Lecture 17 Flashcards

(43 cards)

1
Q

What is shown in this image?

A

normal rabbit liver:
-caudate lobe is separated from the rest of the liver

How well did you know this?
1
Not at all
2
3
4
5
Perfectly
2
Q

Why is it important that the caudate lobe of the rabbit liver is separate from the rest of the liver?

A

the caudate lobe is predisposed to torsion

How well did you know this?
1
Not at all
2
3
4
5
Perfectly
3
Q

What is shown in this image?

A

caudate liver lobe torsion in a rabbit

How well did you know this?
1
Not at all
2
3
4
5
Perfectly
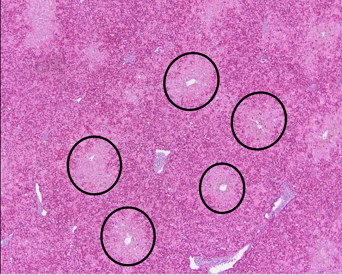
4
Q

What is shown in this image?

A

necrosis surrounding the central veins in rabbit liver:
-centrilobular hepatic necrosis
-major lesion of rabbit hemorrhagic disease virus

How well did you know this?
1
Not at all
2
3
4
5
Perfectly
5
Q

Which type of virus is rabbit hemorrhagic disease virus?

A

calicivirus

How well did you know this?
1
Not at all
2
3
4
5
Perfectly
6
Q

What is shown in this image?

A

rabbit uterine adenocarcinoma

How well did you know this?
1
Not at all
2
3
4
5
Perfectly
7
Q

What are the characteristics of uterine adenocarcinoma in rabbits?

A

-most common repro. tumor in rabbits
-incidence increases with age
-mass appears red, friable, and with a cobblestone/rough surface
-prevented by spaying

How well did you know this?
1
Not at all
2
3
4
5
Perfectly
8
Q

How does the appearance of uterine adenocarcinoma differ from uterine leiomyoma in rabbits?

A

adenocarcinoma: red, friable, rough/cobblestone
leiomyoma: tan-white, firm, smooth

How well did you know this?
1
Not at all
2
3
4
5
Perfectly
9
Q

What is cystic endometrial hyperplasia?

A

presence of multifocal, thin-walled cysts containing colorless, watery fluid within the uterus

How well did you know this?
1
Not at all
2
3
4
5
Perfectly
10
Q

What are the characteristics of Encephalitozoon cuniculi?

A

-protist infection of rabbits
-affects the brain, eyes, and kidneys most commonly

How well did you know this?
1
Not at all
2
3
4
5
Perfectly
11
Q

What is the pathognomonic lesion for Encephalitozoon cuniculi?

A

disseminated, dark red, pinpoint to 2mm depressions in the renal cortical surface
-occur in areas of inflammation and tubule loss

How well did you know this?
1
Not at all
2
3
4
5
Perfectly
12
Q

Which infection causes these lesions?

A

Encephalitozoon cuniculi

How well did you know this?
1
Not at all
2
3
4
5
Perfectly
13
Q

Which consequence of Encephalitozoon cuniculi causes death in rabbits?

A

encephalitis (lesions not typically seen)

How well did you know this?
1
Not at all
2
3
4
5
Perfectly
14
Q

What is shown in these images?

A

oral squamous cell carcinoma in hedgehogs

How well did you know this?
1
Not at all
2
3
4
5
Perfectly
15
Q

What are the characteristics of squamous cell carcinoma in hedgehogs?

A

-most common neoplasm
-causes halitosis
-leads to tooth mobility and loss
-soft to hard mass with osteolysis on radiographs
-incredibly invasive; deforms affected bone
-can present as an oral ulcer

How well did you know this?
1
Not at all
2
3
4
5
Perfectly
16
Q

What is shown in this image?

A

oral ulcer due to SCC in a hedgehog

How well did you know this?
1
Not at all
2
3
4
5
Perfectly
17
Q

What are the characteristics of mammary fibroadenomas in rats?

A

-rats have mammary tissue all over the body
-mammary tumors in rats are generally benign and very common
-can occur in male and female rats
-can grow to be very large

How well did you know this?
1
Not at all
2
3
4
5
Perfectly
18
Q

What is shown in this image?

A

rat with mammary fibroadenomas

19
Q

What are the characteristics of treatment for mammary fibroadenomas in rats?

A

-not difficult to remove; surgery
-surgical margins can be narrow since they are benign
-must be aware that more can develop

20
Q

What are the characteristics of chronic progressive nephropathy?

A

-classic lab rodent condition
-predisposed by old age, male sex, and high-protein diet

21
Q

What are the signs of chronic progressive nephropathy?

A

-small, mottled tan to pale tan kidneys
-pitted or cobblestoned surface of kidneys
-inflammation around the tubules and loss of tubules
-proteinuria
-dilated tubules/cysts

22
Q

What is shown in this image?

A

chronic progressive nephropathy in rats

23
Q

What are the characteristics of Mycoplasma pulmonis?

A

-atypical bacterium with no bacterial cell wall
-causes major respiratory disease in rats
-highly contagious and nearly impossible to clear even with treatment

24
Q

What is the major lesion of Mycoplasma pulmonis?

A

pneumonia characterized by large, dilated bronchi filled with inflammatory cells and discrete abscesses
-often a unilateral lesion

25
What is shown in this image?
Mycoplasma pulmonis: -large, tan nodules on the right lung shown are abnormal
26
What is shown in this image?
GDV in a guinea pig
27
What are the predisposing factors for GDV in guinea pigs?
-stress -dietary change -grain overload
28
What is shown in this image?
periarticular hemorrhage in guinea pigs -around the stifles in this image; can occur around any joints
29
What are the characteristics of periarticular hemorrhage in guinea pigs?
-can occur with scurvy if guinea pigs are not supplemented with vitamin C -mostly seen as a consequence of hypovitaminosis E or selenium deficiency -white muscle disease and muscle necrosis result from hypovitaminosis E/selenium deficiency
30
What is shown in this image?
thyroid tumor in a guinea pig
31
What are the characteristics of thyroid tumors in guinea pigs?
-most commonly benign -often mistaken for lymph nodes -commonly have bone in them -can be functional and cause hyperthyroidism
32
What are the signs of hyperthyroidism caused by thyroid tumors in guinea pigs?
-congestive heart failure -weight loss despite good appetite -contralateral thyroid gland is small
33
What is shown in this image?
atrial thrombosis in hamsters
34
What are the characteristics of atrial thrombosis in hamsters?
-predisposed to amyloid deposition in glomeruli -glomerular amyloidosis can lead to proteinuria and protein-losing nephropathy -loss of antithrombin leads to hypercoagulability and thrombi -can embolize in distal aorta like a saddle thrombus or remain in atrium
35
What is shown in this image?
chordoma in ferret
36
What are the characteristics of chordomas in ferrets?
-almost always at the tip of the tail -originate from remnant of the notochord -tan and firm -benign; removal is curative -can be painful but often incidental -can develop areas of necrosis and ulceration -can form cartilage or bone
37
What is shown in this image?
prostatitis with area of rupture in ferret
38
What are the characteristics of prostatitis and prostatic cysts in ferrets?
-adrenal disease predisposes to cysts -estrogen from functional adrenal tumors causes squamous metaplasia of prostate
39
What is shown in this image?
disseminated idiopathic myofasciitis in ferrets; affecting the esophagus
40
What are the characteristics of disseminated idiopathic myofasciitis?
-seen in young ferrets; mean of 10 months -esophagus, skeletal muscle, and body wall muscle is severely effected -idiopathic inflammatory disease targeting muscle -can have esophageal dysphagia and regurgitation -skeletal muscle is inflamed and atrophies but there is no necrosis; CK and AST remain normal -often present with neutrophilia
41
What is shown in this image?
ferret systemic coronavirus at the bottom; upper intestine is normal
42
What are the characteristics of ferret systemic coronavirus?
-mutated enteric coronavirus causing pyogranulomatous inflammation around vessels -similar lesions to feline infectious peritonitis -nearly always fatal
43
What are the lesions seen in ferret systemic coronavirus?
-peritoneal or pleural effusion -pyogranulomatous interstitial pneumonia -interstitial nephritis -mesenteric lymphadenitis