2. hypothalamus 3. pituitary gland
146
x
internal capsule projection fibres
147
1-8
1. caudate nucleus 2. putamen 3. hippocampus 4. hypothalamus 5. globus pallidus 6. pitutiary gland 7. mamillary body of hypothalmus 8. amygala
148
1-7
1. fornix 2. caudate nucleus 3. globus pallidus 4. putamen 5. superior /inferior colliculi 6. pineal gland 7. 3rd ventricle
149