ORL Flashcards

(4 cards)

1
Q

Compléter ce schéma qui décrit la vascularisation des fosses nasales, et préciser à propos des branches terminales, lesquelles vascularisent quelle partie
Décrire la vascularisation des fosses nasales en précisant quelles artères participent à la tâche de Kiesselbach
Quelle est la principale artère des fosses nasales, issue de quelle artère ?

A

C’est bien sûr l’artère sphénopalatine la principale artère des fosses nasales, issue de la carotide externe

How well did you know this?
1
Not at all
2
3
4
5
Perfectly
2
Q

Epistaxis sévère : quel bilan biologique minimal est-il nécessaire de réaliser ?

A
  • Hémogramme
  • TP-INR, TCA, fibrinogène
  • Groupe Rh, RAI
  • Ionogramme sanguin, créatininémie (le dosage de la créat vise à rechercher une insuffisance rénale fonctionnelle
How well did you know this?
1
Not at all
2
3
4
5
Perfectly
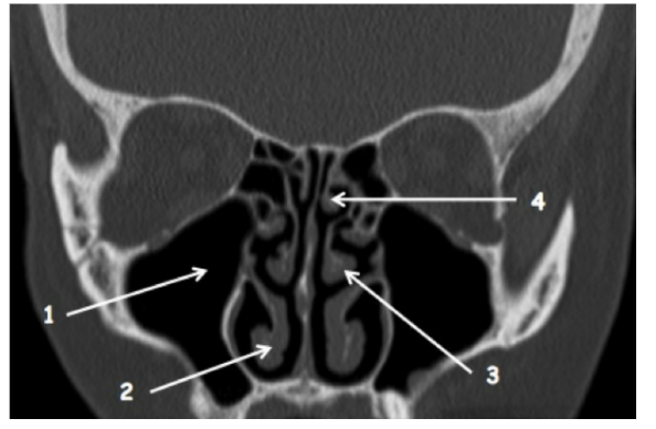
3
Q

Légnder cette coupe

A

1 - sinus maxillaire droit
2 - cornet inférieur droit
3 - cornet moyen gauche
4 - cornet supérieur gauche

How well did you know this?
1
Not at all
2
3
4
5
Perfectly
4
Q

A partir de combien de temps parle t-on de sinusite chronique et quels sont les examens à réaliser ?

A

Une forme traînante de sinusite au-delà de 12 semaines/3 mois définit une rhinosinusite chronique.
Un tableau de sinusite chronique impose la réalisation d’un scanner des sinus, et d’un bilan dentaire si sinusite maxillaire.

How well did you know this?
1
Not at all
2
3
4
5
Perfectly