Most cancers found in the brain are. . .
. . . metastases of distant primaries
The big three are lung, breast, melanoma, and GI.
How to distinguish primary brain tumors from metastasized brain tumors
Red flags for possible brain tumor
Best imaging test if brain tumor is suspected
MRI w/ contrast
Diagnosing brain cancer
Only brain tumor with a decent prognosis
Meningioma
Calcification of the sella on CT or X-ray always indicates. . .
. . . craniopharyngioma
Tumors of the anterior fossa
Tumors of the posterior fossa
Schwannoma presentation
N/V, vertigo, hearing loss, tinnitus
Basically. it fucks with CN8.
Bilateral in NF2
What causes irregular breathing and hypertension in Cushing’s triad?
Kernohan’s syndrome
A syndrome of uncal herniation characterized by paradoxically, ipsilateral weakness (due to contralateral cerebral peduncle compression).
This is unusual because commonly, an ipsilateral brain lesion results in contralateral motor symptoms. It occurs in patients with increased ICP caused by intracranial hemorrhage or cerebral edema.
Brainstem herniation

Normal ICP range
5-15 mmHg
Monro-Kellie doctrine
Vintracranial = VBrain + VCSF + VBlood
Vintracranial is fixed, and VBrain is subject to osmotic changes which VCSF and VBlood must accomadate.
Cerebral perfusion pressure
CPP = MAP - ICP
Brain herniation syndromes

Tranexamic acid for TBI
Spinal lesions arising above ___ are likely to produce spinal shock
Spinal lesions arising above T1 are likely to produce spinal shock
This is due to disruption of the sympathetic fibers in this region.
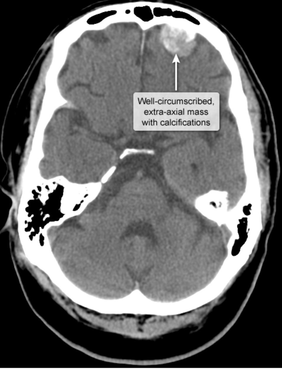
“Extra-axial, well-circumscribed, dural-based brain mass that enhances with contrast”
Meningioma desciption
Benign tumors, but may cause compressive symptoms
Resect surgically.

Where is the conus medullaris located?
~L1-L2
Hence, below this you get cauda equina
In the case of a gunshot wound to the brain, the first test is. . .
CT angio
Gunshot wounds to the brain often cause. . .
. . . pseudoaneurysms
These can later break and cause acute hemorrhage, requiring phrophylactic IR coiling/embolization.
Brain gunshot wound antibiotics
Vanc, ceftriaxone, flagyl