Renal Flashcards

(54 cards)

1
Q

vertebrae level of the transpyloric plane

A

L1

How well did you know this?
1
Not at all
2
3
4
5
Perfectly
2
Q

what structures lie on the transpyloric plane?

A

Pylorus

kidney hila

gallbladder

neck of pancreas

L1 vertebrae

Transverse colon

How well did you know this?
1
Not at all
2
3
4
5
Perfectly
3
Q

Vertebrae level of the kidneys

A

T12-L3

How well did you know this?
1
Not at all
2
3
4
5
Perfectly
4
Q

a

A

fibrous renal capsule

How well did you know this?
1
Not at all
2
3
4
5
Perfectly
5
Q

b

A

fatty renal capsule

How well did you know this?
1
Not at all
2
3
4
5
Perfectly
6
Q

c

A

renal fascia

How well did you know this?
1
Not at all
2
3
4
5
Perfectly
7
Q

d

A

pararenal - fatty tissue (posterior aspects of kidney)

How well did you know this?
1
Not at all
2
3
4
5
Perfectly
8
Q

which condition

A

isolated unilateral - renal agenesis

embriological

How well did you know this?
1
Not at all
2
3
4
5
Perfectly
9
Q

how are the kidneys peritonised

A

retroperitoneal

How well did you know this?
1
Not at all
2
3
4
5
Perfectly
10
Q

What two parts of the GI tract are retroperitoneal

A

ascending colon

descending colon

How well did you know this?
1
Not at all
2
3
4
5
Perfectly
11
Q

nerve supply to the kidneys

A

SNS - T12/L1 - coeliac ganglion

PNS - vagus nerve

How well did you know this?
1
Not at all
2
3
4
5
Perfectly
12
Q

lymphatic drainage of kidney

A

para-aortic lymph nodes at L1

How well did you know this?
1
Not at all
2
3
4
5
Perfectly
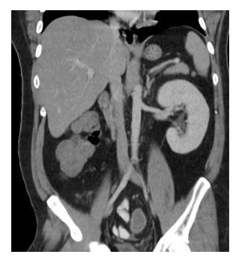
13
Q

which condition

A

2 left ureters

How well did you know this?
1
Not at all
2
3
4
5
Perfectly
14
Q

which condition

A

horse shoe kidney

How well did you know this?
1
Not at all
2
3
4
5
Perfectly
15
Q

a

A

quadratus lumborum

How well did you know this?
1
Not at all
2
3
4
5
Perfectly
16
Q

b

A

iliacus

How well did you know this?
1
Not at all
2
3
4
5
Perfectly
17
Q

c

A

diaphragm

How well did you know this?
1
Not at all
2
3
4
5
Perfectly
18
Q

d

A

superior mesenteric artery

How well did you know this?
1
Not at all
2
3
4
5
Perfectly
19
Q

e

A

left renal vein

How well did you know this?
1
Not at all
2
3
4
5
Perfectly
20
Q

f

A

ureter

How well did you know this?
1
Not at all
2
3
4
5
Perfectly
21
Q

g

A

psoas major

How well did you know this?
1
Not at all
2
3
4
5
Perfectly
22
Q

h

23
Q

i

24
Q

a

A

suprarenal area

25
b
hepatic area - anterior-lateral
26
c
colic area - ascending colon
27
d
duodenal area
28
e
area for psoas major
29
f
pancreatic area
30
g
colic area - descending colon
31
h
jejunal area
32
a
renal cortex
33
b
renal medulla
34
c
major calyx
35
d
renal hilum
36
e
renal pelvis
37
f
minor calyx
38
g
ureter
39
h
renal pyramid
40
i
renal capsule
41
a
pyramids
42
b
minor calyxs
43
c
majors calyces - Xs
44
d
pelvis
45
how is the ureter peritonised?
retroperiotoneal
46
a
vesicoureteric openings
47
b
trigone
48
c
bladder neck
49
1-11
1. suprarenal gland 2. duodenum 3. colon 4. jejunum 5. spleen 6. stomach 7. pancreas 8. left colonic flexure 9. small bowel 10. liver 11. suprarenal gland
50
?? what is this
duplication of the kidney URETER - due to duplication of uteric bud - from mesonephric duct
51
what is this
horseshoe kidney fusion of inferior poles
52
1-9
1. 1. cortex 1. 2 medulla 1. 3. major calyx 1. 4. renal pelvis 1. 5. minor calyx 1. 6. ureter 1. 7. pyramid 1. 8. renal column (part of medulla) 1. 9. fibrous capsule
53
1-6
1. PCT proximal convulted tubule 2. renal corpusle = bownmans capsule and glomerulus 3. Distal convoluted tubule 4. Collecting Duct 5. Loop of henley 6. Collecting duct
54