Most common causes of infection following arthroplasty by timeframe
Patient presents with suspected vertebral osteomyelitis. MRI supports diagnosis. Blood cultures return negative. What is the next step in diagnosis?
CT guided biopsy
Broad coverage for osteomyelitis
Vancomycin + ciprofloxacin
Or more generally speaking, it should cover both Staph and S. aeruginosa
Initial empiric treatment of osteomyelitis

Narrowed osteomyelitis abx and special case management

Treatment of osteoarthritis
Morton’s neuroma

Baker cyst aka Popliteal cyst

Plantar fasciitis
Genu varum vs Genu valgum

Greater trochanteric pain syndrome
Monteggia forearm fracture

Galeazzi forearm fracture

Prepatellar bursitis

Psoas abscess
Patellofemoral pain syndrome

Mallet finger

Jersey finger

Finger tendons

Boutonierre deformity

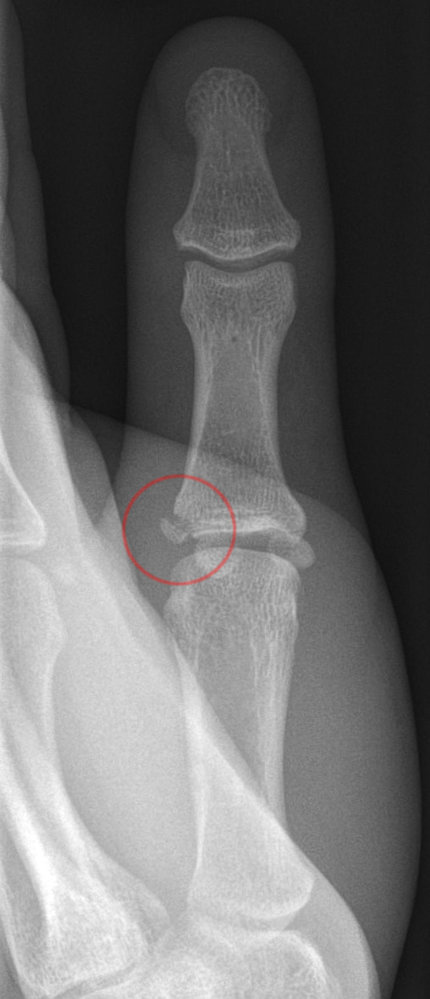
Gamekeeper’s thumb aka Skier’s thumb

Skier’s thumb x-ray

Clavicular fracture management
Clavicle bony anatomy
